Elephantitis Of The Testicals

Elephantitis Of The Testicals

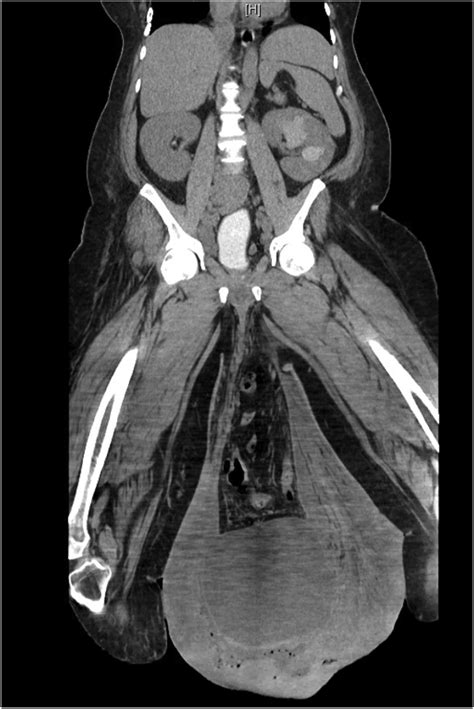
Elephantitis of the testicals, also known as elephantiasis of the scrotum, is a rare and severe condition characterized by the enlargement of the scrotum due to lymphatic obstruction. This condition is typically caused by filariasis, a parasitic infection transmitted by mosquitoes. Understanding the causes, symptoms, diagnosis, and treatment options for elephantitis of the testicals is crucial for effective management and prevention.

Understanding Elephantitis of the Testicals

Elephantitis of the testicals is a debilitating condition that primarily affects men in tropical and subtropical regions. The condition is caused by the parasitic worms Wuchereria bancrofti, Brugia malayi, and Brugia timori, which are transmitted through the bites of infected mosquitoes. These worms obstruct the lymphatic system, leading to the accumulation of fluid and subsequent enlargement of the scrotum.

Causes of Elephantitis of the Testicals

The primary cause of elephantitis of the testicals is filariasis, a parasitic infection. The lifecycle of the parasite involves several stages:

  • Infection: Mosquitoes carrying the larval stage of the parasite (microfilariae) bite a human host.
  • Development: The microfilariae develop into adult worms within the lymphatic system.
  • Obstruction: The adult worms obstruct the lymphatic vessels, leading to fluid accumulation and tissue swelling.
  • Transmission: The adult worms produce microfilariae, which are then picked up by mosquitoes during a blood meal, continuing the cycle.

Other factors that can contribute to the development of elephantitis of the testicals include:

  • Poor Hygiene: Inadequate personal hygiene and sanitation can increase the risk of infection.
  • Genetic Predisposition: Some individuals may be genetically predisposed to developing severe lymphatic obstruction.
  • Immune Response: The body's immune response to the parasite can exacerbate the condition, leading to chronic inflammation and tissue damage.

Symptoms of Elephantitis of the Testicals

The symptoms of elephantitis of the testicals can vary depending on the stage and severity of the condition. Common symptoms include:

  • Scrotal Swelling: The most noticeable symptom is the enlargement of the scrotum, which can become massive in severe cases.
  • Pain and Discomfort: The affected area may be painful and uncomfortable, especially during physical activity.
  • Skin Changes: The skin of the scrotum may become thickened, hardened, and discolored.
  • Lymphatic Obstruction: Other parts of the body, such as the legs and arms, may also be affected by lymphatic obstruction, leading to swelling and fluid accumulation.
  • Fever and Fatigue: Some individuals may experience fever, fatigue, and general malaise.

In severe cases, elephantitis of the testicals can lead to complications such as:

  • Secondary Infections: The enlarged and swollen tissue is more susceptible to bacterial infections.
  • Ulceration: The skin may develop ulcers, which can be painful and difficult to heal.
  • Mobility Issues: The enlarged scrotum can interfere with mobility and daily activities.
  • Psychological Impact: The condition can have a significant psychological impact, leading to social isolation and depression.

Diagnosis of Elephantitis of the Testicals

Diagnosing elephantitis of the testicals involves a combination of clinical examination and laboratory tests. The diagnostic process typically includes:

  • Medical History: The healthcare provider will take a detailed medical history, including travel to endemic areas and exposure to mosquitoes.
  • Physical Examination: A thorough physical examination of the scrotum and other affected areas will be conducted.
  • Blood Tests: Blood tests can detect the presence of microfilariae or antibodies to the parasite.
  • Ultrasound: Ultrasound imaging can help visualize the lymphatic vessels and assess the extent of obstruction.
  • Biopsy: In some cases, a biopsy of the affected tissue may be performed to confirm the diagnosis.

Early and accurate diagnosis is crucial for effective management and prevention of complications. If you suspect you have elephantitis of the testicals, it is important to seek medical attention promptly.

Treatment Options for Elephantitis of the Testicals

The treatment of elephantitis of the testicals focuses on managing symptoms, reducing inflammation, and preventing complications. Treatment options include:

  • Antiparasitic Medication: Drugs such as diethylcarbamazine (DEC), ivermectin, and albendazole are commonly used to kill the adult worms and microfilariae.
  • Anti-inflammatory Drugs: Nonsteroidal anti-inflammatory drugs (NSAIDs) and corticosteroids can help reduce inflammation and pain.
  • Surgery: In severe cases, surgical intervention may be necessary to remove excess tissue and improve mobility. Surgical options include:
    Surgical Procedure Description
    Scrotectomy Removal of the enlarged scrotal tissue.
    Lymphaticovenous Anastomosis Creation of a connection between lymphatic vessels and veins to improve fluid drainage.
    Lymphatic Reconstruction Repair of damaged lymphatic vessels to restore normal function.

    Physical Therapy: Physical therapy and exercises can help improve mobility and reduce swelling.

    Skin Care: Proper skin care and hygiene are essential to prevent secondary infections and promote healing.

    Psychological Support: Counseling and support groups can help individuals cope with the psychological impact of the condition.

📝 Note: Treatment should be individualized based on the severity of the condition and the patient's overall health. It is important to follow the healthcare provider's recommendations for the best outcomes.

Prevention of Elephantitis of the Testicals

Preventing elephantitis of the testicals involves reducing the risk of filariasis infection. Key prevention strategies include:

  • Mosquito Control: Implementing mosquito control measures, such as using insecticides, eliminating breeding sites, and installing screens on windows and doors.
  • Personal Protection: Using insect repellents, wearing long sleeves and pants, and sleeping under mosquito nets.
  • Mass Drug Administration: Participating in mass drug administration programs in endemic areas to reduce the prevalence of the parasite.
  • Education and Awareness: Raising awareness about the risks of filariasis and the importance of prevention measures.

By taking these preventive measures, individuals can significantly reduce their risk of developing elephantitis of the testicals and other complications of filariasis.

Elephantitis of the testicals is a serious condition that requires prompt diagnosis and effective management. Understanding the causes, symptoms, diagnosis, and treatment options is essential for individuals living in endemic areas and those who may be at risk. By taking preventive measures and seeking timely medical attention, the impact of elephantitis of the testicals can be minimized, improving the quality of life for those affected.

Related Terms:

  • elephantiasis genitalis
  • genital elephantiasis pictures
  • elephantiasis male
  • elephantitis of the balls
  • elephantiasis of the testes
  • testicular elephantitis pictures