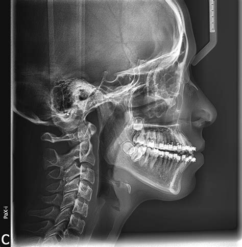
Cephalometric X Ray

Cephalometric X Ray

Orthodontic treatment has evolved significantly over the years, with advancements in technology playing a crucial role in improving diagnostic accuracy and treatment outcomes. One of the most essential tools in this field is the Cephalometric X Ray. This imaging technique provides a comprehensive view of the skull and facial bones, enabling orthodontists to plan and execute treatments with precision. This blog post delves into the importance of Cephalometric X Rays, their applications, and the detailed process involved in obtaining and interpreting these images.

Understanding Cephalometric X Rays

A Cephalometric X Ray is a specialized type of radiograph used to analyze the relationship between the teeth and the jaw. It provides a two-dimensional view of the skull, focusing on the facial bones and teeth. This imaging technique is invaluable for diagnosing and treating various orthodontic conditions, including malocclusions, jaw discrepancies, and facial asymmetries.

Applications of Cephalometric X Rays

The applications of Cephalometric X Rays are vast and varied, making them an indispensable tool in orthodontic practice. Some of the key applications include:

  • Diagnosing malocclusions and jaw discrepancies
  • Planning orthodontic treatments, including braces and aligners
  • Monitoring growth and development in children and adolescents
  • Assessing the need for orthognathic surgery
  • Evaluating the effectiveness of orthodontic treatments

The Process of Obtaining a Cephalometric X Ray

Obtaining a Cephalometric X Ray involves several steps, each crucial for ensuring accurate and reliable results. Here is a detailed overview of the process:

Patient Preparation

Before the procedure, the patient is prepared by removing any metal objects that could interfere with the imaging process. This includes jewelry, hairpins, and dental appliances. The patient is then positioned in front of the X-ray machine, with their head held steady using a headrest or other stabilizing device.

Positioning the Patient

The patient’s head is positioned so that the Frankfort plane (a line drawn from the top of the ear canal to the bottom of the eye socket) is parallel to the floor. This ensures that the X-ray beam passes through the skull at the correct angle, providing an accurate image of the facial bones and teeth.

Exposing the X Ray

The X-ray machine is then activated, and a beam of radiation is directed through the patient’s head. The radiation passes through the soft tissues and is absorbed by the denser bone structures, creating a detailed image on the X-ray film or digital sensor.

Developing the Image

Once the X-ray is taken, the image is developed. In traditional film-based systems, the film is processed in a darkroom. In digital systems, the image is instantly available on a computer screen. The orthodontist then reviews the image to assess the patient’s dental and skeletal structures.

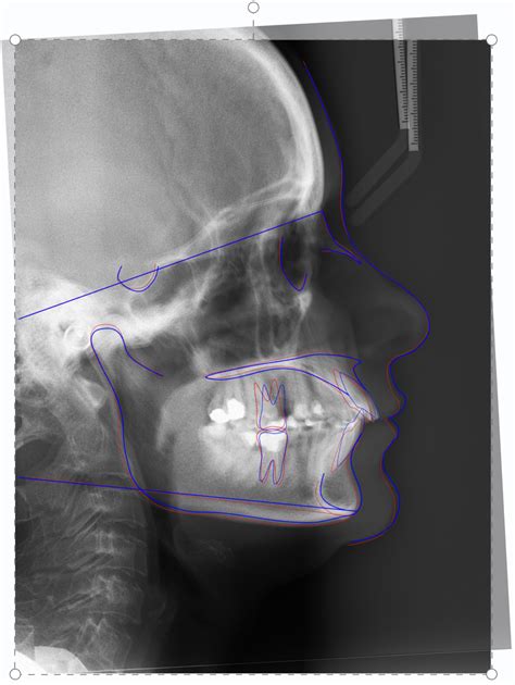
Interpreting Cephalometric X Rays

Interpreting a Cephalometric X Ray requires a thorough understanding of craniofacial anatomy and orthodontic principles. The orthodontist analyzes various landmarks and measurements to assess the patient’s dental and skeletal relationships. Some of the key landmarks and measurements include:

Key Landmarks

The following table outlines some of the key landmarks used in Cephalometric X Ray analysis:

Landmark Description
Sella (S) The center of the sella turcica, a depression in the sphenoid bone
Nasion (N) The most anterior point of the frontal bone at the nasofrontal suture
Orbitale (Or) The lowest point on the inferior margin of the orbit
Pogonion (Pog) The most anterior point on the chin
Gnathion (Gn) The most inferior point on the symphysis menti

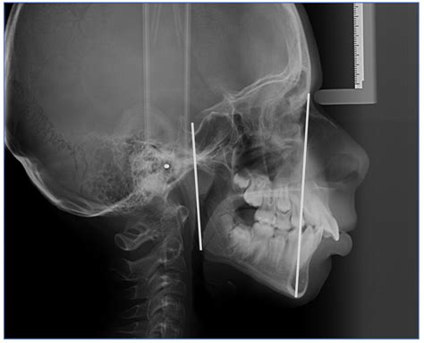
Key Measurements

The following measurements are commonly used to assess dental and skeletal relationships:

  • SNA angle: Measures the relationship between the maxilla and the cranial base
  • SNB angle: Measures the relationship between the mandible and the cranial base
  • ANB angle: Measures the relationship between the maxilla and the mandible
  • Wits appraisal: Measures the anteroposterior relationship of the maxilla and mandible
  • Gonial angle: Measures the angle of the mandible

📌 Note: The interpretation of Cephalometric X Rays should be performed by a qualified orthodontist to ensure accurate diagnosis and treatment planning.

