Bottle Feeding Cavities

Bottle Feeding Cavities

Bottle feeding is a common practice among parents and caregivers, providing a convenient and reliable way to ensure infants receive the necessary nutrition. However, it is essential to understand the potential risks associated with bottle feeding, particularly the development of bottle feeding cavities. This condition, also known as baby bottle tooth decay, can significantly impact a child's oral health if not properly managed.

Understanding Bottle Feeding Cavities

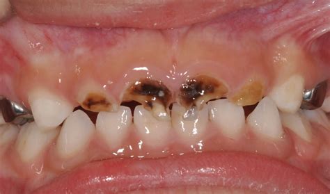
Bottle feeding cavities occur when a baby's teeth are frequently exposed to sugary liquids, such as formula, milk, or juice, over extended periods. The sugars in these liquids interact with bacteria in the mouth, producing acids that erode the tooth enamel. This process can lead to cavities, especially in the upper front teeth, which are often the first to be affected.

Causes of Bottle Feeding Cavities

The primary cause of bottle feeding cavities is prolonged exposure to sugary liquids. Several factors contribute to this issue:

  • Frequent Bottle Use: Babies who are given bottles frequently throughout the day are at a higher risk.
  • Nighttime Bottles: Allowing a baby to sleep with a bottle can be particularly harmful, as the liquid pools around the teeth for extended periods.
  • Sugary Liquids: Formula, milk, and juice all contain sugars that can contribute to tooth decay.
  • Poor Oral Hygiene: Inadequate cleaning of the baby's teeth and gums can exacerbate the problem.

Preventing Bottle Feeding Cavities

Preventing bottle feeding cavities involves a combination of good oral hygiene practices and mindful feeding habits. Here are some strategies to help protect your baby's teeth:

Limit Bottle Use

Try to limit the use of bottles to mealtimes and avoid giving your baby a bottle to suck on throughout the day. If your baby needs comfort, consider offering a pacifier instead of a bottle.

Avoid Nighttime Bottles

It is best to avoid giving your baby a bottle at bedtime or during naps. If your baby needs a bottle to fall asleep, try to wean them off this habit gradually. If you must give a bottle at night, fill it with water instead of milk or formula.

Clean Teeth and Gums

Even before teeth appear, it is important to clean your baby's gums with a soft, damp cloth after feedings. Once teeth start to emerge, use a soft-bristled toothbrush designed for infants to gently brush their teeth at least twice a day. Avoid using toothpaste until your baby is at least 18 months old, and then use a small amount of fluoride-free toothpaste.

Encourage Self-Feeding

As your baby grows, encourage them to hold their own bottle and eventually transition to a cup. This can help reduce the risk of bottle feeding cavities by giving your baby more control over their feeding habits.

Regular Dental Check-ups

Schedule your baby's first dental visit by their first birthday or within six months of the first tooth eruption. Regular dental check-ups can help detect and address any issues early, preventing more serious problems down the line.

Recognizing the Signs of Bottle Feeding Cavities

Early detection of bottle feeding cavities is crucial for effective treatment. Look out for the following signs:

  • White Spots on Teeth: These can indicate the early stages of tooth decay.
  • Brown or Black Spots: These are signs of more advanced decay.
  • Sensitivity: If your baby seems sensitive to hot or cold foods, it could be a sign of tooth decay.
  • Pain or Discomfort: Babies with tooth decay may experience pain or discomfort, especially when eating or drinking.

🔍 Note: If you notice any of these signs, consult your pediatric dentist immediately for a proper evaluation and treatment plan.

Treatment Options for Bottle Feeding Cavities

If your baby develops bottle feeding cavities, prompt treatment is essential to prevent further damage. Treatment options may include:

  • Fluoride Treatments: These can help strengthen the tooth enamel and prevent further decay.
  • Dental Fillings: For more advanced decay, your dentist may recommend fillings to restore the affected teeth.
  • Crowns: In severe cases, crowns may be necessary to protect and restore the damaged teeth.
  • Extraction: If a tooth is severely decayed and cannot be saved, it may need to be extracted.

Long-Term Effects of Bottle Feeding Cavities

Untreated bottle feeding cavities can have long-term effects on your child's oral health. These may include:

  • Chronic Pain and Discomfort: Decayed teeth can cause ongoing pain and discomfort, affecting your child's quality of life.
  • Infection: Severe decay can lead to infections that may spread to other parts of the body.
  • Malnutrition: Pain and discomfort from decayed teeth can make it difficult for your child to eat, leading to malnutrition.
  • Speech and Developmental Issues: Missing or damaged teeth can affect your child's speech and overall development.

Promoting Good Oral Hygiene Habits

Establishing good oral hygiene habits early in life can help prevent bottle feeding cavities and promote overall oral health. Here are some tips to promote good oral hygiene:

  • Brush Regularly: Encourage your child to brush their teeth at least twice a day with a fluoride toothpaste.
  • Floss Daily: Teach your child to floss daily to remove plaque and food particles between teeth.
  • Limit Sugary Foods and Drinks: Reduce your child's intake of sugary foods and drinks to minimize the risk of tooth decay.
  • Regular Dental Visits: Schedule regular dental check-ups to monitor your child's oral health and address any issues promptly.

By following these guidelines and maintaining good oral hygiene practices, you can help prevent bottle feeding cavities and ensure your child's teeth remain healthy and strong.

In conclusion, bottle feeding cavities are a preventable condition that can significantly impact a child’s oral health. By understanding the causes, recognizing the signs, and taking proactive measures, parents and caregivers can protect their babies’ teeth and promote lifelong oral health. Regular dental check-ups, good oral hygiene practices, and mindful feeding habits are key to preventing bottle feeding cavities and ensuring a healthy smile for your child.

Related Terms:

  • bottle caries pictures
  • dental caries from bottle
  • baby bottle tooth decay stages
  • nursing bottle tooth decay
  • baby bottle caries images
  • baby bottle tooth decay pictures