Epicondyle Medial Humerus

Epicondyle Medial Humerus

Understanding the anatomy and function of the epicondyle medial humerus is crucial for anyone involved in sports medicine, physical therapy, or orthopedics. The medial epicondyle of the humerus is a prominent bony landmark on the inner side of the elbow, serving as an attachment site for several important muscles and ligaments. This structure plays a pivotal role in the stability and movement of the elbow joint, making it a critical area of study for healthcare professionals.

Anatomy of the Medial Epicondyle of the Humerus

The medial epicondyle of the humerus is located on the medial (inner) aspect of the distal end of the humerus, the long bone of the upper arm. It is a bony prominence that serves as an attachment point for several key muscles and ligaments. The primary muscles that attach to the medial epicondyle include:

  • Pronator Teres: This muscle is responsible for pronating the forearm, which means turning the palm downwards.
  • Flexor Carpi Radialis: This muscle flexes and abducts the wrist, moving it towards the thumb side.
  • Palmaris Longus: This muscle flexes the wrist and contributes to the formation of the flexor retinaculum, a fibrous band that holds the tendons in place.
  • Flexor Carpi Ulnaris: This muscle flexes and adducts the wrist, moving it towards the little finger side.
  • Flexor Digitorum Superficialis: This muscle flexes the middle phalanges of the fingers.

The medial epicondyle also serves as an attachment site for the ulnar collateral ligament (UCL), which provides stability to the medial side of the elbow joint. The UCL is crucial for preventing excessive valgus stress, which is the force that pushes the forearm away from the upper arm.

Function of the Medial Epicondyle of the Humerus

The medial epicondyle of the humerus plays a vital role in the biomechanics of the elbow joint. Its primary functions include:

  • Muscle Attachment: As mentioned earlier, the medial epicondyle serves as an attachment point for several muscles involved in forearm and wrist movements. These muscles are essential for various activities, including gripping, lifting, and throwing.
  • Joint Stability: The medial epicondyle, along with the UCL, provides stability to the elbow joint. This stability is crucial for preventing injuries, especially during activities that involve repetitive or forceful movements of the elbow.
  • Force Transmission: The medial epicondyle helps transmit forces from the muscles to the bones, enabling efficient movement and reducing the risk of injury.

Common Injuries Involving the Medial Epicondyle of the Humerus

Injuries to the medial epicondyle of the humerus are relatively common, particularly in athletes involved in overhead throwing sports such as baseball, tennis, and javelin. Some of the most common injuries include:

  • Medial Epicondylitis (Golfer's Elbow): This condition is characterized by inflammation and pain in the tendons that attach to the medial epicondyle. It is often caused by repetitive stress and overuse, leading to micro-tears in the tendons.
  • Ulnar Collateral Ligament (UCL) Injury: The UCL can be injured due to excessive valgus stress, leading to instability and pain in the elbow joint. This injury is common in overhead throwing athletes and can require surgical intervention in severe cases.
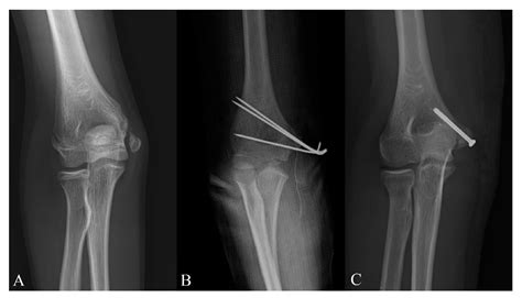
  • Fractures: Fractures of the medial epicondyle can occur due to direct trauma or falls. These injuries are more common in children and adolescents, whose bones are still growing.

Diagnosis and Treatment of Medial Epicondyle Injuries

Diagnosing injuries involving the medial epicondyle of the humerus typically involves a combination of physical examination, imaging studies, and patient history. Treatment options vary depending on the severity and type of injury.

Diagnosis

Diagnosis of medial epicondyle injuries often begins with a thorough physical examination, during which the healthcare provider will assess the range of motion, strength, and stability of the elbow joint. Imaging studies, such as X-rays, MRI, or ultrasound, may be used to visualize the extent of the injury and rule out other potential causes of pain.

Treatment

Treatment for medial epicondyle injuries can range from conservative measures to surgical intervention. Conservative treatment options include:

  • Rest, Ice, Compression, and Elevation (RICE): This approach helps reduce pain and inflammation in the early stages of injury.
  • Physical Therapy: Exercises to strengthen the muscles and improve flexibility can help prevent future injuries and promote healing.
  • Medications: Non-steroidal anti-inflammatory drugs (NSAIDs) can be used to manage pain and reduce inflammation.
  • Bracing or Splinting: These devices can provide support and stability to the elbow joint, allowing the injured tissues to heal.

