Bleeding Gums During Pregnancy

Bleeding Gums During Pregnancy

Pregnancy is a time of significant physical and hormonal changes, and while many of these changes are expected, some can be concerning. One such issue that some women experience is bleeding gums during pregnancy. This condition, while alarming, is often benign and can be managed with proper care and attention. Understanding the causes, symptoms, and treatments for bleeding gums during pregnancy can help alleviate anxiety and ensure a healthier pregnancy.

Understanding Bleeding Gums During Pregnancy

Bleeding gums during pregnancy are relatively common and can occur due to a variety of factors. Hormonal fluctuations, changes in diet, and oral hygiene practices can all contribute to this issue. It is essential to recognize the signs and seek appropriate care to prevent complications.

Causes of Bleeding Gums During Pregnancy

Several factors can lead to bleeding gums during pregnancy:

  • Hormonal Changes: Pregnancy hormones, particularly progesterone, can increase blood flow to the gums, making them more sensitive and prone to bleeding.
  • Plaque Buildup: Hormonal changes can also make it easier for plaque to build up on the teeth, leading to gum irritation and bleeding.
  • Vitamin Deficiencies: A lack of essential vitamins, such as vitamin C and K, can weaken the gums and make them more susceptible to bleeding.
  • Poor Oral Hygiene: Inadequate brushing and flossing can lead to gum disease, which can cause bleeding.
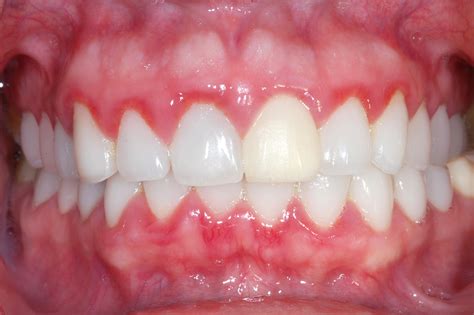
  • Gingivitis: This is a mild form of gum disease that can cause red, swollen, and bleeding gums. Pregnancy can exacerbate gingivitis due to hormonal changes.

Symptoms of Bleeding Gums During Pregnancy

The primary symptom of bleeding gums during pregnancy is, of course, bleeding. However, there are other signs to look out for:

  • Red, swollen, or tender gums
  • Gums that bleed easily, even with gentle brushing or flossing
  • Bad breath or a bad taste in the mouth
  • Receding gums
  • Loose teeth

If you experience any of these symptoms, it is important to consult your healthcare provider or dentist for a proper evaluation.

When to Seek Medical Attention

While bleeding gums during pregnancy are often harmless, there are instances when medical attention is necessary. Contact your healthcare provider if:

  • Bleeding is severe or persistent
  • You experience pain or discomfort
  • You notice pus or a foul odor coming from your gums
  • You have a fever or other signs of infection

Early intervention can prevent complications and ensure a healthier pregnancy.

Preventing Bleeding Gums During Pregnancy

Prevention is key when it comes to managing bleeding gums during pregnancy. Here are some tips to help keep your gums healthy:

  • Maintain Good Oral Hygiene: Brush your teeth at least twice a day with a soft-bristled toothbrush and fluoride toothpaste. Floss daily to remove plaque and food particles.
  • Use a Gentle Mouthwash: An alcohol-free mouthwash can help reduce bacteria and freshen your breath.
  • Eat a Balanced Diet: Consume a diet rich in vitamins and minerals, particularly vitamin C and K, to support gum health.
  • Stay Hydrated: Drink plenty of water to keep your mouth moist and reduce the risk of gum irritation.
  • Regular Dental Check-ups: Schedule regular dental check-ups and cleanings to monitor your oral health and address any issues early.

Treatments for Bleeding Gums During Pregnancy

If you are already experiencing bleeding gums, there are several treatments that can help alleviate the symptoms:

  • Professional Cleaning: A dental professional can perform a deep cleaning to remove plaque and tartar buildup.
  • Antibacterial Mouth Rinse: Your dentist may recommend an antibacterial mouth rinse to reduce bacteria and inflammation.
  • Gum Massage: Gently massaging your gums can improve blood flow and reduce swelling.
  • Salt Water Rinse: Rinsing with warm salt water can help soothe irritated gums and reduce bleeding.

In some cases, your dentist may recommend additional treatments, such as antibiotics or topical medications, to manage more severe cases of gum disease.

Special Considerations for Pregnant Women

Pregnancy can increase the risk of certain oral health issues, so it is important to take extra care of your teeth and gums. Here are some special considerations:

  • Morning Sickness: Frequent vomiting can expose your teeth to stomach acid, which can erode enamel and irritate gums. Rinse your mouth with water after vomiting and wait at least 30 minutes before brushing to avoid further damage.
  • Pregnancy Tumors: These are benign growths that can develop on the gums during pregnancy. They usually resolve on their own after delivery but can cause discomfort and bleeding.
  • Gestational Diabetes: Pregnant women with gestational diabetes are at a higher risk of gum disease. Maintaining good blood sugar control and regular dental check-ups can help manage this risk.

Regular communication with your healthcare provider and dentist can help address any concerns and ensure optimal oral health during pregnancy.

