Bucket Handle Injury

Bucket Handle Injury

Understanding and managing a Bucket Handle Injury is crucial for athletes and individuals involved in physical activities. This type of injury, often seen in sports like soccer, basketball, and football, occurs when the meniscus in the knee is torn in a specific pattern, resembling a bucket handle. This blog post will delve into the causes, symptoms, diagnosis, treatment, and prevention of a Bucket Handle Injury, providing a comprehensive guide for those affected.

What is a Bucket Handle Injury?

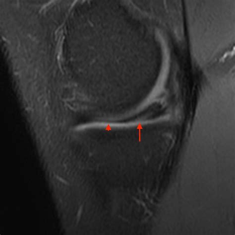
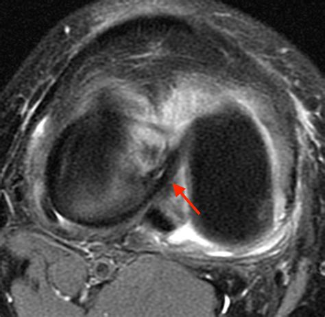
A Bucket Handle Injury is a specific type of meniscal tear that occurs in the knee. The meniscus is a C-shaped piece of cartilage that acts as a shock absorber between the thighbone (femur) and the shinbone (tibia). When a tear occurs in a way that the inner portion of the meniscus flips up into the joint, it is called a bucket handle tear because it resembles the handle of a bucket.

Causes of a Bucket Handle Injury

The primary causes of a Bucket Handle Injury include:

  • Traumatic Impact: Sudden twisting or pivoting movements, often combined with a direct impact to the knee, can cause this type of tear.
  • Degenerative Changes: Over time, the meniscus can weaken due to age or wear and tear, making it more susceptible to tears.
  • Sports Activities: High-impact sports that involve sudden changes in direction, such as soccer, basketball, and football, are common culprits.

Symptoms of a Bucket Handle Injury

Recognizing the symptoms of a Bucket Handle Injury is the first step toward seeking appropriate treatment. Common symptoms include:

  • Pain: Often sudden and severe, especially during physical activity.
  • Swelling: Rapid swelling in the knee joint, usually within the first 24 hours.
  • Stiffness: Difficulty bending or straightening the knee.
  • Locking or Catching: The knee may feel like it is locking or catching, making it difficult to move.
  • Instability: A feeling of the knee giving way or being unstable.

Diagnosis of a Bucket Handle Injury

Diagnosing a Bucket Handle Injury involves a combination of physical examination and imaging tests. Here’s what to expect:

  • Physical Examination: A healthcare provider will assess the knee for swelling, tenderness, and range of motion. They may also perform specific tests to check for meniscal tears.
  • Imaging Tests:
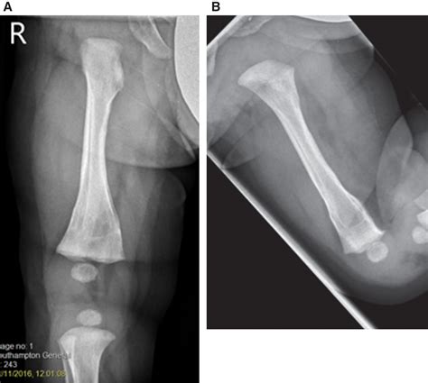
    • X-rays: To rule out fractures or other bone issues.
    • MRI (Magnetic Resonance Imaging): To provide detailed images of the soft tissues, including the meniscus, to confirm the diagnosis.

Treatment Options for a Bucket Handle Injury

The treatment for a Bucket Handle Injury depends on the severity of the tear and the individual’s overall health and activity level. Options include:

  • Non-Surgical Treatment:
    • RICE Method: Rest, Ice, Compression, and Elevation to reduce pain and swelling.
    • Pain Medication: Over-the-counter pain relievers such as ibuprofen or naproxen.
    • Physical Therapy: Exercises to strengthen the muscles around the knee and improve flexibility.
  • Surgical Treatment:
    • Arthroscopy: A minimally invasive procedure where a small camera and surgical tools are inserted into the knee joint to repair or remove the torn meniscus.
    • Meniscus Repair: Suturing the torn meniscus back together, often done in younger patients with a healthy meniscus.
    • Meniscectomy: Partial or complete removal of the torn meniscus, typically done in older patients or those with degenerative tears.

Recovery and Rehabilitation

Recovery from a Bucket Handle Injury can vary depending on the treatment chosen. Here’s what to expect during the rehabilitation process:

  • Immediate Post-Operative Care: Focuses on managing pain and swelling, often involving the RICE method and pain medication.
  • Physical Therapy: Begins soon after surgery or injury, focusing on:
    • Range of Motion Exercises: To restore full movement of the knee.
    • Strengthening Exercises: To build muscle strength around the knee.
    • Balance and Proprioception Training: To improve stability and coordination.
  • Gradual Return to Activity: As strength and mobility improve, individuals can gradually return to their normal activities, including sports, under the guidance of a physical therapist.

📝 Note: The recovery timeline can vary significantly based on the severity of the injury and the individual's overall health. It is essential to follow the advice of healthcare providers and physical therapists for the best outcomes.

Prevention of a Bucket Handle Injury

While not all Bucket Handle Injuries can be prevented, there are several strategies to reduce the risk:

  • Proper Warm-Up and Cool-Down: Always warm up before physical activity and cool down afterward to prepare the muscles and joints.
  • Strength Training: Focus on strengthening the muscles around the knee, including the quadriceps, hamstrings, and calves.
  • Flexibility Exercises: Incorporate stretching exercises to improve flexibility and range of motion.
  • Proper Technique: Use correct techniques during sports and physical activities to minimize the risk of injury.
  • Appropriate Footwear: Wear shoes that provide good support and cushioning.

Common Myths About Bucket Handle Injuries

There are several myths surrounding Bucket Handle Injuries that can lead to misconceptions about treatment and recovery. Let’s address some of the most common ones:

  • Myth: Surgery is Always Necessary: While surgery is often recommended for severe tears, many Bucket Handle Injuries can be managed with non-surgical treatments, especially in older adults or those with degenerative tears.
  • Myth: You Can’t Return to Sports: With proper rehabilitation, many athletes can return to their sports after a Bucket Handle Injury. The timeline and intensity of return to sports will depend on the individual’s progress and the advice of healthcare providers.
  • Myth: It’s Always a Sports Injury: While common in sports, Bucket Handle Injuries can also occur from everyday activities, especially in older adults with degenerative changes in the knee.

Long-Term Management

Long-term management of a Bucket Handle Injury involves ongoing care and maintenance to prevent future issues. Key strategies include:

  • Regular Exercise: Continue with a regular exercise routine that includes strength training and flexibility exercises.
  • Weight Management: Maintain a healthy weight to reduce stress on the knee joint.
  • Regular Check-Ups: Schedule regular check-ups with a healthcare provider to monitor the knee’s condition and address any concerns early.
  • Activity Modification: Modify activities that put excessive stress on the knee, such as high-impact sports, and opt for low-impact alternatives like swimming or cycling.

In summary, a Bucket Handle Injury is a specific type of meniscal tear that requires prompt diagnosis and appropriate treatment. Understanding the causes, symptoms, and treatment options can help individuals manage this injury effectively. With proper care and rehabilitation, many people can return to their normal activities and maintain long-term knee health.

Related Terms:

  • bucket handle injury definition
  • bucket handle fracture
  • bucket handle injury icd
  • bucket handle tear
  • bucket handle injury mesenteric
  • bowel bucket handle injury