Heel Spur Surgery

Heel Spur Surgery

Heel spurs are a common foot condition that can cause significant discomfort and pain. They occur when a bony growth develops on the underside of the heel bone, often due to inflammation and strain on the plantar fascia, a thick band of tissue that runs along the bottom of the foot. While many people can manage heel spurs with conservative treatments such as rest, ice, compression, and elevation (RICE), as well as physical therapy and orthotics, some cases may require more invasive interventions. One such intervention is heel spur surgery.

Understanding Heel Spurs

Heel spurs are often associated with plantar fasciitis, a condition characterized by inflammation of the plantar fascia. The plantar fascia supports the arch of the foot and absorbs shock during walking and running. When this tissue becomes inflamed, it can lead to the formation of a heel spur. The spur itself is a calcium deposit that forms on the heel bone, and while it may not always cause pain, it can exacerbate symptoms of plantar fasciitis.

Symptoms of Heel Spurs

The primary symptom of a heel spur is pain in the heel, particularly in the morning or after periods of rest. Other symptoms may include:

  • Pain that worsens with activity
  • Swelling and tenderness in the heel area
  • Difficulty walking or standing for extended periods

Diagnosing Heel Spurs

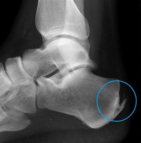
Diagnosing heel spurs typically involves a combination of physical examination and imaging tests. A healthcare provider will assess the foot for tenderness, swelling, and range of motion. Imaging tests such as X-rays, ultrasound, or magnetic resonance imaging (MRI) may be used to confirm the presence of a heel spur and rule out other potential causes of heel pain.

Conservative Treatments for Heel Spurs

Before considering heel spur surgery, most healthcare providers will recommend conservative treatments to manage symptoms and promote healing. These may include:

  • Rest, ice, compression, and elevation (RICE)
  • Over-the-counter pain relievers such as ibuprofen or naproxen
  • Physical therapy to stretch and strengthen the foot and ankle
  • Orthotics or shoe inserts to support the arch and reduce strain on the plantar fascia
  • Night splints to keep the foot in a neutral position during sleep
  • Corticosteroid injections to reduce inflammation

When to Consider Heel Spur Surgery

Surgery is typically considered a last resort for treating heel spurs, reserved for cases where conservative treatments have failed to provide relief. Factors that may indicate the need for heel spur surgery include:

  • Severe and persistent pain that interferes with daily activities
  • Failure to respond to at least six months of conservative treatment
  • Significant limitation in mobility and quality of life

Types of Heel Spur Surgery

There are several surgical procedures that can be performed to treat heel spurs. The choice of procedure depends on the severity of the condition, the patient’s overall health, and the surgeon’s recommendation. Common types of heel spur surgery include:

Endoscopic Plantar Fasciotomy

This minimally invasive procedure involves making small incisions in the foot to access and release the plantar fascia. The surgeon uses an endoscope, a thin tube with a camera, to visualize the area and perform the release. This procedure is often preferred for its shorter recovery time and reduced risk of complications.

Open Plantar Fasciotomy

In this procedure, the surgeon makes a larger incision in the foot to directly access and release the plantar fascia. This approach allows for a more thorough release but may result in a longer recovery period and increased risk of complications.

Heel Spur Removal

In some cases, the surgeon may remove the heel spur itself. This procedure is typically performed in conjunction with a plantar fasciotomy to address both the spur and the underlying inflammation. The surgeon may use a combination of techniques to remove the spur and release the plantar fascia.

Gastrocnemius Recession

This procedure involves lengthening the gastrocnemius muscle, which is located in the calf. Tightness in this muscle can contribute to heel spurs and plantar fasciitis by increasing tension on the plantar fascia. By lengthening the muscle, the surgeon can reduce this tension and promote healing.

Preparing for Heel Spur Surgery

Preparing for heel spur surgery involves several steps to ensure a successful outcome and smooth recovery. Your healthcare provider will provide specific instructions, but general preparations may include:

  • Undergoing pre-operative tests, such as blood tests and imaging studies
  • Stopping certain medications, such as blood thinners, as directed by your surgeon
  • Arranging for transportation and assistance during the recovery period
  • Preparing your home for a comfortable recovery, including setting up a resting area and ensuring easy access to essentials

What to Expect During Heel Spur Surgery

The specifics of the surgical procedure will depend on the type of surgery being performed. However, the general process typically involves the following steps:

  • Anesthesia: The surgery is usually performed under general anesthesia, although local anesthesia may be used in some cases.
  • Incision: The surgeon makes one or more incisions in the foot to access the plantar fascia and heel spur.
  • Release or Removal: The surgeon releases the plantar fascia and/or removes the heel spur, depending on the procedure.
  • Closure: The incisions are closed with sutures, and a dressing is applied to the foot.

📝 Note: The duration of the surgery can vary depending on the complexity of the procedure and the patient's specific needs.

Recovery from Heel Spur Surgery

Recovery from heel spur surgery involves several stages, and the timeline can vary depending on the type of surgery and the individual’s healing process. General guidelines for recovery include:

  • Immediate Post-Operative Period: The foot will be bandaged, and the patient may need to use crutches or a walking boot to keep weight off the foot.
  • Pain Management: Pain medication will be prescribed to manage discomfort during the initial recovery period.
  • Physical Therapy: Physical therapy will be an essential part of the recovery process, focusing on stretching and strengthening exercises to improve mobility and prevent recurrence.
  • Gradual Return to Activities: The patient will gradually return to normal activities, with the surgeon providing specific guidelines on when it is safe to resume walking, driving, and other activities.

