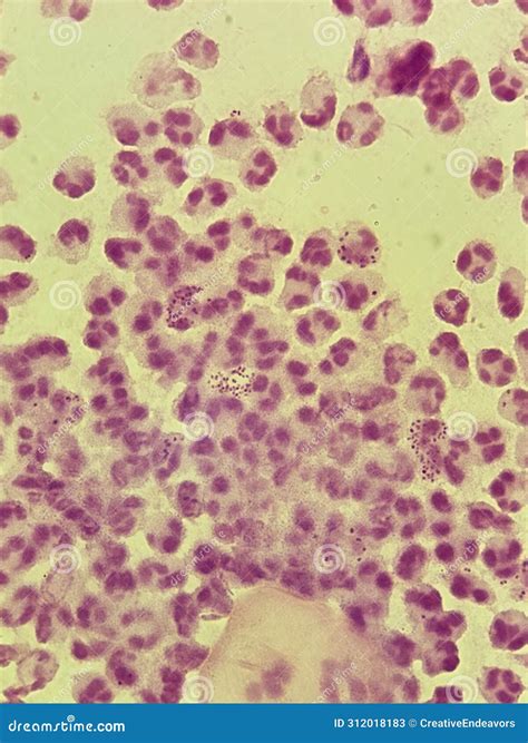
Gram Negative Diplococci

Gram Negative Diplococci

Understanding the intricacies of bacterial infections is crucial for healthcare professionals and researchers alike. Among the various types of bacteria, Gram Negative Diplococci are particularly noteworthy due to their unique characteristics and clinical significance. This post delves into the world of Gram Negative Diplococci, exploring their structure, identification methods, clinical relevance, and treatment options.

Understanding Gram Negative Diplococci

Gram Negative Diplococci are a group of bacteria characterized by their Gram-negative staining properties and their typical arrangement in pairs (diplococci). These bacteria have a thin peptidoglycan layer and an outer membrane, which makes them resistant to certain antibiotics and stains. The most well-known members of this group include Neisseria gonorrhoeae and Neisseria meningitidis, both of which are significant pathogens in human health.

Structure and Characteristics

Gram Negative Diplococci have a distinctive structure that sets them apart from other bacterial types. Key features include:

  • Cell Wall Composition: The cell wall of Gram Negative Diplococci consists of a thin peptidoglycan layer surrounded by an outer membrane. This outer membrane contains lipopolysaccharides (LPS), which contribute to the bacteria's virulence and immune response.
  • Shape and Arrangement: As the name suggests, these bacteria are typically arranged in pairs (diplococci). They are spherical or oval in shape, with a diameter ranging from 0.6 to 1.0 micrometers.
  • Staining Properties: Due to their thin peptidoglycan layer, Gram Negative Diplococci do not retain the crystal violet stain used in Gram staining. Instead, they appear pink or red when counterstained with safranin or fuchsin.

Identification Methods

Accurate identification of Gram Negative Diplococci is essential for appropriate treatment and management of infections. Several methods are used to identify these bacteria:

  • Gram Staining: This is the primary method for initial identification. Gram Negative Diplococci appear pink or red under the microscope after Gram staining.
  • Culture and Biochemical Tests: Specific culture media and biochemical tests are used to differentiate between different species of Gram Negative Diplococci. For example, Neisseria gonorrhoeae and Neisseria meningitidis can be distinguished using oxidase and carbohydrate fermentation tests.
  • Molecular Techniques: Polymerase Chain Reaction (PCR) and other molecular methods are increasingly used for rapid and accurate identification of Gram Negative Diplococci. These techniques can detect specific genetic sequences unique to different species.

Clinical Relevance

Gram Negative Diplococci are responsible for a variety of clinical infections, ranging from mild to life-threatening. Some of the most significant pathogens in this group include:

  • Neisseria gonorrhoeae: This bacterium is the causative agent of gonorrhea, a sexually transmitted infection (STI) that can affect the genitourinary tract, rectum, and pharynx. Complications of gonorrhea include pelvic inflammatory disease (PID) in women and epididymitis in men.
  • Neisseria meningitidis: Also known as the meningococcus, this bacterium can cause meningitis and septicemia. Meningitis is an inflammation of the membranes surrounding the brain and spinal cord, while septicemia is a severe bloodstream infection. Both conditions can be life-threatening if not treated promptly.
  • Moraxella catarrhalis: This bacterium is a common cause of respiratory tract infections, including sinusitis, otitis media, and pneumonia. It is particularly relevant in patients with underlying respiratory conditions such as chronic obstructive pulmonary disease (COPD).

