Cardiac Muscle Microscope

Cardiac Muscle Microscope

Exploring the intricate world of cardiac muscle tissue under a microscope reveals a fascinating landscape of cells and structures that work in harmony to keep the heart beating. The cardiac muscle microscope is an essential tool for researchers and medical professionals, offering insights into the heart's functionality and potential pathologies. This post delves into the anatomy of cardiac muscle tissue, the techniques used to observe it under a microscope, and the significance of these observations in medical research and diagnostics.

Understanding Cardiac Muscle Tissue

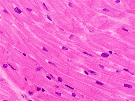
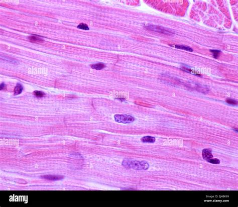
Cardiac muscle tissue, also known as myocardium, is a specialized type of muscle found exclusively in the heart. Unlike skeletal muscle, which is under voluntary control, and smooth muscle, which is found in organs like the stomach and intestines, cardiac muscle is involuntary and striated. This unique combination allows the heart to contract rhythmically and efficiently, pumping blood throughout the body.

The basic unit of cardiac muscle tissue is the cardiac muscle cell, or cardiomyocyte. These cells are elongated and branched, connecting to form a network that facilitates the synchronized contraction of the heart. Key features of cardiomyocytes include:

  • Striations: Visible under a microscope, these are the result of the organized arrangement of contractile proteins actin and myosin.
  • Intercalated Discs: Specialized junctions that connect cardiomyocytes, allowing for the rapid transmission of electrical impulses.
  • Sarcoplasmic Reticulum: A network of membranes that stores and releases calcium ions, essential for muscle contraction.

Preparing Cardiac Muscle Tissue for Microscopic Observation

Observing cardiac muscle tissue under a cardiac muscle microscope requires careful preparation to preserve the tissue's structure and detail. The process typically involves several steps:

  • Tissue Collection: Obtain a sample of cardiac muscle tissue, often from biopsy or autopsy specimens.
  • Fixation: Preserve the tissue using a fixative, such as formalin, to maintain its structure.
  • Sectioning: Cut thin sections of the tissue using a microtome, typically 5-10 microns thick.
  • Staining: Apply stains, such as hematoxylin and eosin (H&E) or Masson's trichrome, to enhance the visibility of different tissue components.
  • Mounting: Place the stained sections on a glass slide and cover them with a coverslip.

These steps ensure that the tissue is well-preserved and clearly visible under the microscope, allowing for detailed analysis.

🔍 Note: Proper fixation and staining are crucial for accurate microscopic observation. Improper techniques can lead to artifacts and misinterpretation of results.

Observing Cardiac Muscle Tissue Under a Microscope

Once the tissue is prepared, it can be observed under a cardiac muscle microscope. The choice of microscope depends on the level of detail required:

  • Light Microscope: Suitable for observing general tissue structure, including striations and intercalated discs.
  • Electron Microscope: Provides higher magnification and resolution, allowing for detailed examination of cellular organelles and ultrastructure.

Key observations under a light microscope include:

  • Striations: The alternating light and dark bands that give cardiac muscle its striated appearance.
  • Intercalated Discs: Dark lines that run perpendicular to the striations, indicating the junctions between cardiomyocytes.
  • Nuclei: Central or peripheral locations within the cells, often appearing as dark, oval structures.

Under an electron microscope, additional details become visible, such as:

  • Sarcoplasmic Reticulum: A network of membranes surrounding the myofibrils.
  • Mitochondria: Numerous mitochondria, providing the energy needed for continuous contraction.
  • Gap Junctions: Specialized connections within intercalated discs that allow for electrical communication between cells.

Significance of Cardiac Muscle Microscope Observations

The detailed observation of cardiac muscle tissue under a cardiac muscle microscope has significant implications in medical research and diagnostics. Key areas of importance include:

  • Pathology Identification: Detecting abnormalities such as hypertrophy, fibrosis, or inflammation that may indicate cardiac diseases.
  • Research and Development: Studying the effects of drugs, genetic modifications, or environmental factors on cardiac muscle function.
  • Diagnostic Tools: Developing new diagnostic techniques and biomarkers for early detection of cardiac diseases.

