Cut On Gums

Cut On Gums

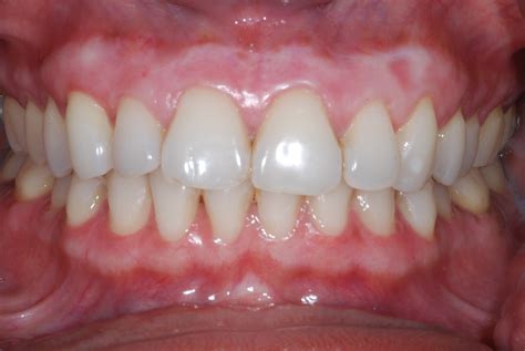
Oral health is a critical aspect of overall well-being, and one of the most common issues people face is a cut on gums. Whether it's from brushing too hard, eating sharp foods, or other causes, a cut on gums can be painful and concerning. Understanding the causes, symptoms, and treatments for gum cuts can help you manage this issue effectively and maintain good oral hygiene.

Understanding Gum Cuts

A cut on gums, also known as a gum laceration or gum injury, can occur for various reasons. It is essential to identify the cause to prevent future occurrences and treat the injury properly. Common causes of gum cuts include:

  • Brushing Too Hard: Using excessive force while brushing can damage the delicate gum tissue.
  • Eating Sharp Foods: Foods with sharp edges, such as chips or hard candies, can cut the gums.
  • Dental Procedures: Sometimes, dental procedures like tooth extractions or orthodontic treatments can result in gum cuts.
  • Accidents: Trauma to the mouth, such as falls or sports injuries, can cause gum cuts.
  • Oral Piercings: Tongue or lip piercings can sometimes cause cuts on the gums.

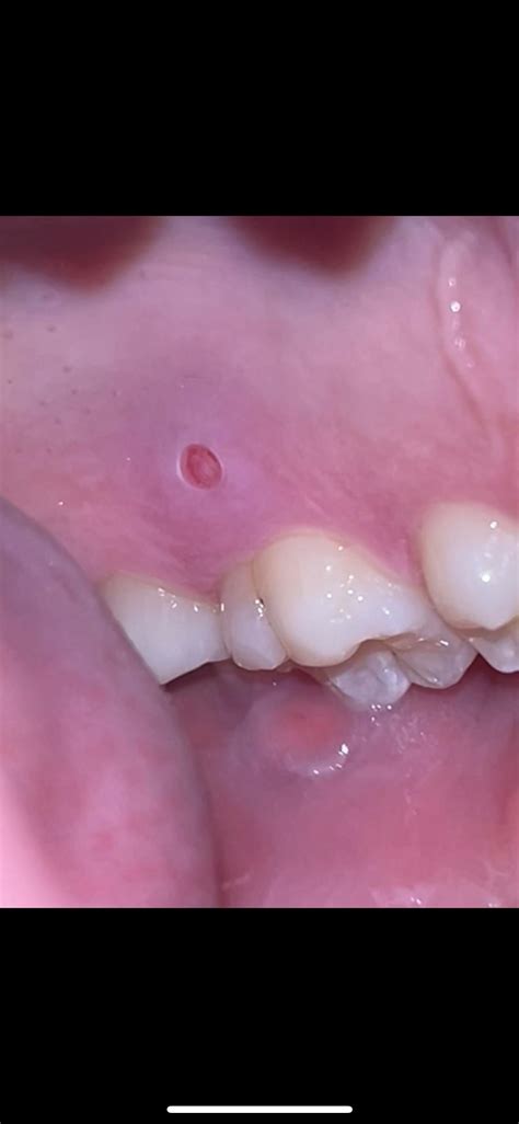
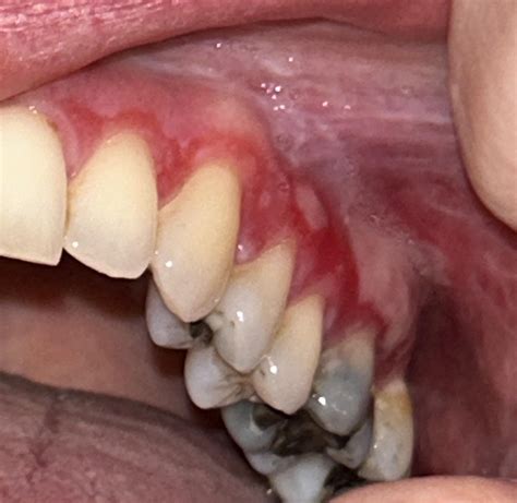
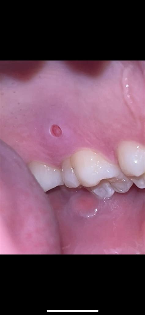
Symptoms of a Cut on Gums

