Blood Test Nucleated Rbc

Blood Test Nucleated Rbc

Understanding the significance of a blood test nucleated RBC count is crucial for diagnosing and managing various health conditions. Nucleated red blood cells (nRBCs) are immature red blood cells that typically do not circulate in the bloodstream of healthy adults. Their presence in a blood test can indicate underlying issues that require medical attention.

What are Nucleated Red Blood Cells?

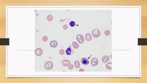
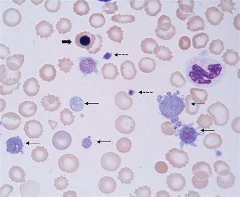
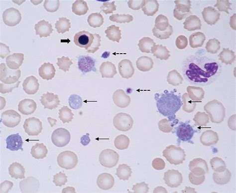
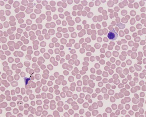
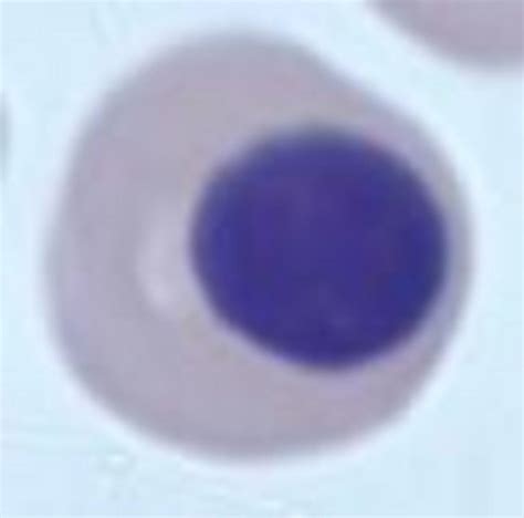
Nucleated red blood cells, or nRBCs, are red blood cells that still contain a nucleus. In normal conditions, red blood cells lose their nucleus as they mature and enter the bloodstream. However, in certain pathological conditions, these immature cells can be released into the circulation prematurely.

Why is a Blood Test Nucleated RBC Count Important?

A blood test nucleated RBC count is important for several reasons:

  • Diagnostic Tool: It serves as a diagnostic tool for various hematological disorders, including anemia, bone marrow disorders, and certain types of cancer.
  • Monitoring Treatment: It helps monitor the effectiveness of treatments for conditions that affect red blood cell production.
  • Early Detection: Early detection of abnormal nRBC counts can lead to timely intervention and better patient outcomes.

Conditions Associated with Elevated Nucleated RBC Counts

Several conditions can lead to an elevated nucleated RBC count. Some of the most common include:

  • Anemia: Certain types of anemia, such as hemolytic anemia, can cause an increase in nRBCs as the body tries to compensate for the loss of red blood cells.
  • Bone Marrow Disorders: Conditions like myelofibrosis and aplastic anemia can affect the production of red blood cells, leading to an increase in nRBCs.
  • Infections: Severe infections can stimulate the bone marrow to produce more red blood cells, including nRBCs.
  • Cancer: Certain types of cancer, such as leukemia, can cause an abnormal increase in nRBCs.

Interpreting Blood Test Nucleated RBC Results

Interpreting the results of a blood test nucleated RBC count requires a thorough understanding of the reference ranges and the clinical context. Here are some key points to consider:

  • Reference Range: The normal range for nucleated RBCs in adults is typically less than 0.005% of the total red blood cell count. However, this can vary slightly depending on the laboratory and the method used.
  • Clinical Context: The clinical context is crucial for interpreting nRBC counts. For example, a slightly elevated nRBC count in a patient with anemia may be more significant than the same count in a healthy individual.
  • Other Blood Tests: Nucleated RBC counts should be interpreted in conjunction with other blood tests, such as complete blood count (CBC), reticulocyte count, and peripheral blood smear.

