Hib Gram Stain

Hib Gram Stain

The Hib Gram Stain is a fundamental diagnostic tool in microbiology, widely used to differentiate between Gram-positive and Gram-negative bacteria. This staining technique, developed by Christian Gram in 1884, has remained a cornerstone of bacterial identification due to its simplicity and effectiveness. Understanding the Hib Gram Stain process, its applications, and interpretations is crucial for anyone involved in microbiology or clinical diagnostics.

Understanding the Hib Gram Stain

The Hib Gram Stain is a variation of the standard Gram stain, specifically designed to identify Haemophilus influenzae type b (Hib), a bacterium that can cause severe infections such as meningitis and pneumonia. The Hib Gram Stain involves several steps, each critical for accurate results. The process begins with the preparation of a bacterial smear on a microscope slide, followed by the application of crystal violet dye, iodine solution, alcohol or acetone, and finally, safranin or fuchsine counterstain.

Steps of the Hib Gram Stain Procedure

The Hib Gram Stain procedure can be broken down into the following steps:

  • Prepare a bacterial smear on a clean microscope slide.
  • Fix the smear by passing the slide through a flame briefly.
  • Apply crystal violet dye to the smear and let it sit for about 1 minute.
  • Rinse the slide with water to remove excess dye.
  • Apply iodine solution (Gram’s iodine) to the smear and let it sit for 1 minute.
  • Rinse the slide with water to remove excess iodine.
  • Decolorize the smear with alcohol or acetone for a few seconds until the solution runs clear.
  • Rinse the slide with water to remove excess decolorizer.
  • Apply safranin or fuchsine counterstain to the smear for about 1 minute.
  • Rinse the slide with water to remove excess counterstain.
  • Blot the slide dry with bibulous paper and observe under a microscope.

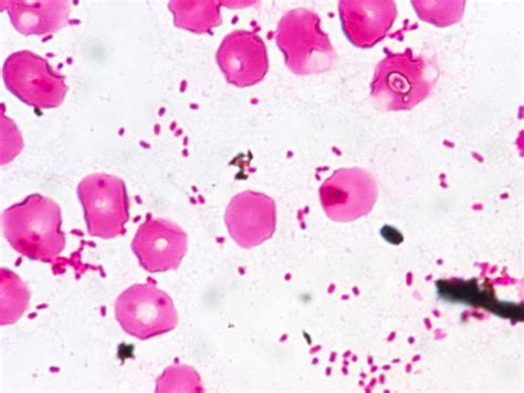
🔍 Note: The decolorization step is crucial as it differentiates Gram-positive from Gram-negative bacteria. Gram-positive bacteria retain the crystal violet dye, appearing purple, while Gram-negative bacteria lose the dye and take up the counterstain, appearing pink or red.

Interpreting Hib Gram Stain Results

Interpreting the results of a Hib Gram Stain involves understanding the staining characteristics of different bacteria. Gram-positive bacteria, such as Staphylococcus and Streptococcus, appear purple or blue due to the retention of the crystal violet dye. In contrast, Gram-negative bacteria, like Escherichia coli and Pseudomonas, appear pink or red because they take up the counterstain after decolorization.

For Haemophilus influenzae type b (Hib), the Hib Gram Stain can be particularly challenging due to the bacterium's small size and delicate nature. Hib bacteria are Gram-negative and may appear as small, pleomorphic coccobacilli. However, the Hib Gram Stain is not always reliable for identifying Hib specifically, and additional tests, such as culture and serotyping, are often required for confirmation.

Applications of the Hib Gram Stain

The Hib Gram Stain has several important applications in microbiology and clinical diagnostics:

  • Bacterial Identification: The Hib Gram Stain is used to differentiate between Gram-positive and Gram-negative bacteria, aiding in the initial identification of bacterial species.
  • Diagnostic Tool: In clinical settings, the Hib Gram Stain is used to diagnose bacterial infections, particularly those caused by Gram-negative bacteria like Hib.
  • Research and Education: The Hib Gram Stain is a valuable tool in research and educational settings for studying bacterial morphology and physiology.
  • Quality Control: In laboratories, the Hib Gram Stain is used for quality control purposes to ensure the accuracy of bacterial identification and staining procedures.

Challenges and Limitations

While the Hib Gram Stain is a powerful tool, it is not without its challenges and limitations. Some of the key issues include:

  • Bacterial Morphology: The small size and delicate nature of some bacteria, such as Hib, can make them difficult to visualize and identify accurately.
  • Staining Variability: Variations in staining techniques and reagents can affect the results, leading to misinterpretation.
  • Contamination: Contamination of the smear or reagents can interfere with the staining process and produce inaccurate results.
  • Interpretation Errors: Misinterpretation of staining results can occur due to lack of experience or improper training.

🔍 Note: To minimize these challenges, it is essential to follow standardized protocols, use high-quality reagents, and ensure proper training and experience in performing and interpreting the Hib Gram Stain.

Advanced Techniques and Alternatives

In addition to the standard Hib Gram Stain, several advanced techniques and alternatives are available for bacterial identification:

  • Acid-Fast Stain: Used to identify bacteria that retain certain dyes even after treatment with acid alcohol, such as Mycobacterium tuberculosis.
  • Endospore Stain: Used to identify bacteria that form endospores, such as Bacillus and Clostridium.
  • Capsule Stain: Used to identify bacteria that produce capsules, such as Klebsiella and Streptococcus pneumoniae.
  • Molecular Techniques: Methods such as polymerase chain reaction (PCR) and DNA sequencing provide more accurate and specific identification of bacterial species.

These advanced techniques offer greater specificity and sensitivity compared to the Hib Gram Stain, making them valuable tools in modern microbiology and clinical diagnostics.

Conclusion

The Hib Gram Stain is a vital tool in microbiology, providing a quick and reliable method for differentiating between Gram-positive and Gram-negative bacteria. Its applications range from clinical diagnostics to research and education, making it an essential technique for anyone working in the field. While the Hib Gram Stain has its limitations, understanding its proper use and interpretation can significantly enhance bacterial identification and diagnostic accuracy. By following standardized protocols and utilizing advanced techniques when necessary, microbiologists can overcome the challenges associated with the Hib Gram Stain and achieve more precise and reliable results.

Related Terms:

  • haemophilus gram stain morphology
  • haemophilus influenzae on gram stain
  • gram stain haemophilus
  • haemophilus species gram stain
  • is h flu gram negative
  • influenza gram positive or negative