In cases where conservative treatment fails to provide relief, surgical intervention may be necessary. Surgical options include:

  • Arthroscopic Debridement: This minimally invasive procedure involves removing damaged tissue from the elbow joint.
  • UCL Reconstruction (Tommy John Surgery): This procedure involves replacing the damaged UCL with a tendon graft, typically from the forearm or hamstring.
  • Open Reduction and Internal Fixation (ORIF): This procedure is used to repair fractures of the medial epicondyle, involving the use of screws, plates, or wires to stabilize the bone.

📝 Note: The choice of treatment depends on the severity of the injury, the patient's age, activity level, and overall health. It is essential to consult with a healthcare provider to determine the most appropriate course of treatment.

Prevention of Medial Epicondyle Injuries

Preventing injuries to the medial epicondyle of the humerus involves a combination of proper conditioning, technique, and equipment. Some key strategies for prevention include:

  • Strengthening Exercises: Regularly performing exercises to strengthen the muscles of the forearm, wrist, and elbow can help reduce the risk of injury.
  • Proper Technique: Using correct throwing, swinging, or lifting techniques can help minimize stress on the elbow joint and reduce the risk of injury.
  • Gradual Progression: Gradually increasing the intensity and duration of activities that involve the elbow can help prevent overuse injuries.
  • Appropriate Equipment: Using properly fitted and maintained equipment, such as bats, racquets, or gloves, can help reduce the risk of injury.
  • Rest and Recovery: Allowing adequate time for rest and recovery between activities can help prevent overuse injuries and promote healing.

Rehabilitation and Recovery

Rehabilitation and recovery from injuries involving the medial epicondyle of the humerus typically involve a structured program of exercises and activities designed to restore strength, flexibility, and function. The rehabilitation process can be divided into several phases:

Acute Phase

During the acute phase, the primary goals are to reduce pain and inflammation and protect the injured tissues. This phase typically involves:

  • Rest, ice, compression, and elevation (RICE)
  • Pain management with medications or injections
  • Immobilization with a brace or splint

Subacute Phase

During the subacute phase, the focus shifts to restoring range of motion and flexibility. This phase typically involves:

  • Gentle range-of-motion exercises
  • Stretching exercises to improve flexibility
  • Gradual introduction of light strengthening exercises

Rehabilitation Phase

During the rehabilitation phase, the goal is to restore strength, endurance, and function. This phase typically involves:

  • Progressive strengthening exercises
  • Proprioceptive and balance training
  • Sport-specific or activity-specific training

Return to Activity Phase

During the return to activity phase, the focus is on gradually returning to full participation in sports or other activities. This phase typically involves:

  • Gradual increase in activity level
  • Monitoring for signs of pain or discomfort
  • Adjusting the activity level as needed to prevent reinjury

📝 Note: The duration and intensity of each phase of rehabilitation will vary depending on the severity of the injury, the patient's age, and overall health. It is essential to work closely with a healthcare provider or physical therapist to develop an individualized rehabilitation plan.

Special Considerations for Athletes

Athletes involved in overhead throwing sports, such as baseball, tennis, or javelin, are at a higher risk of developing injuries to the medial epicondyle of the humerus. Special considerations for these athletes include:

  • Pre-Season Conditioning: Engaging in a structured pre-season conditioning program can help prepare the muscles and tendons for the demands of the sport, reducing the risk of injury.
  • Proper Warm-Up and Cool-Down: Incorporating a proper warm-up and cool-down routine can help prevent injuries and promote recovery.
  • Pitch Count Monitoring: For baseball pitchers, monitoring pitch counts and adhering to guidelines for rest and recovery can help prevent overuse injuries.
  • Biomechanical Analysis: A biomechanical analysis of throwing or swinging technique can help identify and correct any flaws that may contribute to injury risk.

In addition to these considerations, athletes should be aware of the signs and symptoms of medial epicondyle injuries and seek prompt medical attention if they experience pain, swelling, or instability in the elbow joint.

Conclusion

The medial epicondyle of the humerus plays a crucial role in the stability and function of the elbow joint. Understanding its anatomy, function, and common injuries is essential for healthcare professionals involved in the diagnosis, treatment, and prevention of elbow injuries. By implementing appropriate prevention strategies, athletes and individuals can reduce their risk of injury and maintain optimal elbow health. Proper diagnosis, treatment, and rehabilitation are key to ensuring a successful recovery from injuries involving the medial epicondyle of the humerus.

Related Terms:

  • what attaches to medial epicondyle
  • humerus medial epicondyle fracture
  • medial humeral attachment
  • medial epicondyle of humerus location
  • left humerus medial epicondyle fracture
  • medial humeral epicondyle growth plate