Calculate Bladder Volume

Calculate Bladder Volume

Understanding how to calculate bladder volume is crucial for various medical and research purposes. Whether you are a healthcare professional, a researcher, or someone interested in urology, knowing the methods and formulas to determine bladder volume can provide valuable insights into urinary health and function. This blog post will guide you through the different techniques and considerations for accurately calculating bladder volume.

Understanding Bladder Volume

Bladder volume refers to the amount of urine that the bladder can hold at any given time. This measurement is essential for diagnosing and managing various urinary conditions, such as urinary incontinence, overactive bladder, and bladder outlet obstruction. Accurate bladder volume calculations help healthcare providers tailor treatment plans and monitor patient progress effectively.

Methods to Calculate Bladder Volume

There are several methods to calculate bladder volume, each with its own advantages and limitations. The choice of method depends on the clinical context, available resources, and the patient’s condition.

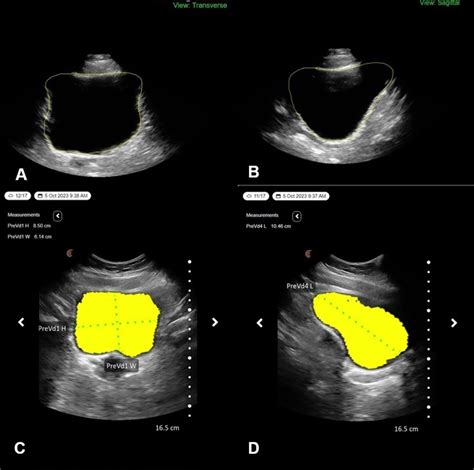
Ultrasound Imaging

Ultrasound imaging is one of the most commonly used methods to calculate bladder volume. This non-invasive technique uses sound waves to create images of the bladder, allowing healthcare providers to measure its dimensions accurately. The formula commonly used to estimate bladder volume from ultrasound measurements is:

📝 Note: The formula assumes the bladder is roughly ellipsoid in shape.

Volume = (Length × Width × Height) × 0.52

Here’s a step-by-step guide to using ultrasound imaging to calculate bladder volume:

  • Position the patient in a supine or semi-recumbent position.
  • Apply ultrasound gel to the lower abdomen.
  • Use a transabdominal ultrasound probe to visualize the bladder.
  • Measure the length, width, and height of the bladder in centimeters.
  • Apply the formula to calculate the bladder volume.

Catheterization

Catheterization is another method to calculate bladder volume, although it is more invasive than ultrasound imaging. This procedure involves inserting a catheter into the bladder to drain the urine and measure the volume directly. While catheterization provides an accurate measurement, it carries a risk of infection and discomfort for the patient.

Here are the steps for catheterizing a patient to calculate bladder volume:

  • Prepare the patient by explaining the procedure and ensuring they are comfortable.
  • Clean the urethral area with an antiseptic solution.
  • Insert the catheter into the urethra and advance it into the bladder.
  • Allow the urine to drain into a collection bag or graduated container.
  • Measure the volume of urine collected.

Bladder Scanning Devices

Bladder scanning devices are portable, non-invasive tools designed to calculate bladder volume quickly and easily. These devices use ultrasound technology to estimate bladder volume without the need for a full ultrasound machine. They are particularly useful in clinical settings where rapid assessments are required.

Here’s how to use a bladder scanning device to calculate bladder volume:

  • Position the patient comfortably.
  • Apply ultrasound gel to the lower abdomen.
  • Place the scanning probe on the gel-covered area.
  • Activate the device to capture the bladder image.
  • Read the volume measurement displayed on the device.

Considerations for Accurate Bladder Volume Measurement

Accurately calculating bladder volume requires attention to several factors to ensure reliable results. Here are some key considerations:

  • Patient Position: The patient’s position can affect bladder measurements. Ensure the patient is in a consistent position for accurate comparisons.
  • Bladder Emptying: Measure bladder volume when the bladder is full to get a true representation of its capacity.
  • Equipment Calibration: Regularly calibrate ultrasound and bladder scanning devices to maintain accuracy.
  • Operator Skill: The skill and experience of the healthcare provider performing the measurement can impact the results. Proper training is essential.

Clinical Applications of Bladder Volume Measurement

Accurately calculating bladder volume has numerous clinical applications, including:

  • Diagnosis of Urinary Conditions: Helps in diagnosing conditions such as urinary retention, overactive bladder, and bladder outlet obstruction.
  • Treatment Monitoring: Monitors the effectiveness of treatments for urinary conditions.
  • Research: Provides data for research studies on urinary health and function.
  • Patient Education: Educates patients about their bladder health and the importance of regular monitoring.

Common Challenges in Bladder Volume Measurement

Despite the availability of various methods to calculate bladder volume, several challenges can arise. Understanding these challenges can help healthcare providers overcome them and obtain accurate measurements.

  • Patient Comfort: Some patients may find certain methods, such as catheterization, uncomfortable or painful.
  • Equipment Limitations: Older or poorly maintained equipment may provide inaccurate measurements.
  • Operator Error: Inconsistent techniques or lack of training can lead to variability in results.
  • Patient Variability: Individual differences in bladder shape and size can affect measurement accuracy.

Future Directions in Bladder Volume Measurement

Advances in technology and medical research continue to improve methods for calculating bladder volume. Future developments may include:

  • Enhanced Imaging Techniques: More advanced imaging technologies that provide even more accurate and detailed measurements.
  • Non-Invasive Methods: Further development of non-invasive methods to reduce patient discomfort and risk of infection.
  • Artificial Intelligence: Use of AI to analyze bladder images and provide automated volume calculations.
  • Portable Devices: More portable and user-friendly devices for quick and convenient bladder volume measurements.

In summary, accurately calculating bladder volume is essential for diagnosing and managing various urinary conditions. Whether using ultrasound imaging, catheterization, or bladder scanning devices, healthcare providers must consider several factors to ensure reliable results. Future advancements in technology and medical research promise to enhance the accuracy and convenience of bladder volume measurements, benefiting both patients and healthcare providers alike.

Related Terms:

  • bladder volume us calculator
  • formula for bladder volume
  • how to calculate bladder size
  • volume calculator for bladder
  • calculate normal bladder volume
  • calculating bladder volume on ultrasound