Dobhoff Tube Placement

Dobhoff Tube Placement

Dobhoff tube placement is a critical procedure in medical settings, particularly in emergency and intensive care units. This technique involves the insertion of a Dobhoff tube, a type of nasoenteric feeding tube, into the small intestine to provide nutritional support to patients who are unable to eat orally. The procedure is essential for patients with gastrointestinal disorders, severe malnutrition, or those who require long-term nutritional support. This blog post will delve into the intricacies of Dobhoff tube placement, including the indications, preparation, procedure, and post-procedure care.

Indications for Dobhoff Tube Placement

Dobhoff tube placement is indicated for various medical conditions where enteral nutrition is necessary. Some of the common indications include:

  • Gastrointestinal disorders such as Crohn’s disease, ulcerative colitis, and short bowel syndrome.
  • Severe malnutrition or cachexia.
  • Patients undergoing prolonged mechanical ventilation.
  • Neurological conditions affecting swallowing, such as stroke or traumatic brain injury.
  • Post-surgical patients who require nutritional support.

Preparation for Dobhoff Tube Placement

Proper preparation is crucial for a successful Dobhoff tube placement. The following steps should be taken:

  • Patient Assessment: Evaluate the patient’s medical history, current medications, and any allergies. Ensure the patient is stable and can tolerate the procedure.
  • Informed Consent: Obtain informed consent from the patient or their legal guardian, explaining the procedure, its benefits, and potential risks.
  • Equipment Preparation: Gather the necessary equipment, including the Dobhoff tube, lubricant, syringe, stethoscope, and pH indicator strips.
  • Patient Positioning: Position the patient in a semi-recumbent or upright position to facilitate the passage of the tube.

Procedure for Dobhoff Tube Placement

The Dobhoff tube placement procedure involves several steps, each requiring careful attention to detail. Here is a step-by-step guide:

  • Nasal Insertion: Lubricate the tip of the Dobhoff tube and gently insert it into the patient’s nostril, directing it downward towards the back of the throat.
  • Oral Guidance: Ask the patient to swallow as the tube is advanced. If the patient is unconscious or unable to swallow, use a laryngoscope to visualize the vocal cords and guide the tube.
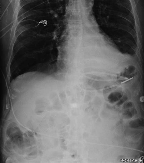
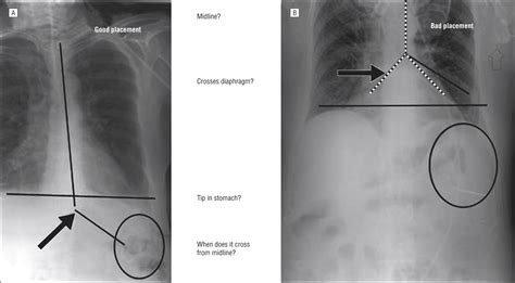
  • Tube Advancement: Continue to advance the tube until it reaches the desired location in the small intestine. This can be confirmed using various methods, such as auscultation, pH testing, or X-ray.
  • Confirmation of Placement: Use a stethoscope to listen for air insufflation as the tube is advanced. Alternatively, use pH indicator strips to check the pH of the aspirate, which should be alkaline (pH > 6) in the small intestine.

Post-Procedure Care

After the Dobhoff tube is successfully placed, post-procedure care is essential to ensure the patient’s comfort and the tube’s proper functioning. Key aspects of post-procedure care include:

  • Tube Securing: Secure the tube to the patient’s nose or cheek using tape or a tube holder to prevent dislodgement.
  • Monitoring: Regularly monitor the patient for signs of discomfort, tube dislodgement, or complications such as aspiration or tube occlusion.
  • Feeding Initiation: Begin enteral feeding as prescribed by the healthcare provider, ensuring the patient tolerates the feedings well.
  • Tube Maintenance: Regularly flush the tube with water to prevent occlusion and maintain patency. Change the tube every 4-6 weeks or as needed.

Complications of Dobhoff Tube Placement

While Dobhoff tube placement is generally safe, it is not without risks. Some potential complications include:

  • Aspiration: Inhalation of gastric contents into the lungs, which can lead to pneumonia.
  • Tube Dislodgement: The tube may become dislodged, requiring reinsertion.
  • Tube Occlusion: The tube may become blocked, preventing the delivery of nutrients.
  • Nasal or Esophageal Injury: Injury to the nasal passages or esophagus during tube insertion.
  • Gastrointestinal Perforation: Rare but serious complication where the tube perforates the gastrointestinal tract.

🔍 Note: Regular monitoring and prompt intervention can help minimize these complications. Always follow institutional protocols and guidelines for Dobhoff tube placement and management.

Alternative Methods for Enteral Nutrition

In some cases, Dobhoff tube placement may not be the most suitable option for enteral nutrition. Alternative methods include:

  • Nasogastric Tube (NG Tube): A tube inserted through the nose into the stomach, suitable for short-term nutritional support.
  • Percutaneous Endoscopic Gastrostomy (PEG) Tube: A tube inserted directly into the stomach through the abdominal wall, suitable for long-term nutritional support.
  • Jejunostomy Tube: A tube inserted directly into the jejunum, suitable for patients with gastric motility issues or those at high risk of aspiration.

Training and Competency in Dobhoff Tube Placement

Proper training and competency are essential for healthcare providers performing Dobhoff tube placement. Key aspects of training include:

  • Theoretical Knowledge: Understanding the anatomy, physiology, and indications for Dobhoff tube placement.
  • Practical Skills: Hands-on training in tube insertion, confirmation of placement, and post-procedure care.
  • Simulation Training: Use of simulation models to practice the procedure in a controlled environment.
  • Continuous Education: Regular updates on best practices, new techniques, and complications management.

Training programs should be comprehensive and include both theoretical and practical components. Healthcare providers should also undergo regular competency assessments to ensure they maintain the necessary skills and knowledge.

Conclusion

Dobhoff tube placement is a vital procedure for providing enteral nutrition to patients who are unable to eat orally. Proper preparation, careful execution, and diligent post-procedure care are essential for a successful outcome. Understanding the indications, potential complications, and alternative methods for enteral nutrition can help healthcare providers make informed decisions and provide optimal care to their patients. Regular training and competency assessments ensure that healthcare providers are well-equipped to perform this procedure safely and effectively.

Related Terms:

  • what is dobhoff tube
  • dobhoff tube placement procedure
  • dobhoff tube placement instructions
  • dobhoff tube vs ng tube
  • dobhoff tube placement x ray
  • dobhoff tube placement cpt code