High Arched Palate

High Arched Palate

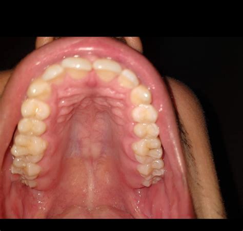
Understanding the intricacies of a high arched palate is crucial for dental professionals, speech therapists, and individuals experiencing related issues. A high arched palate, also known as a high vaulted palate or ogival palate, refers to a condition where the roof of the mouth is unusually high and narrow. This anatomical variation can have significant implications for oral health, speech development, and overall well-being.

Understanding the High Arched Palate

A high arched palate is characterized by a steeply curved roof of the mouth, which can affect the alignment of teeth, the shape of the jaw, and the overall structure of the face. This condition is often congenital, meaning it is present at birth, but it can also develop due to environmental factors such as thumb-sucking, tongue-thrusting, or prolonged use of a pacifier.

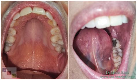
Identifying a high arched palate typically involves a visual examination by a dental professional. During this examination, the dentist or orthodontist will assess the shape and height of the palate, as well as the alignment of the teeth and the position of the tongue. In some cases, additional diagnostic tools such as X-rays or 3D imaging may be used to gain a more comprehensive understanding of the condition.

Causes of a High Arched Palate

The causes of a high arched palate can be multifaceted and often involve a combination of genetic and environmental factors. Some of the most common causes include:

  • Genetic predisposition: A family history of a high arched palate can increase the likelihood of an individual developing the condition.
  • Oral habits: Prolonged thumb-sucking, tongue-thrusting, or the use of a pacifier can exert pressure on the palate, leading to its elongation and narrowing.
  • Nasal obstruction: Chronic nasal congestion or blockage can force individuals to breathe through their mouths, which can alter the shape of the palate over time.
  • Cleft palate: Individuals with a cleft palate, a congenital condition where the roof of the mouth does not form properly, may also have a high arched palate.

Symptoms and Complications

A high arched palate can manifest in various symptoms and complications, ranging from mild to severe. Some of the most common symptoms include:

  • Difficulty breathing: A high arched palate can narrow the airway, making it difficult to breathe, especially during sleep.
  • Speech difficulties: The altered shape of the palate can affect the production of certain sounds, leading to speech impediments such as lisps or difficulty pronouncing specific consonants.
  • Dental issues: A high arched palate can cause teeth to be misaligned, leading to overcrowding, gaps, or malocclusion (improper bite).
  • Sleep apnea: In severe cases, a high arched palate can contribute to obstructive sleep apnea, a condition characterized by pauses in breathing during sleep.

If left untreated, a high arched palate can lead to more serious complications, including chronic ear infections, sinus problems, and even facial deformities. Early intervention is key to preventing these complications and improving overall quality of life.

Diagnosis and Treatment Options

Diagnosing a high arched palate typically involves a thorough examination by a dental professional. The dentist or orthodontist will assess the shape and height of the palate, as well as the alignment of the teeth and the position of the tongue. In some cases, additional diagnostic tools such as X-rays or 3D imaging may be used to gain a more comprehensive understanding of the condition.

Treatment options for a high arched palate vary depending on the severity of the condition and the individual's specific needs. Some of the most common treatment options include:

  • Orthodontic treatment: Braces or other orthodontic appliances can help realign the teeth and correct malocclusion.
  • Palatal expansion: A palatal expander is a device that gradually widens the palate, creating more space for the teeth and improving the overall shape of the mouth.
  • Speech therapy: For individuals experiencing speech difficulties, speech therapy can help improve articulation and pronunciation.
  • Surgical intervention: In severe cases, surgery may be necessary to correct the shape of the palate and improve breathing and speech.

It is important to note that the choice of treatment will depend on various factors, including the individual's age, the severity of the condition, and their overall health. A dental professional can provide personalized recommendations based on these factors.

πŸ“ Note: Early intervention is crucial for managing a high arched palate effectively. Regular dental check-ups and prompt treatment can prevent complications and improve long-term outcomes.

