Apple Core Lesion

Apple Core Lesion

Understanding the intricacies of an Apple Core Lesion is crucial for medical professionals and patients alike. This condition, characterized by its distinctive appearance, can significantly impact the diagnosis and treatment of various diseases. This blog post delves into the details of an Apple Core Lesion, its causes, symptoms, diagnostic methods, and treatment options.

What is an Apple Core Lesion?

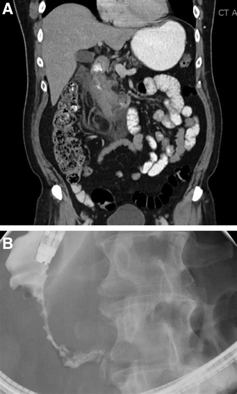
An Apple Core Lesion is a term used to describe a specific type of lesion that appears as a central area of necrosis surrounded by a rim of enhancing tissue. This appearance is often compared to the core of an apple, hence the name. The lesion is typically found in the context of certain types of cancer, particularly colorectal cancer, but can also be seen in other conditions.

Causes of Apple Core Lesion

The primary cause of an Apple Core Lesion is often malignant tumors, particularly those that are rapidly growing and invasive. The most common type of cancer associated with this lesion is colorectal cancer. Other potential causes include:

  • Inflammatory bowel disease (IBD)
  • Infectious diseases
  • Benign tumors

Symptoms of Apple Core Lesion

The symptoms of an Apple Core Lesion can vary depending on the underlying cause and the location of the lesion. Common symptoms include:

  • Abdominal pain
  • Rectal bleeding
  • Changes in bowel habits
  • Weight loss
  • Fatigue

These symptoms are not specific to an Apple Core Lesion and can be associated with a variety of conditions. Therefore, a thorough medical evaluation is essential for an accurate diagnosis.

Diagnostic Methods

Diagnosing an Apple Core Lesion involves a combination of imaging techniques and laboratory tests. The most common diagnostic methods include:

  • Colonoscopy: This procedure allows for direct visualization of the colon and rectum. During a colonoscopy, a flexible tube with a camera is inserted into the rectum to examine the lining of the colon.
  • CT Scan: A computed tomography (CT) scan provides detailed images of the internal structures of the body. It can help identify the presence and extent of an Apple Core Lesion.
  • MRI: Magnetic resonance imaging (MRI) uses magnetic fields and radio waves to produce detailed images of the body. It is particularly useful for evaluating soft tissue structures.
  • Biopsy: A biopsy involves taking a small sample of tissue from the lesion for laboratory analysis. This is often done during a colonoscopy or other endoscopic procedures.

Treatment Options

The treatment of an Apple Core Lesion depends on the underlying cause and the stage of the disease. Common treatment options include:

  • Surgery: Surgical removal of the lesion is often the primary treatment for malignant tumors. The type of surgery depends on the location and extent of the lesion.
  • Chemotherapy: Chemotherapy involves the use of drugs to kill cancer cells. It may be used before or after surgery to shrink the tumor or prevent recurrence.
  • Radiation Therapy: Radiation therapy uses high-energy beams to destroy cancer cells. It can be used alone or in combination with surgery and chemotherapy.
  • Targeted Therapy: Targeted therapy uses drugs that specifically target the molecular changes in cancer cells. This approach can be more effective and have fewer side effects than traditional chemotherapy.
  • Immunotherapy: Immunotherapy boosts the body’s natural defenses to fight cancer. It is a relatively new treatment option but has shown promising results in certain types of cancer.

Prognosis and Follow-Up

The prognosis for an Apple Core Lesion varies depending on the underlying cause and the stage of the disease at the time of diagnosis. Early detection and treatment generally lead to better outcomes. Regular follow-up appointments are essential to monitor for recurrence and manage any long-term effects of treatment.

Follow-up care may include:

  • Regular colonoscopies to check for recurrence
  • Imaging studies to monitor for any new lesions
  • Blood tests to assess overall health and detect any signs of recurrence

Prevention and Risk Factors

While not all Apple Core Lesions can be prevented, certain lifestyle changes can reduce the risk of developing colorectal cancer and other conditions associated with this lesion. Key risk factors include:

  • Age: The risk of colorectal cancer increases with age.
  • Family history: A family history of colorectal cancer or polyps increases the risk.
  • Diet: A diet high in red and processed meats and low in fiber increases the risk.
  • Lifestyle: Smoking, excessive alcohol consumption, and a sedentary lifestyle increase the risk.
  • Inflammatory bowel disease: Conditions like ulcerative colitis and Crohn's disease increase the risk.

Preventive measures include:

  • Regular screening: Regular colonoscopies and other screening tests can detect polyps and early-stage cancer.
  • Healthy diet: A diet rich in fruits, vegetables, and whole grains can reduce the risk.
  • Exercise: Regular physical activity can help maintain a healthy weight and reduce the risk.
  • Avoiding tobacco and alcohol: Limiting or avoiding tobacco and alcohol can lower the risk.

📝 Note: It is important to consult with a healthcare provider to determine the best preventive measures based on individual risk factors.

Living with an Apple Core Lesion

Living with an Apple Core Lesion can be challenging, both physically and emotionally. Support from healthcare providers, family, and friends is crucial. Patients may benefit from:

  • Support groups: Joining support groups can provide emotional support and practical advice.
  • Counseling: Professional counseling can help manage the emotional impact of the diagnosis and treatment.
  • Nutritional support: A registered dietitian can provide guidance on maintaining a healthy diet during and after treatment.
  • Physical therapy: Physical therapy can help manage symptoms and improve quality of life.

Patients should also be aware of the potential side effects of treatment and work closely with their healthcare team to manage them effectively.

An Apple Core Lesion is a complex condition that requires a multidisciplinary approach to diagnosis and treatment. Early detection and appropriate management can significantly improve outcomes. By understanding the causes, symptoms, and treatment options, patients and healthcare providers can work together to achieve the best possible results.

Related Terms:

  • apple core tumor colon prognosis
  • apple core lesion esophagus
  • apple core lesion colon cancer
  • apple core lesion xray
  • apple core lesion on colonoscopy
  • apple core lesion treatment