E Coli Morphology

E Coli Morphology

E. coli, or Escherichia coli, is a well-studied bacterium that plays a crucial role in both medical research and environmental studies. Understanding the E. coli morphology is essential for identifying and classifying different strains, which can have varying impacts on human health and the environment. This bacterium exhibits a distinctive shape and structure that are characteristic of its genus and species.

Understanding E. coli Morphology

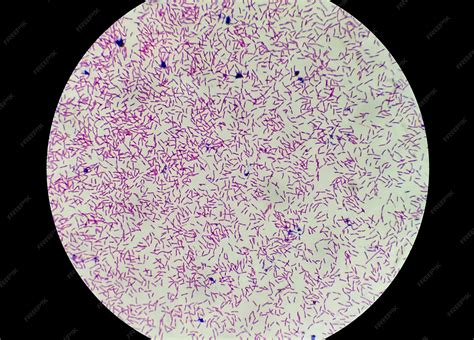
E. coli is a gram-negative, rod-shaped bacterium that belongs to the family Enterobacteriaceae. Its morphology is a key factor in its identification and classification. The term "morphology" refers to the physical form and structure of an organism. For E. coli, this includes its shape, size, and arrangement.

Shape and Size

E. coli is typically described as a bacillus, which means it is rod-shaped. The cells are usually straight or slightly curved, with a length ranging from 2 to 6 micrometers and a width of about 0.4 to 0.7 micrometers. This size and shape allow E. coli to move efficiently through its environment and interact with other microorganisms.

Cell Wall Structure

As a gram-negative bacterium, E. coli has a complex cell wall structure. The cell wall consists of a thin peptidoglycan layer surrounded by an outer membrane. This outer membrane contains lipopolysaccharides (LPS), which are important for the bacterium's virulence and immune response evasion. The cell wall structure also provides rigidity and protection against environmental stresses.

Flagella and Motility

Many strains of E. coli are motile, meaning they can move independently. This motility is facilitated by flagella, which are long, whip-like structures that extend from the cell surface. The flagella rotate like a propeller, allowing the bacterium to swim through liquid environments. The number and arrangement of flagella can vary among different strains, influencing their motility patterns.

Pili and Fimbriae

E. coli also possesses pili and fimbriae, which are hair-like appendages that extend from the cell surface. These structures play crucial roles in adhesion, conjugation, and biofilm formation. Pili are longer and fewer in number compared to fimbriae, and they are involved in genetic exchange between bacteria. Fimbriae, on the other hand, are shorter and more numerous, and they facilitate the attachment of E. coli to surfaces and host cells.

E. coli Morphology in Different Environments

The morphology of E. coli can vary depending on the environment in which it is found. In different conditions, the bacterium may exhibit slight differences in shape, size, and surface structures. Understanding these variations is important for studying the bacterium's adaptability and survival strategies.

Growth in Liquid Media

When grown in liquid media, E. coli typically forms individual, free-floating cells. The cells are rod-shaped and may exhibit slight curvature. In nutrient-rich media, E. coli can grow rapidly, doubling its population every 20 minutes under optimal conditions. This rapid growth is facilitated by the bacterium's efficient metabolism and ability to utilize a wide range of nutrients.

Growth on Solid Media

On solid media, such as agar plates, E. coli forms colonies that are typically circular, convex, and smooth. The colonies are usually white or cream-colored and may have a glossy appearance. The size and shape of the colonies can vary depending on the composition of the media and the specific strain of E. coli. Some strains may form colonies with irregular shapes or textures, indicating differences in their surface structures or metabolic activities.

Biofilm Formation

E. coli can also form biofilms, which are complex communities of bacteria embedded in a matrix of extracellular polymeric substances. Biofilms provide protection against environmental stresses and antimicrobial agents, allowing E. coli to survive in harsh conditions. The morphology of E. coli within biofilms can differ from that of free-floating cells, with cells often appearing more elongated or filamentous. This morphological change is thought to be an adaptation that enhances the bacterium's ability to form and maintain biofilms.

E. coli Morphology and Pathogenicity

The morphology of E. coli is closely linked to its pathogenicity, or ability to cause disease. Different strains of E. coli can exhibit varying levels of virulence, which is often reflected in their morphological characteristics. Understanding these characteristics is crucial for identifying and classifying pathogenic strains.

