Elbow Fat Pad

Elbow Fat Pad

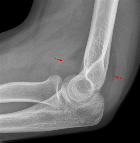
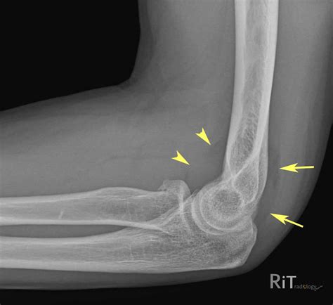
Understanding the elbow fat pad is crucial for anyone dealing with elbow injuries or seeking to improve their elbow health. The elbow fat pad, also known as the olecranon bursa, is a small, fluid-filled sac located at the tip of the elbow. This structure plays a vital role in cushioning the elbow joint and reducing friction during movement. However, it can sometimes become inflamed or injured, leading to discomfort and limited mobility.

Anatomy of the Elbow Fat Pad

The elbow fat pad is a critical component of the elbow's anatomy. It is situated just below the skin and above the olecranon process of the ulna, the bone that forms the pointy part of the elbow. The primary function of the elbow fat pad is to act as a shock absorber, protecting the underlying bone and soft tissues from impact and friction. This small but essential structure is lined with synovial fluid, which helps to lubricate the joint and facilitate smooth movement.

Common Conditions Affecting the Elbow Fat Pad

Several conditions can affect the elbow fat pad, leading to pain, swelling, and reduced range of motion. Some of the most common conditions include:

  • Bursitis: Inflammation of the olecranon bursa, often caused by repetitive pressure or trauma to the elbow. This condition can result in swelling, redness, and tenderness.
  • Elbow Fat Pad Syndrome: A condition characterized by pain and swelling in the elbow fat pad, often due to overuse or injury. This syndrome can be particularly problematic for athletes and individuals who engage in repetitive elbow movements.
  • Elbow Contusions: Bruises or contusions to the elbow can cause swelling and pain in the elbow fat pad. These injuries are common in contact sports and falls.

Symptoms of Elbow Fat Pad Issues

Recognizing the symptoms of elbow fat pad issues is the first step in seeking appropriate treatment. Common symptoms include:

  • Swelling and tenderness in the elbow area
  • Pain that worsens with movement or pressure
  • Redness and warmth around the elbow
  • Limited range of motion in the elbow joint
  • A feeling of instability or weakness in the elbow

If you experience any of these symptoms, it is essential to consult a healthcare professional for a proper diagnosis and treatment plan.

Diagnosing Elbow Fat Pad Problems

Diagnosing issues related to the elbow fat pad typically involves a combination of physical examination and imaging tests. Your healthcare provider may perform the following:

  • Physical Examination: The doctor will assess the elbow for swelling, tenderness, and range of motion. They may also check for any signs of infection or injury.
  • Imaging Tests: X-rays, ultrasound, or MRI scans can provide detailed images of the elbow joint and surrounding tissues, helping to identify any abnormalities or injuries.
  • Blood Tests: In some cases, blood tests may be ordered to rule out infections or other underlying conditions.

Treatment Options for Elbow Fat Pad Issues

Treatment for elbow fat pad issues depends on the underlying cause and severity of the condition. Common treatment options include:

  • Rest and Ice: Resting the elbow and applying ice packs can help reduce swelling and pain. It is recommended to apply ice for 15-20 minutes, several times a day.
  • Compression and Elevation: Wrapping the elbow with a compression bandage and elevating it above heart level can help reduce swelling.
  • Medications: Over-the-counter pain relievers such as ibuprofen or naproxen can help alleviate pain and reduce inflammation. In some cases, prescription medications may be necessary.
  • Physical Therapy: Exercises and stretches prescribed by a physical therapist can help improve range of motion and strengthen the muscles around the elbow.
  • Corticosteroid Injections: In severe cases, corticosteroid injections may be administered to reduce inflammation and pain.
  • Surgery: In rare cases, surgery may be required to repair or remove damaged tissue in the elbow fat pad.

Preventing Elbow Fat Pad Injuries

Preventing elbow fat pad injuries involves taking proactive measures to protect the elbow joint. Here are some tips to help prevent injuries:

  • Wear protective gear during sports or activities that involve repetitive elbow movements.
  • Use proper technique and form during exercises and activities to avoid unnecessary strain on the elbow.
  • Take regular breaks to rest the elbow and prevent overuse injuries.
  • Maintain a healthy weight to reduce stress on the joints.
  • Strengthen the muscles around the elbow through regular exercise and stretching.

