Cervical Length During Pregnancy

Cervical Length During Pregnancy

Pregnancy is a journey filled with anticipation and careful monitoring, especially when it comes to the health and development of the baby. One crucial aspect that healthcare providers closely observe is the cervical length during pregnancy. Understanding the significance of cervical length can help expectant mothers and their healthcare providers make informed decisions and ensure a healthy pregnancy.

What is Cervical Length?

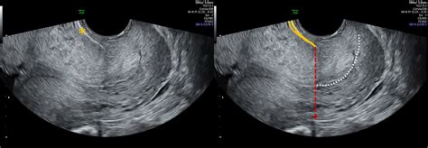
The cervix is the lower part of the uterus that connects to the vagina. During pregnancy, the cervix plays a vital role in keeping the baby secure within the uterus. Cervical length refers to the measurement of the cervix from the internal os (the opening to the uterus) to the external os (the opening to the vagina). This measurement is typically taken using transvaginal ultrasound, which provides a clear view of the cervix.

Why is Cervical Length Important During Pregnancy?

Monitoring cervical length during pregnancy is essential for several reasons:

  • Risk Assessment for Preterm Labor: A shorter cervix can indicate an increased risk of preterm labor, which is defined as labor occurring before 37 weeks of gestation. Regular monitoring can help identify women at risk and allow for early intervention.
  • Prevention of Preterm Birth: By closely monitoring cervical length, healthcare providers can implement strategies to prevent preterm birth, such as progesterone therapy or cervical cerclage (a procedure to reinforce the cervix).
  • Peace of Mind: Knowing the cervical length can provide reassurance to expectant mothers, especially those with a history of preterm labor or other risk factors.

When is Cervical Length Measured?

Cervical length measurements are typically performed at various stages of pregnancy, depending on the individual’s risk factors and medical history. Common times for measurement include:

  • First Trimester: Some healthcare providers may measure cervical length during the first trimester, especially if there is a history of preterm labor or other risk factors.
  • Second Trimester: Routine measurements are often taken between 18 and 24 weeks of gestation. This is a critical period for assessing the risk of preterm labor.
  • Third Trimester: Additional measurements may be taken in the third trimester if there are concerns about cervical changes or if the woman has a history of preterm labor.

What is Considered a Normal Cervical Length?

The normal range for cervical length during pregnancy can vary slightly, but generally, a cervix that is 30 mm or longer is considered normal. However, it’s important to note that the ideal length can change as the pregnancy progresses. Here is a general guideline:

Gestational Age Normal Cervical Length (mm)
14-20 weeks 30-50 mm
20-24 weeks 25-45 mm
24-28 weeks 20-40 mm
28-32 weeks 15-35 mm

It's crucial to remember that these are general guidelines, and individual variations can occur. Always consult with a healthcare provider for personalized information.

What Does a Short Cervix Mean?

A short cervix, typically defined as less than 25 mm, can indicate an increased risk of preterm labor and preterm birth. If a short cervix is detected, healthcare providers may recommend various interventions to reduce the risk:

  • Progesterone Therapy: Progesterone is a hormone that helps maintain the pregnancy. It can be administered vaginally or via injection to support cervical health.
  • Cervical Cerclage: This is a surgical procedure where a stitch is placed around the cervix to reinforce it and prevent premature dilation.
  • Activity Modification: In some cases, healthcare providers may recommend reducing physical activity or avoiding certain positions to minimize stress on the cervix.

📝 Note: The decision to intervene should be made in consultation with a healthcare provider, considering individual risk factors and medical history.

