Fibroids Icd 10

Fibroids Icd 10

Uterine fibroids, also known as leiomyomas or myomas, are benign tumors that develop in the uterus. These growths are quite common, affecting a significant number of women during their reproductive years. Understanding the diagnosis and classification of fibroids, including the use of codes like Fibroids Icd 10, is crucial for effective management and treatment. This post delves into the intricacies of fibroids, their diagnosis, and the importance of accurate coding in medical records.

Understanding Uterine Fibroids

Uterine fibroids are noncancerous growths that originate from the smooth muscle tissue of the uterus. They can vary in size, from tiny seedlings to large masses that can distort the shape of the uterus. Fibroids can be classified based on their location within the uterus:

  • Intramural fibroids: These grow within the muscular wall of the uterus.
  • Subserosal fibroids: These project outward from the uterus into the pelvic cavity.
  • Submucosal fibroids: These grow just underneath the lining of the uterus and can protrude into the uterine cavity.
  • Pedunculated fibroids: These are attached to the uterus by a stalk.

Symptoms and Diagnosis of Fibroids

Many women with fibroids do not experience any symptoms. However, when symptoms do occur, they can include:

  • Heavy menstrual bleeding
  • Prolonged menstrual periods
  • Pelvic pain or pressure
  • Frequent urination
  • Constipation
  • Backache or leg pains

Diagnosing fibroids typically involves a combination of medical history, physical examination, and imaging tests. Common diagnostic methods include:

  • Pelvic exam: A healthcare provider may feel the uterus and surrounding areas for any abnormalities.
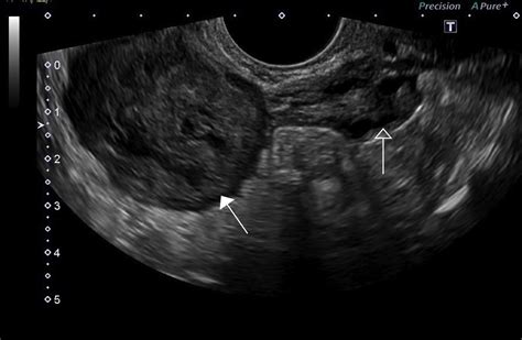
  • Ultrasound: This imaging test uses sound waves to create images of the uterus and can help identify the size and location of fibroids.
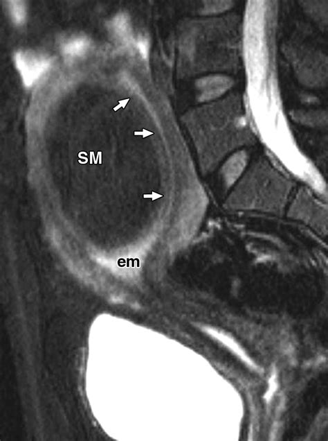
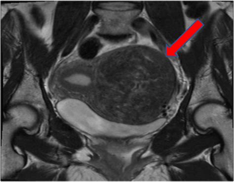
  • MRI: Magnetic resonance imaging provides detailed images of the uterus and can help determine the exact size and location of fibroids.
  • Hysterosalpingogram: This X-ray test involves injecting a contrast dye into the uterus to visualize the uterine cavity and fallopian tubes.

The Importance of Accurate Coding: Fibroids Icd 10

Accurate coding of medical conditions is essential for proper documentation, billing, and treatment planning. The Fibroids Icd 10 code is part of the International Classification of Diseases, 10th Revision (ICD-10), which is used by healthcare providers to classify and code all diagnoses, symptoms, and procedures recorded in conjunction with hospital care in the United States.

The ICD-10 code for uterine fibroids is D25.0. This code is used to specify the presence of leiomyoma of the uterus. Accurate coding ensures that:

  • Medical records are precise and comprehensive.
  • Insurance claims are processed correctly.
  • Treatment plans are tailored to the specific condition.
  • Research and epidemiological studies can be conducted accurately.

Treatment Options for Uterine Fibroids

The treatment of uterine fibroids depends on various factors, including the size and location of the fibroids, the severity of symptoms, and the patient’s desire for future pregnancy. Treatment options range from watchful waiting to surgical interventions. Some common treatment approaches include:

  • Watchful waiting: For women with mild symptoms or no symptoms, a wait-and-see approach may be recommended.
  • Medications: Hormonal treatments, such as birth control pills, progestins, and gonadotropin-releasing hormone (GnRH) agonists, can help manage symptoms.
  • Minimally invasive procedures: Techniques like uterine artery embolization (UAE) and magnetic resonance-guided focused ultrasound surgery (MRgFUS) can shrink fibroids without major surgery.
  • Surgical options: Procedures such as myomectomy (removal of fibroids while preserving the uterus) and hysterectomy (removal of the uterus) may be recommended for severe cases.

Managing Symptoms and Improving Quality of Life

Living with uterine fibroids can be challenging, but there are several strategies to manage symptoms and improve quality of life:

  • Pain management: Over-the-counter pain relievers like ibuprofen or naproxen can help alleviate discomfort.
  • Diet and lifestyle changes: Maintaining a healthy diet, staying hydrated, and engaging in regular exercise can support overall health and potentially reduce symptoms.
  • Stress reduction: Techniques such as yoga, meditation, and deep breathing exercises can help manage stress and improve well-being.
  • Regular check-ups: Regular visits to a healthcare provider can help monitor the condition and adjust treatment plans as needed.

When to Seek Medical Attention

While many women with fibroids do not experience severe symptoms, it is important to seek medical attention if:

  • Menstrual bleeding becomes heavy or prolonged.
  • Pelvic pain or pressure is severe or worsening.
  • There are changes in bowel or bladder function.
  • There is a sudden onset of severe abdominal pain.

Early intervention can help manage symptoms and prevent complications.

📝 Note: Always consult with a healthcare provider for personalized advice and treatment options.

Support and Resources for Women with Fibroids

Living with uterine fibroids can be emotionally and physically challenging. Support groups, online forums, and educational resources can provide valuable information and a sense of community. Some resources include:

  • Online forums and support groups: Websites like Reddit and Facebook have communities where women share their experiences and offer support.
  • Educational websites: Organizations like the American College of Obstetricians and Gynecologists (ACOG) provide reliable information on fibroids and treatment options.
  • Local support groups: Many hospitals and clinics offer support groups for women with fibroids.

Future Directions in Fibroid Research

Research on uterine fibroids is ongoing, with a focus on improving diagnosis, treatment, and quality of life for affected women. Some areas of active research include:

  • Genetic and molecular studies: Understanding the genetic and molecular basis of fibroids can lead to new targeted therapies.
  • Novel treatment approaches: Investigating new medications and minimally invasive procedures to reduce symptoms and improve outcomes.
  • Preventive strategies: Exploring ways to prevent the development of fibroids or reduce their growth.

As research continues, there is hope for more effective and less invasive treatments for uterine fibroids.

In conclusion, uterine fibroids are a common condition that can significantly impact a woman’s quality of life. Accurate diagnosis and coding, such as using the Fibroids Icd 10 code, are crucial for effective management and treatment. Understanding the symptoms, treatment options, and available resources can help women navigate this condition with confidence and improve their overall well-being. Regular medical check-ups and a proactive approach to symptom management can make a significant difference in living with uterine fibroids.

Related Terms:

  • fibroids complicating pregnancy icd 10
  • fibroids icd 10 code
  • hx of fibroids icd 10
  • abnormal uterine bleeding icd 10
  • aub icd 10
  • fibroids unspecified icd 10