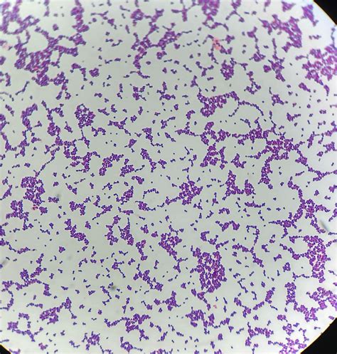
E Faecalis Gram Stain

E Faecalis Gram Stain

In the realm of microbiology and clinical diagnostics, the identification of bacterial species is crucial for accurate diagnosis and effective treatment of infections. One such bacterium that often requires precise identification is *Enterococcus faecalis*. This bacterium is a common cause of various infections, including urinary tract infections, endocarditis, and wound infections. One of the key techniques used in the identification process is the E Faecalis Gram Stain. This method provides valuable insights into the morphological characteristics of the bacterium, aiding in its differentiation from other species.

Understanding *Enterococcus faecalis*

*Enterococcus faecalis* is a Gram-positive bacterium that belongs to the genus *Enterococcus*. It is a facultative anaerobe, meaning it can grow with or without oxygen. *E. faecalis* is part of the normal flora of the human gastrointestinal tract but can become pathogenic under certain conditions. Its ability to form biofilms and its resistance to various antibiotics make it a significant clinical concern.

The Importance of Gram Staining

Gram staining is a fundamental technique in microbiology used to differentiate bacterial species based on their cell wall characteristics. The process involves staining bacterial cells with crystal violet, followed by treatment with iodine, alcohol, and a counterstain such as safranin. Bacteria that retain the crystal violet stain are classified as Gram-positive, while those that do not are classified as Gram-negative.

For *Enterococcus faecalis*, the E Faecalis Gram Stain is particularly important because it helps to confirm the Gram-positive nature of the bacterium. This information is crucial for further identification and treatment strategies. The Gram stain also provides insights into the morphology of the bacterium, which is typically seen as pairs or short chains of cocci.

Steps Involved in Performing an E Faecalis Gram Stain

Performing a Gram stain involves several steps, each of which is essential for accurate results. Here is a detailed guide to conducting an E Faecalis Gram Stain:

  • Preparation of the Smear: Begin by preparing a thin smear of the bacterial sample on a clean glass slide. Allow the smear to air dry completely.
  • Fixation: Pass the slide through a flame briefly to fix the bacteria to the slide. This step kills the bacteria and adheres them to the slide.
  • Primary Stain: Apply crystal violet stain to the smear and let it sit for about 1 minute. Rinse the slide with water to remove excess stain.
  • Mordant: Apply iodine solution to the smear and let it sit for 1 minute. Rinse with water to remove excess iodine.
  • Decolorization: Apply alcohol or acetone to the smear for a few seconds until the stain runs clear. Rinse with water.
  • Counterstain: Apply safranin stain to the smear for about 30 seconds. Rinse with water to remove excess stain.
  • Drying and Examination: Allow the slide to air dry and then examine it under a microscope. Gram-positive bacteria, including *E. faecalis*, will appear purple, while Gram-negative bacteria will appear pink or red.

πŸ” Note: Proper fixation and decolorization are critical steps in the Gram staining process. Inadequate fixation can result in poor adherence of bacteria to the slide, while over-decolorization can lead to false-negative results.

Interpreting the Results of an E Faecalis Gram Stain

Interpreting the results of an E Faecalis Gram Stain involves observing the stained bacteria under a microscope. Gram-positive bacteria, such as *E. faecalis*, will appear purple or blue due to the retention of the crystal violet stain. The morphology of *E. faecalis* is typically seen as pairs or short chains of cocci, which helps in differentiating it from other Gram-positive bacteria.

It is important to note that while the Gram stain provides valuable information, it is not sufficient for definitive identification of *E. faecalis*. Further biochemical tests and molecular techniques, such as polymerase chain reaction (PCR) and DNA sequencing, may be required for accurate identification.

