Cyst On Tailbone

Cyst On Tailbone

Dealing with a cyst on the tailbone can be a challenging and often painful experience. This type of cyst, known as a pilonidal cyst, typically occurs in the cleft of the buttocks, just above the tailbone. Understanding the causes, symptoms, and treatment options for a cyst on the tailbone is crucial for effective management and relief. This comprehensive guide will provide you with the information you need to navigate this condition.

Understanding the Cyst on Tailbone

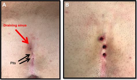
A cyst on the tailbone, or pilonidal cyst, is a small pocket of skin that contains hair and skin debris. These cysts are usually found in the crease of the buttocks, near the tailbone. They can become infected, leading to pain, swelling, and the formation of an abscess. Understanding the anatomy and common causes of a cyst on the tailbone is the first step in managing this condition.

Causes of a Cyst on Tailbone

The exact cause of a cyst on the tailbone is not fully understood, but several factors are believed to contribute to its development. These include:

  • Hair follicles: Ingrown hairs can penetrate the skin and cause a cyst to form.
  • Friction and pressure: Prolonged sitting, tight clothing, and excessive sweating can increase the risk of developing a cyst on the tailbone.
  • Hormonal changes: Hormonal fluctuations, particularly during puberty, can lead to the development of pilonidal cysts.
  • Genetic predisposition: Some individuals may be more genetically predisposed to developing pilonidal cysts.

Symptoms of a Cyst on Tailbone

The symptoms of a cyst on the tailbone can vary depending on whether the cyst is infected or not. Common symptoms include:

  • Pain and tenderness: The area around the cyst may be painful and tender to the touch.
  • Swelling and redness: The skin around the cyst may become swollen and red.
  • Drainage: The cyst may drain pus or blood, often with a foul odor.
  • Fever: In some cases, an infected cyst can cause a fever.

๐Ÿ“ Note: If you experience severe pain, high fever, or significant swelling, seek medical attention immediately.

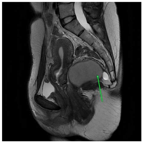
Diagnosing a Cyst on Tailbone

Diagnosing a cyst on the tailbone typically involves a physical examination by a healthcare professional. The doctor will examine the affected area and may order imaging tests, such as an X-ray or MRI, to rule out other conditions. In some cases, a sample of the cyst's contents may be taken for laboratory analysis to determine the presence of infection.

Treatment Options for a Cyst on Tailbone

Treatment for a cyst on the tailbone depends on the severity of the condition and whether it is infected. Common treatment options include:

Non-Surgical Treatments

For mild cases, non-surgical treatments may be sufficient. These include:

  • Antibiotics: If the cyst is infected, antibiotics may be prescribed to clear the infection.
  • Warm compresses: Applying warm compresses to the affected area can help reduce pain and swelling.
  • Pain relievers: Over-the-counter pain relievers, such as ibuprofen or acetaminophen, can help manage pain.
  • Hair removal: Regular hair removal in the affected area can help prevent the recurrence of cysts.

Surgical Treatments

For more severe cases, surgical intervention may be necessary. Surgical options include:

  • Incision and drainage: The cyst is surgically opened and drained to remove the infected material.
  • Excision: The entire cyst and surrounding tissue are surgically removed. This procedure may be followed by stitches or the use of packing material to promote healing.
  • Laser hair removal: In some cases, laser hair removal may be recommended to prevent the recurrence of cysts.

๐Ÿ“ Note: Surgical treatments are typically reserved for severe or recurrent cases of pilonidal cysts.

Preventing a Cyst on Tailbone

While there is no guaranteed way to prevent a cyst on the tailbone, certain measures can help reduce the risk of developing this condition. These include:

  • Maintain good hygiene: Keep the area clean and dry to prevent the buildup of bacteria and debris.
  • Avoid prolonged sitting: Take frequent breaks to stand and move around if you have a sedentary job.
  • Wear loose-fitting clothing: Avoid tight clothing that can cause friction and irritation in the affected area.
  • Regular hair removal: Regularly remove hair in the affected area to prevent ingrown hairs.

Living with a Cyst on Tailbone

Living with a cyst on the tailbone can be challenging, but with proper management and treatment, it is possible to lead a normal life. Here are some tips for managing the condition:

  • Follow your treatment plan: Adhere to the treatment plan prescribed by your healthcare provider to ensure effective management of the cyst.
  • Maintain a healthy lifestyle: Eat a balanced diet, exercise regularly, and maintain a healthy weight to support overall health and healing.
  • Seek support: Join support groups or seek counseling if the condition is causing significant stress or emotional distress.

When to Seek Medical Attention

It is important to seek medical attention if you experience any of the following symptoms:

  • Severe pain: If the pain is unbearable or worsening.
  • High fever: If you develop a high fever, which may indicate a severe infection.
  • Significant swelling: If the swelling is severe or spreading.
  • Drainage: If the cyst is draining pus or blood with a foul odor.

๐Ÿ“ Note: Early intervention can prevent complications and improve outcomes.

Comparing Treatment Options

Choosing the right treatment option for a cyst on the tailbone depends on various factors, including the severity of the condition, the presence of infection, and individual preferences. The following table compares the different treatment options:

Treatment Option Description Pros Cons
Antibiotics Prescribed to clear infection Non-invasive, effective for mild infections May not be effective for severe infections
Warm Compresses Applied to reduce pain and swelling Non-invasive, easy to use May not be effective for severe cases
Pain Relievers Over-the-counter pain relievers Easy to obtain, effective for mild pain May not be effective for severe pain
Hair Removal Regular hair removal in the affected area Prevents recurrence, non-invasive May require frequent maintenance
Incision and Drainage Surgical opening and draining of the cyst Effective for severe infections, quick relief May require multiple procedures, risk of recurrence
Excision Surgical removal of the cyst and surrounding tissue Effective for severe cases, reduces recurrence Invasive, longer recovery time
Laser Hair Removal Prevents recurrence by removing hair Effective for preventing recurrence, long-lasting Expensive, may require multiple sessions

Final Thoughts

Dealing with a cyst on the tailbone can be a challenging experience, but with the right information and treatment, it is possible to manage the condition effectively. Understanding the causes, symptoms, and treatment options for a cyst on the tailbone is crucial for effective management and relief. By following the tips and guidelines outlined in this guide, you can take control of your health and improve your quality of life.

Related Terms:

  • pilonidal cyst removal surgery
  • pilonidal cyst causes
  • cyst on tailbone pictures
  • cyst on tailbone male
  • abscess on tailbone
  • cyst on tailbone treatment