By following these preventive measures, you can reduce the risk of elbow fat pad injuries and maintain optimal elbow health.

Elbow Fat Pad Syndrome in Athletes

Elbow fat pad syndrome is particularly common among athletes who engage in repetitive elbow movements, such as tennis players, golfers, and weightlifters. The constant stress and impact on the elbow joint can lead to inflammation and pain in the elbow fat pad. Athletes should be aware of the signs and symptoms of this condition and seek prompt treatment to prevent further damage.

In addition to the treatment options mentioned earlier, athletes may benefit from specialized rehabilitation programs designed to address the unique demands of their sport. These programs often include a combination of physical therapy, strength training, and sport-specific exercises to help athletes return to their activities safely and effectively.

Elbow Fat Pad Syndrome in Children

Children are also susceptible to elbow fat pad syndrome, particularly those who participate in sports or activities that involve repetitive elbow movements. The growing bones and developing muscles in children can make them more prone to injuries and overuse conditions. Parents and caregivers should be vigilant for signs of elbow fat pad syndrome and seek medical attention if necessary.

Treatment for elbow fat pad syndrome in children typically involves a combination of rest, ice, compression, and elevation, along with physical therapy and exercises to improve strength and flexibility. In most cases, children can make a full recovery with proper treatment and rehabilitation.

Elbow Fat Pad Syndrome in the Elderly

The elderly are at an increased risk of developing elbow fat pad syndrome due to age-related changes in the joints and surrounding tissues. Conditions such as osteoarthritis and rheumatoid arthritis can contribute to the development of this condition. Elderly individuals should be aware of the signs and symptoms of elbow fat pad syndrome and seek medical attention if they experience pain or swelling in the elbow.

Treatment for elbow fat pad syndrome in the elderly may involve a combination of medications, physical therapy, and lifestyle modifications to manage symptoms and improve overall joint health. In some cases, corticosteroid injections or surgery may be necessary to address severe or persistent symptoms.

Elbow Fat Pad Syndrome and Occupational Hazards

Certain occupations that involve repetitive elbow movements or prolonged pressure on the elbow can increase the risk of developing elbow fat pad syndrome. Examples include:

  • Construction workers
  • Factory workers
  • Office workers who use computers for extended periods
  • Athletes and fitness trainers

Individuals in these occupations should take steps to protect their elbows and seek medical attention if they experience symptoms of elbow fat pad syndrome. Employers can also play a role in preventing these injuries by providing ergonomic equipment and promoting safe work practices.

Elbow Fat Pad Syndrome and Lifestyle Factors

Lifestyle factors can also contribute to the development of elbow fat pad syndrome. For example, individuals who are overweight or obese may experience increased stress on their joints, including the elbow. Maintaining a healthy weight through a balanced diet and regular exercise can help reduce the risk of elbow fat pad syndrome and other joint-related conditions.

Additionally, individuals who smoke or consume excessive alcohol may be at a higher risk of developing elbow fat pad syndrome due to the negative effects of these substances on joint health. Quitting smoking and limiting alcohol consumption can help improve overall joint health and reduce the risk of injuries.

Elbow Fat Pad Syndrome and Medical Conditions

Certain medical conditions can increase the risk of developing elbow fat pad syndrome. For example, individuals with rheumatoid arthritis or gout may experience inflammation and pain in the elbow fat pad. Managing these underlying conditions through medication, physical therapy, and lifestyle modifications can help reduce the risk of elbow fat pad syndrome and improve overall joint health.

Individuals with diabetes may also be at a higher risk of developing elbow fat pad syndrome due to the effects of high blood sugar levels on joint health. Maintaining good blood sugar control through diet, exercise, and medication can help reduce the risk of elbow fat pad syndrome and other joint-related conditions.

Elbow Fat Pad Syndrome and Rehabilitation

Rehabilitation plays a crucial role in the treatment of elbow fat pad syndrome. A comprehensive rehabilitation program can help improve range of motion, strength, and flexibility in the elbow joint, reducing the risk of future injuries. Rehabilitation programs typically include a combination of the following components:

  • Physical Therapy: Exercises and stretches prescribed by a physical therapist can help improve range of motion and strengthen the muscles around the elbow.
  • Strength Training: Resistance exercises can help build strength in the muscles and tendons around the elbow, providing better support and stability.
  • Sport-Specific Exercises: For athletes, sport-specific exercises can help improve performance and reduce the risk of future injuries.
  • Pain Management: Techniques such as ice, heat, and massage can help alleviate pain and promote healing.