Recognizing the symptoms of a cut on gums is the first step in addressing the issue. Common symptoms include:

  • Pain: The area around the cut may be tender and painful.
  • Bleeding: There may be bleeding from the cut, which can be mild to severe.
  • Swelling: The gums around the cut may swell.
  • Redness: The affected area may appear red and inflamed.
  • Bad Taste: Sometimes, a cut on gums can cause a bad taste in the mouth due to blood or infection.

Immediate Treatment for a Cut on Gums

If you experience a cut on gums, it is essential to take immediate action to stop the bleeding and prevent infection. Here are some steps you can follow:

  • Rinse with Warm Water: Gently rinse your mouth with warm water to clean the area and remove any debris.
  • Apply Pressure: Use a clean gauze or cotton swab to apply gentle pressure to the cut to stop the bleeding.
  • Use a Cold Compress: Apply a cold compress to the outside of your mouth to reduce swelling.
  • Avoid Hard Foods: Stick to soft foods and avoid anything that could irritate the cut.
  • Pain Relief: Over-the-counter pain relievers like ibuprofen or acetaminophen can help manage pain.

📝 Note: If the bleeding does not stop after 15-20 minutes or if the cut is deep, seek immediate medical attention.

Long-Term Care for Gum Cuts

After the initial treatment, it is crucial to take steps to promote healing and prevent future cuts. Here are some long-term care tips:

  • Maintain Good Oral Hygiene: Brush and floss gently to keep the area clean without causing further irritation.
  • Use a Soft-Bristled Toothbrush: Switch to a soft-bristled toothbrush to avoid damaging the gums.
  • Avoid Irritants: Stay away from spicy or acidic foods that can irritate the cut.
  • Salt Water Rinse: Rinse your mouth with warm salt water to help reduce inflammation and promote healing.
  • Regular Dental Check-ups: Visit your dentist regularly to monitor the healing process and address any underlying issues.

Preventing Future Gum Cuts

Prevention is always better than cure. Here are some strategies to prevent future cuts on gums:

  • Gentle Brushing: Brush your teeth gently using a soft-bristled toothbrush.
  • Avoid Hard Foods: Be cautious with hard or sharp foods that can cut the gums.
  • Protective Gear: Wear a mouthguard during sports or other activities that could result in mouth injuries.
  • Regular Dental Visits: Regular check-ups can help identify and address potential issues before they cause cuts.
  • Oral Piercings: Consider the risks associated with oral piercings and consult with a dentist before getting one.

When to Seek Professional Help

While minor cuts on gums can often be managed at home, there are situations where professional help is necessary. Seek immediate medical attention if you experience any of the following:

  • Severe Bleeding: If the bleeding does not stop after 15-20 minutes of applying pressure.
  • Deep Cut: If the cut is deep and you can see the underlying tissue or bone.
  • Signs of Infection: If the area becomes increasingly swollen, red, or painful, or if you develop a fever.
  • Difficulty Eating or Drinking: If the cut makes it difficult to eat or drink.
  • Persistent Pain: If the pain does not subside with over-the-counter pain relievers.