Treatment Options

The treatment of infections caused by Gram Negative Diplococci depends on the specific pathogen and the site of infection. Common treatment options include:

  • Antibiotics: The choice of antibiotic depends on the susceptibility of the bacterium. For example, Neisseria gonorrhoeae is often treated with cephalosporins or azithromycin, while Neisseria meningitidis may require penicillin or ceftriaxone. Moraxella catarrhalis infections are typically treated with amoxicillin-clavulanate or a macrolide.
  • Supportive Care: In severe cases, such as meningitis or septicemia, supportive care is crucial. This may include intravenous fluids, respiratory support, and management of complications such as shock or organ failure.
  • Vaccination: Vaccines are available for some Gram Negative Diplococci, such as Neisseria meningitidis. Vaccination is an important preventive measure, particularly for high-risk groups such as infants, adolescents, and travelers to endemic areas.

Prevention and Control

Preventing infections caused by Gram Negative Diplococci involves a combination of public health measures, vaccination, and personal hygiene practices. Key strategies include:

  • Vaccination: Routine vaccination against Neisseria meningitidis is recommended for infants, adolescents, and high-risk groups. Vaccines are also available for Neisseria gonorrhoeae, although their use is less widespread.
  • Safe Sex Practices: Using condoms and practicing safe sex can reduce the risk of sexually transmitted infections, including gonorrhea.
  • Hand Hygiene: Regular hand washing and use of alcohol-based hand sanitizers can help prevent the spread of respiratory infections caused by Gram Negative Diplococci.
  • Public Health Measures: Surveillance and outbreak control measures are essential for managing the spread of infections. This includes contact tracing, isolation of infected individuals, and public education campaigns.

📌 Note: It is important to note that antibiotic resistance is a growing concern with Gram Negative Diplococci. Proper use of antibiotics and adherence to treatment guidelines are crucial to prevent the development of resistance.

Diagnostic Challenges

Diagnosing infections caused by Gram Negative Diplococci can be challenging due to their similar appearance and the need for specialized tests. Some of the diagnostic challenges include:

  • Similar Morphology: Gram Negative Diplococci have a similar morphology, making it difficult to differentiate between species based on Gram staining alone.
  • Need for Specialized Tests: Accurate identification often requires specialized biochemical tests or molecular techniques, which may not be available in all clinical settings.
  • Rapid Identification: In cases of severe infections, such as meningitis, rapid identification and treatment are crucial. Molecular techniques, such as PCR, can provide quick results but may not be widely available.

The field of microbiology is constantly evolving, and new research is shedding light on the mechanisms of infection and resistance in Gram Negative Diplococci. Some emerging trends include:

  • Antibiotic Resistance: Research is focused on understanding the mechanisms of antibiotic resistance in Gram Negative Diplococci and developing new antibiotics or alternative treatments.
  • Vaccine Development: Efforts are underway to develop more effective vaccines against Neisseria gonorrhoeae and other Gram Negative Diplococci. This includes exploring new vaccine candidates and improving existing vaccines.
  • Diagnostic Tools: Advances in molecular diagnostics are making it easier to identify Gram Negative Diplococci quickly and accurately. This includes the development of point-of-care tests and rapid molecular assays.

In addition to these trends, ongoing research is exploring the role of Gram Negative Diplococci in various clinical settings and their interaction with the host immune system. This research is crucial for developing new strategies for prevention, diagnosis, and treatment of infections caused by these bacteria.

In conclusion, Gram Negative Diplococci are a diverse and clinically significant group of bacteria. Understanding their structure, identification methods, clinical relevance, and treatment options is essential for healthcare professionals and researchers. By staying informed about the latest research and diagnostic tools, we can improve the management and prevention of infections caused by these bacteria. This knowledge is crucial for protecting public health and reducing the burden of bacterial infections worldwide.

Related Terms:

  • gram negative diplococci std
  • gram negative diplococci in sputum
  • gram negative diplococci meningitis
  • gram positive diplococci
  • gram negative diplococci gonorrhea
  • gram negative diplococci gram stain