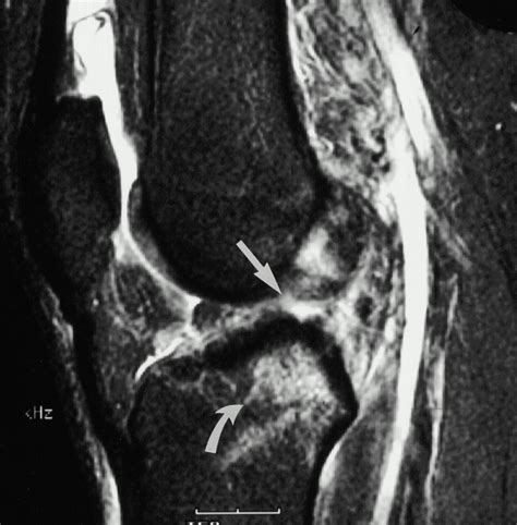
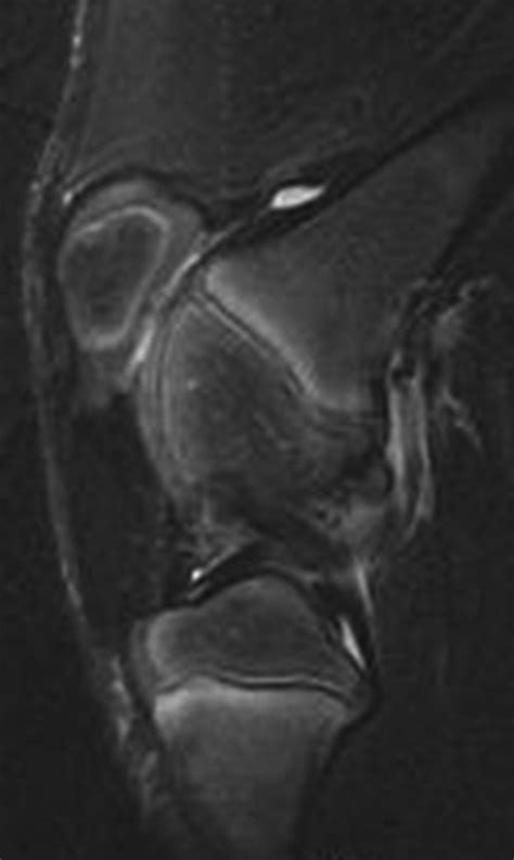
Bone Contusion Knee

Bone Contusion Knee

Knee injuries are a common occurrence in both athletic and everyday settings, and one of the less understood but significant issues is a bone contusion knee. This condition, often resulting from trauma or overuse, can cause considerable discomfort and limit mobility. Understanding the causes, symptoms, diagnosis, and treatment options for a bone contusion knee is crucial for effective management and recovery.

Understanding Bone Contusion Knee

A bone contusion knee refers to a bruise on the bone, typically caused by a direct impact or repetitive stress. This injury can occur in various situations, such as sports accidents, falls, or even from activities like running or jumping. The knee is particularly vulnerable due to its complex structure, which includes bones, ligaments, tendons, and cartilage.

Causes of Bone Contusion Knee

The primary causes of a bone contusion knee include:

  • Direct Impact: A direct blow to the knee, such as from a fall or a collision during sports, can cause a bone contusion.
  • Repetitive Stress: Activities that involve repetitive impact on the knee, like running or jumping, can lead to bone contusions over time.
  • Overuse Injuries: Prolonged or intense physical activities without adequate rest can result in bone contusions.

Symptoms of Bone Contusion Knee

Recognizing the symptoms of a bone contusion knee is essential for early intervention. Common symptoms include:

  • Pain: Persistent pain in the knee, which may worsen with movement or pressure.
  • Swelling: Inflammation and swelling around the affected area.
  • Bruising: Visible bruising on the skin over the knee.
  • Limited Mobility: Difficulty in bending or straightening the knee.
  • Tenderness: Sensitivity to touch or pressure on the affected area.

Diagnosing Bone Contusion Knee

Diagnosing a bone contusion knee involves a combination of physical examination and imaging tests. The diagnostic process typically includes:

  • Physical Examination: A healthcare provider will assess the knee for swelling, tenderness, and range of motion.
  • Imaging Tests: X-rays, MRI, or CT scans may be used to visualize the bone and surrounding tissues. MRI is particularly useful for detecting bone contusions.

