Cobb Angle Scoliosis

Cobb Angle Scoliosis

Scoliosis is a medical condition characterized by an abnormal curvature of the spine. One of the key measurements used to assess the severity of scoliosis is the Cobb Angle Scoliosis. This angle is crucial for determining the appropriate treatment plan, whether it be observation, bracing, or surgery. Understanding the Cobb Angle Scoliosis and its implications is essential for both patients and healthcare providers.

Understanding Scoliosis

Scoliosis affects millions of people worldwide, with the majority of cases being idiopathic, meaning the cause is unknown. Other types of scoliosis include congenital, neuromuscular, and degenerative. The condition can develop at any age but is most commonly diagnosed during adolescence.

What is the Cobb Angle?

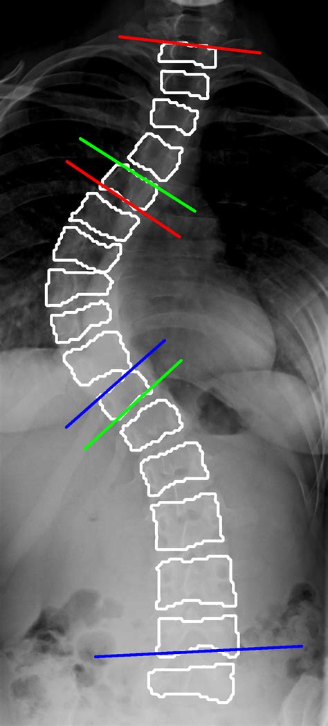
The Cobb Angle Scoliosis is a standard measurement used to quantify the degree of spinal curvature in patients with scoliosis. It is named after Dr. John Robert Cobb, who developed the method in 1948. The angle is measured using an X-ray of the spine, specifically focusing on the most tilted vertebrae at the top and bottom of the curve.

How is the Cobb Angle Measured?

The process of measuring the Cobb Angle Scoliosis involves several steps:

  • Obtain an X-ray of the spine, typically a standing posterior-anterior (PA) view.
  • Identify the most tilted vertebrae at the top and bottom of the curve.
  • Draw a line along the endplate of each of these vertebrae.
  • Draw perpendicular lines to these endplate lines.
  • Measure the angle formed by the intersection of these perpendicular lines.

This angle is the Cobb Angle Scoliosis, and it provides a quantitative measure of the spinal curvature.

📝 Note: The accuracy of the Cobb Angle Scoliosis measurement is crucial for determining the appropriate treatment plan. It is essential to have the X-ray taken by a trained professional and the measurement performed by a qualified healthcare provider.

Interpreting the Cobb Angle

The Cobb Angle Scoliosis is used to classify the severity of scoliosis into different categories:

Cobb Angle Range Severity Classification
0-10 degrees Minimal or no curve
11-25 degrees Mild scoliosis
26-40 degrees Moderate scoliosis
41 degrees and above Severe scoliosis

These classifications help healthcare providers determine the best course of action for managing the condition.

Treatment Options Based on Cobb Angle

The treatment plan for scoliosis is largely dependent on the Cobb Angle Scoliosis. Here are the general guidelines:

  • Mild Scoliosis (10-25 degrees): Often managed with observation and regular check-ups to monitor progression.
  • Moderate Scoliosis (26-40 degrees): May require bracing to prevent further curvature. Bracing is most effective in growing children and adolescents.
  • Severe Scoliosis (41 degrees and above): Typically requires surgical intervention to correct the curvature and prevent further progression.

Bracing for Scoliosis

Bracing is a non-surgical treatment option for moderate scoliosis. The goal of bracing is to prevent the curve from progressing during the growth spurt. There are different types of braces available, including:

  • Thoracolumbosacral Orthosis (TLSO): A rigid brace that covers the torso from the armpits to the hips.
  • Charleston Bending Brace: A nighttime brace that is worn while sleeping.
  • Providence Brace: A custom-made brace that is designed to fit the individual’s body shape.

Bracing is most effective when worn consistently as prescribed by the healthcare provider. Compliance with the bracing regimen is crucial for achieving the desired outcomes.

📝 Note: The effectiveness of bracing depends on several factors, including the patient's age, the severity of the curve, and the type of brace used. Regular follow-ups with the healthcare provider are essential to monitor progress and make any necessary adjustments.

Surgical Intervention for Severe Scoliosis

For patients with severe scoliosis, surgical intervention may be necessary. The most common surgical procedure for scoliosis is spinal fusion. This procedure involves:

  • Straightening the spine as much as possible.
  • Fusing the vertebrae together to prevent further curvature.
  • Using rods, screws, and hooks to stabilize the spine during the healing process.

Spinal fusion surgery is typically recommended for patients with a Cobb Angle Scoliosis of 45 degrees or more, or for those with curves that are progressing rapidly despite bracing.

Post-Surgical Care and Rehabilitation

After spinal fusion surgery, post-surgical care and rehabilitation are crucial for a successful recovery. This may include:

  • Pain management with medication.
  • Physical therapy to improve mobility and strength.
  • Regular follow-ups with the healthcare provider to monitor healing and progress.

Patients are usually advised to avoid heavy lifting and strenuous activities for several months post-surgery. Gradual return to normal activities is encouraged as the spine heals.

📝 Note: Post-surgical care and rehabilitation are essential for a successful recovery. Patients should follow their healthcare provider's instructions closely to ensure the best possible outcomes.

Living with Scoliosis

Living with scoliosis can present unique challenges, but with the right management and support, individuals can lead active and fulfilling lives. Here are some tips for managing scoliosis:

  • Regular exercise and physical therapy to maintain flexibility and strength.
  • Maintaining a healthy weight to reduce stress on the spine.
  • Wearing a brace as prescribed by the healthcare provider.
  • Attending regular check-ups to monitor the condition.

Support from family, friends, and healthcare providers can also make a significant difference in managing scoliosis.

Research and Advancements in Scoliosis Treatment

Research in the field of scoliosis is ongoing, with advancements in both non-surgical and surgical treatments. Some of the recent developments include:

  • Improved bracing technologies that are more comfortable and effective.
  • Minimally invasive surgical techniques that reduce recovery time and complications.
  • New medications and therapies that may help slow the progression of scoliosis.

These advancements offer hope for better management and treatment of scoliosis in the future.

📝 Note: Staying informed about the latest research and advancements in scoliosis treatment can help patients and healthcare providers make more informed decisions about care.

Scoliosis is a complex condition that requires careful management and treatment. The Cobb Angle Scoliosis plays a crucial role in assessing the severity of the condition and determining the appropriate treatment plan. Whether through observation, bracing, or surgery, the goal is to prevent further progression of the curve and improve the patient’s quality of life. With advancements in research and treatment, there is hope for better outcomes and management of scoliosis in the future.

Related Terms:

  • cobb angle scoliosis chart
  • cobb angle scoliosis severity
  • cobb angle severity
  • cobb angle scoliosis surgery
  • cobb angle scoliosis grade
  • cobb angle scoliosis xray