Fibrocartilage Under Microscope

Fibrocartilage Under Microscope

Exploring the intricate world of connective tissues, one cannot overlook the significance of fibrocartilage. This specialized type of cartilage plays a crucial role in various parts of the body, particularly in areas that require both flexibility and strength. Understanding fibrocartilage under a microscope reveals its unique structure and function, making it a fascinating subject for both medical professionals and researchers.

What is Fibrocartilage?

Fibrocartilage is a type of connective tissue that combines the properties of both fibrous tissue and cartilage. It is characterized by a dense network of collagen fibers embedded in a cartilaginous matrix. This composition allows fibrocartilage to withstand significant mechanical stress while maintaining a degree of flexibility. Fibrocartilage is found in specific locations within the body, including:

  • The intervertebral discs of the spine
  • The menisci of the knee
  • The temporomandibular joint (TMJ) disc
  • The pubic symphysis

These locations highlight the importance of fibrocartilage in providing cushioning and support, thereby facilitating smooth movement and reducing friction between bones.

Structure of Fibrocartilage Under a Microscope

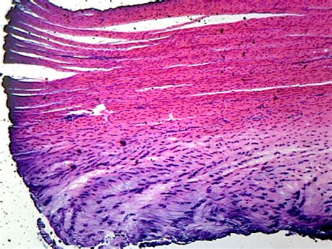
When viewed under a microscope, fibrocartilage exhibits a distinct structure that sets it apart from other types of cartilage. The key components of fibrocartilage include:

  • Collagen Fibers: These fibers are densely packed and arranged in a parallel or woven pattern, providing tensile strength and resistance to deformation.
  • Chondrocytes: These are the cells responsible for producing and maintaining the cartilaginous matrix. In fibrocartilage, chondrocytes are fewer in number compared to hyaline cartilage but are essential for tissue repair and maintenance.
  • Ground Substance: This is a gel-like matrix composed of proteoglycans and glycoproteins, which helps to distribute mechanical loads and maintain the tissue's hydration.

Under a microscope, the dense collagen fibers appear as thick, wavy strands that crisscross each other, creating a robust framework. The chondrocytes are scattered throughout this matrix, often appearing as small, rounded cells with a distinct nucleus. The ground substance, although not visible under standard light microscopy, can be inferred from the overall appearance of the tissue.

Functional Significance of Fibrocartilage

Fibrocartilage's unique structure enables it to perform several critical functions within the body. Some of the key roles include:

  • Shock Absorption: The dense collagen fibers and gel-like matrix of fibrocartilage help to absorb and distribute mechanical forces, reducing the impact on adjacent structures.
  • Load Distribution: By providing a cushioning effect, fibrocartilage helps to distribute loads evenly across joints, preventing excessive wear and tear on the articular surfaces.
  • Joint Stability: The presence of fibrocartilage in structures like the menisci and intervertebral discs contributes to joint stability by enhancing the congruency of the joint surfaces and reducing shear forces.

These functions are particularly important in weight-bearing joints and the spine, where the demands on the tissue are high. Understanding the functional significance of fibrocartilage under a microscope can provide valuable insights into the mechanisms of joint health and disease.

Clinical Implications of Fibrocartilage

Given its critical role in joint function, any disruption or degeneration of fibrocartilage can have significant clinical implications. Conditions such as osteoarthritis, disc herniation, and meniscal tears are often associated with fibrocartilage damage. Understanding the microscopic structure of fibrocartilage can aid in the diagnosis and treatment of these conditions.

For instance, in the case of osteoarthritis, the degeneration of fibrocartilage in the menisci can lead to increased joint instability and pain. Similarly, disc herniation in the spine involves the rupture of the fibrocartilaginous annulus fibrosus, resulting in the protrusion of the nucleus pulposus and potential nerve compression.

Microscopic examination of fibrocartilage can also be useful in assessing the effectiveness of various treatment modalities. For example, regenerative therapies aimed at repairing damaged fibrocartilage can be evaluated by examining the tissue under a microscope to determine the extent of repair and the quality of the regenerated tissue.

Microscopic Techniques for Examining Fibrocartilage

Several microscopic techniques can be employed to examine fibrocartilage in detail. These techniques provide different levels of resolution and information about the tissue's structure and composition. Some of the commonly used techniques include:

  • Light Microscopy: This is the most basic technique used to examine fibrocartilage. It provides a general overview of the tissue's structure, including the arrangement of collagen fibers and the distribution of chondrocytes.
  • Electron Microscopy: This technique offers higher resolution and allows for the detailed examination of the ultrastructure of fibrocartilage. It can reveal the fine details of collagen fibers, proteoglycans, and other matrix components.
  • Histochemical Staining: Various staining techniques can be used to highlight specific components of fibrocartilage, such as collagen fibers, proteoglycans, and chondrocytes. Common stains include hematoxylin and eosin (H&E), Masson's trichrome, and Alcian blue.

Each of these techniques provides unique insights into the structure and function of fibrocartilage, making them valuable tools for researchers and clinicians alike.