For example, observing the presence of fibrosis in cardiac muscle tissue can indicate conditions such as heart failure or myocardial infarction. Similarly, studying the effects of drugs on cardiomyocytes can lead to the development of new therapies for cardiac diseases.

Common Pathologies Observed Under a Cardiac Muscle Microscope

Several pathologies can be identified through microscopic examination of cardiac muscle tissue. Some of the most common include:

Pathology Microscopic Features Clinical Significance
Hypertrophy Increased size of cardiomyocytes, often with enlarged nuclei. Indicates conditions such as hypertension or aortic stenosis.
Fibrosis Excessive deposition of collagen, appearing as pink or blue areas under staining. Associated with heart failure, myocardial infarction, and other cardiac diseases.
Inflammation Infiltration of inflammatory cells, such as lymphocytes and macrophages. May indicate myocarditis or other inflammatory conditions.
Necrosis Dead or dying cardiomyocytes, often with fragmented nuclei and eosinophilic cytoplasm. Indicates acute myocardial infarction or other forms of tissue damage.

These pathologies can provide valuable insights into the underlying mechanisms of cardiac diseases and guide treatment strategies.

🔍 Note: Accurate identification of pathologies requires expertise in histopathology and familiarity with the microscopic features of cardiac muscle tissue.

Advanced Techniques in Cardiac Muscle Microscopy

In addition to traditional light and electron microscopy, advanced techniques offer even more detailed insights into cardiac muscle tissue. Some of these techniques include:

  • Immunohistochemistry: Uses antibodies to detect specific proteins within the tissue, providing information about cellular function and pathology.
  • Confocal Microscopy: Allows for high-resolution imaging of thick tissue sections, enabling three-dimensional reconstruction of cellular structures.
  • Transmission Electron Microscopy (TEM): Provides ultra-high magnification and resolution, revealing the ultrastructure of cardiomyocytes.

These advanced techniques enhance the ability to study cardiac muscle tissue at a molecular and cellular level, offering deeper insights into its structure and function.

For example, immunohistochemistry can be used to detect the presence of specific proteins involved in cardiac contraction, such as troponin or myosin. Confocal microscopy can provide detailed images of the sarcoplasmic reticulum and other cellular organelles, while TEM can reveal the fine structure of mitochondria and other subcellular components.

Future Directions in Cardiac Muscle Microscopy

The field of cardiac muscle microscopy continues to evolve, driven by advancements in technology and our understanding of cardiac physiology. Future directions include:

  • High-Resolution Imaging: Developing new techniques for high-resolution imaging of cardiac muscle tissue, allowing for even more detailed observations.
  • Multimodal Imaging: Combining different imaging modalities to provide a comprehensive view of cardiac muscle structure and function.
  • Artificial Intelligence: Using AI to analyze microscopic images, identifying patterns and abnormalities that may not be visible to the human eye.

These advancements hold the potential to revolutionize our understanding of cardiac muscle tissue and improve the diagnosis and treatment of cardiac diseases.

For instance, high-resolution imaging techniques such as super-resolution microscopy can provide unprecedented detail of cardiac muscle structure, while multimodal imaging can combine the strengths of different techniques to offer a more complete picture. AI-driven image analysis can automate the detection of pathologies, making the process faster and more accurate.

In conclusion, the cardiac muscle microscope is an indispensable tool in the study of cardiac muscle tissue, offering valuable insights into its structure, function, and pathologies. From traditional light microscopy to advanced techniques like immunohistochemistry and confocal microscopy, the field continues to evolve, driven by technological advancements and our growing understanding of cardiac physiology. These observations not only enhance our knowledge of the heart but also pave the way for improved diagnostics and treatments, ultimately benefiting patients with cardiac diseases. The ongoing research and development in this area promise to unlock even more secrets of the heart, leading to better health outcomes and a deeper appreciation of this vital organ.

Related Terms:

  • microscopic anatomy of cardiac muscle
  • cardiac muscle tissue microscope
  • microscopic image of cardiac muscle
  • cardiac muscle microscope labeled
  • cardiac muscle under microscope 400x
  • microscopic view of cardiac muscle