Empty Nose Syndrome

Empty Nose Syndrome

Empty Nose Syndrome (ENS) is a rare and often misunderstood condition that affects a person's ability to breathe comfortably and experience the sensation of airflow through the nose. This syndrome can significantly impact an individual's quality of life, leading to a range of symptoms that can be both physically and psychologically challenging. Understanding the causes, symptoms, and potential treatments for Empty Nose Syndrome is crucial for those who suffer from it and for healthcare professionals who aim to provide effective care.

What is Empty Nose Syndrome?

Empty Nose Syndrome is a condition characterized by a paradoxical sensation of nasal obstruction despite the presence of patent nasal passages. Individuals with ENS often report feeling as though they cannot breathe properly through their noses, even though there is no physical blockage. This condition can be incredibly frustrating and debilitating, affecting daily activities and overall well-being.

ENS typically occurs after nasal surgery, such as turbinate reduction or septoplasty, but it can also develop spontaneously or following other types of nasal trauma. The exact mechanisms underlying ENS are not fully understood, but it is believed to involve a disruption in the normal sensory feedback from the nasal passages to the brain.

Symptoms of Empty Nose Syndrome

The symptoms of Empty Nose Syndrome can vary widely from person to person, but they generally include:

  • Sensation of Nasal Obstruction: Despite having clear nasal passages, individuals with ENS feel as though they cannot breathe through their noses.
  • Dryness and Irritation: The nasal passages may feel dry and irritated, leading to discomfort and a constant need to clear the throat.
  • Difficulty Breathing: Patients often report difficulty breathing, especially during physical exertion or in stressful situations.
  • Sleep Disturbances: ENS can interfere with sleep, leading to insomnia or poor sleep quality.
  • Psychological Impact: The chronic discomfort and frustration associated with ENS can lead to anxiety, depression, and a decreased quality of life.

Causes of Empty Nose Syndrome

Empty Nose Syndrome is often associated with nasal surgery, particularly procedures that involve the reduction of the turbinates, which are structures within the nose that help to humidify and filter the air we breathe. Other potential causes include:

  • Trauma: Physical injury to the nose can sometimes lead to ENS.
  • Chronic Nasal Conditions: Long-term nasal conditions, such as chronic sinusitis, can sometimes result in ENS.
  • Spontaneous Onset: In some cases, ENS develops without any apparent cause.

Diagnosis of Empty Nose Syndrome

Diagnosing Empty Nose Syndrome can be challenging due to its complex and often subjective symptoms. Healthcare professionals typically rely on a combination of patient history, physical examination, and diagnostic tests to make a diagnosis. Key steps in the diagnostic process include:

  • Patient History: A detailed medical history, including any previous nasal surgeries or injuries, is essential.
  • Physical Examination: A thorough examination of the nasal passages can help rule out other potential causes of symptoms.
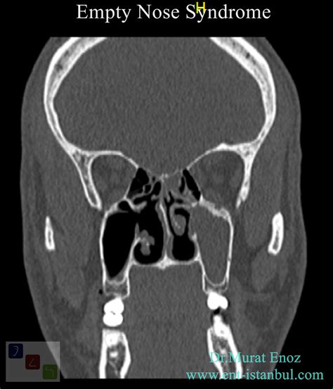
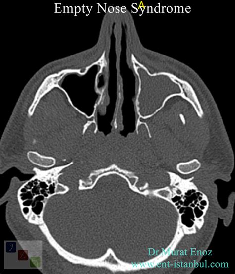
  • Imaging Studies: CT scans or MRI can provide detailed images of the nasal structures and help identify any abnormalities.
  • Nasal Endoscopy: This procedure allows for a close-up view of the nasal passages and can help identify any structural issues.

📝 Note: Early diagnosis and intervention can significantly improve the management of ENS and enhance the patient's quality of life.