Pathogenic Strains

Pathogenic strains of E. coli are often characterized by the presence of specific virulence factors, such as toxins, adhesins, and invasins. These factors enable the bacterium to colonize host tissues, evade the immune system, and cause disease. The morphology of pathogenic strains may include features such as:

  • Flagella: Motile strains can move towards host tissues more efficiently.
  • Pili and Fimbriae: These structures facilitate adhesion to host cells and biofilm formation.
  • Lipopolysaccharides (LPS): The outer membrane LPS can trigger an immune response and contribute to the bacterium's virulence.

Non-Pathogenic Strains

Non-pathogenic strains of E. coli, often referred to as commensal strains, typically lack the virulence factors found in pathogenic strains. These strains are part of the normal microbiota in the human gut and play a role in maintaining gut health. The morphology of non-pathogenic strains is generally similar to that of pathogenic strains, but they may exhibit differences in surface structures and metabolic activities.

Identification and Classification of E. coli

Identifying and classifying E. coli strains based on their morphology is a fundamental aspect of microbiological research and clinical diagnostics. Various techniques and methods are used to study the E. coli morphology and determine the characteristics of different strains.

Microscopic Examination

Microscopic examination is a common method for studying the morphology of E. coli. This involves using a microscope to observe the shape, size, and arrangement of bacterial cells. Different staining techniques, such as Gram staining and acid-fast staining, can be used to highlight specific features of the bacterium's morphology. For example, Gram staining can differentiate between gram-positive and gram-negative bacteria, while acid-fast staining can identify bacteria that retain certain dyes even after treatment with acid.

Electron Microscopy

Electron microscopy provides a more detailed view of E. coli morphology. This technique uses a beam of electrons to produce high-resolution images of bacterial cells. Electron microscopy can reveal the fine structure of the cell wall, flagella, pili, and fimbriae, providing valuable insights into the bacterium's morphology and function. There are two main types of electron microscopy used in studying E. coli:

  • Scanning Electron Microscopy (SEM): This technique produces three-dimensional images of the bacterial surface, allowing for the visualization of surface structures such as flagella and pili.
  • Transmission Electron Microscopy (TEM): This technique produces high-resolution images of the internal structure of bacterial cells, revealing details such as the cell wall, cytoplasm, and membrane.

Molecular Techniques

Molecular techniques, such as polymerase chain reaction (PCR) and DNA sequencing, are used to identify and classify E. coli strains based on their genetic characteristics. These techniques can detect specific genes associated with virulence factors, allowing for the identification of pathogenic strains. Molecular techniques can also be used to study the genetic diversity of E. coli populations, providing insights into their evolution and adaptation.

E. coli Morphology and Environmental Adaptation

E. coli is a versatile bacterium that can adapt to a wide range of environments. Its morphology plays a crucial role in this adaptability, allowing it to survive and thrive in diverse conditions. Understanding how E. coli adapts to different environments is important for studying its ecology and potential impacts on human health.

Adaptation to Nutrient Availability

E. coli can adapt to varying levels of nutrient availability by altering its morphology and metabolic activities. In nutrient-rich environments, E. coli can grow rapidly and form large, robust cells. In nutrient-poor environments, the bacterium may exhibit a smaller, more elongated morphology, allowing it to conserve resources and survive under stressful conditions. This adaptability is facilitated by the bacterium's efficient metabolism and ability to utilize a wide range of nutrients.

Adaptation to Environmental Stress

E. coli can also adapt to environmental stresses, such as temperature changes, pH fluctuations, and the presence of antimicrobial agents. In response to these stresses, the bacterium may alter its morphology and surface structures, enhancing its ability to survive and thrive in harsh conditions. For example, E. coli may form biofilms in response to environmental stresses, providing protection against antimicrobial agents and other environmental challenges.

Adaptation to Host Environments

When E. coli colonizes host environments, such as the human gut, it must adapt to the unique conditions of the host. This adaptation involves changes in morphology and surface structures, allowing the bacterium to interact with host cells and evade the immune system. For example, pathogenic strains of E. coli may express specific adhesins and invasins that facilitate colonization and infection of host tissues.

E. coli Morphology and Biofilm Formation

Biofilm formation is a critical aspect of E. coli's ecology and pathogenicity. Biofilms are complex communities of bacteria embedded in a matrix of extracellular polymeric substances. The morphology of E. coli within biofilms can differ from that of free-floating cells, with cells often appearing more elongated or filamentous. This morphological change is thought to enhance the bacterium's ability to form and maintain biofilms, providing protection against environmental stresses and antimicrobial agents.

