Duplex Collecting System Kidney

Duplex Collecting System Kidney

The Duplex Collecting System Kidney is a fascinating and complex structure within the human body, playing a crucial role in the urinary system. This system is responsible for the collection and drainage of urine from the kidneys to the bladder. Understanding the Duplex Collecting System Kidney involves delving into its anatomy, function, and the conditions that can affect it. This blog post aims to provide a comprehensive overview of the Duplex Collecting System Kidney, its significance, and the medical implications associated with it.

Anatomy of the Duplex Collecting System Kidney

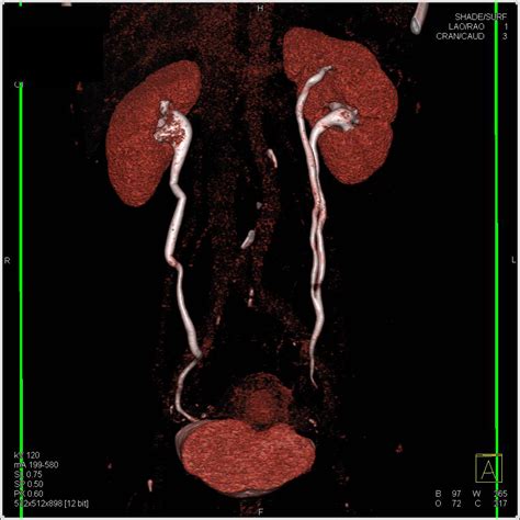
The Duplex Collecting System Kidney is characterized by the presence of two separate collecting systems within a single kidney. This anomaly occurs during fetal development when the ureteric bud, which normally forms a single ureter, splits into two separate buds. Each bud develops into a distinct ureter and renal pelvis, leading to two separate collecting systems within the kidney.

The anatomy of the Duplex Collecting System Kidney can be further understood by examining its key components:

  • Renal Pelvis: The renal pelvis is the funnel-shaped structure that collects urine from the kidney. In a Duplex Collecting System Kidney, there are two renal pelves, each draining a separate part of the kidney.
  • Ureters: The ureters are the tubes that carry urine from the kidneys to the bladder. In this system, there are two ureters, each originating from one of the renal pelves.
  • Calyces: The calyces are the cup-shaped structures that collect urine from the nephrons and funnel it into the renal pelvis. In a Duplex Collecting System Kidney, there are multiple calyces associated with each renal pelvis.

Function of the Duplex Collecting System Kidney

The primary function of the Duplex Collecting System Kidney is to collect and drain urine from the kidney to the bladder. Despite the presence of two separate collecting systems, the overall function of the kidney remains largely unchanged. The urine produced by the nephrons is collected by the calyces, funneled into the renal pelves, and then transported to the bladder via the ureters.

However, the Duplex Collecting System Kidney can sometimes lead to complications due to its unique anatomy. These complications can include:

  • Urinary Tract Infections (UTIs): The presence of two ureters can increase the risk of UTIs, as bacteria can more easily enter the urinary system.
  • Vesicoureteral Reflux (VUR): VUR is a condition where urine flows backward from the bladder into the ureters and kidneys. This can occur more frequently in individuals with a Duplex Collecting System Kidney.
  • Obstruction: The two ureters can sometimes become obstructed, leading to hydronephrosis, a condition where urine accumulates in the kidney, causing swelling and potential damage.

Diagnosis of the Duplex Collecting System Kidney

Diagnosing a Duplex Collecting System Kidney typically involves a combination of imaging studies and clinical evaluation. The most common diagnostic tools include:

  • Ultrasound: An ultrasound can provide a clear image of the kidneys and ureters, helping to identify the presence of two separate collecting systems.
  • CT Scan: A computed tomography (CT) scan can offer detailed images of the internal structures of the kidney, providing a more comprehensive view of the Duplex Collecting System.
  • MRI: Magnetic resonance imaging (MRI) can also be used to visualize the kidneys and ureters, offering high-resolution images that can help in diagnosing the condition.
  • Intravenous Pyelogram (IVP): An IVP involves injecting a contrast dye into the bloodstream and taking X-rays to visualize the urinary system. This can help identify the presence of two separate collecting systems.

In some cases, additional tests such as a voiding cystourethrogram (VCUG) may be performed to assess the function of the ureters and bladder, particularly if vesicoureteral reflux is suspected.

