Fast Exam Ultrasound

Fast Exam Ultrasound

In the fast-paced world of medical diagnostics, the ability to quickly and accurately assess patients is crucial. One of the most valuable tools in this regard is the Fast Exam Ultrasound. This technology has revolutionized the way medical professionals approach emergency and critical care situations, providing real-time imaging that can significantly impact patient outcomes.

Understanding Fast Exam Ultrasound

The Fast Exam Ultrasound is a rapid, focused ultrasound examination designed to quickly assess and diagnose critical conditions. It is particularly useful in emergency departments, intensive care units, and pre-hospital settings. The primary goal of a Fast Exam Ultrasound is to identify life-threatening conditions that require immediate intervention.

Key Components of a Fast Exam Ultrasound

A Fast Exam Ultrasound typically includes several key components, each focusing on different aspects of the patient's condition. These components are:

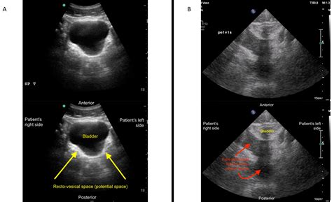
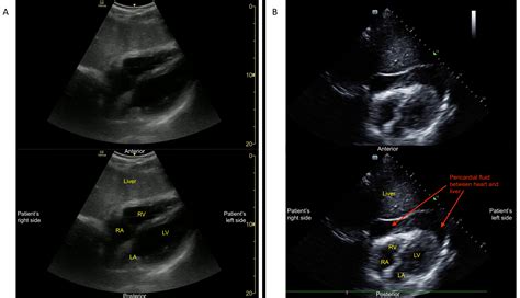
  • EFAST (Extended Focused Assessment with Sonography for Trauma): This is a comprehensive ultrasound examination used to evaluate patients with trauma. It includes views of the heart, lungs, abdomen, and pelvis to detect fluid collections, pneumothorax, and other injuries.
  • RUSH (Rapid Ultrasound for Shock and Hypotension): This protocol is used to assess patients in shock or hypotension. It includes views of the heart, lungs, abdomen, and inferior vena cava to identify the cause of shock.
  • Focused Cardiac Ultrasound: This component evaluates the heart's structure and function, helping to identify conditions such as pericardial effusion, cardiac tamponade, and global cardiac function.
  • Focused Lung Ultrasound: This assesses the lungs for conditions such as pneumothorax, pleural effusion, and interstitial syndrome.
  • Focused Abdominal Ultrasound: This evaluates the abdomen for free fluid, organomegaly, and other abnormalities.

Benefits of Fast Exam Ultrasound

The Fast Exam Ultrasound offers numerous benefits, making it an indispensable tool in emergency and critical care settings. Some of the key advantages include:

  • Rapid Diagnosis: The Fast Exam Ultrasound provides immediate results, allowing for quick decision-making and intervention.
  • Non-Invasive: Unlike other diagnostic tools, ultrasound is non-invasive and does not expose patients to radiation.
  • Portable: Ultrasound machines are portable, making them ideal for use in various settings, including pre-hospital care and remote locations.
  • Cost-Effective: Compared to other imaging modalities, ultrasound is generally more cost-effective.
  • Versatile: The Fast Exam Ultrasound can be used to assess a wide range of conditions, making it a versatile tool for medical professionals.

Applications of Fast Exam Ultrasound

The Fast Exam Ultrasound has a wide range of applications in various medical settings. Some of the most common uses include:

  • Trauma Assessment: In trauma patients, the Fast Exam Ultrasound helps identify internal injuries, such as hemoperitoneum, hemothorax, and pericardial effusion.
  • Cardiac Evaluation: It is used to assess cardiac function, detect pericardial effusion, and evaluate global cardiac performance.
  • Respiratory Assessment: The Fast Exam Ultrasound can detect conditions such as pneumothorax, pleural effusion, and interstitial syndrome.
  • Abdominal Evaluation: It helps identify free fluid in the abdomen, organomegaly, and other abnormalities.
  • Shock and Hypotension: The Fast Exam Ultrasound is crucial in assessing patients with shock or hypotension, helping to identify the underlying cause.