Living with a High Arched Palate

Living with a high arched palate can present unique challenges, but with the right support and treatment, individuals can lead healthy and fulfilling lives. Here are some tips for managing a high arched palate:

  • Maintain good oral hygiene: Regular brushing, flossing, and dental check-ups can help prevent dental issues associated with a high arched palate.
  • Address speech difficulties: If speech difficulties are present, consider working with a speech therapist to improve articulation and pronunciation.
  • Monitor breathing: Pay attention to any signs of breathing difficulties, especially during sleep, and consult a healthcare provider if necessary.
  • Seek professional help: Regular consultations with a dental professional can help monitor the condition and provide timely interventions.

Support from family and friends can also play a crucial role in managing a high arched palate. Encouragement and understanding can help individuals cope with the challenges and maintain a positive outlook.

Preventive Measures

While a high arched palate is often congenital, there are preventive measures that can be taken to reduce the risk of developing the condition or exacerbating its symptoms. Some of these measures include:

  • Avoid prolonged thumb-sucking: Encourage children to stop thumb-sucking by the age of 4 to prevent alterations in the shape of the palate.
  • Address nasal congestion: Treat chronic nasal congestion or blockage promptly to prevent mouth breathing and its associated complications.
  • Regular dental check-ups: Schedule regular dental check-ups to monitor the development of the teeth and palate and address any issues early.
  • Healthy oral habits: Promote healthy oral habits, such as proper tongue placement and avoiding tongue-thrusting, to maintain the natural shape of the palate.

By taking these preventive measures, individuals can reduce the risk of developing a high arched palate and its associated complications.

πŸ“ Note: Early intervention and preventive measures can significantly improve the outcomes for individuals with a high arched palate. Regular consultations with dental professionals are essential for effective management.

Research and Future Directions

Research on high arched palate is ongoing, with scientists and healthcare professionals continually seeking to understand the condition better and develop more effective treatments. Some areas of current research include:

  • Genetic studies: Investigating the genetic factors that contribute to the development of a high arched palate.
  • Early intervention: Exploring the benefits of early intervention and preventive measures in managing the condition.
  • Advanced treatments: Developing new and innovative treatment options, such as minimally invasive surgical techniques and advanced orthodontic appliances.
  • Speech therapy: Enhancing speech therapy techniques to improve outcomes for individuals with speech difficulties related to a high arched palate.

Future research is expected to provide valuable insights into the causes, prevention, and treatment of a high arched palate, ultimately improving the quality of life for affected individuals.

In addition to ongoing research, advancements in technology and medical techniques are paving the way for more effective management of a high arched palate. For instance, 3D imaging and digital dentistry are revolutionizing the way dental professionals diagnose and treat this condition. These technologies allow for more precise and personalized treatment plans, leading to better outcomes for patients.

Moreover, the integration of artificial intelligence (AI) in dental care is opening new avenues for early detection and intervention. AI algorithms can analyze dental images and identify patterns indicative of a high arched palate, enabling early diagnosis and timely treatment. This proactive approach can prevent the development of more severe complications and improve overall oral health.

Collaboration between dental professionals, speech therapists, and researchers is also crucial for advancing the field. By sharing knowledge and expertise, these professionals can develop comprehensive treatment plans that address the multifaceted nature of a high arched palate. This interdisciplinary approach ensures that patients receive holistic care, addressing both the physical and psychological aspects of the condition.

As research continues to evolve, it is essential for individuals with a high arched palate to stay informed about the latest developments and treatment options. Regular consultations with healthcare providers and participation in support groups can provide valuable insights and emotional support, helping individuals navigate the challenges associated with this condition.

In conclusion, a high arched palate is a complex condition that requires careful management and intervention. By understanding the causes, symptoms, and treatment options, individuals can take proactive steps to improve their oral health and overall well-being. Early diagnosis, preventive measures, and ongoing research are key to effectively managing a high arched palate and enhancing the quality of life for affected individuals.

Related Terms:

  • high arched palate radiology
  • high arched palate causes
  • high arched palate icd
  • high arched palate newborn
  • high arched palate breastfeeding
  • high arched palate infant