Dichorionic Diamniotic Twins

Dichorionic Diamniotic Twins

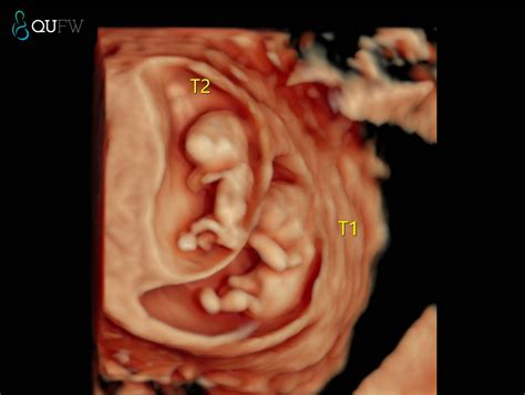
Understanding the complexities of twin pregnancies can be both exciting and daunting for expectant parents. One of the most intriguing and unique types of twin pregnancies is that of Dichorionic Diamniotic Twins. This term refers to twins who develop in separate amniotic sacs and have separate placentas. This type of twin pregnancy is relatively common and has its own set of characteristics and considerations.

What Are Dichorionic Diamniotic Twins?

Dichorionic Diamniotic Twins occur when two separate eggs are fertilized by two separate sperm, resulting in fraternal twins. Each twin has its own amniotic sac and placenta, which provides a distinct environment for each fetus. This separation is crucial as it reduces the risk of complications that can arise in other types of twin pregnancies, such as monochorionic twins, where the twins share a placenta.

Characteristics of Dichorionic Diamniotic Twins

Dichorionic Diamniotic Twins have several key characteristics that set them apart from other types of twin pregnancies:

  • Separate Placentas: Each twin has its own placenta, which means they receive nutrients independently.
  • Separate Amniotic Sacs: Each twin is enclosed in its own amniotic sac, providing a separate environment for growth and development.
  • Genetic Differences: Since they develop from two separate eggs, Dichorionic Diamniotic Twins are typically fraternal and can be of different genders.
  • Reduced Risk of Complications: The separate placentas and amniotic sacs reduce the risk of complications such as Twin-to-Twin Transfusion Syndrome (TTTS), which is more common in monochorionic twins.

Prenatal Care for Dichorionic Diamniotic Twins

Prenatal care for Dichorionic Diamniotic Twins is similar to that of singleton pregnancies but with additional monitoring to ensure the health of both babies. Regular check-ups, ultrasounds, and other diagnostic tests are essential to track the development of each twin.

Key aspects of prenatal care include:

  • Regular Ultrasounds: To monitor the growth and development of each twin.
  • Fetal Doppler: To check the heartbeats of both twins.
  • Blood Tests: To screen for genetic abnormalities and other potential issues.
  • Diet and Nutrition: A balanced diet rich in folic acid, iron, and other essential nutrients is crucial.
  • Prenatal Vitamins: To support the health of both mother and babies.

Expectant mothers carrying Dichorionic Diamniotic Twins should also be aware of the increased risk of preterm labor and other complications. Regular prenatal visits can help manage these risks and ensure a healthy pregnancy.

Potential Complications

While Dichorionic Diamniotic Twins generally have a lower risk of complications compared to monochorionic twins, there are still potential issues to be aware of:

  • Preterm Labor: Twin pregnancies are more likely to result in preterm labor, which can lead to premature birth.
  • Gestational Diabetes: The risk of developing gestational diabetes is higher in twin pregnancies.
  • Preeclampsia: This condition, characterized by high blood pressure and organ damage, is more common in twin pregnancies.
  • Intrauterine Growth Restriction (IUGR): One or both twins may not grow at a normal rate, which requires close monitoring.

Regular prenatal check-ups and close monitoring can help manage these risks and ensure the best possible outcomes for both mother and babies.

Delivery Options for Dichorionic Diamniotic Twins

The delivery of Dichorionic Diamniotic Twins can be planned based on various factors, including the health of the mother and babies, the position of the twins, and any potential complications. Delivery options include:

  • Vaginal Delivery: Often preferred if both twins are in a head-down position and there are no complications.
  • Cesarean Section: May be recommended if there are complications, if one or both twins are in a breech position, or if the mother has a history of cesarean deliveries.

The decision on the mode of delivery is typically made in consultation with the healthcare provider, taking into account the specific circumstances of the pregnancy.

Postnatal Care for Dichorionic Diamniotic Twins

Postnatal care for Dichorionic Diamniotic Twins involves ensuring the health and well-being of both babies and the mother. Key aspects of postnatal care include:

  • Regular Check-ups: For both babies to monitor their growth and development.
  • Breastfeeding Support: To ensure both babies receive adequate nutrition.
  • Parental Support: To help new parents manage the challenges of caring for twins.
  • Monitoring for Complications: To address any potential issues that may arise post-delivery.

Parents of Dichorionic Diamniotic Twins should also be prepared for the unique challenges of caring for two infants simultaneously. Seeking support from family, friends, and healthcare providers can be invaluable during this time.

📝 Note: Postnatal care is crucial for the health and development of both twins. Regular check-ups and support can help ensure a smooth transition into parenthood.

Emotional and Psychological Support

Caring for Dichorionic Diamniotic Twins can be both rewarding and challenging. The emotional and psychological support for parents is essential. Here are some tips to help manage the journey:

  • Seek Support: Join support groups for parents of twins to share experiences and gain advice.
  • Self-Care: Ensure that both parents take care of their own physical and mental health.
  • Time Management: Develop a routine and schedule to manage the demands of caring for two infants.
  • Communication: Maintain open communication with your partner and healthcare providers.

Emotional and psychological support can make a significant difference in the well-being of both parents and twins.

Conclusion

Dichorionic Diamniotic Twins represent a unique and fascinating aspect of twin pregnancies. With separate placentas and amniotic sacs, these twins have a lower risk of complications compared to other types of twin pregnancies. Regular prenatal care, close monitoring, and a supportive postnatal environment are crucial for ensuring the health and well-being of both mother and babies. Understanding the characteristics and considerations of Dichorionic Diamniotic Twins can help expectant parents navigate this journey with confidence and preparedness.

Related Terms:

  • dichorionic diamniotic twin gestation
  • monochorionic diamniotic twins
  • monochorionic
  • dichorionic diamniotic twins icd 10
  • dichorionic diamniotic twin placenta
  • monochorionic monoamniotic twins