Gartner's Duct Cyst

Gartner's Duct Cyst

In the realm of medical diagnostics and research, the identification and understanding of various medical conditions are paramount. One such condition that has garnered attention in recent years is Gartner's Duct Cyst. This condition, though relatively rare, can have significant implications for those affected. This blog post delves into the intricacies of Gartner's Duct Cyst, exploring its causes, symptoms, diagnostic methods, and treatment options.

Understanding Gartner’s Duct Cyst

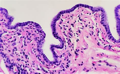
Gartner’s Duct Cyst is a benign cyst that develops from the remnants of the Gartner’s duct, which is a vestigial structure in the female reproductive system. This duct is a remnant of the mesonephric (Wolffian) duct, which typically regresses during fetal development. However, in some cases, parts of this duct may persist and give rise to cysts, leading to the formation of Gartner’s Duct Cyst.

Causes of Gartner’s Duct Cyst

The exact causes of Gartner’s Duct Cyst are not fully understood, but several factors are believed to contribute to its development:

  • Genetic Predisposition: There may be a genetic component that predisposes individuals to the persistence of the Gartner’s duct.
  • Hormonal Influences: Hormonal imbalances during fetal development could potentially affect the regression of the mesonephric duct.
  • Developmental Abnormalities: Abnormalities in the developmental process of the female reproductive system can lead to the persistence of the Gartner’s duct.

Symptoms of Gartner’s Duct Cyst

Gartner’s Duct Cysts are often asymptomatic and may go undetected for extended periods. However, when symptoms do occur, they can include:

  • Pelvic Pain: Persistent or intermittent pain in the pelvic region.
  • Dyspareunia: Pain during sexual intercourse.
  • Menstrual Irregularities: Changes in the menstrual cycle, including heavier or more painful periods.
  • Urinary Symptoms: Frequent urination or discomfort during urination.

It is important to note that these symptoms can also be indicative of other conditions, so a thorough medical evaluation is necessary for an accurate diagnosis.

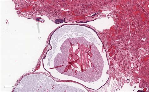
Diagnostic Methods

Diagnosing Gartner’s Duct Cyst involves a combination of clinical evaluation and imaging studies. The diagnostic process typically includes:

  • Medical History and Physical Examination: A detailed medical history and physical examination can provide initial clues about the presence of a cyst.
  • Imaging Studies: Ultrasound, MRI, and CT scans are commonly used to visualize the cyst and determine its location and size.
  • Laparoscopy: In some cases, a minimally invasive surgical procedure called laparoscopy may be performed to directly visualize the cyst and obtain a biopsy if necessary.

Imaging studies are particularly crucial in differentiating Gartner’s Duct Cyst from other types of cysts or tumors in the pelvic region.

Treatment Options

The treatment of Gartner’s Duct Cyst depends on various factors, including the size of the cyst, the presence of symptoms, and the patient’s overall health. Treatment options can range from conservative management to surgical intervention:

  • Observation: For asymptomatic cysts, a watchful waiting approach may be recommended, with regular monitoring through imaging studies.
  • Medications: Hormonal therapies may be prescribed to manage symptoms and potentially reduce the size of the cyst.
  • Surgical Removal: In cases where the cyst is large, symptomatic, or causing complications, surgical removal may be necessary. This can be done through laparoscopic surgery, which is minimally invasive and has a shorter recovery time.

It is essential for patients to discuss the potential risks and benefits of each treatment option with their healthcare provider to make an informed decision.

Complications and Risks

While Gartner’s Duct Cyst is generally benign, it can lead to complications if left untreated. Potential complications include:

  • Infection: The cyst can become infected, leading to pain, fever, and other systemic symptoms.
  • Rupture: A large cyst may rupture, causing sudden pain and internal bleeding.
  • Infertility: In rare cases, the presence of a cyst can affect fertility by obstructing the fallopian tubes or causing other reproductive issues.

Regular follow-up and monitoring are crucial to detect and manage any potential complications early.

Prevention and Management

Preventing Gartner’s Duct Cyst is challenging due to its developmental origins. However, effective management strategies can help minimize the impact of the condition:

  • Regular Check-ups: Regular gynecological check-ups and imaging studies can help detect cysts early.
  • Hormonal Balance: Maintaining hormonal balance through lifestyle changes and medical interventions can potentially reduce the risk of cyst formation.
  • Early Intervention: Prompt treatment of any symptoms or complications can prevent the progression of the condition.

Patients should work closely with their healthcare providers to develop a personalized management plan tailored to their specific needs.

📝 Note: It is important to consult with a healthcare professional for personalized advice and treatment options related to Gartner's Duct Cyst.

Gartner’s Duct Cyst is a condition that, while relatively rare, can have significant implications for those affected. Understanding its causes, symptoms, diagnostic methods, and treatment options is crucial for effective management and prevention of complications. Regular medical check-ups, prompt intervention, and a personalized management plan can help individuals with Gartner’s Duct Cyst lead healthy and fulfilling lives.

Related Terms:

  • gartner's duct cyst icd 10
  • gartner's duct cyst management
  • gartner duct cyst found
  • gartner duct cyst excision
  • gartner's duct cyst pathology
  • gartner's duct cyst pathology outlines