Performing a Fast Exam Ultrasound

Performing a Fast Exam Ultrasound requires specific training and expertise. The process typically involves the following steps:

  1. Patient Preparation: Ensure the patient is in a comfortable position and explain the procedure to them.
  2. Equipment Setup: Prepare the ultrasound machine and apply gel to the transducer.
  3. Image Acquisition: Use the transducer to acquire images of the relevant areas, following the protocol for the specific Fast Exam Ultrasound component.
  4. Image Interpretation: Interpret the images to identify any abnormalities or conditions that require immediate intervention.
  5. Documentation: Document the findings and communicate them to the medical team.

📝 Note: Proper training and certification are essential for performing a Fast Exam Ultrasound. Medical professionals should undergo specialized training to ensure accurate and reliable results.

Interpreting Fast Exam Ultrasound Results

Interpreting the results of a Fast Exam Ultrasound requires a thorough understanding of ultrasound imaging and the specific protocols used. Key points to consider include:

  • Image Quality: Ensure the images are of high quality and clearly show the relevant structures.
  • Anatomical Landmarks: Identify key anatomical landmarks to accurately interpret the images.
  • Pathological Findings: Look for signs of pathology, such as fluid collections, organ abnormalities, and other conditions.
  • Clinical Correlation: Correlate the ultrasound findings with the patient's clinical presentation and other diagnostic tests.

Challenges and Limitations

While the Fast Exam Ultrasound is a powerful tool, it also has its challenges and limitations. Some of the key considerations include:

  • Operator Dependency: The accuracy of the Fast Exam Ultrasound depends on the skill and experience of the operator.
  • Image Quality: Factors such as patient body habitus, positioning, and equipment limitations can affect image quality.
  • Interpretation Errors: Misinterpretation of ultrasound images can lead to diagnostic errors and delayed treatment.
  • Limited View: The Fast Exam Ultrasound provides a focused view and may not detect all abnormalities, especially those outside the examined areas.

📝 Note: Continuous training and practice are essential to overcome these challenges and improve the accuracy of Fast Exam Ultrasound examinations.

Training and Certification

To perform a Fast Exam Ultrasound effectively, medical professionals need specialized training and certification. Training programs typically include:

  • Didactic Sessions: Lectures and discussions on ultrasound physics, anatomy, and clinical applications.
  • Hands-On Training: Practical sessions where participants learn to perform ultrasound examinations under the guidance of experienced instructors.
  • Simulation and Case Studies: Use of simulation models and case studies to enhance learning and decision-making skills.
  • Certification Exams: Written and practical exams to assess the participant's knowledge and skills.

Certification programs are available through various medical societies and organizations, ensuring that practitioners meet the necessary standards for performing Fast Exam Ultrasound examinations.

Future Directions

The field of Fast Exam Ultrasound is continually evolving, with advancements in technology and techniques. Some of the future directions include:

  • Advanced Imaging Techniques: Development of new imaging techniques to improve the accuracy and reliability of Fast Exam Ultrasound examinations.
  • Artificial Intelligence: Integration of artificial intelligence to assist in image interpretation and diagnosis.
  • Portable Devices: Advancements in portable ultrasound devices, making them more accessible and user-friendly.
  • Training and Education: Enhanced training programs and educational resources to improve the skills and knowledge of medical professionals.

As technology continues to advance, the Fast Exam Ultrasound will likely become an even more integral part of emergency and critical care, providing faster and more accurate diagnoses.

In conclusion, the Fast Exam Ultrasound is a vital tool in modern medical diagnostics, offering rapid, non-invasive, and cost-effective assessments. Its applications in trauma, cardiac, respiratory, and abdominal evaluations make it indispensable in emergency and critical care settings. While challenges and limitations exist, continuous training and advancements in technology will further enhance its effectiveness and reliability. The future of Fast Exam Ultrasound holds great promise, with ongoing developments poised to revolutionize the way medical professionals approach patient care.

Related Terms:

  • fast exam ultrasound trauma
  • positive fast ultrasound
  • positive fast exam ultrasound
  • fast exam for abdominal trauma
  • fast ultrasound after primary exam
  • positive fast exam trauma