Developmental Venous Anomaly

Developmental Venous Anomaly

Developmental Venous Anomaly (DVA) is a rare, benign vascular malformation that often goes undetected due to its asymptomatic nature. This condition involves the abnormal development of venous channels in the brain or spinal cord, leading to unique challenges in diagnosis and management. Understanding DVAs is crucial for healthcare professionals and patients alike, as it can significantly impact treatment decisions and patient outcomes.

Understanding Developmental Venous Anomaly

Developmental Venous Anomaly (DVA) is characterized by the presence of abnormal venous drainage pathways in the brain or spinal cord. These anomalies are typically congenital, meaning they are present at birth, and are often discovered incidentally during imaging studies performed for other reasons. DVAs are generally considered benign, but their presence can sometimes be associated with other vascular malformations or neurological conditions.

Causes and Risk Factors

The exact cause of DVAs is not fully understood, but they are believed to result from abnormal development of the venous system during fetal growth. Several factors may contribute to the formation of DVAs:

  • Genetic predisposition: There may be a genetic component, although specific genes have not been identified.
  • Environmental factors: Exposure to certain environmental toxins or infections during pregnancy could potentially play a role.
  • Developmental abnormalities: Issues during the early stages of fetal development can lead to malformations in the venous system.

While DVAs are generally considered benign, they can sometimes be associated with other vascular malformations, such as cavernous malformations or arteriovenous malformations (AVMs). These associations can complicate the clinical picture and may require more aggressive management strategies.

Symptoms and Diagnosis

Most individuals with DVAs are asymptomatic, meaning they do not experience any symptoms. However, in some cases, DVAs can be associated with neurological symptoms, particularly if they are located in critical areas of the brain or spinal cord. Symptoms may include:

  • Headaches
  • Seizures
  • Neurological deficits, such as weakness or numbness
  • Intracranial hemorrhage

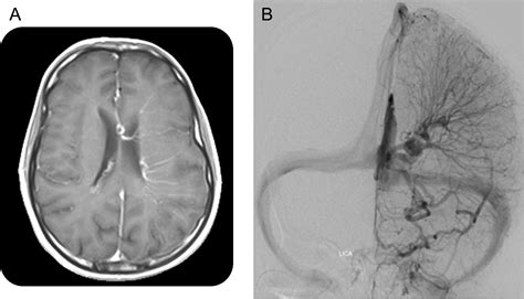
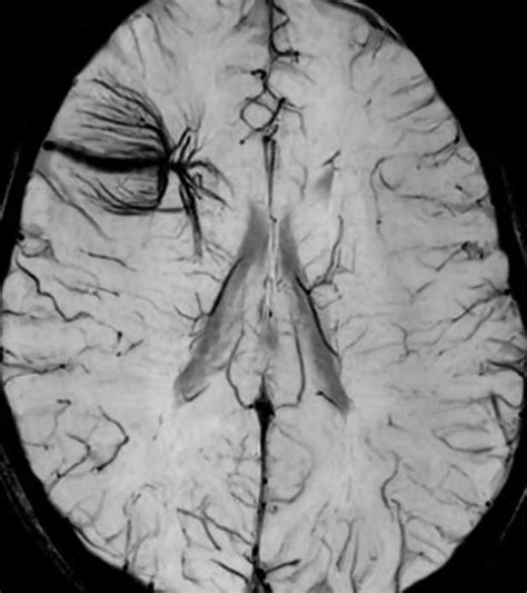
Diagnosing a DVA typically involves imaging studies, such as magnetic resonance imaging (MRI) or computed tomography (CT) scans. These imaging techniques can reveal the characteristic appearance of DVAs, which include:

  • Abnormal venous channels
  • Dilated venous structures
  • Caput medusae appearance, where the venous channels radiate outward like the head of Medusa

In some cases, additional imaging studies, such as angiography, may be performed to better visualize the venous drainage patterns and rule out other vascular malformations.

