Cilia Vs Microvilli

Cilia Vs Microvilli

In the intricate world of cellular biology, the study of cellular structures and their functions is crucial for understanding the mechanisms that govern life at the microscopic level. Two such structures, cilia and microvilli, play pivotal roles in various cellular processes. While both are projections from the cell surface, they differ significantly in structure, function, and composition. This exploration delves into the Cilia Vs Microvilli debate, highlighting their unique characteristics and roles within the cellular ecosystem.

Understanding Cilia

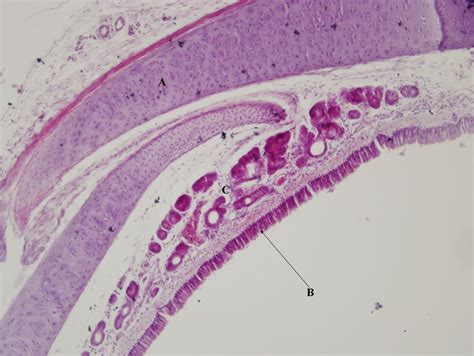
Cilia are hair-like structures that extend from the surface of many eukaryotic cells. They are composed of a core structure known as the axoneme, which is made up of microtubules arranged in a characteristic 9+2 pattern. This pattern consists of nine outer doublet microtubules surrounding a central pair of singlet microtubules. Cilia are dynamic structures that can beat in a coordinated manner, facilitating various functions such as locomotion and fluid movement.

Cilia are classified into two main types based on their function:

  • Motile Cilia: These are found in cells where movement is essential, such as the respiratory tract and fallopian tubes. Motile cilia help in clearing mucus and debris from the respiratory tract and in moving eggs through the fallopian tubes.
  • Non-motile (Primary) Cilia: These are solitary cilia found on most vertebrate cells. They act as sensory organelles, detecting chemical and mechanical signals from the extracellular environment and transmitting them to the cell interior.

Cilia are involved in a wide range of biological processes, including:

  • Cellular signaling and communication
  • Sensory perception
  • Cellular locomotion
  • Fluid movement

Exploring Microvilli

Microvilli, on the other hand, are small, finger-like projections that extend from the apical surface of epithelial cells. Unlike cilia, microvilli lack the complex internal structure of microtubules and are primarily composed of actin filaments bundled together. These structures are shorter and more numerous than cilia, providing a larger surface area for absorption and secretion.

Microvilli are particularly abundant in cells involved in absorption and secretion, such as those found in the intestines and kidneys. Their primary functions include:

  • Increasing the surface area for absorption
  • Facilitating the transport of molecules across the cell membrane
  • Enhancing the efficiency of secretion processes

Microvilli play a crucial role in various physiological processes, including:

  • Nutrient absorption in the intestines
  • Reabsorption of water and electrolytes in the kidneys
  • Sensory perception in specialized cells, such as those in the inner ear

Cilia Vs Microvilli: Structural Differences

The structural differences between cilia and microvilli are fundamental to their distinct functions. Here is a comparison of their key structural features:

Feature Cilia Microvilli
Composition Microtubules arranged in a 9+2 pattern Actin filaments bundled together
Length Longer (typically 5-10 µm) Shorter (typically 1-2 µm)
Number per Cell Fewer (often one or a few) More numerous (hundreds to thousands)
Motility Motile or non-motile Non-motile

📝 Note: The structural differences between cilia and microvilli are crucial for their respective functions. Cilia's complex microtubule structure allows for coordinated movement, while microvilli's actin-based structure provides a larger surface area for absorption and secretion.

Cilia Vs Microvilli: Functional Differences

The functional differences between cilia and microvilli are equally significant. While cilia are involved in movement and sensory perception, microvilli are primarily concerned with absorption and secretion. Here is a detailed comparison of their functions:

Function Cilia Microvilli
Movement Facilitate cellular locomotion and fluid movement Non-motile, do not facilitate movement
Absorption Not primarily involved in absorption Increase surface area for absorption
Sensory Perception Act as sensory organelles in non-motile cilia Involved in sensory perception in specialized cells
Secretion Not primarily involved in secretion Enhance the efficiency of secretion processes

Cilia and microvilli play complementary roles in various physiological processes. For example, in the respiratory tract, cilia help clear mucus and debris, while microvilli in the intestinal epithelium facilitate nutrient absorption. Understanding these functional differences is essential for appreciating the complexity and efficiency of cellular processes.