Treatment Options for Bone Contusion Knee

The treatment for a bone contusion knee depends on the severity of the injury and the individual's overall health. Common treatment options include:

  • Rest: Avoiding activities that exacerbate the pain and allowing the knee to heal.
  • Ice: Applying ice packs to reduce swelling and numb the pain.
  • Compression: Using compression bandages or wraps to control swelling.
  • Elevation: Keeping the knee elevated to reduce swelling.
  • Medication: Over-the-counter pain relievers like ibuprofen or acetaminophen to manage pain and inflammation.
  • Physical Therapy: Exercises to improve strength, flexibility, and range of motion.
  • Surgery: In severe cases, surgical intervention may be necessary to repair damaged tissues.

Preventing Bone Contusion Knee

Preventing a bone contusion knee involves taking proactive measures to protect the knee from injury. Some effective prevention strategies include:

  • Warm-Up and Cool-Down: Proper warm-up before physical activities and cool-down afterward to prepare and recover the muscles.
  • Proper Technique: Using correct techniques during sports and exercises to minimize the risk of injury.
  • Strength Training: Building strength in the muscles around the knee to provide better support.
  • Protective Gear: Wearing appropriate protective gear, such as knee pads, during high-risk activities.
  • Gradual Increase in Activity: Gradually increasing the intensity and duration of physical activities to allow the body to adapt.

Recovery and Rehabilitation

Recovery from a bone contusion knee can vary depending on the severity of the injury. A structured rehabilitation program is essential for a full recovery. Key components of rehabilitation include:

  • Pain Management: Using medication and other pain management techniques to control discomfort.
  • Range of Motion Exercises: Gentle exercises to improve the knee's range of motion.
  • Strengthening Exercises: Exercises to strengthen the muscles around the knee.
  • Balance and Proprioception Training: Exercises to improve balance and proprioception, which are crucial for knee stability.
  • Gradual Return to Activity: Gradually increasing physical activities as the knee heals.

📝 Note: It is important to follow the advice of a healthcare provider or physical therapist during the rehabilitation process to ensure a safe and effective recovery.

Common Complications

While most bone contusion knee injuries heal without complications, some individuals may experience issues that require additional treatment. Common complications include:

  • Chronic Pain: Persistent pain that does not resolve with standard treatment.
  • Recurrent Injuries: Repeated bone contusions due to inadequate healing or continued stress on the knee.
  • Arthritis: Long-term damage to the knee joint, leading to arthritis.
  • Infection: Rarely, an infection may occur if the injury is severe or if surgery is required.

When to Seek Medical Attention

It is important to seek medical attention if you experience any of the following symptoms after a knee injury:

  • Severe pain that does not improve with rest and ice.
  • Significant swelling or bruising.
  • Inability to bear weight on the affected leg.
  • Deformity or instability of the knee.
  • Fever or signs of infection.

Early intervention can prevent complications and promote faster healing.

Long-Term Management

For individuals who experience recurrent bone contusion knee injuries, long-term management strategies are essential. These may include:

  • Regular Check-Ups: Regular visits to a healthcare provider to monitor the knee's condition.
  • Ongoing Physical Therapy: Continued physical therapy to maintain strength and flexibility.
  • Lifestyle Modifications: Adjusting activities to avoid excessive stress on the knee.
  • Protective Measures: Using protective gear during high-risk activities.

Long-term management aims to prevent future injuries and maintain knee health.

Bone Contusion Knee in Athletes

Athletes are particularly susceptible to bone contusion knee injuries due to the high-impact nature of many sports. Effective management and prevention strategies are crucial for athletes to continue their training and competition. Key considerations for athletes include:

  • Pre-Season Conditioning: Comprehensive conditioning programs to prepare the body for the demands of the sport.
  • Proper Equipment: Using appropriate protective gear and equipment.
  • Injury Prevention Programs: Participating in injury prevention programs designed for the specific sport.
  • Early Intervention: Seeking medical attention at the first sign of injury to prevent complications.

Athletes should work closely with their coaches, trainers, and healthcare providers to develop a personalized plan for injury prevention and management.

Bone Contusion Knee in Older Adults

Older adults are also at risk for bone contusion knee injuries, often due to falls or age-related changes in bone density. Special considerations for older adults include:

  • Fall Prevention: Implementing fall prevention strategies, such as removing tripping hazards and using assistive devices.
  • Bone Health: Maintaining bone health through adequate calcium and vitamin D intake, and regular weight-bearing exercises.
  • Regular Check-Ups: Regular medical check-ups to monitor bone health and overall fitness.
  • Physical Therapy: Engaging in physical therapy to improve strength, balance, and mobility.

