Fracture Weber C

Fracture Weber C

Understanding the Fracture Weber C classification system is crucial for healthcare professionals dealing with ankle injuries. This system, developed by Friedrich Daniel von Weber, provides a standardized way to categorize ankle fractures based on their severity and the involvement of specific bones and ligaments. By grasping the nuances of the Fracture Weber C classification, medical practitioners can make more informed decisions about treatment and rehabilitation, ultimately improving patient outcomes.

Understanding Ankle Fractures

Ankle fractures are common injuries that can occur due to various mechanisms, such as twisting the ankle, falling, or direct trauma. The ankle joint is composed of three bones: the tibia, fibula, and talus. The Fracture Weber C classification specifically focuses on fractures of the distal fibula, which is the lower end of the fibula bone.

The Weber Classification System

The Weber classification system is widely used to categorize ankle fractures based on the level of the fibular fracture in relation to the syndesmosis, which is the ligamentous connection between the tibia and fibula. The system is divided into three main types: Weber A, Weber B, and Fracture Weber C.

Weber A Fractures

Weber A fractures occur below the level of the syndesmosis. These fractures are typically stable and involve the lateral malleolus. Treatment often includes immobilization and non-weight-bearing for a period, followed by physical therapy to regain strength and mobility.

Weber B Fractures

Weber B fractures occur at the level of the syndesmosis. These fractures are more complex and can involve instability of the ankle joint. Treatment may require surgical intervention, such as open reduction and internal fixation (ORIF), to realign the bones and stabilize the joint.

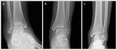
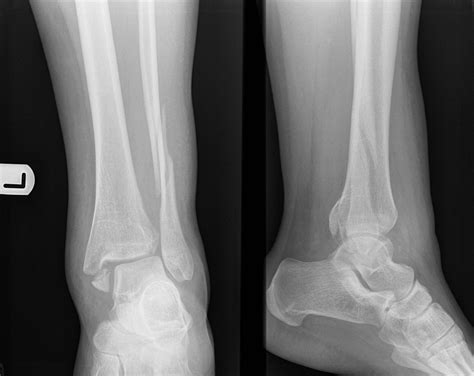
Fracture Weber C

Fracture Weber C injuries are the most severe and occur above the level of the syndesmosis. These fractures are often associated with significant instability of the ankle joint and may involve damage to the syndesmotic ligaments. Fracture Weber C injuries typically require surgical intervention to restore stability and alignment.

Diagnosis of Fracture Weber C

Diagnosing a Fracture Weber C involves a thorough clinical examination and imaging studies. The diagnostic process typically includes:

  • Clinical Examination: Assessing the patient's pain, swelling, and range of motion. Checking for tenderness and deformity around the ankle joint.
  • Imaging Studies: X-rays are the primary imaging modality used to visualize the fracture. Additional imaging, such as CT scans or MRIs, may be required to assess the extent of the injury and plan treatment.

X-rays are essential for determining the exact location and severity of the fracture. A lateral view of the ankle can help identify the level of the fibular fracture in relation to the syndesmosis. CT scans provide detailed images of the bone structure and can help in surgical planning. MRIs are useful for evaluating soft tissue injuries, such as ligament damage.

Treatment Options for Fracture Weber C

Treatment of Fracture Weber C injuries depends on the severity of the fracture and the stability of the ankle joint. The primary goals of treatment are to restore alignment, stabilize the joint, and promote healing. Treatment options include:

  • Non-Surgical Treatment: In rare cases, non-surgical treatment may be considered for stable Fracture Weber C injuries. This may include immobilization in a cast or splint, followed by physical therapy.
  • Surgical Treatment: Most Fracture Weber C injuries require surgical intervention. Common surgical procedures include:
Procedure Description
Open Reduction and Internal Fixation (ORIF) This procedure involves realigning the fractured bones and securing them with plates, screws, or rods. ORIF is often used to stabilize the ankle joint and promote healing.
Syndesmotic Fixation This procedure involves repairing the syndesmotic ligaments using screws or sutures. Syndesmotic fixation is often performed in conjunction with ORIF to restore stability to the ankle joint.

Post-operative care is crucial for a successful recovery. Patients typically require a period of immobilization, followed by gradual weight-bearing and physical therapy to regain strength and mobility. Regular follow-up appointments are essential to monitor healing and adjust the rehabilitation plan as needed.

πŸ“ Note: Early mobilization and physical therapy are important for preventing stiffness and promoting a full recovery.

Rehabilitation and Recovery

Rehabilitation after a Fracture Weber C injury focuses on restoring function and preventing long-term complications. The rehabilitation process typically includes:

  • Immobilization: Initial immobilization in a cast or splint to allow the fracture to heal.
  • Gradual Weight-Bearing: Gradually increasing weight-bearing activities as the fracture heals.
  • Physical Therapy: Exercises to improve range of motion, strength, and proprioception. Physical therapy may include:
  • Range of motion exercises to improve flexibility.
  • Strengthening exercises to rebuild muscle strength.
  • Balance and proprioception exercises to improve stability.

Patients should follow their healthcare provider's recommendations for rehabilitation to ensure a successful recovery. Regular follow-up appointments are essential to monitor progress and adjust the rehabilitation plan as needed.

πŸ“ Note: Adherence to the rehabilitation plan is crucial for a full recovery and preventing long-term complications.

Complications and Long-Term Outcomes

Fracture Weber C injuries can lead to various complications if not properly treated. Potential complications include:

  • Non-Union or Malunion: Failure of the fracture to heal properly, leading to deformity or instability.
  • Post-Traumatic Arthritis: Development of arthritis in the ankle joint due to damage to the cartilage.
  • Chronic Pain and Stiffness: Persistent pain and limited range of motion in the ankle joint.
  • Infection: Risk of infection, especially after surgical intervention.

Long-term outcomes for Fracture Weber C injuries depend on the severity of the fracture, the effectiveness of treatment, and adherence to the rehabilitation plan. With proper treatment and rehabilitation, many patients can achieve a full recovery and return to their previous level of activity.

However, some patients may experience long-term complications, such as chronic pain or post-traumatic arthritis. Regular follow-up appointments and ongoing management are essential for addressing these issues and maintaining long-term joint health.

πŸ“ Note: Early intervention and adherence to the treatment plan can significantly improve long-term outcomes and reduce the risk of complications.

In summary, understanding the Fracture Weber C classification system is essential for healthcare professionals managing ankle injuries. By recognizing the severity and complexity of Fracture Weber C injuries, medical practitioners can make informed decisions about treatment and rehabilitation, ultimately improving patient outcomes. Early diagnosis, appropriate treatment, and comprehensive rehabilitation are key to achieving a successful recovery and preventing long-term complications.

Related Terms:

  • weber c fracture healing time
  • weber b fracture icd 10
  • weber c fracture surgery
  • weber c fracture orthobullets
  • weber c fracture rehabilitation
  • weber c fracture treatment