Broken Collarbone Newborn

Broken Collarbone Newborn

Caring for a newborn is a joyous yet challenging experience, and it becomes even more complex when dealing with a *broken collarbone newborn*. A broken collarbone, also known as a clavicle fracture, is a common injury in newborns, often occurring during the birthing process. Understanding the causes, symptoms, and treatment options is crucial for parents and caregivers to ensure the best possible care for their newborn.

Understanding a Broken Collarbone in Newborns

A broken collarbone in newborns is typically a result of the birthing process. The clavicle is one of the most commonly fractured bones during delivery due to its position and the forces exerted during childbirth. This injury is more likely to occur in larger babies or those delivered via vacuum extraction or forceps. However, it can also happen in natural deliveries.

Symptoms of a Broken Collarbone in Newborns

Identifying a broken collarbone in a newborn can be challenging because infants cannot verbally express their pain. However, there are several signs to look out for:

  • Swelling or a lump over the collarbone area
  • Tenderness or discomfort when the area is touched
  • Limited movement or reluctance to move the affected arm
  • A grating sensation or sound when the arm is moved
  • Deformity or an abnormal shape of the collarbone

If you notice any of these symptoms, it is essential to consult a healthcare provider for a proper diagnosis.

Diagnosing a Broken Collarbone in Newborns

Diagnosing a broken collarbone in a newborn involves a physical examination and imaging tests. The healthcare provider will:

  • Examine the baby's collarbone area for swelling, tenderness, and deformity
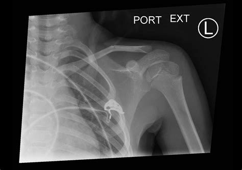
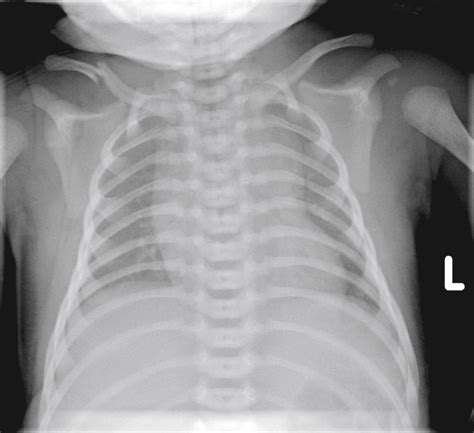
  • Order an X-ray to confirm the fracture and assess its severity

In some cases, additional imaging tests such as an ultrasound or CT scan may be recommended to get a more detailed view of the injury.

Treatment Options for a Broken Collarbone in Newborns

The treatment for a broken collarbone in newborns is generally conservative and focuses on pain management and ensuring proper healing. Here are the common treatment options:

  • Pain management: Over-the-counter pain relievers such as acetaminophen may be prescribed to help manage the baby's discomfort. However, always consult a healthcare provider before administering any medication to a newborn.
  • Immobilization: In some cases, a sling or a special wrap may be used to immobilize the affected arm and prevent further injury. However, this is not always necessary, and the baby's arm may be left free to move as tolerated.
  • Follow-up care: Regular follow-up appointments with the healthcare provider are essential to monitor the healing process and ensure that the fracture is healing correctly.

In most cases, a broken collarbone in a newborn will heal on its own within 2-3 weeks. However, it may take up to 6-8 weeks for the bone to fully heal and regain its strength.

Caring for a Newborn with a Broken Collarbone

Caring for a newborn with a broken collarbone requires patience and gentle handling. Here are some tips to help ensure the baby's comfort and proper healing:

  • Handle the baby gently: Avoid lifting or moving the baby by the affected arm. Instead, support the baby's head and neck when picking them up.
  • Position the baby comfortably: Place the baby on their back or side, ensuring that the affected arm is supported and not hanging down.
  • Encourage gentle movement: While it is essential to immobilize the affected arm initially, encouraging gentle movement as the baby heals can help prevent stiffness and promote healing.
  • Monitor for signs of infection: Keep an eye out for signs of infection, such as increased swelling, redness, warmth, or discharge from the affected area. If you notice any of these signs, contact your healthcare provider immediately.

Preventing a Broken Collarbone in Newborns

While it is not always possible to prevent a broken collarbone in newborns, there are some steps that can be taken to reduce the risk:

  • Choose a healthcare provider with experience in delivering larger babies or those with a history of shoulder dystocia.
  • Consider alternative birthing positions or techniques that may reduce the risk of injury during delivery.
  • Discuss the risks and benefits of vacuum extraction or forceps delivery with your healthcare provider before making a decision.

It is essential to remember that even with the best precautions, a broken collarbone can still occur during childbirth. If it does, prompt diagnosis and treatment can help ensure a full recovery.

📝 Note: Always consult a healthcare provider for medical advice tailored to your specific situation.

Long-Term Effects of a Broken Collarbone in Newborns

In most cases, a broken collarbone in a newborn will heal completely without any long-term effects. However, in rare cases, complications can occur. These may include:

  • Nonunion or malunion: In some cases, the bone may not heal correctly, leading to a nonunion (the bone does not heal at all) or malunion (the bone heals in an abnormal position).
  • Infection: Although rare, an infection can occur at the site of the fracture, leading to further complications.
  • Nerve or blood vessel damage: In severe cases, a broken collarbone can damage nearby nerves or blood vessels, leading to temporary or permanent loss of function.

Regular follow-up appointments with the healthcare provider can help monitor the healing process and detect any potential complications early.

When to Seek Medical Attention

If you suspect that your newborn has a broken collarbone, it is essential to seek medical attention promptly. Contact your healthcare provider if you notice any of the following symptoms:

  • Swelling or a lump over the collarbone area
  • Tenderness or discomfort when the area is touched
  • Limited movement or reluctance to move the affected arm
  • A grating sensation or sound when the arm is moved
  • Deformity or an abnormal shape of the collarbone

Prompt diagnosis and treatment can help ensure a full recovery and prevent potential complications.

Support and Resources for Parents

Caring for a newborn with a broken collarbone can be challenging, but there are resources available to support parents and caregivers. Here are some tips and resources to help you navigate this experience:

  • Join a support group: Connecting with other parents who have gone through a similar experience can provide emotional support and practical advice.
  • Educate yourself: Learning about broken collarbones in newborns can help you understand the healing process and what to expect.
  • Seek professional help: If you are feeling overwhelmed or struggling to cope, do not hesitate to seek help from a mental health professional.

Remember, you are not alone in this journey, and there are resources available to support you every step of the way.

Caring for a newborn with a broken collarbone requires patience, gentle handling, and regular follow-up with a healthcare provider. By understanding the causes, symptoms, and treatment options, parents and caregivers can ensure the best possible care for their newborn. With proper care and attention, most newborns with a broken collarbone will make a full recovery and go on to lead healthy, active lives.

Related Terms:

  • baby born with broken collarbone
  • newborn broken clavicle during birth
  • newborn fractured clavicle treatment
  • fractured clavicle newborn healing time
  • clavicular fracture during birth
  • baby born with broken clavicle