Older adults should consult with their healthcare providers to develop a comprehensive plan for preventing and managing bone contusion knee injuries.

Bone Contusion Knee in Children

Children are also susceptible to bone contusion knee injuries, often due to their active lifestyles and developing bones. Key considerations for children include:

  • Supervision: Ensuring adequate supervision during physical activities to prevent injuries.
  • Proper Equipment: Using age-appropriate protective gear and equipment.
  • Gradual Increase in Activity: Gradually increasing the intensity and duration of physical activities to allow the body to adapt.
  • Education: Teaching children about injury prevention and the importance of seeking medical attention if injured.

Parents and caregivers should work closely with healthcare providers to ensure children receive appropriate care and prevention strategies.

Bone Contusion Knee and Osteoarthritis

Individuals with a history of bone contusion knee injuries may be at increased risk for developing osteoarthritis. Osteoarthritis is a degenerative joint disease that can cause chronic pain and disability. Key points to consider include:

  • Early Intervention: Seeking early intervention for knee injuries to prevent long-term damage.
  • Weight Management: Maintaining a healthy weight to reduce stress on the knee joint.
  • Regular Exercise: Engaging in regular, low-impact exercises to maintain joint health.
  • Pain Management: Using appropriate pain management techniques to control symptoms.

Individuals with a history of bone contusion knee injuries should work closely with their healthcare providers to develop a comprehensive plan for managing osteoarthritis risk.

Bone Contusion Knee and Other Knee Injuries

A bone contusion knee can occur in conjunction with other knee injuries, such as ligament tears or meniscal injuries. It is important to address all aspects of the injury for effective management. Common co-occurring injuries include:

  • Ligament Tears: Injuries to the ligaments that stabilize the knee, such as the anterior cruciate ligament (ACL) or medial collateral ligament (MCL).
  • Meniscal Injuries: Tears or damage to the menisci, which act as shock absorbers in the knee joint.
  • Patellar Dislocation: Dislocation of the patella (kneecap) from its normal position.
  • Fractures: Breaks in the bones of the knee, such as the patella, femur, or tibia.

A comprehensive evaluation by a healthcare provider is essential to identify and treat all aspects of the injury.

Bone Contusion Knee and Rehabilitation Exercises

Rehabilitation exercises play a crucial role in the recovery from a bone contusion knee. These exercises help to improve strength, flexibility, and range of motion. Some common rehabilitation exercises include:

Exercise Description Benefits
Quad Sets Lie on your back with your leg straight. Tighten the muscles on the front of your thigh and press the back of your knee down into the floor. Hold for 5-10 seconds and release. Strengthens the quadriceps muscles.
Straight Leg Raises Lie on your back with one leg straight and the other bent. Tighten the muscles on the front of your thigh and lift the straight leg about 12 inches off the floor. Hold for 5-10 seconds and lower. Strengthens the quadriceps and hip flexors.
Hamstring Curls Lie on your stomach with your legs straight. Bend one knee and bring your heel toward your buttocks. Hold for 5-10 seconds and lower. Strengthens the hamstring muscles.
Calf Raises Stand on the edge of a step with your heels hanging off. Slowly lower your heels down, then push up onto your toes. Hold for 5-10 seconds and lower. Strengthens the calf muscles.
Heel Slides Lie on your back with your legs straight. Bend one knee and slide your heel toward your buttocks. Hold for 5-10 seconds and slide back. Improves knee flexion and hamstring flexibility.

These exercises should be performed under the guidance of a healthcare provider or physical therapist to ensure proper technique and avoid further injury.

📝 Note: It is important to start with gentle exercises and gradually increase the intensity as your knee heals.

In conclusion, a bone contusion knee is a common but often misunderstood injury that can significantly impact mobility and quality of life. Understanding the causes, symptoms, diagnosis, and treatment options is crucial for effective management and recovery. By taking proactive measures to prevent injuries and following a structured rehabilitation program, individuals can minimize the risk of complications and achieve a full recovery. Whether you are an athlete, an older adult, or a child, addressing a bone contusion knee promptly and comprehensively is essential for long-term knee health.

Related Terms:

  • knee contusion recovery time
  • knee bone contusion icd 10
  • knee bone contusion treatment
  • knee contusion not healing
  • knee bone bruise