Colovesical Fistula Icd 10

Colovesical Fistula Icd 10

Colovesical fistula is a rare but serious medical condition that occurs when an abnormal connection forms between the colon and the bladder. This condition can lead to significant health complications, including recurrent urinary tract infections, fecaluria (feces in the urine), and pneumaturia (gas in the urine). Understanding the diagnosis, treatment, and management of colovesical fistula is crucial for healthcare providers and patients alike. One of the key aspects of managing this condition is the accurate coding and documentation using the International Classification of Diseases, 10th Revision (ICD-10).

Understanding Colovesical Fistula

A colovesical fistula is an abnormal passage that connects the colon to the bladder. This condition can arise from various underlying causes, including:

  • Diverticulitis: Inflammation or infection of small pouches (diverticula) that can form in the colon wall.
  • Colon cancer: Malignant tumors in the colon can erode into the bladder.
  • Inflammatory bowel disease (IBD): Conditions like Crohn's disease and ulcerative colitis can cause fistulas.
  • Radiation therapy: Previous radiation treatment for pelvic cancers can lead to tissue damage and fistula formation.
  • Trauma or surgery: Injury or surgical complications can result in fistulas.

Symptoms of a colovesical fistula can vary but often include:

  • Recurrent urinary tract infections.
  • Pneumaturia (passing gas through the urethra).
  • Fecaluria (passing stool through the urethra).
  • Abdominal pain.
  • Fever and chills.

Diagnosing Colovesical Fistula

Diagnosing a colovesical fistula involves a combination of clinical evaluation, imaging studies, and sometimes endoscopic procedures. The diagnostic process typically includes:

  • Medical history and physical examination: The healthcare provider will review the patient's symptoms and medical history.
  • Urinalysis and urine culture: To check for infection and the presence of fecal material in the urine.
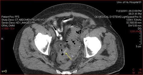
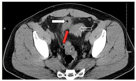
  • Imaging studies: CT scans, MRI, or barium enema can help visualize the fistula.
  • Cystoscopy: A procedure to examine the bladder using a scope.
  • Colonoscopy: A procedure to examine the colon using a scope.

Colovesical Fistula ICD-10 Coding

Accurate coding is essential for proper documentation, billing, and treatment planning. The ICD-10 code for colovesical fistula is K63.2. This code is used to specify the presence of a fistula between the colon and the bladder. Proper coding ensures that healthcare providers can track the incidence and prevalence of this condition, which is crucial for research and public health initiatives.

Here is a breakdown of the ICD-10 code for colovesical fistula:

Code Description
K63.2 Colovesical fistula

Treatment Options for Colovesical Fistula

The treatment of a colovesical fistula depends on the underlying cause, the severity of symptoms, and the patient's overall health. Treatment options may include:

  • Medical management: Antibiotics to treat infections and manage symptoms.
  • Surgical intervention: Surgery to repair the fistula and address the underlying cause. Common surgical procedures include:
    • Resection of the affected colon segment and primary anastomosis.
    • Colostomy or ileostomy to divert fecal flow and allow the fistula to heal.
    • Bladder repair and closure of the fistula.
  • Endoscopic procedures: Minimally invasive techniques to close the fistula.

Surgical intervention is often the preferred treatment for colovesical fistulas, as it addresses the underlying cause and provides a definitive solution. However, the choice of treatment should be individualized based on the patient's specific circumstances and preferences.

Post-Operative Care and Management

Post-operative care is crucial for a successful recovery from colovesical fistula surgery. Key aspects of post-operative care include:

  • Pain management: Effective pain control to ensure patient comfort.
  • Wound care: Proper care of surgical wounds to prevent infection.
  • Nutritional support: Adequate nutrition to promote healing.
  • Follow-up appointments: Regular check-ups to monitor recovery and address any complications.
  • Physical therapy: To help regain strength and mobility.

Patients should be educated about the signs of complications, such as fever, increased pain, or drainage from the surgical site, and instructed to seek medical attention if these occur.

📝 Note: Post-operative care plans should be tailored to the individual patient's needs and may vary based on the type of surgery performed and the patient's overall health.

Preventing Colovesical Fistula

While not all cases of colovesical fistula can be prevented, there are steps that can be taken to reduce the risk:

  • Managing underlying conditions: Effective management of conditions like diverticulitis, IBD, and colon cancer can help prevent fistula formation.
  • Avoiding trauma: Taking precautions to avoid pelvic injuries.
  • Regular medical check-ups: Regular screenings and check-ups can help detect and treat conditions that may lead to fistula formation.

Early detection and treatment of underlying conditions are key to preventing the development of a colovesical fistula.

Colovesical fistula is a complex condition that requires a multidisciplinary approach to diagnosis, treatment, and management. Accurate coding using the ICD-10 code K63.2 is essential for proper documentation and treatment planning. By understanding the causes, symptoms, and treatment options for colovesical fistula, healthcare providers can improve patient outcomes and quality of life.

In summary, colovesical fistula is a serious condition that can significantly impact a patient’s health. Early diagnosis, accurate coding, and appropriate treatment are crucial for managing this condition effectively. Healthcare providers should be aware of the underlying causes, diagnostic methods, and treatment options to provide the best possible care for patients with colovesical fistula.

Related Terms:

  • colovesical fistula causes
  • n32.1
  • colovesical fistula treatment
  • rectovesical fistula icd 10
  • n321 icd 10
  • colovesical fistula icd 10 code