Factors Affecting Cervical Length

Several factors can influence cervical length during pregnancy. Understanding these factors can help expectant mothers and their healthcare providers take appropriate measures to ensure a healthy pregnancy:

  • Previous Preterm Birth: Women who have had a previous preterm birth are at a higher risk of having a short cervix in subsequent pregnancies.
  • Multiple Pregnancies: Carrying twins, triplets, or more can increase the risk of a short cervix due to the added pressure on the cervix.
  • Uterine Abnormalities: Certain uterine abnormalities, such as a bicornuate uterus, can affect cervical length and function.
  • Infections: Infections, such as bacterial vaginosis or sexually transmitted infections, can weaken the cervix and increase the risk of preterm labor.
  • Smoking and Substance Use: Smoking and the use of certain substances can negatively impact cervical health and increase the risk of preterm labor.

Monitoring Cervical Length

Regular monitoring of cervical length during pregnancy is essential for identifying potential risks and taking timely action. Here are some key points about monitoring:

  • Transvaginal Ultrasound: This is the most common method for measuring cervical length. It provides a clear view of the cervix and is generally performed between 18 and 24 weeks of gestation.
  • Frequency of Monitoring: The frequency of cervical length measurements depends on individual risk factors. Women with a history of preterm labor or other risk factors may require more frequent monitoring.
  • Interpreting Results: Healthcare providers will interpret the results of cervical length measurements in the context of the individual’s medical history and other risk factors. Regular communication with the healthcare provider is essential for understanding the results and any necessary interventions.

📝 Note: Always follow the recommendations of your healthcare provider regarding the frequency and timing of cervical length measurements.

Cervical Length and Preterm Labor

Preterm labor is a significant concern for many expectant mothers, and monitoring cervical length during pregnancy can help identify those at risk. Here are some key points about the relationship between cervical length and preterm labor:

  • Early Detection: Regular monitoring can help detect a short cervix early in the pregnancy, allowing for timely intervention and reducing the risk of preterm labor.
  • Risk Factors: Women with a short cervix are at a higher risk of preterm labor, especially if they have other risk factors such as a history of preterm birth or multiple pregnancies.
  • Intervention Strategies: Healthcare providers may recommend various interventions, such as progesterone therapy or cervical cerclage, to reduce the risk of preterm labor in women with a short cervix.

Cervical Length and Preterm Birth

Preterm birth, defined as birth before 37 weeks of gestation, can have significant health implications for the baby. Monitoring cervical length during pregnancy can help reduce the risk of preterm birth. Here are some key points to consider:

  • Risk Assessment: Regular monitoring of cervical length can help assess the risk of preterm birth and allow for early intervention.
  • Prevention Strategies: Healthcare providers may recommend various prevention strategies, such as progesterone therapy or cervical cerclage, to reduce the risk of preterm birth in women with a short cervix.
  • Individualized Care: The approach to preventing preterm birth should be individualized, considering the woman’s medical history, risk factors, and personal preferences.

📝 Note: Always consult with a healthcare provider for personalized advice and recommendations regarding the prevention of preterm birth.

Cervical Length and Cervical Insufficiency

Cervical insufficiency, also known as an incompetent cervix, is a condition where the cervix is unable to stay closed during pregnancy, leading to preterm labor and preterm birth. Monitoring cervical length during pregnancy can help identify cervical insufficiency. Here are some key points:

  • Symptoms: Cervical insufficiency may not cause symptoms, but some women may experience painless dilation of the cervix or a feeling of pressure in the pelvic area.
  • Diagnosis: Cervical insufficiency is typically diagnosed through transvaginal ultrasound, which measures cervical length and assesses cervical function.
  • Treatment: Treatment options for cervical insufficiency may include progesterone therapy, cervical cerclage, or other interventions to reinforce the cervix and prevent preterm labor.

Cervical Length and Multiple Pregnancies

Women carrying multiples, such as twins or triplets, are at a higher risk of having a short cervix due to the added pressure on the cervix. Monitoring cervical length during pregnancy is crucial for these women. Here are some key points:

  • Increased Risk: Multiple pregnancies increase the risk of preterm labor and preterm birth, making regular monitoring of cervical length essential.
  • Frequent Monitoring: Women carrying multiples may require more frequent cervical length measurements to assess the risk of preterm labor and take timely action.
  • Intervention Strategies: Healthcare providers may recommend various interventions, such as progesterone therapy or cervical cerclage, to reduce the risk of preterm labor in women with a short cervix and multiple pregnancies.

