Covid Placenta Vs Normal

Covid Placenta Vs Normal

The placenta is a vital organ that plays a crucial role in supporting the growth and development of a fetus during pregnancy. It facilitates the exchange of nutrients, gases, and waste products between the mother and the fetus. However, the impact of COVID-19 on placental health has been a subject of intense scrutiny. Understanding the differences between a Covid Placenta vs Normal placenta can provide valuable insights into the potential effects of the virus on pregnancy outcomes.

Understanding the Normal Placenta

The placenta is a temporary organ that develops in the uterus during pregnancy. It is responsible for several critical functions, including:

  • Providing oxygen and nutrients to the fetus.
  • Removing waste products, such as carbon dioxide, from the fetus.
  • Producing hormones that support the pregnancy.
  • Acting as a barrier to protect the fetus from harmful substances and infections.

The placenta is composed of both maternal and fetal tissues, making it a unique interface between the mother and the developing baby. It is typically disc-shaped and attached to the uterine wall. The normal placenta undergoes various structural and functional changes throughout pregnancy to meet the growing needs of the fetus.

The Impact of COVID-19 on the Placenta

COVID-19, caused by the SARS-CoV-2 virus, has been shown to affect various organs and systems in the body, including the placenta. Studies have revealed that the virus can cross the placental barrier, potentially impacting fetal health. The Covid Placenta vs Normal comparison highlights several key differences:

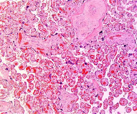
Structural Changes

Research has shown that the placenta in COVID-19-positive mothers may exhibit structural abnormalities. These changes can include:

  • Increased inflammation and immune cell infiltration.
  • Thrombosis (blood clots) in the placental vessels.
  • Intervillous thrombosis, which can impair blood flow to the fetus.
  • Fetal vascular malperfusion, leading to reduced nutrient and oxygen supply.

These structural changes can compromise the placenta's ability to support fetal growth and development, potentially leading to adverse pregnancy outcomes.

Functional Impairments

The functional impairments in a Covid Placenta vs Normal placenta can be significant. The virus can disrupt the normal functioning of the placenta, leading to:

  • Reduced nutrient and oxygen transport to the fetus.
  • Impaired hormone production, which can affect pregnancy maintenance.
  • Increased risk of preterm birth and low birth weight.
  • Potential transmission of the virus to the fetus, although this is relatively rare.

These functional impairments can have serious consequences for both maternal and fetal health.

Clinical Implications

The differences between a Covid Placenta vs Normal placenta have important clinical implications. Healthcare providers need to be aware of the potential risks and complications associated with COVID-19 during pregnancy. Key considerations include:

Prenatal Care

Prenatal care for COVID-19-positive mothers should be enhanced to monitor both maternal and fetal health closely. This may include:

  • Frequent ultrasound examinations to assess fetal growth and development.
  • Regular monitoring of maternal vital signs and symptoms.
  • Close collaboration with a multidisciplinary team, including obstetricians, neonatologists, and infectious disease specialists.

Delivery Management

Delivery management for COVID-19-positive mothers may require special considerations to minimize the risk of vertical transmission and ensure the safety of both the mother and the baby. This may include:

  • Planning for delivery in a designated COVID-19 unit or isolation room.
  • Using appropriate personal protective equipment (PPE) for healthcare providers.
  • Considering the mode of delivery based on maternal and fetal conditions.

Postnatal Care

Postnatal care for COVID-19-positive mothers and their newborns should focus on monitoring for any signs of infection or complications. This may include:

  • Regular follow-up visits to assess maternal and neonatal health.
  • Testing the newborn for COVID-19 if there is a suspicion of vertical transmission.
  • Providing support and education to the mother on breastfeeding and infection prevention.

Research Findings

Several studies have been conducted to understand the impact of COVID-19 on the placenta. Some key findings include:

A study published in the American Journal of Obstetrics and Gynecology found that COVID-19-positive mothers had a higher incidence of placental abnormalities, including increased inflammation and thrombosis. The study also noted that these abnormalities were associated with adverse pregnancy outcomes, such as preterm birth and low birth weight.

Another study in the Journal of Perinatology reported that the SARS-CoV-2 virus can be detected in the placental tissue of COVID-19-positive mothers. The study suggested that the virus may cross the placental barrier and potentially infect the fetus, although the risk of vertical transmission is relatively low.

Researchers have also found that the severity of COVID-19 in mothers can influence the extent of placental damage. Mothers with severe COVID-19 symptoms are more likely to have significant placental abnormalities compared to those with mild or asymptomatic infections.

These findings underscore the importance of monitoring and managing COVID-19 in pregnant women to minimize the risk of adverse pregnancy outcomes.

Future Directions

As the understanding of COVID-19 and its impact on the placenta continues to evolve, several areas warrant further investigation. Future research should focus on:

  • Long-term effects of COVID-19 on placental function and fetal development.
  • The role of maternal immune response in protecting the fetus from COVID-19.
  • Developing targeted interventions to mitigate the impact of COVID-19 on the placenta.
  • Understanding the potential long-term health implications for children born to COVID-19-positive mothers.

By addressing these research gaps, healthcare providers can better manage COVID-19 during pregnancy and improve outcomes for both mothers and their babies.

📝 Note: The information provided in this blog post is based on current research and may evolve as new studies emerge. Always consult with a healthcare provider for personalized medical advice.

In summary, the comparison between a Covid Placenta vs Normal placenta reveals significant structural and functional differences that can impact pregnancy outcomes. Understanding these differences is crucial for healthcare providers to offer appropriate care and support to COVID-19-positive mothers and their babies. Ongoing research will continue to shed light on the long-term effects of COVID-19 on placental health and fetal development, guiding future clinical practices and interventions.