Common Biochemical Tests for Identifying *Enterococcus faecalis*

In addition to the E Faecalis Gram Stain, several biochemical tests can aid in the identification of *E. faecalis*. These tests help to differentiate *E. faecalis* from other *Enterococcus* species and other Gram-positive bacteria. Some of the commonly used biochemical tests include:

Test Result for *E. faecalis*
Catalase Test Negative
Bile Esculin Test Positive
Pyrrolidonyl Arylamidase (PYR) Test Positive
Motility Test Non-motile
Growth in 6.5% NaCl Positive

These biochemical tests provide additional information that, when combined with the results of the E Faecalis Gram Stain, can lead to a more accurate identification of the bacterium.

Clinical Significance of *Enterococcus faecalis*

*Enterococcus faecalis* is a significant pathogen in clinical settings due to its ability to cause a wide range of infections. Some of the common infections caused by *E. faecalis* include:

  • Urinary Tract Infections (UTIs): *E. faecalis* is a common cause of UTIs, particularly in hospitalized patients.
  • Endocarditis: This bacterium can cause infective endocarditis, an infection of the inner lining of the heart.
  • Wound Infections: *E. faecalis* can contaminate wounds, leading to infections that can be difficult to treat.
  • Bacteremia: This is a bloodstream infection that can occur in immunocompromised individuals.

The clinical significance of *E. faecalis* is further compounded by its resistance to various antibiotics. This resistance can make treatment challenging, highlighting the importance of accurate identification and appropriate antimicrobial therapy.

Treatment and Management of *Enterococcus faecalis* Infections

The treatment of *E. faecalis* infections depends on the site and severity of the infection, as well as the antibiotic susceptibility of the bacterium. Commonly used antibiotics for treating *E. faecalis* infections include:

  • Ampicillin: Often used as a first-line treatment for susceptible strains.
  • Vancomycin: Used for infections caused by ampicillin-resistant strains.
  • Linezolid: An alternative for infections caused by vancomycin-resistant strains.
  • Daptomycin: Used for complicated skin and skin structure infections.

It is essential to perform antibiotic susceptibility testing to guide the choice of appropriate antimicrobial therapy. This testing helps to ensure that the selected antibiotic is effective against the specific strain of *E. faecalis* causing the infection.

πŸ’Š Note: The emergence of antibiotic-resistant strains of *E. faecalis* underscores the importance of judicious use of antibiotics and adherence to infection control practices.

Prevention and Control of *Enterococcus faecalis* Infections

Preventing *E. faecalis* infections involves a combination of infection control measures and appropriate antimicrobial stewardship. Some key strategies for prevention and control include:

  • Hand Hygiene: Proper hand hygiene is crucial for preventing the spread of *E. faecalis* in healthcare settings.
  • Environmental Cleaning: Regular cleaning and disinfection of surfaces and equipment can help to reduce the risk of transmission.
  • Antimicrobial Stewardship: Judicious use of antibiotics can help to prevent the emergence of resistant strains.
  • Screening and Surveillance: Regular screening and surveillance of high-risk patients can help to identify and control outbreaks.

By implementing these strategies, healthcare providers can reduce the incidence of *E. faecalis* infections and improve patient outcomes.

In conclusion, the E Faecalis Gram Stain is a valuable tool in the identification of Enterococcus faecalis, a bacterium with significant clinical implications. By understanding the morphological characteristics and biochemical properties of E. faecalis, healthcare providers can accurately diagnose and effectively treat infections caused by this bacterium. The combination of Gram staining, biochemical tests, and molecular techniques provides a comprehensive approach to the identification and management of E. faecalis infections. Proper infection control measures and antimicrobial stewardship are essential for preventing the spread of this pathogen and improving patient outcomes.

Related Terms:

  • e faecalis treatment
  • e faecalis characteristics
  • e faecalis morphology and arrangement
  • e faecalis hemolysis
  • enterococcus faecalis gram stain
  • is e faecalis a gpc