Early Childhood Caries

Early Childhood Caries

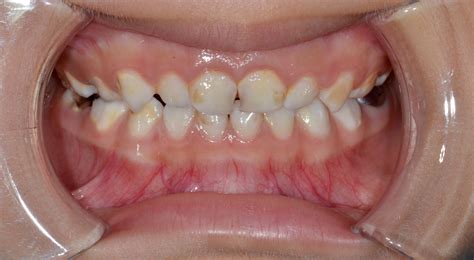
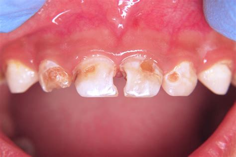
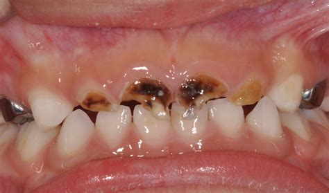
Early Childhood Caries (ECC) is a significant oral health issue affecting young children worldwide. Often referred to as baby bottle tooth decay or nursing caries, ECC is characterized by the presence of one or more decayed, missing, or filled tooth surfaces in children under the age of six. This condition not only impacts the child's oral health but also has broader implications for their overall well-being and development.

Understanding Early Childhood Caries

ECC is primarily caused by prolonged exposure to sugary liquids, such as milk, formula, or juice, especially during sleep. The bacteria in the mouth feed on these sugars, producing acids that erode the tooth enamel. Over time, this process leads to cavities and tooth decay. Several factors contribute to the development of ECC, including:

  • Frequent and prolonged exposure to sugary drinks.
  • Poor oral hygiene practices.
  • Inadequate fluoride exposure.
  • Genetic predisposition to dental caries.
  • Socioeconomic factors that limit access to dental care.

Prevention Strategies for Early Childhood Caries

Preventing ECC involves a combination of good oral hygiene practices, dietary modifications, and regular dental check-ups. Here are some effective strategies to prevent ECC:

Oral Hygiene Practices

Establishing a consistent oral hygiene routine from an early age is crucial. Parents should:

  • Clean the baby's gums with a soft cloth or gauze after feedings.
  • Begin brushing the child's teeth with a small, soft-bristled toothbrush and a rice-grain-sized amount of fluoride toothpaste as soon as the first tooth appears.
  • Supervise brushing until the child is old enough to do it effectively, usually around 6-8 years old.

Dietary Modifications

Diet plays a significant role in the development of ECC. Parents should:

  • Avoid giving the child sugary drinks, especially before bedtime.
  • Limit the frequency and duration of breastfeeding or bottle-feeding, especially at night.
  • Encourage the child to drink water instead of sugary beverages.
  • Offer a balanced diet rich in fruits, vegetables, and whole grains.

Regular Dental Check-ups

Regular dental visits are essential for early detection and prevention of ECC. Parents should:

  • Schedule the child's first dental visit within six months of the eruption of the first tooth or by the first birthday.
  • Maintain regular dental check-ups every six months.
  • Follow the dentist's recommendations for fluoride treatments and sealants.

Treatment Options for Early Childhood Caries

If ECC is detected, prompt treatment is necessary to prevent further damage and complications. Treatment options depend on the severity of the decay and may include:

Fluoride Treatments

Fluoride treatments can help remineralize the tooth enamel and prevent further decay. These treatments are typically applied by a dentist and can be done in-office or at home with prescription-strength fluoride products.

Dental Fillings

For cavities that have progressed beyond the early stages, dental fillings may be necessary. The dentist will remove the decayed portion of the tooth and fill the cavity with a restorative material, such as composite resin or amalgam.

Crowns

In cases where the decay is extensive, a dental crown may be required to restore the tooth's structure and function. Crowns are custom-made to fit over the remaining tooth structure and can be made from various materials, including stainless steel, zirconia, or porcelain.

Pulp Therapy

If the decay has reached the pulp of the tooth, pulp therapy may be necessary to save the tooth. This procedure involves removing the infected pulp and placing a medicament to promote healing. The tooth is then restored with a crown or filling.