It is essential to work closely with a healthcare professional to develop a personalized rehabilitation program tailored to your specific needs and goals.

📝 Note: Always consult with a healthcare professional before starting any new exercise or rehabilitation program.

Elbow Fat Pad Syndrome and Nutrition

Proper nutrition plays a vital role in maintaining joint health and preventing elbow fat pad syndrome. A balanced diet rich in essential nutrients can help support joint function and reduce inflammation. Key nutrients for joint health include:

  • Omega-3 Fatty Acids: Found in fatty fish, walnuts, and flaxseeds, omega-3 fatty acids have anti-inflammatory properties that can help reduce joint pain and swelling.
  • Vitamin C: Essential for collagen production, vitamin C can help strengthen connective tissues and promote joint health. Foods rich in vitamin C include citrus fruits, berries, and leafy greens.
  • Vitamin D: Crucial for bone health, vitamin D can help improve joint function and reduce the risk of injuries. Foods rich in vitamin D include fatty fish, egg yolks, and fortified dairy products.
  • Calcium: Important for bone health, calcium can help strengthen the bones and reduce the risk of fractures. Foods rich in calcium include dairy products, leafy greens, and fortified plant-based milks.

Incorporating these nutrients into your diet can help support joint health and reduce the risk of elbow fat pad syndrome.

Elbow Fat Pad Syndrome and Ergonomics

Ergonomics plays a crucial role in preventing elbow fat pad syndrome, particularly for individuals who spend extended periods performing repetitive tasks. Proper ergonomic practices can help reduce stress on the elbow joint and prevent injuries. Key ergonomic considerations include:

  • Workstation Setup: Ensure that your workstation is set up correctly to minimize strain on the elbows. This includes adjusting the height of your chair, desk, and keyboard to promote proper posture.
  • Breaks and Stretches: Take regular breaks to rest the elbows and perform stretches to maintain flexibility and reduce tension.
  • Proper Technique: Use proper technique and form during tasks to avoid unnecessary strain on the elbows. This includes lifting objects with the legs rather than the back and using both hands to distribute weight evenly.
  • Ergonomic Equipment: Use ergonomic equipment such as wrist rests, keyboard trays, and supportive chairs to reduce stress on the elbows and promote comfort.

By implementing these ergonomic practices, you can reduce the risk of elbow fat pad syndrome and maintain optimal elbow health.

Elbow Fat Pad Syndrome and Alternative Therapies

In addition to conventional treatments, alternative therapies can also be beneficial for managing elbow fat pad syndrome. Some alternative therapies to consider include:

  • Acupuncture: This traditional Chinese medicine practice involves inserting thin needles into specific points on the body to relieve pain and promote healing.
  • Massage Therapy: Massage can help alleviate pain, reduce inflammation, and improve range of motion in the elbow joint.
  • Chiropractic Care: Chiropractic adjustments can help realign the joints and reduce stress on the elbow, promoting healing and improving function.
  • Yoga and Pilates: These low-impact exercises can help improve flexibility, strength, and posture, reducing the risk of elbow fat pad syndrome and other joint-related conditions.

It is essential to consult with a healthcare professional before trying any alternative therapies to ensure they are safe and appropriate for your specific needs.

📝 Note: Alternative therapies should be used in conjunction with conventional treatments and under the guidance of a healthcare professional.

Elbow Fat Pad Syndrome and Long-Term Management

Long-term management of elbow fat pad syndrome involves a combination of lifestyle modifications, rehabilitation, and ongoing medical care. Key strategies for long-term management include:

  • Regular Exercise: Engage in regular exercise to maintain strength, flexibility, and range of motion in the elbow joint.
  • Proper Nutrition: Consume a balanced diet rich in essential nutrients to support joint health and reduce inflammation.
  • Ergonomic Practices: Implement ergonomic practices in your daily activities to reduce stress on the elbow joint and prevent injuries.
  • Regular Check-Ups: Schedule regular check-ups with your healthcare provider to monitor your elbow health and address any concerns promptly.
  • Pain Management: Use pain management techniques such as ice, heat, and massage to alleviate discomfort and promote healing.