The Role of Nutrition in Gum Health

Proper nutrition plays a crucial role in maintaining gum health during pregnancy. A balanced diet rich in essential nutrients can support overall health and reduce the risk of bleeding gums. Here are some key nutrients to focus on:

  • Vitamin C: Essential for collagen production and gum health. Foods rich in vitamin C include citrus fruits, strawberries, and bell peppers.
  • Vitamin K: Important for blood clotting and gum health. Foods rich in vitamin K include leafy greens, broccoli, and Brussels sprouts.
  • Calcium: Necessary for strong teeth and bones. Foods rich in calcium include dairy products, leafy greens, and fortified plant-based milks.
  • Iron: Helps prevent anemia, which can contribute to gum bleeding. Foods rich in iron include red meat, poultry, fish, and leafy greens.

Incorporating these nutrients into your diet can help support gum health and reduce the risk of bleeding gums during pregnancy.

Oral Hygiene Tips for Pregnant Women

Maintaining good oral hygiene is essential for preventing bleeding gums during pregnancy. Here are some tips to help keep your teeth and gums healthy:

  • Brush Gently: Use a soft-bristled toothbrush and gentle brushing technique to avoid irritating your gums.
  • Floss Daily: Flossing helps remove plaque and food particles from between your teeth and under your gumline.
  • Use a Tongue Scraper: A tongue scraper can help remove bacteria and freshen your breath.
  • Avoid Sugary Foods and Drinks: Limit your intake of sugary foods and drinks, which can contribute to plaque buildup and gum disease.
  • Stay Hydrated: Drink plenty of water to keep your mouth moist and reduce the risk of gum irritation.

By following these tips, you can maintain good oral hygiene and reduce the risk of bleeding gums during pregnancy.

Common Myths About Bleeding Gums During Pregnancy

There are several myths surrounding bleeding gums during pregnancy. Understanding the facts can help alleviate concerns and ensure proper care. Here are some common myths debunked:

  • Myth: Bleeding gums are normal during pregnancy - While common, bleeding gums are not normal and should be addressed to prevent complications.
  • Myth: Bleeding gums will go away on their own - Without proper care, bleeding gums can worsen and lead to more serious oral health issues.
  • Myth: Pregnancy tumors are harmful - Pregnancy tumors are benign growths that usually resolve on their own after delivery.
  • Myth: Bleeding gums are a sign of a healthy pregnancy - Bleeding gums are not a sign of a healthy pregnancy and should be evaluated by a healthcare provider.

By understanding the facts, you can take appropriate steps to manage bleeding gums and ensure a healthier pregnancy.

The Impact of Bleeding Gums on Pregnancy

Bleeding gums during pregnancy can have several impacts on both maternal and fetal health. Understanding these impacts can highlight the importance of proper oral care. Here are some key points to consider:

  • Increased Risk of Preterm Birth: Studies have shown that gum disease during pregnancy can increase the risk of preterm birth and low birth weight.
  • Increased Risk of Gestational Diabetes: Poor oral health can contribute to gestational diabetes, which can have serious health implications for both mother and baby.
  • Increased Risk of Preeclampsia: Gum disease has been linked to an increased risk of preeclampsia, a serious pregnancy complication characterized by high blood pressure.
  • Increased Risk of Infections: Bleeding gums can provide a pathway for bacteria to enter the bloodstream, increasing the risk of infections and other complications.

Regular dental check-ups and good oral hygiene can help mitigate these risks and ensure a healthier pregnancy.

Managing Bleeding Gums During Pregnancy

Managing bleeding gums during pregnancy involves a combination of good oral hygiene, proper nutrition, and regular dental check-ups. Here are some steps to help manage this condition:

  • Maintain Good Oral Hygiene: Brush and floss regularly, and use a gentle mouthwash to reduce bacteria and inflammation.
  • Eat a Balanced Diet: Consume a diet rich in essential nutrients to support gum health.
  • Stay Hydrated: Drink plenty of water to keep your mouth moist and reduce the risk of gum irritation.
  • Regular Dental Check-ups: Schedule regular dental check-ups and cleanings to monitor your oral health and address any issues early.
  • Consult Your Healthcare Provider: If you experience severe or persistent bleeding, consult your healthcare provider for a proper evaluation and treatment.

By following these steps, you can effectively manage bleeding gums and ensure a healthier pregnancy.

📝 Note: Always consult your healthcare provider before starting any new treatment or making significant changes to your diet or oral hygiene routine.

Bleeding gums during pregnancy are a common issue that can be managed with proper care and attention. Understanding the causes, symptoms, and treatments for this condition can help alleviate concerns and ensure a healthier pregnancy. By maintaining good oral hygiene, eating a balanced diet, and scheduling regular dental check-ups, you can effectively manage bleeding gums and reduce the risk of complications. Regular communication with your healthcare provider and dentist can also help address any concerns and ensure optimal oral health during pregnancy.

Related Terms:

  • gum pain while pregnant
  • swollen gums related to pregnancy
  • gum inflammation during pregnancy
  • how to prevent pregnancy gingivitis
  • pregnancy and teeth problems
  • sensitive gums during pregnancy