Extraction

In severe cases where the tooth is beyond repair, extraction may be the only option. The dentist will remove the decayed tooth to prevent further infection and complications. Space maintainers may be placed to preserve the space for the permanent tooth.

The Impact of Early Childhood Caries on Overall Health

ECC can have far-reaching effects on a child's overall health and development. Some of the potential impacts include:

  • Pain and Discomfort: Tooth decay can cause significant pain and discomfort, affecting the child's ability to eat, sleep, and concentrate.
  • Nutritional Deficiencies: Children with ECC may avoid eating certain foods due to pain, leading to nutritional deficiencies.
  • Speech Development: Missing or decayed teeth can affect speech development and pronunciation.
  • Self-Esteem: The appearance of decayed or missing teeth can impact a child's self-esteem and social interactions.
  • Future Dental Health: Children with ECC are at a higher risk of developing dental issues in the future, including cavities and gum disease.

Addressing Early Childhood Caries in Different Age Groups

The prevention and treatment of ECC vary depending on the child's age. Here are some age-specific considerations:

Infants (0-12 months)

For infants, prevention focuses on:

  • Cleaning the gums with a soft cloth or gauze after feedings.
  • Avoiding prolonged exposure to sugary liquids, especially at night.
  • Scheduling the first dental visit within six months of the eruption of the first tooth or by the first birthday.

Toddlers (1-3 years)

For toddlers, prevention and treatment may include:

  • Brushing the child's teeth with a small, soft-bristled toothbrush and a rice-grain-sized amount of fluoride toothpaste.
  • Encouraging the child to drink water instead of sugary beverages.
  • Regular dental check-ups and fluoride treatments.
  • Dental fillings or crowns for cavities that have progressed beyond the early stages.

Preschoolers (3-5 years)

For preschoolers, prevention and treatment may include:

  • Supervising brushing until the child is old enough to do it effectively.
  • Offering a balanced diet rich in fruits, vegetables, and whole grains.
  • Regular dental check-ups and fluoride treatments.
  • Pulp therapy or extraction for severe decay.

Early Childhood Caries and Socioeconomic Factors

Socioeconomic factors play a significant role in the prevalence of ECC. Children from low-income families are at a higher risk due to limited access to dental care, poor nutrition, and inadequate oral hygiene practices. Addressing these disparities requires a multifaceted approach, including:

  • Education: Providing parents and caregivers with information on oral health and prevention strategies.
  • Access to Care: Increasing access to affordable dental care for low-income families.
  • Community Programs: Implementing community-based programs that offer dental screenings, sealants, and fluoride treatments.
  • Policy Changes: Advocating for policy changes that support oral health initiatives and reduce disparities.

πŸ“ Note: Early intervention and prevention are key to reducing the burden of ECC, especially in vulnerable populations.

Early Childhood Caries and Special Needs Children

Children with special needs are at an increased risk of developing ECC due to factors such as dietary restrictions, medication use, and difficulty maintaining oral hygiene. Special considerations for these children include:

  • Individualized Oral Hygiene Plans: Developing personalized oral hygiene plans that accommodate the child's needs and abilities.
  • Dietary Modifications: Adjusting the diet to minimize the risk of tooth decay, such as reducing sugary foods and drinks.
  • Regular Dental Check-ups: Scheduling regular dental visits to monitor oral health and address any issues promptly.
  • Specialized Dental Care: Seeking dental care from providers who have experience working with special needs children.

πŸ“ Note: Collaboration between parents, caregivers, and dental professionals is essential for managing ECC in special needs children.

Early Childhood Caries and Cultural Practices

Cultural practices can also influence the prevalence of ECC. For example, some cultures may have traditions that involve prolonged breastfeeding or the use of sugary liquids as comfort measures. Understanding and addressing these cultural practices is crucial for effective prevention and treatment. Some strategies include:

  • Cultural Sensitivity: Approaching prevention and treatment with cultural sensitivity and respect for traditional practices.
  • Education: Providing culturally appropriate education on oral health and prevention strategies.
  • Community Involvement: Engaging community leaders and influencers to promote oral health initiatives.
  • Adaptation: Adapting prevention and treatment plans to align with cultural practices and beliefs.

