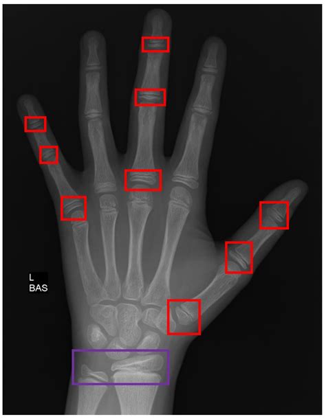
Hand X Ray

Hand X Ray

In the realm of medical diagnostics, the Hand X Ray stands as a cornerstone tool, providing invaluable insights into the skeletal structure and soft tissues of the hand. This non-invasive imaging technique has revolutionized the way medical professionals diagnose and treat a wide range of conditions, from fractures and dislocations to arthritis and tumors. Understanding the intricacies of Hand X Ray imaging is crucial for both healthcare providers and patients alike.

Understanding Hand X Ray Imaging

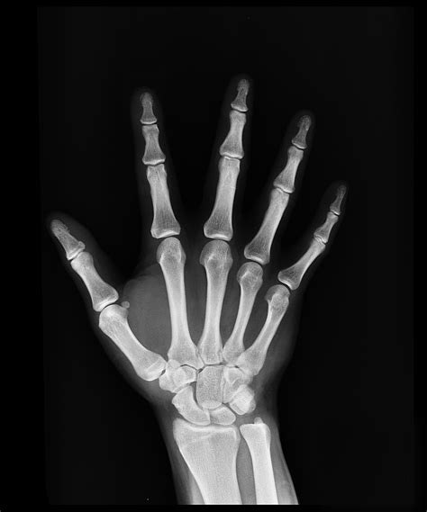
A Hand X Ray is a type of radiography that uses electromagnetic radiation to produce images of the internal structures of the hand. This process involves passing X-rays through the hand and capturing the resulting image on a detector. The varying densities of different tissues—such as bone, muscle, and fat—absorb the X-rays differently, creating a contrast that allows for detailed visualization.

The Importance of Hand X Ray in Diagnostics

The Hand X Ray is indispensable in diagnosing a variety of conditions. Some of the most common uses include:

  • Fractures and Dislocations: X-rays are the primary method for diagnosing broken bones and dislocated joints in the hand.
  • Arthritis: Hand X Ray can reveal the characteristic bone changes associated with different types of arthritis, such as rheumatoid arthritis and osteoarthritis.
  • Tumors and Cysts: X-rays can detect abnormal growths, including benign and malignant tumors, as well as cysts.
  • Infections: In some cases, X-rays can show signs of infection, such as osteomyelitis, which affects the bone.
  • Foreign Bodies: X-rays can help locate foreign objects, such as splinters or metal fragments, that may be embedded in the hand.

Preparing for a Hand X Ray

Preparing for a Hand X Ray is generally straightforward. Patients are usually advised to:

  • Remove any jewelry or metallic objects from the hand and wrist area, as these can interfere with the image quality.
  • Inform the technician if there is a possibility of pregnancy, as X-rays are typically avoided during pregnancy unless absolutely necessary.
  • Follow any specific instructions provided by the healthcare provider, such as avoiding certain medications or activities before the procedure.

During the procedure, the patient will be asked to place their hand on a flat surface, and the technician will position the X-ray machine accordingly. The actual exposure to X-rays is brief, usually lasting only a few seconds.

Interpreting Hand X Ray Results

Interpreting Hand X Ray results requires a trained eye. Radiologists and orthopedic specialists are typically responsible for analyzing the images. Key areas of focus include:

  • Bone Density: Variations in bone density can indicate fractures, tumors, or other abnormalities.
  • Joint Spaces: Narrowing of joint spaces can be a sign of arthritis.
  • Soft Tissue: While X-rays primarily focus on bones, they can also provide some information about soft tissues, such as swelling or the presence of foreign bodies.

Here is a table outlining some common findings and their potential diagnoses:

Finding Potential Diagnosis
Fracture Line Bone Fracture
Joint Space Narrowing Arthritis
Bone Lesion Tumor or Cyst
Soft Tissue Swelling Infection or Injury

📝 Note: While Hand X Ray is a valuable diagnostic tool, it is not always conclusive. In some cases, additional imaging techniques such as MRI or CT scans may be required for a more comprehensive evaluation.

Advanced Imaging Techniques

In addition to traditional Hand X Ray, advanced imaging techniques offer more detailed views of the hand's internal structures. These include:

  • Magnetic Resonance Imaging (MRI): Provides detailed images of soft tissues, including ligaments, tendons, and muscles.
  • Computed Tomography (CT) Scan: Offers cross-sectional images of the hand, useful for detecting complex fractures and bone abnormalities.
  • Ultrasound: Uses sound waves to create real-time images of soft tissues and can be particularly useful for diagnosing conditions like tendonitis or carpal tunnel syndrome.

These advanced techniques are often used in conjunction with Hand X Ray to provide a more comprehensive diagnostic picture.

Safety and Radiation Exposure

One of the primary concerns with Hand X Ray is the potential for radiation exposure. However, modern X-ray machines are designed to minimize radiation doses, making the procedure relatively safe. The benefits of accurate diagnosis typically outweigh the risks associated with low levels of radiation exposure.

Patients should be reassured that the radiation dose from a single Hand X Ray is minimal and comparable to the amount of natural background radiation a person receives in a few days. Nevertheless, it is essential to follow the principle of ALARA (As Low As Reasonably Achievable) to ensure that radiation exposure is kept to a minimum.

📝 Note: Pregnant women should inform their healthcare provider before undergoing a Hand X Ray, as radiation exposure during pregnancy can potentially harm the developing fetus.

Conclusion

The Hand X Ray is an essential tool in modern medicine, providing critical insights into the health of the hand’s bones and soft tissues. From diagnosing fractures and arthritis to detecting tumors and infections, this imaging technique plays a pivotal role in patient care. Understanding the process, preparation, and interpretation of Hand X Ray results can help patients and healthcare providers make informed decisions about treatment and management. While advanced imaging techniques offer additional diagnostic capabilities, the Hand X Ray remains a cornerstone of hand diagnostics, offering a safe and effective means of visualizing internal structures with minimal radiation exposure.

Related Terms:

  • hand x ray anatomy labeled
  • hand x ray positioning
  • lateral hand x ray
  • hand x ray procedure
  • hand x ray views
  • normal hand x ray