Desmoplastic Small Round

Desmoplastic Small Round

Desmoplastic small round cell tumor (DSRCT) is a rare and aggressive form of cancer that primarily affects young adults and adolescents. This tumor is characterized by its unique histological features and its tendency to metastasize rapidly. Understanding the intricacies of DSRCT is crucial for healthcare professionals and researchers alike, as it presents significant challenges in diagnosis and treatment.

Understanding Desmoplastic Small Round Cell Tumor

Desmoplastic small round cell tumor is a type of sarcoma that originates from mesenchymal cells. It is often found in the abdomen, particularly in the peritoneum, but can also occur in other parts of the body such as the pleura, brain, and soft tissues. The tumor is composed of small, round cells embedded in a desmoplastic stroma, which gives it its distinctive name.

DSRCT is often diagnosed in young adults, typically between the ages of 15 and 35, with a slight male predominance. The exact cause of DSRCT is not well understood, but genetic mutations, particularly in the EWSR1-WT1 gene fusion, are believed to play a significant role in its development.

Diagnosis of Desmoplastic Small Round Cell Tumor

Diagnosing DSRCT can be challenging due to its rarity and the similarity of its symptoms to other more common conditions. The diagnostic process typically involves a combination of imaging studies, biopsy, and molecular testing.

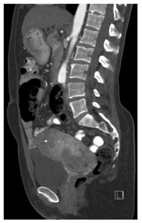
Imaging studies such as computed tomography (CT) scans, magnetic resonance imaging (MRI), and positron emission tomography (PET) scans are often used to visualize the tumor and assess its extent. These imaging techniques can help identify the location and size of the tumor, as well as any metastases.

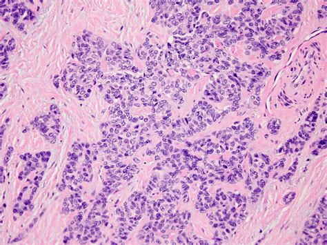
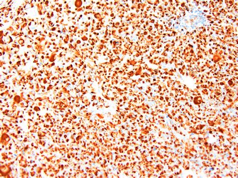
Biopsy is a crucial step in the diagnostic process. A tissue sample is obtained from the tumor and examined under a microscope. The presence of small, round cells and a desmoplastic stroma is indicative of DSRCT. Immunohistochemical staining can also be used to identify specific markers, such as desmin, vimentin, and WT1, which are often expressed in DSRCT.

Molecular testing is another important tool in the diagnosis of DSRCT. The EWSR1-WT1 gene fusion, which is characteristic of DSRCT, can be detected through fluorescence in situ hybridization (FISH) or polymerase chain reaction (PCR) techniques. This genetic marker is highly specific for DSRCT and can help confirm the diagnosis.

Treatment Options for Desmoplastic Small Round Cell Tumor

Treatment of DSRCT is complex and often involves a multidisciplinary approach. The primary goals of treatment are to achieve local control of the tumor, prevent metastasis, and improve the patient's quality of life.

Surgery is often the first line of treatment for DSRCT. The goal of surgery is to completely remove the tumor, if possible. However, due to the aggressive nature of DSRCT and its tendency to metastasize, complete resection is not always achievable. In such cases, debulking surgery may be performed to remove as much of the tumor as possible.

Chemotherapy is another important component of DSRCT treatment. Chemotherapy drugs such as doxorubicin, ifosfamide, and etoposide are commonly used to shrink the tumor and prevent metastasis. Chemotherapy may be administered before surgery to shrink the tumor (neoadjuvant chemotherapy) or after surgery to eliminate any remaining cancer cells (adjuvant chemotherapy).

Radiation therapy may also be used in the treatment of DSRCT, particularly in cases where surgery is not an option or where the tumor has metastasized to other parts of the body. Radiation therapy can help shrink the tumor and alleviate symptoms, but it is not typically used as a primary treatment due to the risk of side effects.

Targeted therapies and immunotherapy are emerging as potential treatment options for DSRCT. These therapies aim to target specific molecular pathways involved in the growth and spread of the tumor. While still in the early stages of development, these treatments hold promise for improving outcomes in patients with DSRCT.

Prognosis and Follow-Up Care

The prognosis for patients with DSRCT is generally poor due to the aggressive nature of the tumor and its tendency to metastasize rapidly. The five-year survival rate for patients with DSRCT is typically less than 15%. However, early diagnosis and aggressive treatment can improve outcomes.

Follow-up care is essential for patients with DSRCT. Regular monitoring through imaging studies and clinical examinations can help detect recurrence or metastasis early, allowing for prompt intervention. Patients should also be monitored for long-term side effects of treatment, such as organ damage or secondary cancers.

Supportive care is an important aspect of follow-up care for patients with DSRCT. This may include pain management, psychological support, and nutritional counseling to help patients cope with the physical and emotional challenges of the disease.

Research and Clinical Trials

Research into DSRCT is ongoing, with a focus on understanding the molecular mechanisms underlying the tumor's development and progression. Clinical trials are being conducted to evaluate new treatment options, including targeted therapies and immunotherapy.

Participation in clinical trials can provide patients with access to cutting-edge treatments that may not be available through standard care. It is important for patients to discuss the potential benefits and risks of clinical trial participation with their healthcare team.

Some of the key areas of research in DSRCT include:

  • Identifying new molecular targets for therapy
  • Developing more effective chemotherapy regimens
  • Evaluating the role of immunotherapy in DSRCT treatment
  • Improving diagnostic techniques for early detection

Clinical trials are essential for advancing our understanding of DSRCT and developing more effective treatments. Patients and healthcare providers should stay informed about ongoing trials and consider participation when appropriate.

Support and Resources for Patients and Families

Receiving a diagnosis of DSRCT can be overwhelming for patients and their families. Access to support and resources can help navigate the challenges of the disease and improve quality of life.

Support groups and online communities provide a platform for patients and families to connect with others who are going through similar experiences. These groups offer emotional support, practical advice, and a sense of community.

Educational resources, such as books, articles, and websites, can provide valuable information about DSRCT, its treatment, and management. Healthcare providers can also offer guidance and support throughout the treatment journey.

Financial assistance programs may be available to help cover the costs of treatment and related expenses. Patients and families should explore these options and seek assistance when needed.

Counseling and psychological support services can help patients and families cope with the emotional impact of DSRCT. These services can provide strategies for managing stress, anxiety, and depression, as well as support for family members.

Some of the key resources for patients and families include:

  • Support groups and online communities
  • Educational materials and websites
  • Financial assistance programs
  • Counseling and psychological support services
  • Accessing these resources can make a significant difference in the lives of patients and families affected by DSRCT. It is important to seek out support and utilize available resources to enhance well-being and quality of life.

    📝 Note: The information provided in this blog post is for educational purposes only and should not be used as a substitute for professional medical advice. Always consult with a healthcare provider for personalized medical guidance.

    Desmoplastic small round cell tumor is a complex and challenging condition that requires a multidisciplinary approach to diagnosis and treatment. Early detection, aggressive treatment, and ongoing research are crucial for improving outcomes in patients with DSRCT. By staying informed and accessing available resources, patients and families can better navigate the challenges of this rare and aggressive cancer.