Fat Necrosis Breasts

Fat Necrosis Breasts

Fat necrosis of the breast, often referred to as *fat necrosis breasts*, is a condition that can cause significant concern and discomfort for those who experience it. This condition occurs when the fatty tissue in the breast dies, leading to the formation of firm lumps or areas of hardening. Understanding the causes, symptoms, diagnosis, and treatment options for fat necrosis breasts is crucial for anyone dealing with this issue.

Understanding Fat Necrosis Breasts

Fat necrosis breasts is a benign condition, meaning it is not cancerous. It can occur spontaneously or as a result of trauma to the breast tissue. The condition is characterized by the death of fatty tissue, which can lead to the formation of firm lumps or areas of hardening. These lumps can sometimes be mistaken for breast cancer, making accurate diagnosis essential.

Causes of Fat Necrosis Breasts

Several factors can contribute to the development of fat necrosis breasts. Some of the most common causes include:

  • Trauma or Injury: Physical trauma to the breast, such as a blow or a surgical procedure, can cause fat necrosis. This is often seen in women who have undergone breast augmentation or reduction surgery.
  • Radiation Therapy: Radiation treatment for breast cancer can sometimes lead to fat necrosis in the affected breast.
  • Inflammatory Conditions: Certain inflammatory conditions, such as pancreatitis or lupus, can also cause fat necrosis in the breast.
  • Idiopathic Causes: In some cases, the cause of fat necrosis breasts is unknown. This is referred to as idiopathic fat necrosis.

Symptoms of Fat Necrosis Breasts

The symptoms of fat necrosis breasts can vary depending on the severity and location of the affected tissue. Common symptoms include:

  • Firm Lumps: The presence of firm, painless lumps in the breast tissue.
  • Skin Changes: Changes in the skin over the affected area, such as dimpling or retraction.
  • Pain or Tenderness: Some individuals may experience pain or tenderness in the affected area.
  • Nipple Discharge: In rare cases, nipple discharge may occur.

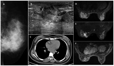
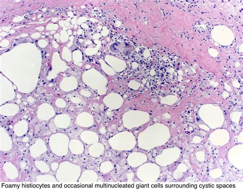
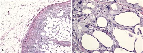
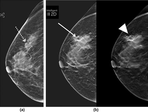
Diagnosing Fat Necrosis Breasts

Diagnosing fat necrosis breasts involves a combination of clinical examination, imaging tests, and sometimes biopsy. The diagnostic process typically includes the following steps:

  • Clinical Examination: A healthcare provider will perform a physical examination of the breast to assess the lump or area of hardening.
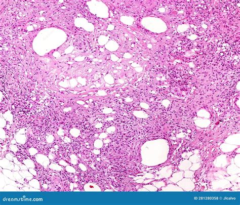
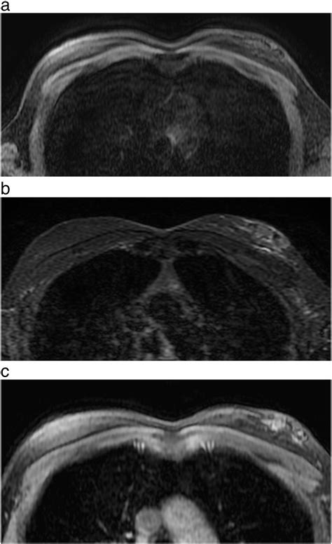
  • Imaging Tests: Imaging tests such as mammography, ultrasound, or MRI may be used to visualize the affected tissue and rule out other conditions.
  • Biopsy: In some cases, a biopsy may be performed to confirm the diagnosis. This involves removing a small sample of the affected tissue for laboratory analysis.

📝 Note: It is important to consult with a healthcare provider if you notice any changes in your breast tissue, as early diagnosis and treatment can prevent complications.

Treatment Options for Fat Necrosis Breasts

The treatment for fat necrosis breasts depends on the severity of the condition and the presence of symptoms. In many cases, no treatment is necessary, as the condition is benign and often resolves on its own. However, if symptoms are present or if the condition is causing discomfort, several treatment options may be considered:

  • Observation: In mild cases, observation may be the only treatment required. Regular follow-up appointments with a healthcare provider can help monitor the condition and ensure it does not worsen.
  • Pain Management: Over-the-counter pain relievers, such as ibuprofen or acetaminophen, can be used to manage any pain or discomfort associated with fat necrosis breasts.
  • Surgical Intervention: In severe cases, surgical intervention may be necessary to remove the affected tissue. This can help alleviate symptoms and prevent further complications.

Preventing Fat Necrosis Breasts

While it is not always possible to prevent fat necrosis breasts, there are some steps that can be taken to reduce the risk of developing this condition. These include:

  • Avoiding Trauma: Taking precautions to avoid trauma or injury to the breast tissue can help reduce the risk of fat necrosis. This includes wearing supportive bras during physical activity and avoiding activities that could cause injury to the breast.
  • Regular Breast Exams: Regular breast exams, both self-exams and clinical exams, can help detect any changes in the breast tissue early. This can allow for prompt diagnosis and treatment if necessary.
  • Healthy Lifestyle: Maintaining a healthy lifestyle, including a balanced diet and regular exercise, can help support overall breast health and reduce the risk of various breast conditions.

Living with Fat Necrosis Breasts

Living with fat necrosis breasts can be challenging, but with the right support and management strategies, it is possible to maintain a good quality of life. Some tips for living with this condition include:

  • Stay Informed: Educating yourself about fat necrosis breasts can help you understand the condition better and make informed decisions about your care.
  • Seek Support: Connecting with support groups or other individuals who have experienced fat necrosis breasts can provide emotional support and practical advice.
  • Maintain Regular Check-ups: Regular check-ups with your healthcare provider can help monitor the condition and ensure that any changes are addressed promptly.

Fat necrosis breasts is a condition that can cause concern and discomfort, but with proper diagnosis and management, it can be effectively managed. Understanding the causes, symptoms, and treatment options for this condition is essential for anyone dealing with fat necrosis breasts. By taking proactive steps to support breast health and seeking appropriate medical care, individuals can minimize the impact of this condition on their daily lives.

In summary, fat necrosis breasts is a benign condition that can occur due to various factors, including trauma, radiation therapy, and inflammatory conditions. Symptoms may include firm lumps, skin changes, pain, and nipple discharge. Diagnosis typically involves a combination of clinical examination, imaging tests, and biopsy. Treatment options range from observation to surgical intervention, depending on the severity of the condition. Preventive measures, such as avoiding trauma and maintaining a healthy lifestyle, can help reduce the risk of developing fat necrosis breasts. Living with this condition requires staying informed, seeking support, and maintaining regular check-ups with a healthcare provider.