By incorporating these strategies into your daily routine, you can effectively manage elbow fat pad syndrome and maintain optimal elbow health over the long term.

Elbow Fat Pad Syndrome and Common Myths

There are several myths and misconceptions surrounding elbow fat pad syndrome that can lead to confusion and misinformation. Some common myths include:

  • Myth: Elbow Fat Pad Syndrome Only Affects Athletes: While athletes are at a higher risk, elbow fat pad syndrome can affect anyone, regardless of their activity level.
  • Myth: Rest is the Only Treatment for Elbow Fat Pad Syndrome: While rest is an essential component of treatment, a comprehensive approach that includes physical therapy, medications, and lifestyle modifications is often necessary.
  • Myth: Surgery is Always Required for Elbow Fat Pad Syndrome: In most cases, conservative treatments such as rest, ice, compression, and elevation are sufficient to manage symptoms and promote healing.
  • Myth: Elbow Fat Pad Syndrome is a Minor Condition: While it can be managed effectively, elbow fat pad syndrome can cause significant pain and discomfort if left untreated.

Understanding the facts about elbow fat pad syndrome can help you make informed decisions about your health and seek appropriate treatment.

Elbow Fat Pad Syndrome and Future Research

Ongoing research is essential for advancing our understanding of elbow fat pad syndrome and developing more effective treatments. Future research may focus on:

  • Identifying new biomarkers for early detection and diagnosis of elbow fat pad syndrome.
  • Developing novel therapeutic approaches, such as regenerative medicine and biologic therapies, to promote healing and improve outcomes.
  • Investigating the role of genetics and environmental factors in the development of elbow fat pad syndrome.
  • Exploring the effectiveness of alternative therapies, such as acupuncture and massage, in managing symptoms and promoting recovery.

By advancing our knowledge of elbow fat pad syndrome, we can improve prevention, diagnosis, and treatment strategies, ultimately enhancing the quality of life for individuals affected by this condition.

Elbow fat pad syndrome is a complex condition that can significantly impact an individual's quality of life. By understanding the anatomy, symptoms, and treatment options for elbow fat pad syndrome, you can take proactive steps to manage this condition effectively. Whether you are an athlete, a worker, or someone dealing with elbow pain, seeking prompt medical attention and following a comprehensive treatment plan can help you achieve optimal elbow health and prevent future injuries.

Incorporating lifestyle modifications, ergonomic practices, and regular exercise into your daily routine can also play a crucial role in maintaining elbow health and reducing the risk of elbow fat pad syndrome. By staying informed and taking proactive measures, you can effectively manage this condition and enjoy an active, pain-free life.

Elbow fat pad syndrome is a condition that requires attention and care. By understanding the underlying causes, symptoms, and treatment options, you can take control of your elbow health and prevent future complications. Whether you are an athlete, a worker, or someone dealing with elbow pain, seeking prompt medical attention and following a comprehensive treatment plan can help you achieve optimal elbow health and prevent future injuries.

Incorporating lifestyle modifications, ergonomic practices, and regular exercise into your daily routine can also play a crucial role in maintaining elbow health and reducing the risk of elbow fat pad syndrome. By staying informed and taking proactive measures, you can effectively manage this condition and enjoy an active, pain-free life.

Elbow fat pad syndrome is a condition that requires attention and care. By understanding the underlying causes, symptoms, and treatment options, you can take control of your elbow health and prevent future complications. Whether you are an athlete, a worker, or someone dealing with elbow pain, seeking prompt medical attention and following a comprehensive treatment plan can help you achieve optimal elbow health and prevent future injuries.

Incorporating lifestyle modifications, ergonomic practices, and regular exercise into your daily routine can also play a crucial role in maintaining elbow health and reducing the risk of elbow fat pad syndrome. By staying informed and taking proactive measures, you can effectively manage this condition and enjoy an active, pain-free life.

Elbow fat pad syndrome is a condition that requires attention and care. By understanding the underlying causes, symptoms, and treatment options, you can take control of your elbow health and prevent future complications. Whether you are an athlete, a worker, or someone dealing with elbow pain, seeking prompt medical attention and following a comprehensive treatment plan can help you

Related Terms:

  • normal elbow fat pads
  • elbow fat pads x ray
  • positive posterior fat pad sign
  • positive fat pad sign elbow
  • elbow fracture fat pad sign
  • elbow elevated fat pad