Greater Sphenoid Wing

Greater Sphenoid Wing

The Greater Sphenoid Wing is a critical anatomical structure located in the skull, specifically within the sphenoid bone. This wing-like projection plays a pivotal role in the overall structure and function of the cranium, providing attachment points for various muscles and ligaments. Understanding the Greater Sphenoid Wing is essential for medical professionals, anatomists, and anyone interested in the intricacies of human anatomy.

The Anatomy of the Greater Sphenoid Wing

The sphenoid bone is a complex, butterfly-shaped bone situated at the base of the skull. It consists of several parts, including the body, lesser wings, and greater wings. The Greater Sphenoid Wing is the larger of the two wings and extends laterally from the body of the sphenoid bone. This wing is crucial for its role in forming part of the lateral wall of the skull and providing attachment sites for important muscles and ligaments.

Key Features of the Greater Sphenoid Wing

The Greater Sphenoid Wing has several key features that contribute to its functional significance:

  • Shape and Size: The Greater Sphenoid Wing is larger and more robust compared to the lesser wing. It extends laterally and posteriorly, forming a significant portion of the lateral wall of the skull.
  • Attachment Sites: It serves as an attachment point for several important muscles, including the temporalis muscle, which is crucial for jaw movement. Additionally, it provides attachment for ligaments that stabilize the skull.
  • Foramina and Canals: The Greater Sphenoid Wing contains several foramina and canals that allow nerves and blood vessels to pass through. These include the foramen ovale, foramen spinosum, and the infraorbital groove.

Functional Significance of the Greater Sphenoid Wing

The Greater Sphenoid Wing plays a multifaceted role in the skull's structure and function. Its primary functions include:

  • Structural Support: It provides essential structural support to the lateral wall of the skull, contributing to the overall stability and integrity of the cranium.
  • Muscle Attachment: The wing serves as an attachment site for the temporalis muscle, which is involved in the movement of the jaw. This muscle is crucial for activities such as chewing and speaking.
  • Nerve and Vessel Passage: The foramina and canals within the Greater Sphenoid Wing allow for the passage of important nerves and blood vessels, ensuring proper innervation and blood supply to the surrounding structures.

Clinical Relevance of the Greater Sphenoid Wing

The Greater Sphenoid Wing is clinically relevant for several reasons, particularly in the fields of neurosurgery, otolaryngology, and maxillofacial surgery. Understanding its anatomy and function is crucial for diagnosing and treating various conditions. Some of the clinical implications include:

  • Trauma and Fractures: Fractures of the Greater Sphenoid Wing can occur due to trauma, such as motor vehicle accidents or falls. These fractures can be complex and may require surgical intervention to restore the skull's integrity.
  • Tumors and Lesions: Tumors and other lesions can develop in or around the Greater Sphenoid Wing, affecting the surrounding structures and potentially causing neurological symptoms.
  • Surgical Approaches: The Greater Sphenoid Wing is often involved in surgical approaches to the skull base and middle cranial fossa. Surgeons must have a thorough understanding of its anatomy to avoid complications during procedures.

Imaging and Diagnostic Techniques

Imaging techniques play a crucial role in the diagnosis and management of conditions involving the Greater Sphenoid Wing. Common imaging modalities include:

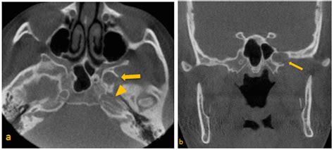
  • Computed Tomography (CT): CT scans provide detailed images of the bony structures, making them ideal for evaluating fractures, tumors, and other abnormalities in the Greater Sphenoid Wing.
  • Magnetic Resonance Imaging (MRI): MRI is useful for assessing soft tissue structures and detecting lesions or tumors that may affect the nerves and blood vessels passing through the Greater Sphenoid Wing.
  • Angiography: This technique involves the use of contrast agents to visualize blood vessels, helping to identify any vascular abnormalities or lesions in the region.

📌 Note: Imaging techniques should be selected based on the specific clinical scenario and the information required for diagnosis and treatment planning.

Surgical Considerations

Surgery involving the Greater Sphenoid Wing requires meticulous planning and execution. Key considerations include:

  • Preoperative Planning: Detailed preoperative imaging and planning are essential to understand the anatomy and any abnormalities in the region. This helps in minimizing complications during surgery.
  • Surgical Approaches: Various surgical approaches can be used to access the Greater Sphenoid Wing, depending on the specific condition being treated. Common approaches include the pterional approach and the subtemporal approach.
  • Postoperative Care: Postoperative care involves monitoring for complications such as infection, bleeding, and neurological deficits. Patients may require rehabilitation to regain full function.

Common Conditions Affecting the Greater Sphenoid Wing

Several conditions can affect the Greater Sphenoid Wing, including:

  • Fractures: Fractures of the Greater Sphenoid Wing can occur due to trauma and may require surgical intervention to restore the skull's integrity.
  • Tumors: Tumors such as meningiomas, schwannomas, and chordomas can develop in or around the Greater Sphenoid Wing, affecting the surrounding structures and potentially causing neurological symptoms.
  • Infections: Infections in the region can lead to complications such as osteomyelitis, which may require antibiotic treatment and surgical debridement.

Here is a table summarizing some of the common conditions affecting the Greater Sphenoid Wing:

Condition Causes Symptoms Treatment
Fractures Trauma Pain, swelling, neurological deficits Surgical repair, rehabilitation
Tumors Neoplastic growth Headache, neurological deficits, seizures Surgical resection, radiation therapy, chemotherapy
Infections Bacterial, viral, or fungal pathogens Pain, swelling, fever, neurological deficits Antibiotic treatment, surgical debridement

📌 Note: The treatment of conditions affecting the Greater Sphenoid Wing should be individualized based on the specific clinical scenario and the patient's overall health status.

Future Directions in Research

Research on the Greater Sphenoid Wing continues to evolve, with a focus on improving diagnostic and treatment modalities. Future directions include:

  • Advanced Imaging Techniques: Developing more advanced imaging techniques to provide even more detailed and accurate visualizations of the Greater Sphenoid Wing and surrounding structures.
  • Minimally Invasive Surgery: Exploring minimally invasive surgical approaches to reduce complications and improve patient outcomes.
  • Biomaterials and Tissue Engineering: Investigating the use of biomaterials and tissue engineering to enhance the repair and regeneration of the Greater Sphenoid Wing and surrounding tissues.

Research in these areas holds promise for improving the diagnosis and treatment of conditions affecting the Greater Sphenoid Wing, ultimately enhancing patient care and outcomes.

In conclusion, the Greater Sphenoid Wing is a critical anatomical structure with significant functional and clinical relevance. Understanding its anatomy, function, and clinical implications is essential for medical professionals and researchers alike. By continuing to advance our knowledge and techniques in this area, we can improve the diagnosis and treatment of conditions affecting the Greater Sphenoid Wing, ultimately enhancing patient care and outcomes.

Related Terms:

  • larger wings of sphenoid bone
  • greater and lesser sphenoid wings
  • greater wings of sphenoid bone
  • greater sphenoid wing fracture
  • greater sphenoid wing axial ct
  • sphenoid bone greater wing function