Treatment Options for the Duplex Collecting System Kidney

The treatment for a Duplex Collecting System Kidney depends on the specific complications and symptoms experienced by the individual. In many cases, no treatment is necessary, and the condition is managed through regular monitoring and follow-up. However, if complications arise, various treatment options may be considered:

  • Antibiotics: For individuals with recurrent urinary tract infections, antibiotics may be prescribed to prevent or treat infections.
  • Surgical Intervention: In cases of severe obstruction or vesicoureteral reflux, surgical procedures may be required. These can include ureteral reimplantation, where the ureter is reattached to the bladder in a way that prevents reflux, or ureteral reconstruction to correct any obstructions.
  • Endoscopic Procedures: Minimally invasive endoscopic procedures can be used to correct obstructions or other issues within the urinary system.

It is important to note that the choice of treatment will depend on the individual's specific condition, symptoms, and overall health. Regular follow-up with a healthcare provider is essential to monitor the condition and adjust treatment as needed.

📝 Note: Always consult with a healthcare provider for personalized medical advice and treatment options.

Medical Implications and Complications

The Duplex Collecting System Kidney can have several medical implications and complications. Understanding these potential issues is crucial for effective management and treatment. Some of the key complications include:

  • Hydronephrosis: This condition occurs when urine accumulates in the kidney due to an obstruction in the ureter. It can lead to swelling and potential damage to the kidney.
  • Urinary Tract Infections (UTIs): The presence of two ureters can increase the risk of UTIs, which can be recurrent and difficult to treat.
  • Vesicoureteral Reflux (VUR): VUR is a condition where urine flows backward from the bladder into the ureters and kidneys. This can lead to kidney damage and infections.
  • Renal Scarring: Chronic infections or obstructions can lead to scarring of the kidney tissue, which can affect kidney function over time.

Regular monitoring and follow-up with a healthcare provider are essential to manage these complications and prevent long-term damage to the kidneys.

Living with a Duplex Collecting System Kidney

Living with a Duplex Collecting System Kidney requires regular monitoring and management to prevent complications. Individuals with this condition should be aware of the potential symptoms and seek medical attention if they experience any issues. Some tips for managing a Duplex Collecting System Kidney include:

  • Regular Check-ups: Schedule regular check-ups with a healthcare provider to monitor kidney function and detect any potential complications early.
  • Hydration: Stay hydrated by drinking plenty of water to help flush out the urinary system and reduce the risk of infections.
  • Avoid Irritants: Avoid substances that can irritate the urinary system, such as caffeine, alcohol, and spicy foods.
  • Prompt Treatment: Seek prompt treatment for any symptoms of a urinary tract infection, such as pain, burning during urination, or cloudy urine.

By following these tips and maintaining regular communication with a healthcare provider, individuals with a Duplex Collecting System Kidney can effectively manage their condition and maintain good kidney health.

📝 Note: Always consult with a healthcare provider for personalized advice and treatment options.

Research and Future Directions

Research on the Duplex Collecting System Kidney is ongoing, with a focus on understanding the underlying causes, improving diagnostic techniques, and developing more effective treatment options. Some areas of current research include:

  • Genetic Factors: Investigating the genetic factors that contribute to the development of a Duplex Collecting System Kidney.
  • Imaging Techniques: Developing advanced imaging techniques to provide more detailed and accurate diagnoses.
  • Minimally Invasive Procedures: Exploring minimally invasive surgical and endoscopic procedures to treat complications associated with the condition.
  • Preventive Measures: Identifying preventive measures to reduce the risk of complications such as urinary tract infections and vesicoureteral reflux.

Future research aims to enhance our understanding of the Duplex Collecting System Kidney and improve the quality of life for individuals with this condition.

Table 1: Common Complications of the Duplex Collecting System Kidney

Complication Description Management
Hydronephrosis Accumulation of urine in the kidney due to obstruction Surgical intervention, endoscopic procedures
Urinary Tract Infections (UTIs) Recurrent infections in the urinary system Antibiotics, regular monitoring
Vesicoureteral Reflux (VUR) Backward flow of urine from the bladder into the ureters and kidneys Surgical intervention, antibiotics
Renal Scarring Scarring of kidney tissue due to chronic infections or obstructions Regular monitoring, prompt treatment of infections

Understanding the Duplex Collecting System Kidney and its associated complications is crucial for effective management and treatment. By staying informed and working closely with healthcare providers, individuals with this condition can maintain good kidney health and prevent long-term damage.

In conclusion, the Duplex Collecting System Kidney is a complex and fascinating structure within the human body. Its unique anatomy and potential complications require careful management and regular monitoring. By understanding the condition, its implications, and the available treatment options, individuals can effectively manage their health and maintain good kidney function. Regular communication with healthcare providers and adherence to recommended management strategies are essential for a positive outcome.

Related Terms:

  • duplex kidney nhs
  • duplex collecting system kidney ultrasound
  • what is a duplex kidney
  • duplex collecting system kidney radiology
  • duplex collecting system vs kidney
  • duplex right renal collecting system