πŸ“ Note: Cultural competence is essential for effective prevention and treatment of ECC in diverse populations.

Early Childhood Caries and Public Health Initiatives

Public health initiatives play a crucial role in addressing ECC. These initiatives aim to improve oral health outcomes by promoting prevention, increasing access to care, and reducing disparities. Some key public health initiatives include:

  • School-Based Programs: Implementing school-based programs that offer dental screenings, sealants, and fluoride treatments.
  • Community Health Centers: Establishing community health centers that provide affordable dental care to low-income families.
  • Oral Health Education: Developing and distributing educational materials on oral health and prevention strategies.
  • Policy Advocacy: Advocating for policies that support oral health initiatives and reduce disparities.

πŸ“ Note: Public health initiatives are essential for addressing ECC at a population level and reducing disparities in oral health outcomes.

Early Childhood Caries and Future Research

Despite significant progress in understanding and managing ECC, there is still much to learn. Future research should focus on:

  • Risk Factors: Identifying additional risk factors for ECC and developing targeted prevention strategies.
  • Prevention Strategies: Evaluating the effectiveness of new prevention strategies, such as probiotics and antimicrobial agents.
  • Treatment Options: Exploring innovative treatment options, such as minimally invasive techniques and regenerative therapies.
  • Health Disparities: Investigating the underlying causes of health disparities in ECC and developing interventions to address them.

πŸ“ Note: Continued research is essential for advancing our understanding of ECC and improving oral health outcomes for children.

Early Childhood Caries and Global Perspectives

ECC is a global issue, affecting children in both developed and developing countries. The prevalence and severity of ECC vary widely across different regions, influenced by factors such as socioeconomic status, cultural practices, and access to dental care. Some global perspectives on ECC include:

  • Developed Countries: In developed countries, ECC is often associated with socioeconomic disparities and cultural practices, such as prolonged breastfeeding or the use of sugary liquids as comfort measures.
  • Developing Countries: In developing countries, ECC is often exacerbated by limited access to dental care, poor nutrition, and inadequate oral hygiene practices.
  • Cultural Practices: Cultural practices, such as the use of sugary liquids as comfort measures or prolonged breastfeeding, can influence the prevalence of ECC in different regions.
  • Public Health Initiatives: Public health initiatives, such as school-based programs and community health centers, play a crucial role in addressing ECC at a global level.

πŸ“ Note: Addressing ECC requires a global perspective that considers the unique challenges and opportunities in different regions.

Early Childhood Caries and the Role of Parents and Caregivers

Parents and caregivers play a critical role in preventing and managing ECC. Their involvement is essential for establishing good oral hygiene practices, monitoring dietary habits, and ensuring regular dental check-ups. Some key responsibilities of parents and caregivers include:

  • Oral Hygiene: Establishing a consistent oral hygiene routine from an early age, including brushing and flossing.
  • Dietary Habits: Monitoring and modifying dietary habits to minimize the risk of tooth decay.
  • Regular Check-ups: Scheduling and attending regular dental check-ups to monitor oral health and address any issues promptly.
  • Education: Seeking information and education on oral health and prevention strategies.

πŸ“ Note: The role of parents and caregivers is crucial in preventing and managing ECC, and their involvement should be encouraged and supported.

Early Childhood Caries and the Role of Dental Professionals

Dental professionals play a vital role in preventing and managing ECC. Their expertise and guidance are essential for early detection, effective treatment, and ongoing prevention. Some key responsibilities of dental professionals include:

  • Early Detection: Conducting regular dental check-ups to detect ECC in its early stages.
  • Effective Treatment: Providing appropriate treatment options, such as fluoride treatments, fillings, crowns, and pulp therapy.
  • Prevention Strategies: Educating parents and caregivers on prevention strategies, such as good oral hygiene practices and dietary modifications.
  • Community Involvement: Engaging in community-based programs and public health initiatives to promote oral health and reduce disparities.

