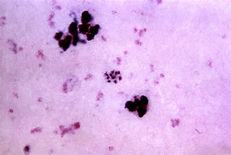
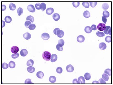
Blood Smear Of Malaria

Blood Smear Of Malaria

Malaria is a severe and sometimes fatal disease caused by a parasite that commonly infects a certain type of mosquito which feeds on humans. It is prevalent in warmer regions of the world and poses a significant global health challenge. One of the critical diagnostic tools for malaria is the blood smear of malaria, a microscopic examination of a blood sample that can detect the presence of malaria parasites. This method is essential for accurate diagnosis and effective treatment.

Understanding Malaria

Malaria is caused by Plasmodium parasites. The most common species that infect humans are:

  • Plasmodium falciparum
  • Plasmodium vivax
  • Plasmodium ovale
  • Plasmodium malariae
  • Plasmodium knowlesi

These parasites are transmitted to humans through the bites of infected female Anopheles mosquitoes. The symptoms of malaria can vary but often include fever, chills, and flu-like illness. In severe cases, malaria can lead to complications such as anemia, respiratory distress, and even death.

The Importance of Early Diagnosis

Early diagnosis of malaria is crucial for effective treatment and prevention of complications. The blood smear of malaria is a gold standard diagnostic method that involves examining a drop of blood under a microscope to identify the presence of malaria parasites. This method provides a definitive diagnosis and helps in determining the species of the parasite, which is essential for selecting the appropriate treatment.

Preparing a Blood Smear for Malaria Diagnosis

Preparing a blood smear for malaria diagnosis involves several steps. Here is a detailed guide:

  • Collect a blood sample from the patient, typically from a finger prick or venipuncture.
  • Place a drop of blood on a clean glass slide.
  • Spread the blood drop evenly across the slide using another slide or a spreader.
  • Allow the smear to air dry completely.
  • Fix the smear by immersing the slide in methanol for about 30 seconds.
  • Stain the smear using a suitable stain, such as Giemsa or Wright’s stain.
  • Examine the stained smear under a microscope to identify malaria parasites.

It is important to note that the quality of the blood smear preparation can significantly affect the accuracy of the diagnosis. Proper technique and attention to detail are essential for obtaining reliable results.

🔍 Note: Ensure that the blood smear is thin and evenly spread to allow for clear visualization of the parasites under the microscope.

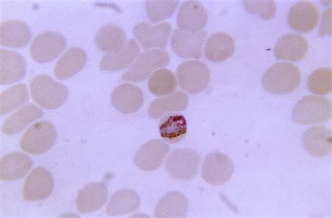
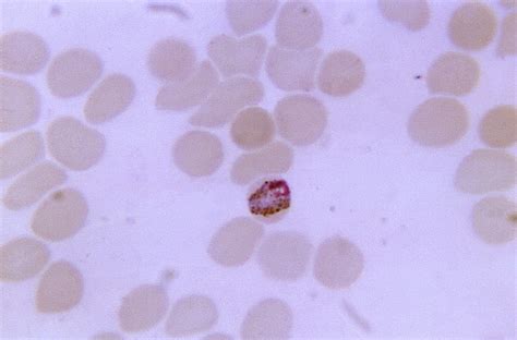
Interpreting the Blood Smear Results

Interpreting the results of a blood smear of malaria requires expertise and experience. The following table outlines the key features to look for when examining a blood smear for malaria parasites:

Parasite Species Characteristic Features
Plasmodium falciparum Ring forms, banana-shaped gametocytes, and absence of Schüffner's dots.
Plasmodium vivax Ring forms, amoeboid trophozoites, and presence of Schüffner's dots.
Plasmodium ovale Ring forms, oval-shaped trophozoites, and presence of Schüffner's dots.
Plasmodium malariae Band forms, rosette-shaped trophozoites, and absence of Schüffner's dots.
Plasmodium knowlesi Ring forms, band forms, and absence of Schüffner's dots.

Identifying the specific species of Plasmodium is important because different species may require different treatment regimens. For example, *Plasmodium falciparum* is the most severe and life-threatening species, and prompt treatment is crucial to prevent complications.

Challenges in Malaria Diagnosis

While the blood smear of malaria is a reliable diagnostic method, it also presents several challenges. Some of the key challenges include:

  • Skill and Experience: Interpreting blood smears requires trained personnel with experience in microscopy. Misdiagnosis can occur if the examiner is not adequately trained.
  • Time-Consuming: Preparing and examining blood smears can be time-consuming, which may delay treatment, especially in resource-limited settings.
  • Low Parasitemia: In some cases, the parasite load may be very low, making it difficult to detect the parasites in the blood smear.
  • False Negatives: There is a risk of false-negative results, especially if the blood smear is not prepared correctly or if the examiner misses the parasites.

