Elastic Cartilage Under Microscope

Elastic Cartilage Under Microscope

Exploring the microscopic world of elastic cartilage under microscope reveals a fascinating landscape of biological structures that play a crucial role in the human body. Elastic cartilage, also known as yellow cartilage, is a type of connective tissue that provides flexibility and support to various body parts. Its unique properties make it an essential component in areas such as the outer ear, epiglottis, and laryngeal cartilage. Understanding the structure and function of elastic cartilage under a microscope offers insights into its biological significance and clinical applications.

Understanding Elastic Cartilage

Elastic cartilage is characterized by its high content of elastin fibers, which give it the ability to stretch and recoil. This type of cartilage is found in areas of the body where flexibility and resilience are required. Unlike hyaline cartilage, which is more rigid and found in joints, elastic cartilage can withstand repeated bending and twisting without permanent deformation. This makes it ideal for structures that need to maintain their shape while allowing for movement.

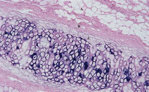
Structure of Elastic Cartilage Under Microscope

When viewed under a microscope, elastic cartilage exhibits a distinct structure that sets it apart from other types of cartilage. The key components include:

  • Chondrocytes: These are the cells responsible for producing and maintaining the cartilage matrix. They are embedded within the matrix and appear as small, rounded cells.
  • Elastin Fibers: These fibers are abundant and provide the cartilage with its elastic properties. They appear as thin, wavy lines under the microscope.
  • Collagen Fibers: While not as abundant as in hyaline cartilage, collagen fibers are still present and contribute to the overall strength and structure of the tissue.
  • Ground Substance: This is the gel-like matrix that surrounds the cells and fibers. It is composed of proteoglycans and water, providing a hydrated environment that supports the cells and fibers.

To better understand the structure of elastic cartilage, let's examine a typical microscopic view:

Component Description Function
Chondrocytes Small, rounded cells embedded in the matrix Produce and maintain the cartilage matrix
Elastin Fibers Thin, wavy lines Provide elasticity and flexibility
Collagen Fibers Thicker, straighter lines Contribute to strength and structure
Ground Substance Gel-like matrix surrounding cells and fibers Provides a hydrated environment for cells and fibers

Understanding the structure of elastic cartilage under a microscope is crucial for various applications, including medical research and clinical practice. By examining the microscopic details, researchers can gain insights into the mechanisms of cartilage degeneration and regeneration, which is essential for developing effective treatments for conditions such as osteoarthritis and other cartilage-related disorders.

🔍 Note: When preparing samples for microscopic examination, it is important to use appropriate staining techniques to highlight the different components of the cartilage. Common stains include hematoxylin and eosin (H&E) for general tissue structure and elastin-specific stains like Verhoeff's stain for elastin fibers.

Clinical Applications of Elastic Cartilage

Elastic cartilage plays a vital role in various clinical applications, particularly in reconstructive surgery and tissue engineering. Its unique properties make it an ideal material for repairing and replacing damaged tissues. Some of the key clinical applications include:

  • Reconstructive Surgery: Elastic cartilage is often used in reconstructive surgery to repair or replace damaged tissues in the ear, nose, and throat. Its flexibility and resilience make it suitable for creating structures that need to maintain their shape while allowing for movement.
  • Tissue Engineering: Researchers are exploring the use of elastic cartilage in tissue engineering to create artificial cartilage for transplantation. This involves growing cartilage cells in a laboratory setting and then implanting them into the body to repair damaged tissues.
  • Otolaryngology: In the field of otolaryngology, elastic cartilage is used to repair and reconstruct structures in the ear, nose, and throat. For example, it can be used to repair a damaged eardrum or to reconstruct the larynx after surgery.

One of the most common uses of elastic cartilage in clinical practice is in the repair of the eardrum. The eardrum, or tympanic membrane, is a thin layer of tissue that separates the outer ear from the middle ear. Damage to the eardrum can result in hearing loss and other complications. Elastic cartilage can be used to repair the eardrum by providing a flexible and resilient material that can withstand the forces of sound waves.

