Congo Red Stain

Congo Red Stain

The Congo Red Stain is a vital tool in the field of histopathology, particularly in the diagnosis of amyloid deposits. This staining technique has been instrumental in identifying and characterizing amyloid proteins, which are associated with various diseases, including Alzheimer's disease, type 2 diabetes, and certain forms of cancer. The Congo Red Stain's ability to bind to amyloid fibrils and produce a characteristic apple-green birefringence under polarized light makes it an indispensable diagnostic method.

Understanding Amyloid Proteins

Amyloid proteins are misfolded proteins that aggregate to form insoluble fibrils. These fibrils can accumulate in various tissues and organs, leading to tissue damage and dysfunction. The Congo Red Stain is specifically designed to detect these amyloid deposits, providing valuable insights into the underlying pathology of diseases.

The Mechanism of Congo Red Stain

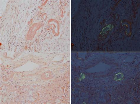
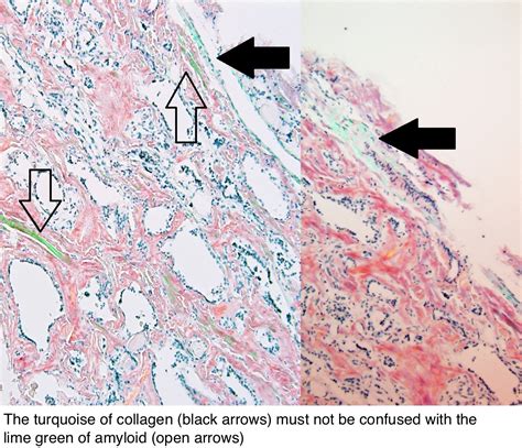
The Congo Red Stain works by binding to the beta-pleated sheet structure of amyloid fibrils. When Congo Red dye is applied to a tissue section, it interacts with the amyloid deposits, resulting in a red color under normal light. However, when viewed under polarized light, the stained amyloid deposits exhibit a distinctive apple-green birefringence. This unique optical property is crucial for the accurate identification of amyloid proteins.

Preparation of Tissue Sections

Before applying the Congo Red Stain, tissue sections must be properly prepared. This involves several steps, including fixation, embedding, and sectioning. The most common fixative used is formalin, which preserves the tissue structure and prevents degradation. The fixed tissue is then embedded in paraffin wax, which provides support during sectioning. Thin sections, typically 4-5 microns thick, are cut using a microtome and mounted on glass slides.

Staining Procedure

The staining procedure for the Congo Red Stain involves several steps, each of which is crucial for achieving accurate results. Here is a detailed step-by-step guide:

  • Deparaffinization and Rehydration: The paraffin-embedded tissue sections are deparaffinized by immersing the slides in xylene and then rehydrated through a series of graded alcohols (100%, 95%, 80%, and 70%) to distilled water.
  • Staining with Congo Red: The slides are stained with a 0.2% solution of Congo Red in 80% ethanol for 20-30 minutes. This step allows the dye to bind to the amyloid deposits.
  • Differentiation: The slides are briefly differentiated in a solution of 0.2% potassium hydroxide in 80% ethanol to remove excess dye and enhance the specificity of the stain.
  • Counterstaining: The slides are counterstained with hematoxylin for 1-2 minutes to provide contrast and highlight the tissue architecture.
  • Dehydration and Mounting: The slides are dehydrated through a series of graded alcohols (70%, 80%, 95%, and 100%) and then cleared in xylene. A coverslip is applied using a mounting medium.

📝 Note: It is essential to follow the staining procedure carefully to ensure accurate results. Variations in the staining time or concentration of the dye can affect the sensitivity and specificity of the stain.

Interpreting the Results

Interpreting the results of the Congo Red Stain involves examining the tissue sections under both normal and polarized light. Under normal light, amyloid deposits appear red. However, the true diagnostic value of the stain is revealed under polarized light, where the amyloid deposits exhibit a characteristic apple-green birefringence. This birefringence is a result of the interaction between the Congo Red dye and the beta-pleated sheet structure of the amyloid fibrils.

Applications of Congo Red Stain

The Congo Red Stain has a wide range of applications in histopathology and research. Some of the key applications include:

  • Diagnosis of Amyloid Diseases: The stain is used to diagnose various amyloid diseases, including Alzheimer’s disease, type 2 diabetes, and certain forms of cancer. By identifying amyloid deposits, the stain helps in the accurate diagnosis and classification of these diseases.
  • Research on Amyloid Proteins: The Congo Red Stain is a valuable tool in research studies aimed at understanding the structure and function of amyloid proteins. It helps in identifying and characterizing amyloid deposits in experimental models and human tissues.
  • Monitoring Disease Progression: The stain can be used to monitor the progression of amyloid diseases by quantifying the amount of amyloid deposits in tissue sections over time. This information is crucial for evaluating the efficacy of therapeutic interventions.