Potential Complications of Heel Spur Surgery

As with any surgical procedure, heel spur surgery carries certain risks and potential complications. These may include:

  • Infection
  • Nerve damage
  • Blood clots
  • Recurrence of heel spurs
  • Persistent pain or stiffness

📝 Note: It is essential to follow your surgeon's post-operative instructions carefully to minimize the risk of complications and promote a successful recovery.

Long-Term Outcomes of Heel Spur Surgery

The long-term outcomes of heel spur surgery can vary, but many patients experience significant relief from heel pain and improved mobility. Factors that can influence long-term outcomes include:

  • The severity of the condition before surgery
  • The type of surgery performed
  • The patient’s adherence to post-operative care and rehabilitation
  • Underlying health conditions and lifestyle factors

Preventing Heel Spurs

While not all cases of heel spurs can be prevented, there are several strategies that can help reduce the risk of developing this condition. These include:

  • Maintaining a healthy weight to reduce strain on the feet
  • Wearing supportive footwear with good arch support
  • Stretching and strengthening exercises for the feet and calves
  • Avoiding high-impact activities that can strain the plantar fascia
  • Gradually increasing the intensity and duration of physical activities

Heel spurs can be a challenging condition to manage, but with the right treatment and care, many people can find relief and improve their quality of life. Understanding the causes, symptoms, and treatment options for heel spurs, including heel spur surgery, is essential for making informed decisions about your health. If you are experiencing heel pain, it is important to consult with a healthcare provider to determine the best course of treatment for your specific needs.

Heel Spur

Heel spurs are a common foot condition that can cause significant discomfort and pain. They occur when a bony growth develops on the underside of the heel bone, often due to inflammation and strain on the plantar fascia, a thick band of tissue that runs along the bottom of the foot. While many people can manage heel spurs with conservative treatments such as rest, ice, compression, and elevation (RICE), as well as physical therapy and orthotics, some cases may require more invasive interventions. One such intervention is heel spur surgery.

Heel spurs are often associated with plantar fasciitis, a condition characterized by inflammation of the plantar fascia. The plantar fascia supports the arch of the foot and absorbs shock during walking and running. When this tissue becomes inflamed, it can lead to the formation of a heel spur. The spur itself is a calcium deposit that forms on the heel bone, and while it may not always cause pain, it can exacerbate symptoms of plantar fasciitis.

Diagnosing heel spurs typically involves a combination of physical examination and imaging tests. A healthcare provider will assess the foot for tenderness, swelling, and range of motion. Imaging tests such as X-rays, ultrasound, or magnetic resonance imaging (MRI) may be used to confirm the presence of a heel spur and rule out other potential causes of heel pain.

Before considering heel spur surgery, most healthcare providers will recommend conservative treatments to manage symptoms and promote healing. These may include rest, ice, compression, and elevation (RICE), over-the-counter pain relievers, physical therapy, orthotics or shoe inserts, night splints, and corticosteroid injections.

Surgery is typically considered a last resort for treating heel spurs, reserved for cases where conservative treatments have failed to provide relief. Factors that may indicate the need for heel spur surgery include severe and persistent pain that interferes with daily activities, failure to respond to at least six months of conservative treatment, and significant limitation in mobility and quality of life.

There are several surgical procedures that can be performed to treat heel spurs. The choice of procedure depends on the severity of the condition, the patient's overall health, and the surgeon's recommendation. Common types of heel spur surgery include endoscopic plantar fasciotomy, open plantar fasciotomy, heel spur removal, and gastrocnemius recession.

Preparing for heel spur surgery involves several steps to ensure a successful outcome and smooth recovery. Your healthcare provider will provide specific instructions, but general preparations may include undergoing pre-operative tests, stopping certain medications, arranging for transportation and assistance, and preparing your home for a comfortable recovery.

The specifics of the surgical procedure will depend on the type of surgery being performed. However, the general process typically involves anesthesia, incision, release or removal of the heel spur, and closure of the incisions.

Recovery from heel spur surgery involves several stages, and the timeline can vary depending on the type of surgery and the individual's healing process. General guidelines for recovery include the immediate post-operative period, pain management, physical therapy, and a gradual return to activities.

As with any surgical procedure, heel spur surgery carries certain risks and potential complications. These may include infection, nerve damage, blood clots, recurrence of heel spurs, and persistent pain or stiffness.

The long-term outcomes of heel spur surgery can vary, but many patients experience significant relief from heel pain and improved mobility. Factors that can influence long-term outcomes include the severity of the condition before surgery, the type of surgery performed, the patient's adherence to post-operative care and rehabilitation, and underlying health conditions and lifestyle factors.

While not all cases of heel spurs can be prevented, there are several strategies that can help reduce the risk of developing this condition. These include maintaining a healthy weight, wearing supportive footwear, stretching and strengthening exercises, avoiding high-impact activities, and gradually increasing the intensity and duration of physical activities.

Heel spurs can be a challenging condition to manage, but with the right treatment and care, many people can find relief and improve their quality of life. Understanding the causes, symptoms, and treatment options for heel spurs, including heel spur surgery, is essential for making informed decisions about your health. If you are experiencing heel pain, it is important to consult with a healthcare provider to determine the best course of treatment for your specific needs.

Related Terms:

  • heel spur surgery cpt code
  • heel spur surgery video
  • calcaneal spur surgery
  • heel spur surgery success rate
  • heel spur procedure
  • heel spur surgery prognosis