Biofilm Structure and Composition

Biofilms are composed of multiple layers of bacterial cells embedded in a matrix of extracellular polymeric substances. The structure and composition of biofilms can vary depending on the specific strain of E. coli and the environmental conditions. The matrix of extracellular polymeric substances provides protection against environmental stresses and antimicrobial agents, allowing E. coli to survive in harsh conditions. The morphology of E. coli within biofilms can include features such as:

  • Elongated Cells: Cells within biofilms may appear more elongated or filamentous, enhancing their ability to form and maintain biofilms.
  • Surface Structures: Biofilms may contain a variety of surface structures, such as pili and fimbriae, which facilitate adhesion and biofilm formation.
  • Extracellular Polymeric Substances: The matrix of extracellular polymeric substances provides protection against environmental stresses and antimicrobial agents.

Biofilm Formation and Pathogenicity

Biofilm formation is closely linked to the pathogenicity of E. coli. Pathogenic strains of E. coli can form biofilms on host tissues, providing protection against the immune system and antimicrobial agents. The morphology of E. coli within biofilms can include features that enhance its ability to colonize and infect host tissues. For example, pathogenic strains may express specific adhesins and invasins that facilitate biofilm formation and colonization of host tissues.

Biofilm Formation and Environmental Adaptation

Biofilm formation is also an important aspect of E. coli's environmental adaptation. Biofilms provide protection against environmental stresses and antimicrobial agents, allowing E. coli to survive in harsh conditions. The morphology of E. coli within biofilms can include features that enhance its ability to form and maintain biofilms, providing protection against environmental challenges. For example, E. coli may form biofilms in response to nutrient limitations or the presence of antimicrobial agents, enhancing its ability to survive and thrive in diverse environments.

📝 Note: Biofilm formation is a complex process that involves multiple stages, including initial attachment, microcolony formation, and maturation. Understanding the morphological changes that occur during biofilm formation is crucial for studying E. coli's ecology and pathogenicity.

E. coli Morphology and Antimicrobial Resistance

Antimicrobial resistance is a growing concern in the field of infectious diseases. E. coli is a common cause of infections, and the emergence of antimicrobial-resistant strains poses a significant threat to public health. Understanding the E. coli morphology and its role in antimicrobial resistance is crucial for developing effective strategies to combat these infections.

Mechanisms of Antimicrobial Resistance

E. coli can develop antimicrobial resistance through various mechanisms, including:

  • Enzymatic Degradation: Some strains of E. coli produce enzymes that can degrade antimicrobial agents, rendering them ineffective.
  • Efflux Pumps: E. coli can express efflux pumps that actively remove antimicrobial agents from the cell, reducing their intracellular concentration.
  • Altered Target Sites: Mutations in the target sites of antimicrobial agents can reduce their binding affinity, making the bacterium less susceptible to their effects.
  • Biofilm Formation: Biofilms provide protection against antimicrobial agents, allowing E. coli to survive in the presence of these compounds.

Morphological Changes and Antimicrobial Resistance

The morphology of E. coli can influence its susceptibility to antimicrobial agents. For example, the presence of pili and fimbriae can enhance the bacterium's ability to form biofilms, providing protection against antimicrobial agents. Additionally, the cell wall structure of E. coli can influence its susceptibility to antimicrobial agents, with gram-negative bacteria generally being more resistant to certain classes of antibiotics.

Studying Antimicrobial Resistance

Studying the morphology of E. coli and its role in antimicrobial resistance is crucial for developing effective strategies to combat these infections. Various techniques and methods can be used to study the morphology of E. coli and its susceptibility to antimicrobial agents. These include:

  • Microscopic Examination: Microscopic examination can reveal the morphological changes that occur in response to antimicrobial agents, providing insights into the bacterium's resistance mechanisms.
  • Electron Microscopy: Electron microscopy can provide a detailed view of the cell wall structure and surface features of E. coli, revealing how these structures contribute to antimicrobial resistance.
  • Molecular Techniques: Molecular techniques, such as PCR and DNA sequencing, can detect specific genes associated with antimicrobial resistance, allowing for the identification of resistant strains.

📝 Note: Understanding the mechanisms of antimicrobial resistance in E. coli is crucial for developing effective strategies to combat these infections. This includes studying the morphological changes that occur in response to antimicrobial agents and identifying the genes and proteins involved in resistance.

