Blast Cells In Blood

Blast Cells In Blood

Understanding the role of blast cells in blood is crucial for diagnosing and treating various hematological conditions. Blast cells are immature cells that typically develop into different types of blood cells, including red blood cells, white blood cells, and platelets. However, an abnormal increase in blast cells can indicate serious health issues, such as leukemia. This post delves into the significance of blast cells in blood, their types, diagnostic methods, and treatment options.

What Are Blast Cells?

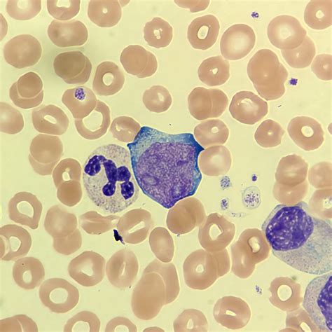
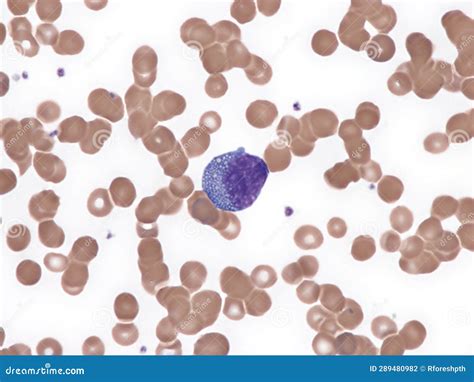
Blast cells are immature blood cells that are normally found in the bone marrow. They are precursors to mature blood cells and undergo a process of differentiation to become functional components of the blood. In a healthy individual, blast cells make up a small percentage of the cells in the bone marrow. However, when these cells proliferate abnormally and enter the bloodstream, it can be a sign of a hematological disorder.

Types of Blast Cells

Blast cells can be categorized based on the type of blood cell they are destined to become. The primary types include:

  • Myeloblasts: These are precursors to myeloid cells, which include neutrophils, eosinophils, basophils, monocytes, and platelets.
  • Lymphoblasts: These develop into lymphocytes, which are a type of white blood cell involved in the immune response.
  • Erythroblasts: These are precursors to red blood cells, which are responsible for carrying oxygen throughout the body.
  • Megakaryoblasts: These develop into megakaryocytes, which then fragment to form platelets, essential for blood clotting.

Diagnosing Abnormal Blast Cells in Blood

Diagnosing an abnormal increase in blast cells in blood involves several steps, including a thorough medical history, physical examination, and various laboratory tests. The most common diagnostic methods include:

  • Complete Blood Count (CBC): This test measures the number of red blood cells, white blood cells, and platelets in the blood. An abnormal CBC can indicate the presence of blast cells.
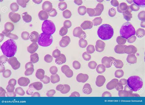
  • Peripheral Blood Smear: This involves examining a sample of blood under a microscope to identify the presence and percentage of blast cells.
  • Bone Marrow Aspiration and Biopsy: These procedures involve extracting a sample of bone marrow to analyze the number and type of blast cells present. This is often the definitive test for diagnosing conditions like leukemia.
  • Flow Cytometry: This technique uses fluorescent dyes to identify and quantify different types of cells in the blood, including blast cells.
  • Cytogenetic and Molecular Testing: These tests analyze the genetic makeup of the blast cells to identify specific chromosomal abnormalities or mutations that may be associated with certain types of leukemia.

Conditions Associated with Abnormal Blast Cells

An abnormal increase in blast cells in blood is often associated with various hematological disorders, the most notable being leukemia. Leukemia is a type of cancer that affects the blood and bone marrow, characterized by the uncontrolled proliferation of immature white blood cells. There are several types of leukemia, each with its own set of symptoms and treatment options:

  • Acute Myeloid Leukemia (AML): This type of leukemia is characterized by the rapid proliferation of myeloblasts in the bone marrow and blood.
  • Acute Lymphoblastic Leukemia (ALL): This type involves the rapid growth of lymphoblasts, primarily affecting children but also occurring in adults.
  • Chronic Myeloid Leukemia (CML): This type is characterized by the presence of the Philadelphia chromosome, which results in the overproduction of myeloid cells.
  • Chronic Lymphocytic Leukemia (CLL): This type involves the slow proliferation of abnormal lymphocytes, primarily affecting older adults.

Treatment Options for Abnormal Blast Cells

The treatment of conditions associated with abnormal blast cells in blood depends on the type and stage of the disease, as well as the patient’s overall health. Common treatment options include:

  • Chemotherapy: This involves the use of drugs to kill cancer cells. Chemotherapy can be administered orally, intravenously, or through injections.
  • Radiation Therapy: This uses high-energy radiation to target and destroy cancer cells. It is often used in combination with chemotherapy.
  • Stem Cell Transplant: This procedure involves replacing the patient’s diseased bone marrow with healthy stem cells from a donor. It is often used for patients with advanced or relapsed leukemia.
  • Targeted Therapy: This involves the use of drugs that target specific molecular abnormalities in cancer cells, such as tyrosine kinase inhibitors for CML.
  • Immunotherapy: This uses the body’s immune system to fight cancer cells. Examples include monoclonal antibodies and chimeric antigen receptor (CAR) T-cell therapy.

Prognosis and Follow-Up Care

The prognosis for patients with abnormal blast cells in blood varies depending on the type and stage of the disease, as well as the patient’s response to treatment. Regular follow-up care is essential to monitor the patient’s condition and detect any signs of relapse or complications. Follow-up care may include:

  • Regular blood tests to monitor blood cell counts and detect any abnormalities.
  • Bone marrow tests to assess the status of the bone marrow and detect any signs of relapse.
  • Imaging tests, such as CT scans or MRIs, to monitor the spread of the disease.
  • Regular check-ups with the healthcare team to discuss any symptoms or concerns.

📝 Note: Early detection and prompt treatment of abnormal blast cells in blood can significantly improve the prognosis and quality of life for patients.

Preventive Measures and Lifestyle Changes

While there is no guaranteed way to prevent the development of abnormal blast cells in blood, certain lifestyle changes and preventive measures can help reduce the risk of hematological disorders:

  • Maintaining a healthy diet rich in fruits, vegetables, and whole grains.
  • Regular physical activity to promote overall health and well-being.
  • Avoiding exposure to known carcinogens, such as tobacco smoke and certain chemicals.
  • Regular medical check-ups and screenings to detect any abnormalities early.

Understanding the role of blast cells in blood is essential for diagnosing and managing hematological disorders. Early detection and prompt treatment can significantly improve the prognosis and quality of life for patients. Regular follow-up care and lifestyle changes can also help reduce the risk of complications and improve overall health.

Related Terms:

  • blast cells normal range
  • how to identify blast cells
  • myeloblast
  • blast vs lymphocyte
  • wbc blast cells
  • blast cells in peripheral blood