Broken Vs Bruised Tailbone

Broken Vs Bruised Tailbone

Understanding the difference between a broken vs bruised tailbone can be crucial for proper treatment and recovery. The tailbone, or coccyx, is a small, triangular bone at the base of the spine. Injuries to this area can range from minor bruises to more severe fractures, each requiring different approaches to healing.

Understanding the Tailbone

The tailbone is a small, triangular bone located at the base of the spine. It consists of three to five fused vertebrae and plays a role in supporting the pelvic floor muscles and providing attachment points for various ligaments and muscles. Despite its small size, the tailbone is essential for maintaining stability and balance during activities like sitting, standing, and walking.

Causes of Tailbone Injuries

Tailbone injuries can occur due to various reasons, including:

  • Falls: Falling directly onto the tailbone, such as from a height or during sports activities, is a common cause of tailbone injuries.
  • Childbirth: During childbirth, the tailbone can be injured due to the pressure and strain placed on the pelvic area.
  • Repetitive strain: Activities that involve repetitive strain on the tailbone, such as cycling or rowing, can lead to injuries over time.
  • Trauma: Direct trauma to the tailbone, such as from a car accident or a sports injury, can result in a broken or bruised tailbone.

Broken vs Bruised Tailbone: Symptoms

Distinguishing between a broken vs bruised tailbone can be challenging, as the symptoms often overlap. However, there are some key differences to look out for.

Symptoms of a Bruised Tailbone

A bruised tailbone, also known as a coccygeal contusion, typically results from a direct impact or fall. Symptoms may include:

  • Pain and tenderness in the tailbone area
  • Swelling and bruising
  • Discomfort when sitting or standing for extended periods
  • Pain during bowel movements

Symptoms of a Broken Tailbone

A broken tailbone, or coccyx fracture, can cause more severe symptoms, including:

  • Intense pain in the tailbone area
  • Swelling and bruising
  • Difficulty sitting or standing
  • Pain that radiates to the lower back or legs
  • Numbness or tingling in the affected area

Diagnosing a Broken vs Bruised Tailbone

Diagnosing a broken vs bruised tailbone typically involves a physical examination and imaging tests. A healthcare provider will assess the symptoms and medical history before ordering diagnostic tests.

Physical Examination

During a physical examination, the healthcare provider will:

  • Inspect the tailbone area for signs of swelling, bruising, or deformity
  • Palpate the tailbone to assess tenderness and pain
  • Evaluate the range of motion and flexibility in the affected area

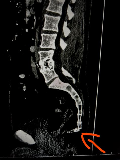
Imaging Tests

Imaging tests can help confirm the diagnosis and determine the extent of the injury. Common imaging tests include:

  • X-rays: X-rays can reveal fractures or dislocations in the tailbone area.
  • CT scans: CT scans provide detailed images of the tailbone and surrounding structures, helping to identify fractures, dislocations, or other abnormalities.
  • MRI scans: MRI scans can detect soft tissue injuries, such as bruises or ligament damage, and provide detailed images of the tailbone and surrounding structures.

Treatment Options for a Broken vs Bruised Tailbone

The treatment for a broken vs bruised tailbone depends on the severity of the injury and the individual’s symptoms. Common treatment options include:

Rest and Ice

Resting the affected area and applying ice can help reduce pain and swelling. It is essential to avoid activities that exacerbate symptoms, such as sitting for extended periods or engaging in high-impact exercises.

Medications

Over-the-counter pain relievers, such as ibuprofen or acetaminophen, can help manage pain and reduce inflammation. In some cases, prescription pain medications or muscle relaxants may be necessary.

Physical Therapy

Physical therapy can help improve range of motion, strength, and flexibility in the affected area. A physical therapist can provide exercises and techniques to promote healing and prevent future injuries.

Surgical Intervention

In severe cases, surgical intervention may be necessary to repair a broken tailbone. Surgery may involve realigning the fractured bone or removing the damaged portion of the tailbone. However, surgery is typically a last resort and is only considered when conservative treatments have failed.

Recovery and Prevention

Recovery from a broken vs bruised tailbone can take several weeks to months, depending on the severity of the injury. It is essential to follow the healthcare provider’s recommendations for rest, activity modification, and rehabilitation to promote healing and prevent complications.

Recovery Tips

To promote recovery and prevent future injuries, consider the following tips:

  • Gradually return to normal activities as symptoms improve
  • Avoid high-impact exercises or activities that exacerbate symptoms
  • Maintain a healthy weight to reduce pressure on the tailbone
  • Use a cushion or pillow when sitting to reduce pressure on the tailbone
  • Practice good posture to maintain proper alignment and reduce strain on the tailbone

Prevention Strategies

To prevent tailbone injuries, consider the following strategies:

  • Wear appropriate protective gear during sports or high-risk activities
  • Use proper lifting techniques to avoid straining the tailbone
  • Maintain a healthy weight to reduce pressure on the tailbone
  • Practice good posture to maintain proper alignment and reduce strain on the tailbone

💡 Note: If you experience persistent or worsening symptoms, it is essential to seek medical attention promptly. Early intervention can help prevent complications and promote a faster recovery.

When dealing with a broken vs bruised tailbone, it is crucial to understand the differences in symptoms, diagnosis, and treatment options. By following the recommended treatment plan and taking preventive measures, individuals can promote healing and prevent future injuries. Proper care and attention to the tailbone can help maintain overall pelvic health and well-being.

Related Terms:

  • signs you broke your tailbone
  • broken tailbone recovery time
  • fractured vs bruised tailbone symptoms
  • bruised or broken tailbone symptoms
  • signs of a fractured tailbone