Treatment Options

The management of DVAs depends on several factors, including the location of the anomaly, the presence of symptoms, and the association with other vascular malformations. In many cases, no treatment is necessary, as DVAs are generally benign and do not cause symptoms. However, in symptomatic cases or when associated with other vascular malformations, treatment options may include:

  • Observation: Regular monitoring with imaging studies to ensure the DVA remains stable and does not cause symptoms.
  • Medications: Antiepileptic drugs may be prescribed to manage seizures if they occur.
  • Surgical intervention: In rare cases, surgical resection may be considered, particularly if the DVA is associated with other vascular malformations or if it is causing significant symptoms.
  • Endovascular treatment: Minimally invasive procedures, such as embolization, may be used to occlude the abnormal venous channels and reduce the risk of complications.

It is important to note that the treatment of DVAs should be individualized based on the specific characteristics of the anomaly and the patient's clinical presentation. A multidisciplinary approach involving neurologists, neurosurgeons, and interventional radiologists is often necessary to ensure the best possible outcomes.

📌 Note: Treatment decisions should be made in consultation with healthcare professionals experienced in managing vascular malformations.

Complications and Prognosis

While DVAs are generally considered benign, they can be associated with several complications, particularly if they are located in critical areas of the brain or spinal cord. Potential complications include:

  • Intracranial hemorrhage
  • Seizures
  • Neurological deficits
  • Association with other vascular malformations

The prognosis for individuals with DVAs is generally favorable, especially if the anomaly is asymptomatic and does not require treatment. However, the presence of symptoms or association with other vascular malformations can complicate the clinical picture and may require more aggressive management strategies.

Living with a Developmental Venous Anomaly

For individuals diagnosed with a DVA, it is important to maintain regular follow-up with healthcare professionals to monitor the anomaly and ensure that it remains stable. Lifestyle modifications, such as avoiding activities that increase the risk of head trauma, may also be recommended to minimize the risk of complications. Additionally, individuals with DVAs should be aware of the potential symptoms and seek medical attention if they experience any changes in their neurological status.

Support from family and friends can also play a crucial role in managing the emotional and psychological aspects of living with a DVA. Joining support groups or seeking counseling may be beneficial for individuals and their families as they navigate the challenges associated with this condition.

In some cases, individuals with DVAs may be eligible for clinical trials or research studies aimed at improving our understanding of these anomalies and developing new treatment strategies. Participation in such studies can provide access to cutting-edge therapies and contribute to the advancement of medical knowledge.

📌 Note: Always consult with healthcare professionals before making any significant changes to your lifestyle or treatment plan.

Research and Future Directions

Ongoing research is essential for advancing our understanding of DVAs and developing more effective treatment strategies. Current areas of focus include:

  • Genetic studies: Investigating the genetic basis of DVAs to identify potential targets for therapeutic intervention.
  • Imaging techniques: Developing advanced imaging modalities to improve the detection and characterization of DVAs.
  • Treatment modalities: Exploring new treatment options, such as minimally invasive procedures and targeted therapies, to manage DVAs more effectively.

Collaboration between researchers, clinicians, and patients is crucial for driving progress in this field. By sharing knowledge and resources, we can work towards improving the lives of individuals affected by DVAs and other vascular malformations.

Future research should also focus on understanding the long-term outcomes of individuals with DVAs and identifying factors that may influence their prognosis. This information can help guide treatment decisions and improve patient care.

In addition, efforts should be made to raise awareness about DVAs among healthcare professionals and the general public. Increased awareness can lead to earlier diagnosis, better management, and improved outcomes for individuals with this condition.

Finally, it is important to recognize the unique challenges faced by individuals with DVAs and their families. Providing support and resources to help them cope with the emotional and psychological aspects of living with a DVA can significantly enhance their quality of life.

In conclusion, Developmental Venous Anomaly (DVA) is a rare but important condition that requires careful management and ongoing research. By understanding the causes, symptoms, and treatment options for DVAs, healthcare professionals and patients can work together to improve outcomes and enhance the quality of life for those affected by this condition. Continued efforts in research and awareness can pave the way for better diagnosis, management, and ultimately, a brighter future for individuals with DVAs.

Related Terms:

  • small developmental venous anomaly brain
  • developmental venous anomaly brain symptoms
  • right frontal developmental venous anomaly
  • developmental venous anomaly symptoms
  • right parietal developmental venous anomaly
  • incidental small developmental venous anomaly