Another important application of elastic cartilage is in the reconstruction of the larynx. The larynx, or voice box, is a complex structure that includes several cartilages, including the thyroid cartilage, cricoid cartilage, and arytenoid cartilages. Damage to the larynx can result in difficulty speaking, breathing, and swallowing. Elastic cartilage can be used to reconstruct the larynx by providing a flexible and resilient material that can maintain the shape and function of the structure.

In addition to its clinical applications, elastic cartilage is also an important area of research in the field of regenerative medicine. Researchers are exploring the use of stem cells to create artificial cartilage that can be used to repair and replace damaged tissues. This involves growing cartilage cells in a laboratory setting and then implanting them into the body to promote healing and regeneration.

One of the challenges in using elastic cartilage for clinical applications is the limited availability of donor tissue. To address this issue, researchers are exploring the use of synthetic materials and biomaterials to create artificial cartilage. These materials can be designed to mimic the properties of natural cartilage, providing a flexible and resilient material that can be used to repair and replace damaged tissues.

Another challenge in using elastic cartilage for clinical applications is the risk of rejection by the immune system. To address this issue, researchers are exploring the use of immunosuppressive drugs and other strategies to prevent rejection. This involves developing new techniques for tissue engineering and transplantation that can minimize the risk of rejection and promote healing and regeneration.

In summary, elastic cartilage has a wide range of clinical applications, from reconstructive surgery to tissue engineering and regenerative medicine. Its unique properties make it an ideal material for repairing and replacing damaged tissues, and ongoing research is exploring new ways to use elastic cartilage for clinical applications.

🔬 Note: When using elastic cartilage for clinical applications, it is important to consider the source of the tissue and the potential risks of rejection. Researchers are exploring the use of synthetic materials and biomaterials to create artificial cartilage that can be used to repair and replace damaged tissues without the risk of rejection.

Microscopic Examination Techniques

Examining elastic cartilage under a microscope requires specific techniques to ensure that the tissue's structure and components are clearly visible. The following techniques are commonly used:

  • Histological Staining: This involves using dyes to stain different components of the tissue, making them easier to see under the microscope. Common stains for elastic cartilage include:
    • Hematoxylin and eosin (H&E) for general tissue structure
    • Verhoeff's stain for elastin fibers
    • Masson's trichrome for collagen fibers
  • Immunohistochemistry: This technique uses antibodies to detect specific proteins in the tissue. It can be used to identify chondrocytes and other cells in the cartilage matrix.
  • Electron Microscopy: This technique provides a higher magnification view of the tissue, allowing for detailed examination of the ultrastructure. It can be used to study the arrangement of elastin and collagen fibers in the cartilage matrix.

When preparing samples for microscopic examination, it is important to follow standard protocols to ensure that the tissue is properly preserved and stained. This involves fixing the tissue in a solution such as formalin, embedding it in paraffin, and then cutting thin sections for staining and examination.

One of the challenges in examining elastic cartilage under a microscope is the need to distinguish between elastin and collagen fibers. This can be achieved using specific stains such as Verhoeff's stain for elastin fibers and Masson's trichrome for collagen fibers. By using these stains, researchers can clearly visualize the different components of the cartilage and study their arrangement and function.

Another challenge in examining elastic cartilage under a microscope is the need to preserve the tissue's structure and integrity. This can be achieved by using appropriate fixation and embedding techniques, as well as by handling the tissue carefully during preparation. By following standard protocols and using appropriate techniques, researchers can ensure that the tissue is properly preserved and stained, allowing for accurate examination and analysis.

In addition to histological staining and immunohistochemistry, electron microscopy can provide a higher magnification view of the tissue, allowing for detailed examination of the ultrastructure. This technique can be used to study the arrangement of elastin and collagen fibers in the cartilage matrix, as well as the structure and function of chondrocytes. By using electron microscopy, researchers can gain insights into the molecular and cellular mechanisms that underlie the properties of elastic cartilage.

In summary, examining elastic cartilage under a microscope requires specific techniques to ensure that the tissue's structure and components are clearly visible. By using histological staining, immunohistochemistry, and electron microscopy, researchers can gain insights into the properties and function of elastic cartilage, as well as its clinical applications.