Advancements in Cephalometric Imaging

Technology has significantly enhanced the field of Cephalometric imaging, making it more accurate and efficient. Some of the key advancements include:

Digital Imaging

Digital Cephalometric X Rays offer several advantages over traditional film-based systems. Digital images can be instantly viewed and manipulated, allowing for more precise analysis. Additionally, digital systems reduce radiation exposure and eliminate the need for chemical processing, making them more environmentally friendly.

3D Imaging

Three-dimensional (3D) imaging techniques, such as cone-beam computed tomography (CBCT), provide a more comprehensive view of the craniofacial structures. These images allow orthodontists to assess the patient’s dental and skeletal relationships from multiple angles, enhancing diagnostic accuracy and treatment planning.

Software Analysis

Advanced software programs are now available to assist in the analysis of Cephalometric X Rays. These programs can automatically identify landmarks and measurements, reducing the potential for human error and improving the efficiency of the diagnostic process.

Benefits of Cephalometric X Rays

Cephalometric X Rays offer numerous benefits for both patients and orthodontists. Some of the key advantages include:

Accurate Diagnosis

Cephalometric X Rays provide a detailed view of the craniofacial structures, enabling orthodontists to make accurate diagnoses and develop effective treatment plans.

Personalized Treatment

By analyzing the patient’s unique dental and skeletal relationships, orthodontists can tailor treatments to meet individual needs, improving outcomes and patient satisfaction.

Monitoring Progress

Cephalometric X Rays can be used to monitor the progress of orthodontic treatments, allowing orthodontists to make adjustments as needed and ensure optimal results.

Reduced Radiation Exposure

With advancements in digital imaging, the radiation exposure associated with Cephalometric X Rays has been significantly reduced, making the procedure safer for patients.

Limitations of Cephalometric X Rays

While Cephalometric X Rays are a valuable tool in orthodontic practice, they do have some limitations. Understanding these limitations is essential for ensuring accurate diagnosis and treatment planning.

Two-Dimensional View

Cephalometric X Rays provide a two-dimensional view of the craniofacial structures, which may not capture the full complexity of three-dimensional relationships. This limitation can be addressed with the use of 3D imaging techniques, such as CBCT.

Radiation Exposure

Although the radiation exposure associated with Cephalometric X Rays has been reduced with digital imaging, it is still a consideration, particularly for patients who require multiple X-rays over time.

Interpretation Variability

The interpretation of Cephalometric X Rays can vary between orthodontists, potentially leading to differences in diagnosis and treatment planning. Standardized protocols and advanced software programs can help minimize this variability.

📌 Note: It is important for orthodontists to be aware of these limitations and to use Cephalometric X Rays in conjunction with other diagnostic tools to ensure comprehensive and accurate assessments.

Future Directions in Cephalometric Imaging

The field of Cephalometric imaging continues to evolve, with ongoing research and technological advancements paving the way for even more precise and efficient diagnostic tools. Some of the future directions in Cephalometric imaging include:

Artificial Intelligence

Artificial intelligence (AI) has the potential to revolutionize Cephalometric imaging by automating the analysis of X-ray images. AI algorithms can identify landmarks and measurements with high accuracy, reducing the potential for human error and improving the efficiency of the diagnostic process.

Integrated Imaging Systems

Integrated imaging systems that combine Cephalometric X Rays with other diagnostic tools, such as intraoral scanners and 3D printers, can provide a more comprehensive view of the patient’s dental and skeletal structures. These systems can enhance diagnostic accuracy and treatment planning, leading to better outcomes for patients.

Personalized Medicine

The concept of personalized medicine is gaining traction in orthodontics, with a focus on tailoring treatments to meet the unique needs of each patient. Cephalometric imaging can play a crucial role in this approach by providing detailed information about the patient’s dental and skeletal relationships, enabling orthodontists to develop individualized treatment plans.

Cephalometric X Rays are an essential tool in orthodontic practice, providing a detailed view of the craniofacial structures and enabling accurate diagnosis and treatment planning. With advancements in digital imaging, 3D imaging, and software analysis, Cephalometric X Rays continue to evolve, offering even more precise and efficient diagnostic capabilities. Understanding the applications, benefits, and limitations of Cephalometric X Rays is crucial for orthodontists to ensure optimal outcomes for their patients. As technology continues to advance, the future of Cephalometric imaging holds great promise for further enhancing the field of orthodontics and improving patient care.

Related Terms:

  • cephalometric x ray dental code
  • panoramic and cephalometric x ray
  • cephalometric x ray positioning
  • cephalometric x ray cpt code
  • cephalometric x ray landmarks
  • cephalometric x ray price