📝 Note: The functional differences between cilia and microvilli highlight their specialized roles in cellular processes. Cilia's ability to move and sense the environment complements microvilli's role in absorption and secretion, ensuring the efficient functioning of various physiological systems.

Cilia Vs Microvilli: Pathological Implications

Dysfunctions in cilia and microvilli can lead to various pathological conditions. Understanding these implications is crucial for diagnosing and treating related diseases. Here are some key pathological implications of cilia and microvilli dysfunctions:

  • Ciliary Dysfunctions:
    • Primary Ciliary Dyskinesia (PCD): A genetic disorder characterized by defective ciliary function, leading to chronic respiratory infections, infertility, and situs inversus (reversed organ placement).
    • Polycystic Kidney Disease (PKD): A condition where cysts form in the kidneys, often associated with defects in primary cilia function.
    • Retinitis Pigmentosa: A group of inherited disorders that cause retinal degeneration, often linked to defects in photoreceptor cilia.
  • Microvilli Dysfunctions:
    • Microvillus Inclusion Disease (MVID): A rare congenital disorder characterized by the presence of microvillus inclusions in the intestinal epithelium, leading to severe diarrhea and malabsorption.
    • Celiac Disease: An immune-mediated disorder where the ingestion of gluten leads to damage of the intestinal microvilli, resulting in malabsorption and other symptoms.
    • Intestinal Ischemia: A condition where reduced blood flow to the intestines causes damage to the microvilli, leading to malabsorption and other complications.

These pathological implications underscore the importance of cilia and microvilli in maintaining cellular and physiological homeostasis. Dysfunctions in these structures can have far-reaching effects on various organ systems, highlighting the need for further research and understanding.

📝 Note: The pathological implications of cilia and microvilli dysfunctions emphasize their critical roles in cellular and physiological processes. Understanding these implications is essential for developing effective diagnostic and therapeutic strategies.

Cilia Vs Microvilli: Future Directions

The study of cilia and microvilli continues to evolve, driven by advancements in cellular and molecular biology. Future research directions in this field include:

  • Genetic and Molecular Mechanisms: Investigating the genetic and molecular mechanisms underlying cilia and microvilli formation, function, and dysfunction.
  • Therapeutic Interventions: Developing targeted therapeutic interventions for diseases associated with cilia and microvilli dysfunctions.
  • Biomedical Applications: Exploring the potential biomedical applications of cilia and microvilli, such as in drug delivery and tissue engineering.
  • Interdisciplinary Approaches: Integrating interdisciplinary approaches, including genomics, proteomics, and bioinformatics, to gain a comprehensive understanding of cilia and microvilli biology.

These future directions hold promise for advancing our knowledge of cilia and microvilli and their roles in health and disease. Continued research in this area will undoubtedly lead to new insights and innovations, benefiting both basic science and clinical practice.

📝 Note: The future of cilia and microvilli research is bright, with numerous opportunities for advancing our understanding of these crucial cellular structures and their roles in health and disease.

In summary, the Cilia Vs Microvilli debate highlights the unique characteristics and functions of these two essential cellular structures. While cilia are involved in movement and sensory perception, microvilli play a crucial role in absorption and secretion. Understanding the differences between cilia and microvilli is essential for appreciating their complementary roles in various physiological processes and for developing effective strategies to address related pathological conditions. As research in this field continues to advance, we can expect to gain deeper insights into the complexities of cellular biology and its implications for human health.

Related Terms:

  • cilia vs microvilli difference
  • what are microvilli
  • microvilli vs cilia function
  • what are microvilli made of
  • function of cilia and microvilli
  • villi vs microvilli