Biceps Femoris Tendinosis

Biceps Femoris Tendinosis

Understanding and managing Biceps Femoris Tendinosis is crucial for athletes and individuals who experience pain and discomfort in the hamstring area. This condition, often overlooked, can significantly impact mobility and performance. This blog post delves into the causes, symptoms, diagnosis, and treatment options for Biceps Femoris Tendinosis, providing a comprehensive guide to help you navigate this condition effectively.

Understanding Biceps Femoris Tendinosis

Biceps Femoris Tendinosis is a degenerative condition that affects the tendon of the biceps femoris muscle, one of the three muscles that make up the hamstring. This condition is characterized by the degeneration of the tendon tissue, leading to pain and weakness in the back of the thigh. It is often caused by repetitive stress and overuse, making it common among athletes involved in sports that require sudden stops, starts, and changes in direction, such as soccer, basketball, and track and field.

Causes of Biceps Femoris Tendinosis

The primary cause of Biceps Femoris Tendinosis is repetitive stress on the tendon. This can occur due to:

  • Overuse: Engaging in activities that involve repetitive movements, such as running or jumping, can lead to tendon degeneration.
  • Improper Training: Inadequate warm-up, poor technique, or sudden increases in training intensity can strain the tendon.
  • Muscle Imbalances: Weakness or tightness in the hamstrings, glutes, or other surrounding muscles can place excessive stress on the biceps femoris tendon.
  • Previous Injuries: A history of hamstring injuries can increase the risk of developing tendinosis.

Symptoms of Biceps Femoris Tendinosis

The symptoms of Biceps Femoris Tendinosis can vary but typically include:

  • Pain: A dull, aching pain in the back of the thigh, often worse with activity and better with rest.
  • Stiffness: Stiffness in the hamstring area, especially after periods of inactivity.
  • Weakness: Reduced strength in the hamstring, making it difficult to perform activities that require leg power.
  • Swelling: Mild swelling or thickening of the tendon may be present.

These symptoms can be exacerbated by activities that involve bending the knee or straightening the leg, such as walking, running, or climbing stairs.

Diagnosing Biceps Femoris Tendinosis

Diagnosing Biceps Femoris Tendinosis involves a combination of physical examination and imaging tests. A healthcare professional will typically:

  • Review Medical History: Discuss your symptoms, medical history, and any recent injuries or changes in activity levels.
  • Physical Examination: Perform a physical exam to assess the range of motion, strength, and tenderness in the hamstring area.
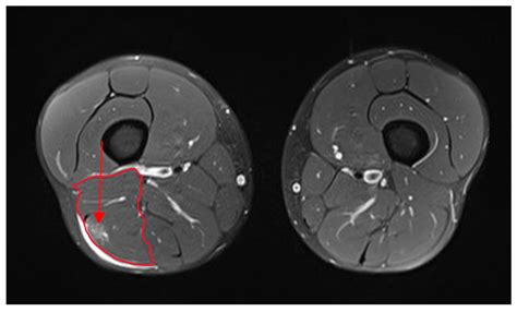
  • Imaging Tests: Order imaging tests such as ultrasound or MRI to visualize the tendon and confirm the diagnosis. These tests can help identify degeneration, thickening, or other abnormalities in the tendon.

Treatment Options for Biceps Femoris Tendinosis

Treatment for Biceps Femoris Tendinosis aims to reduce pain, improve function, and prevent further degeneration. The treatment plan may include:

Conservative Treatments

Conservative treatments are often the first line of defense and may include:

  • Rest: Avoiding activities that aggravate the tendon to allow it to heal.
  • Ice: Applying ice to the affected area to reduce pain and inflammation.
  • Compression: Using compression wraps or sleeves to support the tendon and reduce swelling.
  • Elevation: Elevating the leg to reduce swelling.
  • Medications: Over-the-counter pain relievers such as ibuprofen or naproxen to manage pain and inflammation.
  • Physical Therapy: Exercises to strengthen the hamstrings, improve flexibility, and correct muscle imbalances.

Advanced Treatments

If conservative treatments are ineffective, more advanced options may be considered:

  • Corticosteroid Injections: Injections of corticosteroids to reduce inflammation and pain. However, these should be used cautiously as they can weaken the tendon.
  • Platelet-Rich Plasma (PRP) Injections: Injections of PRP, which contains growth factors that can promote healing and tissue regeneration.
  • Extracorporeal Shock Wave Therapy (ESWT): A non-invasive treatment that uses shock waves to stimulate healing in the tendon.
  • Surgery: In severe cases, surgical intervention may be necessary to repair or remove the damaged tendon tissue.

Preventing Biceps Femoris Tendinosis

Preventing Biceps Femoris Tendinosis involves taking proactive measures to protect the tendon from injury. Key strategies include:

  • Proper Warm-Up: Always warm up before engaging in physical activity to prepare the muscles and tendons for exercise.
  • Gradual Progression: Gradually increase the intensity and duration of your workouts to allow your body to adapt.
  • Strength Training: Incorporate strength training exercises to build muscle strength and endurance, focusing on the hamstrings, glutes, and core.
  • Flexibility Exercises: Regularly perform stretching exercises to maintain flexibility and reduce the risk of injury.
  • Proper Technique: Use correct technique during exercises and sports to minimize stress on the tendon.
  • Rest and Recovery: Allow adequate time for rest and recovery between workouts to prevent overuse injuries.

By following these preventive measures, you can significantly reduce the risk of developing Biceps Femoris Tendinosis and maintain optimal hamstring health.

📝 Note: Always consult with a healthcare professional before starting any new exercise or treatment program, especially if you have a history of injuries or medical conditions.

In summary, Biceps Femoris Tendinosis is a condition that requires careful management and treatment to prevent further degeneration and improve function. By understanding the causes, symptoms, and treatment options, you can take proactive steps to manage this condition effectively. Whether through conservative treatments or advanced interventions, addressing Biceps Femoris Tendinosis promptly can help you return to your activities with reduced pain and improved mobility.

Related Terms:

  • biceps femoris tendonitis uk
  • biceps femoris tendinopathy treatment
  • biceps femoris hamstring injury
  • biceps femoris tendonitis recovery
  • biceps femoris treatment
  • biceps femoris knee tendonitis