Treatment Options for Empty Nose Syndrome

There is no single, universally effective treatment for Empty Nose Syndrome, and management strategies often need to be tailored to the individual patient. However, several approaches have shown promise in alleviating symptoms and improving quality of life. These include:

Medical Management

Medical treatments for ENS often focus on managing symptoms and improving nasal comfort. Options include:

  • Nasal Irrigation: Regular use of saline nasal sprays or irrigation can help keep the nasal passages moist and reduce irritation.
  • Humidification: Using a humidifier, especially at night, can help maintain moisture in the nasal passages.
  • Medications: Over-the-counter or prescription medications, such as nasal steroids or antihistamines, may be prescribed to manage inflammation and other symptoms.

Surgical Interventions

In some cases, surgical interventions may be considered to address the underlying issues contributing to ENS. These can include:

  • Turbinate Reconstruction: Surgery to reconstruct or augment the turbinates can help restore normal nasal function.
  • Nasal Valve Repair: Repairing the nasal valve, which controls airflow into the nose, can sometimes alleviate symptoms.
  • Nasal Implants: Inserting implants into the nasal passages can help improve airflow and sensation.

Psychological Support

The psychological impact of ENS can be significant, and addressing mental health is an essential part of comprehensive care. Options include:

  • Cognitive-Behavioral Therapy (CBT): CBT can help patients manage anxiety and depression associated with ENS.
  • Support Groups: Joining support groups for individuals with ENS can provide emotional support and practical advice.
  • Mindfulness and Relaxation Techniques: Practices such as meditation and deep breathing exercises can help manage stress and improve overall well-being.

Living with Empty Nose Syndrome

Living with Empty Nose Syndrome can be challenging, but with the right support and management strategies, individuals can improve their quality of life. Key aspects of living with ENS include:

  • Education and Awareness: Understanding the condition and its implications can help patients better manage their symptoms and seek appropriate care.
  • Regular Follow-Ups: Regular check-ups with healthcare providers can help monitor symptoms and adjust treatment plans as needed.
  • Lifestyle Adjustments: Making lifestyle changes, such as avoiding irritants and maintaining good nasal hygiene, can help manage symptoms.
  • Emotional Support: Seeking emotional support from friends, family, or support groups can be invaluable in coping with the psychological impact of ENS.

Research and Future Directions

Research into Empty Nose Syndrome is ongoing, with efforts focused on understanding the underlying mechanisms and developing more effective treatments. Key areas of research include:

  • Neurophysiological Studies: Investigating the neural pathways involved in ENS can help identify potential targets for therapeutic interventions.
  • Clinical Trials: Conducting clinical trials to test new treatments and management strategies can provide valuable insights into the most effective approaches.
  • Patient-Centered Research: Involving patients in research can help ensure that treatments are tailored to their needs and preferences.

📝 Note: Advances in research and technology hold promise for improving the diagnosis and treatment of ENS, offering hope for better outcomes for those affected by this condition.

Case Studies and Patient Experiences

Understanding the experiences of individuals with Empty Nose Syndrome can provide valuable insights into the challenges and successes of living with this condition. Below are some hypothetical case studies that illustrate the diverse experiences of ENS patients.

Patient Background Symptoms Treatment Outcome
Patient A Underwent turbinate reduction surgery Severe nasal dryness, difficulty breathing, sleep disturbances Nasal irrigation, humidification, CBT Significant improvement in symptoms and quality of life
Patient B Spontaneous onset of ENS Chronic nasal obstruction, anxiety, depression Nasal implants, psychological support Moderate improvement, ongoing management required
Patient C History of chronic sinusitis Dryness, irritation, difficulty breathing during exercise Medications, lifestyle adjustments, support groups Gradual improvement, continued monitoring needed

These case studies highlight the importance of individualized treatment plans and the need for ongoing support and management in the care of ENS patients.

Empty Nose Syndrome

Empty Nose Syndrome is a complex and challenging condition that affects many aspects of an individual’s life. While there is no cure, a combination of medical, surgical, and psychological interventions can help manage symptoms and improve quality of life. Ongoing research and patient-centered care are essential in advancing our understanding and treatment of this condition. By raising awareness and providing support, we can make a significant difference in the lives of those affected by Empty Nose Syndrome.

Related Terms:

  • empty nose syndrome questionnaire
  • empty nose syndrome reddit
  • empty nose syndrome mayo clinic
  • empty nose syndrome stanford
  • empty nose syndrome chances
  • empty nose syndrome cure