📝 Note: Always follow the recommendations of your healthcare provider regarding the frequency and timing of cervical length measurements, especially in the case of multiple pregnancies.

Cervical Length and Previous Preterm Birth

Women who have had a previous preterm birth are at a higher risk of having a short cervix in subsequent pregnancies. Monitoring cervical length during pregnancy is crucial for these women. Here are some key points:

  • Increased Risk: A history of preterm birth increases the risk of preterm labor and preterm birth in subsequent pregnancies, making regular monitoring of cervical length essential.
  • Early Intervention: Regular monitoring can help detect a short cervix early in the pregnancy, allowing for timely intervention and reducing the risk of preterm labor.
  • Prevention Strategies: Healthcare providers may recommend various prevention strategies, such as progesterone therapy or cervical cerclage, to reduce the risk of preterm labor in women with a history of preterm birth and a short cervix.

📝 Note: Always consult with a healthcare provider for personalized advice and recommendations regarding the prevention of preterm labor in women with a history of preterm birth.

Cervical Length and Uterine Abnormalities

Certain uterine abnormalities, such as a bicornuate uterus, can affect cervical length and function. Monitoring cervical length during pregnancy is important for women with uterine abnormalities. Here are some key points:

  • Increased Risk: Uterine abnormalities can increase the risk of preterm labor and preterm birth, making regular monitoring of cervical length essential.
  • Individualized Care: The approach to monitoring and managing cervical length should be individualized, considering the specific uterine abnormality and the woman’s medical history.
  • Intervention Strategies: Healthcare providers may recommend various interventions, such as progesterone therapy or cervical cerclage, to reduce the risk of preterm labor in women with uterine abnormalities and a short cervix.

📝 Note: Always follow the recommendations of your healthcare provider regarding the frequency and timing of cervical length measurements, especially in the case of uterine abnormalities.

Cervical Length and Infections

Infections, such as bacterial vaginosis or sexually transmitted infections, can weaken the cervix and increase the risk of preterm labor. Monitoring cervical length during pregnancy is important for women with infections. Here are some key points:

  • Increased Risk: Infections can increase the risk of preterm labor and preterm birth, making regular monitoring of cervical length essential.
  • Treatment: Prompt treatment of infections is crucial for reducing the risk of preterm labor and preterm birth. Healthcare providers may recommend antibiotics or other treatments to address the infection.
  • Prevention Strategies: Healthcare providers may recommend various prevention strategies, such as progesterone therapy or cervical cerclage, to reduce the risk of preterm labor in women with infections and a short cervix.

📝 Note: Always consult with a healthcare provider for personalized advice and recommendations regarding the treatment and prevention of infections during pregnancy.

Cervical Length and Smoking

Smoking during pregnancy can negatively impact cervical health and increase the risk of preterm labor. Monitoring cervical length during pregnancy is important for women who smoke. Here are some key points:

  • Increased Risk: Smoking increases the risk of preterm labor and preterm birth, making regular monitoring of cervical length essential.
  • Cessation: Quitting smoking is one of the most effective ways to reduce the risk of preterm labor and preterm birth. Healthcare providers can offer support and resources for smoking cessation.
  • Intervention Strategies: Healthcare providers may recommend various interventions, such as progesterone therapy or cervical cerclage, to reduce the risk of preterm labor in women who smoke and have a short cervix.

📝 Note: Always consult with a healthcare provider for personalized advice and recommendations regarding smoking cessation and the prevention of preterm labor.

