Colles Fracture Vs Smith

Colles Fracture Vs Smith

Understanding the differences between a Colles Fracture and a Smith Fracture is crucial for anyone involved in orthopedics, emergency medicine, or even for individuals who might encounter these injuries. Both types of fractures involve the distal radius, the larger of the two bones in the forearm, but they differ in their mechanisms, appearances, and treatments. This post will delve into the details of Colles Fracture vs Smith Fracture, providing a comprehensive overview of each.

Understanding Colles Fracture

A Colles Fracture is a specific type of distal radius fracture that occurs when the distal end of the radius breaks and is displaced dorsally (towards the back of the hand). This type of fracture is commonly caused by a fall onto an outstretched hand, often seen in elderly individuals with osteoporosis or in younger individuals during high-impact activities.

Mechanism of Injury

The typical mechanism of injury for a Colles Fracture involves:

  • Falling onto an outstretched hand with the wrist in extension.
  • The force of the impact causes the distal radius to fracture and displace dorsally.

Clinical Presentation

Patients with a Colles Fracture usually present with:

  • Pain and swelling in the wrist area.
  • Deformity of the wrist, often described as a "dinner fork" deformity due to the dorsal displacement of the distal fragment.
  • Tenderness over the fracture site.
  • Limited range of motion in the wrist and hand.

Diagnosis

Diagnosis of a Colles Fracture is typically made through:

  • Clinical examination, including inspection and palpation of the wrist.
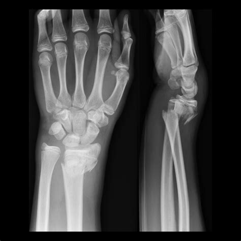
  • Radiographic imaging, which may include anteroposterior (AP) and lateral views of the wrist to visualize the fracture and assess the degree of displacement.

Treatment Options

The treatment of a Colles Fracture depends on the severity of the fracture and the patient's overall health. Options include:

  • Closed reduction and immobilization with a cast or splint.
  • Open reduction and internal fixation (ORIF) for more severe fractures, involving surgical realignment and stabilization of the bone fragments.
  • Physical therapy to restore range of motion and strength after the fracture has healed.

Understanding Smith Fracture

A Smith Fracture, also known as a reverse Colles Fracture or a volar Barton fracture, is a distal radius fracture where the distal fragment is displaced volarly (towards the palm of the hand). This type of fracture is less common than a Colles Fracture and often results from a fall onto a flexed wrist or a direct blow to the dorsum of the wrist.

Mechanism of Injury

The typical mechanism of injury for a Smith Fracture involves:

  • Falling onto a flexed wrist.
  • A direct blow to the dorsum of the wrist.
  • The force of the impact causes the distal radius to fracture and displace volarly.

Clinical Presentation

Patients with a Smith Fracture usually present with:

  • Pain and swelling in the wrist area.
  • Deformity of the wrist, often described as a "garden spade" deformity due to the volar displacement of the distal fragment.
  • Tenderness over the fracture site.
  • Limited range of motion in the wrist and hand.

Diagnosis

Diagnosis of a Smith Fracture is typically made through:

  • Clinical examination, including inspection and palpation of the wrist.
  • Radiographic imaging, which may include anteroposterior (AP) and lateral views of the wrist to visualize the fracture and assess the degree of displacement.

Treatment Options

The treatment of a Smith Fracture depends on the severity of the fracture and the patient's overall health. Options include:

  • Closed reduction and immobilization with a cast or splint.
  • Open reduction and internal fixation (ORIF) for more severe fractures, involving surgical realignment and stabilization of the bone fragments.
  • Physical therapy to restore range of motion and strength after the fracture has healed.

Comparing Colles Fracture vs Smith Fracture

While both Colles Fracture and Smith Fracture involve the distal radius, they have distinct differences in terms of mechanism, appearance, and treatment. Here is a comparison of the two:

Feature Colles Fracture Smith Fracture
Mechanism of Injury Fall onto an outstretched hand with the wrist in extension. Fall onto a flexed wrist or direct blow to the dorsum of the wrist.
Direction of Displacement Dorsal (towards the back of the hand). Volar (towards the palm of the hand).
Common Deformity "Dinner fork" deformity. "Garden spade" deformity.
Treatment Options Closed reduction and immobilization, ORIF for severe cases, physical therapy. Closed reduction and immobilization, ORIF for severe cases, physical therapy.

Understanding these differences is essential for accurate diagnosis and appropriate treatment. Both fractures require prompt medical attention to ensure proper healing and to minimize long-term complications.

📝 Note: While both Colles Fracture and Smith Fracture share similarities in terms of treatment options, the specific approach may vary based on the severity of the fracture and the patient's individual needs.

In summary, Colles Fracture and Smith Fracture are two distinct types of distal radius fractures with different mechanisms of injury and clinical presentations. Accurate diagnosis and appropriate treatment are crucial for optimal outcomes. Whether you are a healthcare professional or someone who has experienced one of these injuries, understanding the differences between Colles Fracture vs Smith Fracture can help ensure the best possible care and recovery.

Related Terms:

  • colles fracture description
  • colles and smith fracture difference
  • colles fracture orthobullets
  • colles fracture complications
  • colles fracture of left radius
  • treatment for colles fracture