Diagnostic Workup for Elevated Nucleated RBC Counts

If a blood test reveals an elevated nucleated RBC count, further diagnostic workup is often necessary to determine the underlying cause. This may include:

  • Complete Blood Count (CBC): A CBC provides a comprehensive overview of the blood cell counts and can help identify other abnormalities.
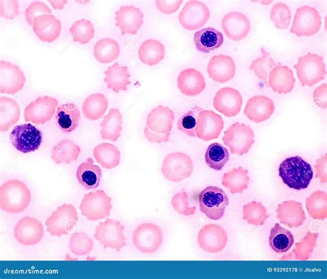
  • Peripheral Blood Smear: A peripheral blood smear allows for the microscopic examination of blood cells and can help identify the presence of nRBCs and other abnormal cells.
  • Bone Marrow Biopsy: In some cases, a bone marrow biopsy may be necessary to assess the bone marrow’s cellularity and morphology.
  • Additional Tests: Depending on the suspected condition, additional tests such as genetic testing, flow cytometry, or imaging studies may be required.

Treatment Options for Conditions Associated with Elevated Nucleated RBC Counts

The treatment options for conditions associated with elevated nucleated RBC counts vary depending on the underlying cause. Some common treatment approaches include:

  • Anemia: Treatment may involve iron supplementation, vitamin B12 or folate supplementation, or erythropoietin injections.
  • Bone Marrow Disorders: Treatment may include medications to stimulate red blood cell production, bone marrow transplantation, or supportive care.
  • Infections: Treatment typically involves antibiotics or antiviral medications to address the underlying infection.
  • Cancer: Treatment may include chemotherapy, radiation therapy, or targeted therapies depending on the type and stage of cancer.

Preventive Measures and Lifestyle Changes

While some conditions associated with elevated nucleated RBC counts are not preventable, certain lifestyle changes can help reduce the risk of developing anemia and other related disorders:

  • Balanced Diet: Consuming a balanced diet rich in iron, vitamin B12, and folate can help maintain healthy red blood cell production.
  • Regular Check-ups: Regular medical check-ups can help detect early signs of anemia or other blood disorders.
  • Avoiding Toxins: Avoiding exposure to toxins and harmful substances can help protect the bone marrow and red blood cell production.
  • Managing Chronic Conditions: Proper management of chronic conditions, such as diabetes and autoimmune disorders, can help prevent complications that affect red blood cell production.

📝 Note: Always consult with a healthcare provider for personalized advice and treatment options.

Case Studies and Real-World Examples

To better understand the clinical significance of a blood test nucleated RBC count, let’s examine a few case studies:

Case Study 1: Hemolytic Anemia

A 35-year-old patient presented with symptoms of fatigue, weakness, and jaundice. A blood test revealed an elevated nucleated RBC count of 0.01%. Further investigation, including a peripheral blood smear and reticulocyte count, confirmed the diagnosis of hemolytic anemia. The patient was treated with corticosteroids and supportive care, leading to a significant improvement in symptoms.

Case Study 2: Myelofibrosis

A 60-year-old patient with a history of myelofibrosis underwent a routine blood test, which showed an elevated nucleated RBC count of 0.02%. A bone marrow biopsy was performed, revealing increased fibrosis and abnormal cell morphology. The patient was started on a regimen of JAK inhibitors, which helped manage the symptoms and improve quality of life.

Case Study 3: Leukemia

A 45-year-old patient presented with unexplained weight loss, night sweats, and fatigue. A blood test nucleated RBC count was elevated at 0.03%. Further diagnostic workup, including a bone marrow biopsy and flow cytometry, confirmed the diagnosis of acute myeloid leukemia. The patient underwent chemotherapy and achieved remission.

Future Directions in Nucleated RBC Research

Research into nucleated RBCs continues to evolve, with a focus on understanding their role in various diseases and developing new diagnostic and therapeutic approaches. Some areas of ongoing research include:

  • Biomarkers: Identifying specific biomarkers associated with elevated nucleated RBC counts can help in early diagnosis and monitoring of diseases.
  • Genetic Factors: Investigating the genetic factors that contribute to abnormal nRBC production can provide insights into the underlying mechanisms of various blood disorders.
  • Therapeutic Targets: Developing new therapeutic targets that can modulate nRBC production and improve patient outcomes.

In conclusion, a blood test nucleated RBC count is a valuable tool in the diagnosis and management of various hematological disorders. Understanding the clinical significance of nRBCs and their association with different conditions can help healthcare providers make informed decisions and improve patient care. Early detection and appropriate treatment of conditions associated with elevated nucleated RBC counts can lead to better outcomes and enhanced quality of life for patients.

Related Terms:

  • circulating nucleated red blood cells
  • identify the nucleated blood cell
  • what is high nrbc levels
  • nrbc% blood test results
  • nucleated red blood cells peripheral
  • nrbc blood test high meaning