E. coli Morphology and Diagnostic Techniques

Diagnosing E. coli infections involves identifying the bacterium based on its morphological characteristics and other diagnostic markers. Various techniques and methods are used to study the E. coli morphology and determine the characteristics of different strains. These techniques are essential for accurate diagnosis and effective treatment of E. coli infections.

Microscopic Examination

Microscopic examination is a common method for studying the morphology of E. coli. This involves using a microscope to observe the shape, size, and arrangement of bacterial cells. Different staining techniques, such as Gram staining and acid-fast staining, can be used to highlight specific features of the bacterium's morphology. For example, Gram staining can differentiate between gram-positive and gram-negative bacteria, while acid-fast staining can identify bacteria that retain certain dyes even after treatment with acid.

Electron Microscopy

Electron microscopy provides a more detailed view of E. coli morphology. This technique uses a beam of electrons to produce high-resolution images of bacterial cells. Electron microscopy can reveal the fine structure of the cell wall, flagella, pili, and fimbriae, providing valuable insights into the bacterium's morphology and function. There are two main types of electron microscopy used in studying E. coli:

  • Scanning Electron Microscopy (SEM): This technique produces three-dimensional images of the bacterial surface, allowing for the visualization of surface structures such as flagella and pili.
  • Transmission Electron Microscopy (TEM): This technique produces high-resolution images of the internal structure of bacterial cells, revealing details such as the cell wall, cytoplasm, and membrane.

Molecular Techniques

Molecular techniques, such as polymerase chain reaction (PCR) and DNA sequencing, are used to identify and classify E. coli strains based on their genetic characteristics. These techniques can detect specific genes associated with virulence factors, allowing for the identification of pathogenic strains. Molecular techniques can also be used to study the genetic diversity of E. coli populations, providing insights into their evolution and adaptation.

Biochemical Tests

Biochemical tests are used to identify E. coli based on its metabolic activities. These tests involve growing the bacterium in specific media and observing its biochemical reactions. Common biochemical tests used to identify E. coli include:

  • Lactose Fermentation: E. coli can ferment lactose, producing acid and gas. This reaction can be observed in lactose-containing media, such as MacConkey agar.
  • Indole Production: E. coli can produce indole from the amino acid tryptophan. This reaction can be observed using the indole test, which involves adding Kovac's reagent to a culture of E. coli.
  • Methyl Red Test: E. coli can produce mixed acid fermentation products, which can be detected using the methyl red test. This test involves adding methyl red indicator to a culture of E. coli and observing the color change.

📝 Note: Accurate diagnosis of E. coli infections is crucial for effective treatment and management. This involves identifying the bacterium based on its morphological characteristics and other diagnostic markers, using a combination of microscopic examination, electron microscopy, molecular techniques, and biochemical tests.

E. coli Morphology and Evolution

The morphology of E. coli has evolved over time, reflecting the bacterium's adaptation to diverse environments and ecological niches. Understanding the evolutionary history of E. coli morphology is important for studying its ecology, pathogenicity, and potential impacts on human health.

Evolutionary History

E. coli is believed to have evolved from a common ancestor shared with other members of the Enterobacteriaceae family. Over time, E. coli has adapted to various environments, including the human gut, soil, and water. This adaptation has involved changes in morphology, surface structures, and metabolic activities, allowing the bacterium to survive and thrive in diverse conditions.

Genetic Diversity

E. coli exhibits a high degree of genetic diversity, reflecting its adaptation to diverse environments and ecological niches. This genetic diversity is evident in the bacterium's morphology, with different strains exhibiting variations in shape, size, and surface structures. The genetic diversity of E. coli is thought to be driven by factors such as:

  • Horizontal Gene Transfer: E. coli can acquire new genes from other bacteria through horizontal gene transfer, allowing it to adapt to new environments and ecological niches.
  • Mutations: Mutations in the bacterium's genome can lead to changes in morphology and surface structures, enhancing its ability to survive and thrive in diverse conditions.
  • Selection Pressures: Environmental and ecological factors can exert selection pressures on E. coli populations, favoring strains with specific morphological characteristics.

Evolutionary Adaptations

The morphology of E. coli has evolved to enhance its ability to survive and thrive in diverse environments. Some of the key evolutionary adaptations in E. coli morphology include:

  • Flagella and Motility: The evolution of flagella and motility has enabled E. coli to move efficiently through liquid environments and colonize new habitats.
  • **P

Related Terms:

  • e coli plate morphology
  • e coli morphology on tsa
  • e coli structure
  • e coli colony morphology
  • e coli wiki
  • e coli morphology under microscope