🔍 Note: When preparing samples for microscopic examination, it is important to use appropriate staining techniques to highlight the different components of the cartilage. Common stains include hematoxylin and eosin (H&E) for general tissue structure and elastin-specific stains like Verhoeff's stain for elastin fibers.

Research and Future Directions

Research on elastic cartilage under a microscope is an active area of study, with ongoing efforts to understand its structure, function, and clinical applications. Some of the key areas of research include:

  • Mechanisms of Cartilage Degeneration: Understanding the mechanisms by which elastic cartilage degenerates is crucial for developing effective treatments for conditions such as osteoarthritis and other cartilage-related disorders. Researchers are studying the role of inflammation, oxidative stress, and other factors in cartilage degeneration.
  • Regenerative Medicine: Researchers are exploring the use of stem cells and other regenerative techniques to create artificial cartilage that can be used to repair and replace damaged tissues. This involves growing cartilage cells in a laboratory setting and then implanting them into the body to promote healing and regeneration.
  • Biomaterials and Tissue Engineering: The development of synthetic materials and biomaterials that can mimic the properties of natural cartilage is an important area of research. These materials can be used to create artificial cartilage for transplantation, providing a flexible and resilient material that can repair and replace damaged tissues.
  • Imaging Techniques: Advances in imaging techniques, such as confocal microscopy and multiphoton microscopy, are providing new insights into the structure and function of elastic cartilage. These techniques allow for high-resolution imaging of the tissue, enabling researchers to study the arrangement and function of elastin and collagen fibers, as well as the structure and function of chondrocytes.

One of the key areas of research in elastic cartilage is the development of new imaging techniques that can provide high-resolution views of the tissue. Confocal microscopy and multiphoton microscopy are two techniques that are being used to study the structure and function of elastic cartilage. These techniques allow for high-resolution imaging of the tissue, enabling researchers to study the arrangement and function of elastin and collagen fibers, as well as the structure and function of chondrocytes.

Another important area of research is the development of new biomaterials and tissue engineering techniques that can be used to create artificial cartilage. Researchers are exploring the use of synthetic materials and biomaterials that can mimic the properties of natural cartilage, providing a flexible and resilient material that can be used to repair and replace damaged tissues. These materials can be designed to promote healing and regeneration, as well as to minimize the risk of rejection by the immune system.

In addition to these areas of research, there is ongoing work to understand the mechanisms of cartilage degeneration and to develop effective treatments for conditions such as osteoarthritis and other cartilage-related disorders. Researchers are studying the role of inflammation, oxidative stress, and other factors in cartilage degeneration, as well as the potential for regenerative techniques to promote healing and regeneration.

In summary, research on elastic cartilage under a microscope is an active area of study, with ongoing efforts to understand its structure, function, and clinical applications. By using advanced imaging techniques, biomaterials, and tissue engineering, researchers are gaining new insights into the properties and function of elastic cartilage, as well as its potential for clinical applications.

🔬 Note: Ongoing research in the field of elastic cartilage is focused on developing new imaging techniques, biomaterials, and tissue engineering methods to enhance our understanding of its structure and function, as well as to explore its clinical applications.

Elastic cartilage under a microscope reveals a complex and fascinating structure that plays a crucial role in the human body. Its unique properties, including flexibility and resilience, make it an essential component in areas such as the outer ear, epiglottis, and laryngeal cartilage. Understanding the structure and function of elastic cartilage under a microscope offers insights into its biological significance and clinical applications. By examining the microscopic details, researchers can gain insights into the mechanisms of cartilage degeneration and regeneration, which is essential for developing effective treatments for conditions such as osteoarthritis and other cartilage-related disorders. Ongoing research in this field is focused on developing new imaging techniques, biomaterials, and tissue engineering methods to enhance our understanding of elastic cartilage and its potential for clinical applications.

Related Terms:

  • elastic cartilage under microscope labeled
  • hyaline cartilage under microscope
  • elastic cartilage location
  • elastic vs hyaline cartilage histology
  • hyaline cartilage
  • smooth muscle under microscope