Limitations of Congo Red Stain

While the Congo Red Stain is a powerful diagnostic tool, it has certain limitations. Some of the key limitations include:

  • Non-Specific Binding: The stain can bind to other tissue components, leading to false-positive results. This non-specific binding can be minimized by optimizing the staining procedure and using appropriate controls.
  • Interpretation Challenges: The interpretation of the stain requires expertise and experience. The characteristic apple-green birefringence can be subtle and may be difficult to detect in some cases.
  • Sensitivity and Specificity: The sensitivity and specificity of the stain can vary depending on the type of amyloid protein and the tissue being examined. Some amyloid proteins may not bind to Congo Red as strongly, leading to false-negative results.

📝 Note: To overcome these limitations, it is important to use the Congo Red Stain in conjunction with other diagnostic methods, such as immunohistochemistry and electron microscopy. This multi-modal approach can provide a more comprehensive assessment of amyloid deposits and improve diagnostic accuracy.

Alternative Staining Methods

In addition to the Congo Red Stain, there are several alternative staining methods for detecting amyloid deposits. Some of the commonly used alternatives include:

  • Thioflavin T Stain: This stain binds to amyloid fibrils and produces a bright yellow-green fluorescence under UV light. It is particularly useful for detecting amyloid deposits in brain tissue.
  • Congo Red Fluorescence: A modification of the Congo Red Stain that involves the use of fluorescent Congo Red dye. This method allows for the detection of amyloid deposits using fluorescence microscopy.
  • Immunohistochemistry: This technique uses antibodies specific to amyloid proteins to detect and visualize amyloid deposits. It is highly specific and can provide detailed information about the type of amyloid protein present.

Future Directions

The field of amyloid research is rapidly evolving, and new techniques and technologies are continually being developed to improve the detection and characterization of amyloid deposits. Some of the future directions in this area include:

  • Development of New Stains: Researchers are exploring new stains and dyes that can bind to amyloid proteins with higher specificity and sensitivity. These new stains may provide more accurate and reliable detection of amyloid deposits.
  • Advanced Imaging Techniques: The use of advanced imaging techniques, such as confocal microscopy and super-resolution microscopy, can provide detailed information about the structure and distribution of amyloid deposits. These techniques can complement the Congo Red Stain and enhance diagnostic accuracy.
  • Biomarkers for Amyloid Diseases: The identification of biomarkers for amyloid diseases can facilitate early diagnosis and monitoring of disease progression. These biomarkers can be used in conjunction with the Congo Red Stain to provide a more comprehensive assessment of amyloid deposits.

📝 Note: The Congo Red Stain remains a cornerstone of amyloid research and diagnosis. However, ongoing advancements in staining techniques, imaging technologies, and biomarker discovery will continue to enhance our understanding of amyloid diseases and improve patient outcomes.

Case Studies

To illustrate the practical applications of the Congo Red Stain, let’s examine a few case studies:

Case Study 1: Diagnosis of Alzheimer’s Disease

In a patient presenting with cognitive decline and memory loss, a brain biopsy was performed to confirm the diagnosis of Alzheimer’s disease. The tissue sections were stained with Congo Red, and under polarized light, characteristic apple-green birefringence was observed in the amyloid plaques. This finding confirmed the presence of amyloid deposits and supported the diagnosis of Alzheimer’s disease.

Case Study 2: Monitoring Disease Progression in Type 2 Diabetes

A patient with type 2 diabetes underwent a series of biopsies to monitor the progression of amyloid deposits in the pancreas. The tissue sections were stained with Congo Red, and the amount of amyloid deposits was quantified over time. This information was used to evaluate the efficacy of therapeutic interventions and adjust the treatment plan accordingly.

Case Study 3: Research on Amyloid Proteins in Cancer

In a research study aimed at understanding the role of amyloid proteins in cancer, tissue sections from various cancer types were stained with Congo Red. The stain helped in identifying and characterizing amyloid deposits in different cancer tissues, providing valuable insights into the underlying mechanisms of cancer progression.

Conclusion

The Congo Red Stain is an essential tool in the diagnosis and research of amyloid diseases. Its ability to bind to amyloid fibrils and produce a characteristic apple-green birefringence under polarized light makes it a valuable diagnostic method. By understanding the mechanism of the Congo Red Stain, optimizing the staining procedure, and interpreting the results accurately, healthcare professionals can improve the diagnosis and management of amyloid diseases. The Congo Red Stain, along with other diagnostic methods, continues to play a crucial role in advancing our knowledge of amyloid proteins and their associated diseases.

Related Terms:

  • congo red stain negative
  • congo red staining procedure
  • congo red stain cpt code
  • congo red stain test
  • congo red stain histology
  • congo red stain for amyloidosis