Histological Features of Fibrocartilage

When examining fibrocartilage under a microscope, several histological features become apparent. These features are crucial for identifying and characterizing the tissue. Some of the key histological features include:

Feature Description
Collagen Fibers Densely packed and arranged in a parallel or woven pattern, providing tensile strength.
Chondrocytes Scattered throughout the matrix, responsible for producing and maintaining the cartilaginous matrix.
Ground Substance A gel-like matrix composed of proteoglycans and glycoproteins, helping to distribute mechanical loads.
Vascularity Generally avascular, meaning it lacks blood vessels, which contributes to its limited regenerative capacity.
Cellularity Lower cellularity compared to other types of cartilage, with chondrocytes often appearing in clusters.

These histological features are essential for differentiating fibrocartilage from other types of connective tissue and for understanding its unique properties and functions.

🔍 Note: When examining fibrocartilage under a microscope, it is important to use appropriate staining techniques to highlight the different components of the tissue. This can enhance the visibility of collagen fibers, chondrocytes, and the ground substance, providing a more comprehensive understanding of the tissue's structure.

Comparative Analysis of Fibrocartilage and Other Types of Cartilage

To fully appreciate the unique characteristics of fibrocartilage, it is helpful to compare it with other types of cartilage, such as hyaline cartilage and elastic cartilage. Each type of cartilage has distinct structural and functional properties that make them suitable for different roles within the body.

Hyaline cartilage is the most abundant type of cartilage and is found in structures such as the articular surfaces of joints, the nasal septum, and the trachea. It is characterized by a smooth, glassy appearance and a high water content, which provides excellent shock-absorbing properties. In contrast, fibrocartilage has a denser, more fibrous structure that makes it better suited for withstanding compressive and tensile forces.

Elastic cartilage, on the other hand, contains a high proportion of elastic fibers, which provide flexibility and the ability to return to its original shape after deformation. This type of cartilage is found in structures such as the external ear and the epiglottis, where flexibility and resilience are essential.

Comparing these types of cartilage under a microscope reveals their distinct structural features and highlights the specialized roles they play in the body. Understanding these differences can provide valuable insights into the mechanisms of joint health and disease.

Here is a comparative table of the three types of cartilage:

Type of Cartilage Structure Function Location
Hyaline Cartilage Smooth, glassy appearance with a high water content Shock absorption and joint lubrication Articular surfaces, nasal septum, trachea
Fibrocartilage Dense, fibrous structure with collagen fibers Withstanding compressive and tensile forces Intervertebral discs, menisci, TMJ disc, pubic symphysis
Elastic Cartilage High proportion of elastic fibers Flexibility and resilience External ear, epiglottis

This comparative analysis underscores the importance of fibrocartilage in providing structural support and cushioning in specific locations within the body. Its unique properties make it indispensable for maintaining joint health and function.

When examining fibrocartilage under a microscope, it is essential to consider its role in the context of the overall joint structure. The interaction between fibrocartilage and other types of cartilage, as well as the surrounding soft tissues, contributes to the overall stability and function of the joint. Understanding these interactions can provide a more comprehensive view of joint health and disease.

For example, in the knee joint, the menisci play a crucial role in distributing loads and reducing friction between the femoral condyles and the tibial plateau. The fibrocartilage of the menisci works in conjunction with the hyaline cartilage of the articular surfaces to provide smooth and efficient joint movement. Any disruption in this interplay can lead to joint dysfunction and pain.

Similarly, in the spine, the intervertebral discs act as shock absorbers and provide flexibility to the vertebral column. The fibrocartilage of the annulus fibrosus and the nucleus pulposus work together to distribute mechanical loads and maintain the integrity of the disc. Degeneration of the fibrocartilage in the annulus fibrosus can lead to disc herniation and potential nerve compression, resulting in back pain and other neurological symptoms.

In summary, fibrocartilage under a microscope reveals a complex and specialized structure that is essential for maintaining joint health and function. Its unique properties make it indispensable for providing structural support and cushioning in specific locations within the body. Understanding the microscopic structure and function of fibrocartilage can provide valuable insights into the mechanisms of joint health and disease, aiding in the diagnosis and treatment of various musculoskeletal conditions.

By examining fibrocartilage under a microscope, researchers and clinicians can gain a deeper understanding of its role in the body and develop more effective strategies for preventing and treating joint disorders. This knowledge can contribute to the development of new therapies and interventions aimed at improving joint health and quality of life for individuals affected by musculoskeletal conditions.

In conclusion, fibrocartilage is a fascinating and essential component of the body’s connective tissue system. Its unique structure and function make it indispensable for maintaining joint health and function. By examining fibrocartilage under a microscope, we can gain valuable insights into its role in the body and develop more effective strategies for preventing and treating joint disorders. This knowledge can contribute to the development of new therapies and interventions aimed at improving joint health and quality of life for individuals affected by musculoskeletal conditions.

Related Terms:

  • fibrocartilage under microscope 40x
  • where is fibrocartilage found
  • fibrocartilage
  • elastic cartilage under microscope
  • dense irregular connective tissue
  • fibrocartilage under microscope labeled