To overcome these challenges, alternative diagnostic methods such as rapid diagnostic tests (RDTs) and polymerase chain reaction (PCR) tests are also used. RDTs provide quick results and are easy to use, making them suitable for field settings. PCR tests offer high sensitivity and specificity but are more expensive and require specialized equipment.

Advancements in Malaria Diagnosis

Recent advancements in technology have led to the development of new diagnostic tools for malaria. Some of the notable advancements include:

  • Rapid Diagnostic Tests (RDTs): RDTs detect malaria antigens in the blood and provide results within minutes. They are widely used in resource-limited settings due to their ease of use and quick turnaround time.
  • Polymerase Chain Reaction (PCR): PCR tests amplify specific DNA sequences of the malaria parasite, providing highly sensitive and specific results. However, they require specialized equipment and trained personnel.
  • Loop-Mediated Isothermal Amplification (LAMP): LAMP is a rapid and sensitive molecular diagnostic method that can detect malaria parasites in the field. It does not require specialized equipment and can provide results within an hour.
  • Microscopy with Digital Imaging: Digital imaging technology enhances the accuracy of microscopy by allowing for detailed analysis and storage of images. This can be particularly useful in remote areas where expert microscopy services are not readily available.

These advancements have significantly improved the diagnosis and management of malaria, especially in areas with limited resources. However, the blood smear of malaria remains a crucial tool in the diagnostic arsenal due to its reliability and ability to provide detailed information about the parasite species and stage of infection.

Prevention and Control of Malaria

Preventing malaria involves a multi-faceted approach that includes vector control, chemoprophylaxis, and community education. Some of the key strategies for malaria prevention and control are:

  • Vector Control: Reducing the mosquito population through the use of insecticide-treated nets (ITNs), indoor residual spraying (IRS), and environmental management.
  • Chemoprophylaxis: Administering antimalarial drugs to individuals at high risk of infection, such as pregnant women and young children.
  • Community Education: Raising awareness about malaria transmission, symptoms, and prevention methods through community education programs.
  • Early Diagnosis and Treatment: Prompt diagnosis and treatment of malaria cases to prevent complications and reduce transmission.

Effective prevention and control measures are essential for reducing the burden of malaria and improving public health outcomes. The blood smear of malaria plays a critical role in early diagnosis, which is a cornerstone of malaria control strategies.

💡 Note: Community involvement and education are key to the success of malaria prevention and control programs. Engaging local communities in malaria control efforts can lead to better outcomes and sustained impact.

Global Efforts to Combat Malaria

Malaria is a global health priority, and significant efforts are being made to combat this disease. The World Health Organization (WHO) and other international organizations are leading initiatives to reduce the burden of malaria worldwide. Some of the key global efforts include:

  • Global Fund to Fight AIDS, Tuberculosis and Malaria: Provides funding for malaria control programs in endemic countries.
  • President’s Malaria Initiative (PMI): A U.S. government initiative aimed at reducing malaria-related morbidity and mortality in sub-Saharan Africa and other regions.
  • Roll Back Malaria Partnership: A global partnership that coordinates efforts to control and eliminate malaria.

These global efforts focus on strengthening health systems, improving access to diagnostic tools and treatments, and enhancing surveillance and monitoring. The blood smear of malaria is an integral part of these efforts, providing a reliable diagnostic method that supports effective malaria control and elimination strategies.

Malaria remains a significant global health challenge, but with continued efforts and advancements in diagnosis and treatment, it is possible to reduce its burden and ultimately eliminate the disease. The blood smear of malaria continues to be a vital tool in the fight against malaria, providing accurate and timely diagnosis that is essential for effective treatment and control.

In conclusion, malaria is a severe and potentially fatal disease that requires prompt diagnosis and treatment. The blood smear of malaria is a gold standard diagnostic method that plays a crucial role in identifying the presence of malaria parasites and determining the species of the parasite. Early diagnosis, effective treatment, and comprehensive prevention strategies are essential for reducing the burden of malaria and improving public health outcomes. Continued research and advancements in diagnostic tools and treatments will further enhance our ability to combat this disease and ultimately achieve malaria elimination.

Related Terms:

  • positive malaria thick smear
  • malaria in peripheral blood smear
  • malaria images blood smear
  • blood smear microscopy malaria
  • malaria smear thin and thick
  • blood smear test for malaria