Common Causes of Recurring Gum Cuts

If you find yourself experiencing recurring cuts on gums, it may be due to underlying issues that need to be addressed. Some common causes include:

  • Poor Oral Hygiene: Inadequate brushing and flossing can lead to gum disease, making the gums more susceptible to cuts.
  • Gum Disease: Conditions like gingivitis or periodontitis can weaken the gum tissue.
  • Vitamin Deficiencies: Deficiencies in vitamins like C and K can affect gum health.
  • Hormonal Changes: Hormonal fluctuations, such as those during pregnancy or menopause, can make gums more sensitive.
  • Medications: Certain medications can cause dry mouth or gum sensitivity.

If you suspect an underlying issue, consult your dentist for a thorough evaluation and appropriate treatment.

Home Remedies for Gum Cuts

In addition to the immediate and long-term care steps mentioned earlier, there are several home remedies that can help soothe a cut on gums and promote healing:

  • Turmeric Paste: Mix turmeric with a little water to form a paste and apply it to the cut. Turmeric has anti-inflammatory and antimicrobial properties.
  • Honey: Apply a small amount of honey to the cut. Honey has natural antibacterial properties and can help reduce pain and inflammation.
  • Aloe Vera: Apply aloe vera gel to the cut. Aloe vera has soothing and healing properties.
  • Tea Bags: Apply a wet tea bag to the cut. The tannins in tea can help reduce bleeding and promote healing.
  • Coconut Oil: Rinse your mouth with coconut oil. Coconut oil has antimicrobial properties and can help reduce inflammation.

Dietary Considerations for Gum Health

Your diet plays a crucial role in maintaining gum health. Here are some dietary considerations to keep your gums healthy and reduce the risk of cuts:

  • Vitamin C: Foods rich in vitamin C, such as citrus fruits, strawberries, and bell peppers, can help strengthen gum tissue.
  • Vitamin K: Foods like leafy greens, broccoli, and Brussels sprouts are high in vitamin K, which is essential for blood clotting and gum health.
  • Calcium: Dairy products, leafy greens, and fortified plant-based milks are good sources of calcium, which helps maintain strong teeth and gums.
  • Omega-3 Fatty Acids: Foods rich in omega-3 fatty acids, such as fatty fish, walnuts, and flaxseeds, can help reduce inflammation in the gums.
  • Avoid Sugary Foods: Limit your intake of sugary foods and beverages, as they can contribute to gum disease and increase the risk of cuts.

Oral Hygiene Tips for Preventing Gum Cuts

Maintaining good oral hygiene is essential for preventing gum cuts. Here are some tips to keep your gums healthy:

  • Brush Twice a Day: Brush your teeth at least twice a day using a soft-bristled toothbrush and fluoride toothpaste.
  • Floss Daily: Flossing helps remove plaque and food particles from between your teeth and under the gumline.
  • Use Mouthwash: Rinse with an antiseptic mouthwash to kill bacteria and reduce the risk of gum disease.
  • Regular Dental Cleanings: Schedule regular dental cleanings to remove tartar and plaque buildup.
  • Avoid Smoking: Smoking can weaken gum tissue and increase the risk of cuts and gum disease.

Understanding the Healing Process

The healing process for a cut on gums can vary depending on the severity of the cut. Here is a general timeline of the healing process:

Stage Duration Description
Initial Healing 1-3 days The bleeding stops, and the cut begins to close. The area may still be tender and swollen.
Tissue Repair 3-7 days New tissue forms to replace the damaged tissue. The cut may still be visible but will be less tender.
Complete Healing 1-2 weeks The cut is fully healed, and the gum tissue has returned to its normal appearance and function.

If the cut is deep or infected, the healing process may take longer. It is essential to follow your dentist's advice and maintain good oral hygiene during this time.

📝 Note: If you notice any signs of infection, such as increased swelling, redness, or pain, contact your dentist immediately.

Gum cuts can be a common but manageable issue with the right knowledge and care. By understanding the causes, symptoms, and treatments for cuts on gums, you can take proactive steps to prevent future occurrences and maintain good oral health. Regular dental check-ups, good oral hygiene, and a balanced diet are key to keeping your gums healthy and strong.

Related Terms:

  • cut on gums turned white
  • cut on gums between teeth
  • accidentally cut my gum
  • cut on gums above tooth
  • how to stop cutting gums
  • cuts on the gums pictures