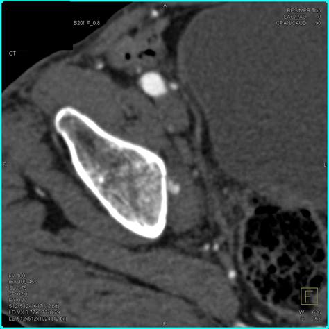
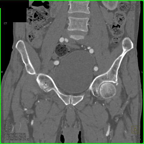
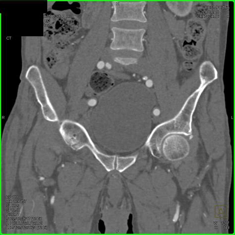
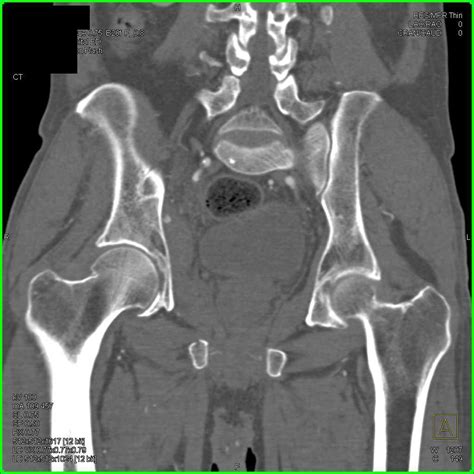
Hip Joint Effusion

Hip Joint Effusion

Hip joint effusion, a condition characterized by the accumulation of fluid within the hip joint, can be a source of significant discomfort and mobility issues. This condition can arise from various causes, including injuries, infections, and underlying medical conditions. Understanding the symptoms, causes, diagnosis, and treatment options for hip joint effusion is crucial for effective management and recovery.

Understanding Hip Joint Effusion

Hip joint effusion refers to the buildup of excess fluid within the hip joint. This fluid can be synovial fluid, which is normally present in small amounts to lubricate the joint, or it can be inflammatory fluid resulting from injury or infection. The accumulation of this fluid can cause swelling, pain, and limited range of motion in the affected hip.

Symptoms of Hip Joint Effusion

The symptoms of hip joint effusion can vary depending on the underlying cause and the severity of the condition. Common symptoms include:

  • Pain: Persistent or intermittent pain in the hip area.
  • Swelling: Visible or palpable swelling around the hip joint.
  • Stiffness: Reduced range of motion and stiffness in the hip.
  • Limping: Difficulty walking or a noticeable limp.
  • Tenderness: Sensitivity to touch or pressure around the hip joint.

In some cases, hip joint effusion may also be accompanied by fever, redness, or warmth in the affected area, which could indicate an infection.

Causes of Hip Joint Effusion

Hip joint effusion can be caused by a variety of factors, including:

  • Injuries: Trauma to the hip joint, such as a fracture or dislocation, can lead to effusion.
  • Arthritis: Conditions like osteoarthritis and rheumatoid arthritis can cause inflammation and fluid buildup.
  • Infections: Bacterial or viral infections can lead to septic arthritis, resulting in effusion.
  • Overuse: Repetitive stress or overuse of the hip joint can cause inflammation and effusion.
  • Medical Conditions: Certain medical conditions, such as gout or pseudogout, can also lead to hip joint effusion.

Diagnosing Hip Joint Effusion

Diagnosing hip joint effusion typically involves a combination of physical examination, medical history, and diagnostic tests. The diagnostic process may include:

  • Physical Examination: A healthcare provider will assess the hip joint for swelling, tenderness, and range of motion.
  • Medical History: Information about symptoms, recent injuries, and any underlying medical conditions.
  • Imaging Tests: X-rays, MRI, or ultrasound to visualize the hip joint and detect fluid accumulation.
  • Blood Tests: To check for signs of infection or inflammation.
  • Joint Aspiration: Removing a sample of the fluid from the hip joint for laboratory analysis.

Joint aspiration is particularly useful for identifying the cause of the effusion, such as infection or crystal deposition diseases like gout.

Treatment Options for Hip Joint Effusion

The treatment for hip joint effusion depends on the underlying cause and the severity of the condition. Common treatment options include:

  • Rest and Ice: Resting the affected hip and applying ice to reduce swelling and pain.
  • Medications: Over-the-counter pain relievers and anti-inflammatory drugs, such as ibuprofen or naproxen.
  • Physical Therapy: Exercises to improve range of motion, strength, and flexibility.
  • Joint Injection: Injecting corticosteroids or other medications directly into the hip joint to reduce inflammation.
  • Antibiotics: If the effusion is due to an infection, antibiotics may be prescribed.
  • Surgery: In severe cases, surgical intervention may be necessary to repair damage or remove infected tissue.

It is essential to follow the treatment plan prescribed by a healthcare provider to ensure proper healing and recovery.

Preventing Hip Joint Effusion

While not all cases of hip joint effusion can be prevented, there are several steps you can take to reduce the risk:

  • Maintain a Healthy Weight: Excess weight can put additional stress on the hip joints.
  • Exercise Regularly: Engage in low-impact exercises to strengthen the muscles around the hip joint.
  • Avoid Overuse: Take breaks and avoid repetitive stress on the hip joint.
  • Proper Warm-Up and Cool-Down: Before and after physical activities to prevent injuries.
  • Manage Underlying Conditions: Properly manage conditions like arthritis or gout to reduce the risk of effusion.

By taking these preventive measures, you can help maintain the health of your hip joints and reduce the likelihood of developing hip joint effusion.

📝 Note: Always consult with a healthcare provider before starting any new exercise or treatment regimen.

When to Seek Medical Attention

If you experience symptoms of hip joint effusion, it is important to seek medical attention promptly. Early diagnosis and treatment can prevent complications and promote faster recovery. Contact a healthcare provider if you notice any of the following:

  • Severe or worsening pain in the hip.
  • Significant swelling or redness around the hip joint.
  • Fever or chills, which may indicate an infection.
  • Difficulty walking or bearing weight on the affected hip.

Prompt medical attention can help identify the underlying cause of the effusion and ensure appropriate treatment.

Living with Hip Joint Effusion

Living with hip joint effusion can be challenging, but with proper management and care, many individuals can maintain an active lifestyle. Here are some tips for managing hip joint effusion:

  • Follow Your Treatment Plan: Adhere to the treatment plan prescribed by your healthcare provider.
  • Stay Active: Engage in low-impact exercises recommended by your physical therapist.
  • Use Assistive Devices: Consider using a cane or walker to reduce stress on the hip joint.
  • Maintain a Healthy Lifestyle: Eat a balanced diet and maintain a healthy weight.
  • Stay Informed: Educate yourself about your condition and treatment options.

By taking an active role in your care, you can improve your quality of life and manage hip joint effusion effectively.

Hip joint effusion is a condition that requires careful management and treatment. Understanding the symptoms, causes, and treatment options can help individuals take proactive steps to manage their condition and improve their overall well-being. By following a comprehensive treatment plan and taking preventive measures, many individuals can effectively manage hip joint effusion and maintain an active lifestyle.

Related Terms:

  • hip joint effusion radiopaedia
  • hip joint effusion with synovitis
  • hip joint effusion ultrasound
  • hip joint effusion x ray
  • hip joint effusion mri
  • hip joint effusion icd 10