Cervical Length and Substance Use

The use of certain substances, such as alcohol or drugs, can negatively impact cervical health and increase the risk of preterm labor. Monitoring cervical length during pregnancy is important for women who use substances. Here are some key points:

  • Increased Risk: Substance use increases the risk of preterm labor and preterm birth, making regular monitoring of cervical length essential.
  • Cessation: Avoiding substance use is crucial for reducing the risk of preterm labor and preterm birth. Healthcare providers can offer support and resources for substance cessation.
  • Intervention Strategies: Healthcare providers may recommend various interventions, such as progesterone therapy or cervical cerclage, to reduce the risk of preterm labor in women who use substances and have a short cervix.

📝 Note: Always consult with a healthcare provider for personalized advice and recommendations regarding substance cessation and the prevention of preterm labor.

Cervical Length and Pelvic Rest

Pelvic rest, which involves avoiding certain activities that put pressure on the pelvic area, can be recommended for women with a short cervix. Monitoring cervical length during pregnancy is important for women on pelvic rest. Here are some key points:

  • Reduced Risk: Pelvic rest can help reduce the risk of preterm labor by minimizing stress on the cervix.
  • Activity Modification: Women on pelvic rest may need to modify their activities, such as avoiding intercourse, heavy lifting, or strenuous exercise.
  • Intervention Strategies: Healthcare providers may recommend various interventions, such as progesterone therapy or cervical cerclage, in addition to pelvic rest, to reduce the risk of preterm labor in women with a short cervix.

📝 Note: Always follow the recommendations of your healthcare provider regarding pelvic rest and other interventions to reduce the risk of preterm labor.

Cervical Length and Progesterone Therapy

Progesterone therapy is a common intervention for women with a short cervix. Monitoring cervical length during pregnancy is important for women undergoing progesterone therapy. Here are some key points:

  • Hormonal Support: Progesterone is a hormone that helps maintain the pregnancy by supporting cervical health.
  • Administration: Progesterone can be administered vaginally or via injection, depending on the individual’s needs and preferences.
  • Effectiveness: Progesterone therapy has been shown to reduce the risk of preterm labor and preterm birth in women with a short cervix.

📝 Note: Always consult with a healthcare provider for personalized advice and recommendations regarding progesterone therapy and its potential benefits and risks.

Cervical Length and Cervical Cerclage

Cervical cerclage is a surgical procedure where a stitch is placed around the cervix to reinforce it and prevent premature dilation. Monitoring cervical length during pregnancy is important for women considering cervical cerclage. Here are some key points:

  • Surgical Intervention: Cervical cerclage is a surgical procedure that involves placing a stitch around the cervix to reinforce it.
  • Timing: The timing of cervical cerclage depends on individual risk factors and the results of cervical length measurements.
  • Effectiveness: Cervical cerclage has been shown to reduce the risk of preterm labor and preterm birth in women with a short cervix and a history of cervical insufficiency.

📝 Note: Always consult with a healthcare provider for personalized advice and recommendations regarding cervical cerclage and its potential benefits and risks.

Cervical Length and Regular Check-ups

Regular check-ups are essential for monitoring cervical length during pregnancy and ensuring a healthy pregnancy. Here are some key points:

  • Frequency: The frequency of check-ups depends on individual risk factors and the results of cervical length measurements.
  • Communication: Regular communication with the healthcare provider is essential for understanding the results of cervical length measurements and any necessary interventions.
  • Peace of Mind: Regular check-ups can provide reassurance and peace of mind, especially for women with a history of preterm labor or other risk factors.

📝 Note: Always follow the recommendations of your healthcare provider regarding the frequency and timing of check-ups and cervical length measurements.

Cervical Length and Emotional Support

Pregnancy can be an emotional journey, and monitoring cervical length during pregnancy can add to the stress and anxiety. Here are some key points about emotional support:

  • Communication: Open communication with the healthcare provider can help address concerns and provide reassurance.
  • Support System: Building a support system, including family, friends, and support groups, can provide emotional support and encouragement.
  • Self-Care: Pract

Related Terms:

  • cervical length measurement chart
  • cervix length during pregnancy chart
  • cervical length at 25 weeks
  • normal cervical length chart pregnancy
  • cervix length at 13 weeks
  • cervix length at 30 weeks