Fibula And Tibia Broken

Fibula And Tibia Broken

Injuries to the lower leg, particularly those involving the fibula and tibia broken, are among the most severe and debilitating. These bones, which form the lower leg, are crucial for mobility and stability. Understanding the causes, symptoms, diagnosis, and treatment options for such injuries is essential for anyone who may encounter or experience them.

Understanding the Fibula and Tibia

The tibia, also known as the shinbone, is the larger of the two bones in the lower leg. It bears most of the body’s weight and is essential for standing and walking. The fibula, on the other hand, is the smaller bone located on the outer side of the leg. While it does not bear as much weight as the tibia, it plays a crucial role in stabilizing the ankle and supporting the muscles of the lower leg.

Causes of Fibula and Tibia Fractures

Fractures of the fibula and tibia can occur due to various reasons, including:

  • Trauma: High-impact accidents, such as car crashes or falls from significant heights, are common causes.
  • Sports Injuries: Contact sports like football, soccer, and basketball often result in lower leg fractures.
  • Overuse: Repetitive stress on the bones, often seen in athletes, can lead to stress fractures.
  • Medical Conditions: Conditions like osteoporosis can weaken the bones, making them more susceptible to fractures.

Symptoms of a Broken Fibula and Tibia

Recognizing the symptoms of a fibula and tibia broken is crucial for prompt medical intervention. Common symptoms include:

  • Severe pain, especially when trying to bear weight on the leg.
  • Swelling and bruising around the injured area.
  • Deformity or visible misalignment of the leg.
  • Inability to move the leg or bear weight.
  • Numbness or tingling in the foot or lower leg.

Diagnosing a Broken Fibula and Tibia

Diagnosing a fracture involves a combination of physical examination and imaging tests. The process typically includes:

  • Physical Examination: A healthcare provider will assess the injured area for swelling, deformity, and tenderness.
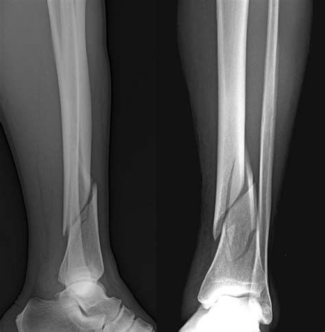
  • X-rays: These are the primary imaging tool used to confirm the presence and type of fracture.
  • CT Scans: For more detailed images, especially in complex fractures.
  • MRI Scans: To evaluate soft tissue damage and assess the extent of the injury.

Treatment Options for a Broken Fibula and Tibia

The treatment for a fibula and tibia broken depends on the severity and type of fracture. Common treatment options include:

  • Immobilization: Using a cast, splint, or brace to keep the bone in place while it heals.
  • Surgery: In severe cases, surgery may be required to realign the bones and stabilize them with plates, screws, or rods.
  • Physical Therapy: To regain strength, flexibility, and range of motion after the fracture has healed.
  • Pain Management: Medications to manage pain and inflammation.

Recovery and Rehabilitation

Recovery from a fibula and tibia broken can be a lengthy process, often taking several months. The rehabilitation phase is crucial for regaining full function of the leg. Key aspects of rehabilitation include:

  • Gradual Weight-Bearing: Slowly increasing the amount of weight placed on the injured leg.
  • Strengthening Exercises: To rebuild muscle strength and endurance.
  • Range of Motion Exercises: To improve flexibility and mobility.
  • Balance and Proprioception Training: To enhance stability and coordination.

📝 Note: It is essential to follow the rehabilitation plan prescribed by a healthcare provider to ensure a full and speedy recovery.

Complications of Fibula and Tibia Fractures

While most fractures heal without complications, there are potential risks to be aware of:

  • Non-Union: When the bone does not heal properly, leading to persistent pain and instability.
  • Malunion: When the bone heals in a misaligned position, affecting mobility and function.
  • Infection: Particularly in cases where surgery is required.
  • Nerve or Blood Vessel Damage: Which can lead to numbness, tingling, or reduced blood flow.

Preventing Fibula and Tibia Fractures

While not all fractures can be prevented, there are steps you can take to reduce the risk:

  • Wear Protective Gear: During sports and physical activities.
  • Maintain Bone Health: Through a balanced diet rich in calcium and vitamin D.
  • Regular Exercise: To strengthen bones and muscles.
  • Fall Prevention: Especially for older adults, by removing tripping hazards and using assistive devices if needed.

📝 Note: Regular check-ups with a healthcare provider can help identify and manage conditions that increase the risk of fractures, such as osteoporosis.

Case Studies and Real-Life Examples

Understanding the impact of a fibula and tibia broken through real-life examples can provide valuable insights. Consider the following scenarios:

  • Athlete’s Injury: A professional soccer player sustains a fracture during a match. Immediate medical attention and surgery are required to realign the bones. The player undergoes extensive rehabilitation, including physical therapy and strength training, to return to the field.
  • Elderly Fall: An elderly individual falls at home and breaks both the fibula and tibia. The fracture is stabilized with a cast, and the patient receives pain management and physical therapy to regain mobility.

Long-Term Effects and Management

Even after the initial healing process, individuals with a history of fibula and tibia broken may experience long-term effects. These can include:

  • Chronic Pain: Persistent discomfort in the injured area.
  • Reduced Mobility: Limited range of motion and flexibility.
  • Increased Risk of Future Fractures: Especially in the same area.

Managing these long-term effects involves:

  • Ongoing Physical Therapy: To maintain strength and flexibility.
  • Pain Management: Through medications or alternative therapies like acupuncture.
  • Regular Check-Ups: To monitor bone health and address any new issues promptly.

📝 Note: It is important to stay proactive in managing long-term effects to maintain overall health and quality of life.

Support and Resources

Dealing with a fibula and tibia broken can be challenging, both physically and emotionally. Seeking support from various resources can be beneficial:

  • Healthcare Providers: For medical advice and treatment.
  • Physical Therapists: To guide the rehabilitation process.
  • Support Groups: To connect with others who have experienced similar injuries.
  • Online Resources: For information and tips on managing the injury and recovery.

Additionally, understanding the emotional impact of such injuries is crucial. Feelings of frustration, anxiety, and depression are common. Seeking support from mental health professionals can help manage these emotions and promote overall well-being.

In conclusion, a fibula and tibia broken is a serious injury that requires prompt medical attention and a comprehensive rehabilitation plan. Understanding the causes, symptoms, diagnosis, and treatment options is essential for effective management. By following a structured recovery plan and seeking support, individuals can regain mobility and quality of life. Regular check-ups and proactive management of long-term effects are crucial for maintaining overall health and preventing future injuries.

Related Terms:

  • tibial fibula fracture symptoms
  • broken tib fib recovery time
  • tibia fibula fracture pathophysiology
  • tibia and fibula bones surgery
  • tibia fibula leg
  • tibia fibula fracture recovery