πŸ“ Note: Dental professionals are essential for preventing and managing ECC, and their role should be supported and valued.

Early Childhood Caries and the Role of Public Health Policies

Public health policies play a crucial role in addressing ECC by promoting prevention, increasing access to care, and reducing disparities. Some key public health policies include:

  • Oral Health Education: Developing and distributing educational materials on oral health and prevention strategies.
  • Access to Care: Increasing access to affordable dental care for low-income families and vulnerable populations.
  • Community Programs: Implementing community-based programs that offer dental screenings, sealants, and fluoride treatments.
  • Policy Advocacy: Advocating for policies that support oral health initiatives and reduce disparities.

πŸ“ Note: Public health policies are essential for addressing ECC at a population level and reducing disparities in oral health outcomes.

Early Childhood Caries and the Role of Technology

Technology plays an increasingly important role in preventing and managing ECC. Innovations in dental technology, such as digital imaging and laser treatments, can enhance early detection and effective treatment. Some key technological advancements include:

  • Digital Imaging: Using digital imaging techniques, such as intraoral cameras and cone-beam computed tomography (CBCT), to detect ECC in its early stages.
  • Laser Treatments: Utilizing laser treatments for minimally invasive procedures, such as cavity preparation and pulp therapy.
  • Tele-dentistry: Implementing tele-dentistry programs to provide remote dental consultations and monitoring.
  • Mobile Apps: Developing mobile apps that offer oral health education, reminders for dental check-ups, and tracking of oral hygiene practices.

πŸ“ Note: Technology can enhance the prevention and management of ECC, and its integration into dental care should be encouraged.

Early Childhood Caries and the Role of Community Support

Community support is essential for addressing ECC, especially in vulnerable populations. Community-based programs and initiatives can provide the necessary resources and support to promote oral health and reduce disparities. Some key community support strategies include:

  • Community Health Centers: Establishing community health centers that provide affordable dental care to low-income families.
  • School-Based Programs: Implementing school-based programs that offer dental screenings, sealants, and fluoride treatments.
  • Community Education: Providing community education on oral health and prevention strategies through workshops, seminars, and outreach programs.
  • Collaboration: Fostering collaboration between dental professionals, parents, caregivers, and community leaders to promote oral health initiatives.

πŸ“ Note: Community support is crucial for addressing ECC, and efforts should be made to strengthen community-based programs and initiatives.

Early Childhood Caries and the Role of Research

Research plays a vital role in advancing our understanding of ECC and developing effective prevention and treatment strategies. Ongoing research is essential for identifying new risk factors, evaluating innovative prevention strategies, and exploring advanced treatment options. Some key areas of research include:

  • Risk Factors: Investigating additional risk factors for ECC and developing targeted prevention strategies.
  • Prevention Strategies: Evaluating the effectiveness of new prevention strategies, such as probiotics and antimicrobial agents.
  • Treatment Options: Exploring innovative treatment options, such as minimally invasive techniques and regenerative therapies.
  • Health Disparities: Investigating the underlying causes of health disparities in ECC and developing interventions to address them.

πŸ“ Note: Continued research is essential for advancing our understanding of ECC and improving oral health outcomes for children.

Early Childhood Caries and the Role of Education

Education is a cornerstone of preventing and managing ECC. Providing parents, caregivers, and dental professionals with the necessary knowledge and skills is crucial for promoting oral health and reducing the burden of ECC. Some key educational strategies include:

  • Parental Education: Offering educational programs and resources for parents and caregivers on oral health and prevention strategies.
  • Professional Training: Providing dental professionals with ongoing training and education on the latest prevention and treatment strategies for ECC.
  • Community Education: Developing community-based educational programs that promote oral health and prevention strategies.
  • School Education: Incorporating oral health education into school curricula to promote good oral hygiene practices from an early age.

πŸ“ Note:

Related Terms:

  • early childhood caries etiology triad
  • early childhood caries images
  • early childhood caries causes
  • early childhood caries etiology
  • early childhood caries types
  • early childhood caries ppt